AccessLangeGeneral Ophthalmology
Vaughan, Asbury, Riordan-Eva :
AccessMedicine.com
HomeAboutAccount ServicesBuy BooksSite MapHelpLogoutAccessMedicine HomeAccessMedicine Publications
Full TOC

Related Sites
Forum

Chapter 15: Ocular Disorders Associated With Systemic Diseases

MISCELLANEOUS SYSTEMIC DISEASES WITH OCULAR MANIFESTATIONS

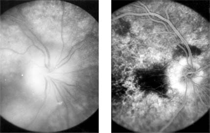
VOGT-KOYANAGI-HARADA SYNDROME (Figure 15-35)

Bilateral uveitis associated with alopecia, poliosis, vitiligo, and hearing defects, usually in young adults, has been termed Vogt-Koyanagi disease. When the choroiditis is more exudative, serous retinal detachment occurs, and the complex is known as Harada's syndrome. There is a tendency toward recovery of visual function, but this is not always complete. Initial treatment is with local steroids and mydriatics, but systemic steroids in high doses are frequently required to prevent permanent visual loss.


Figure 15-35

Figure 15-35: Vogt-Koyanagi-Harada syndrome. Acute pigment epithelial disease with disk swelling and cells in the vitreous (left). Three months later, disk swelling has subsided and pigment epithelial damage is seen (right).

ERYTHEMA MULTIFORME (Stevens-Johnson Syndrome)

Erythema multiforme is a serious mucocutaneous disease that occurs as a hypersensitivity reaction to drugs or food. Children are most susceptible. The manifestations consist of generalized maculopapular rash, severe stomatitis, and purulent conjunctivitis, sometimes leading to symblepharon and occlusion of the lacrimal gland ducts (dry eye syndrome). In severe cases, corneal ulcers, perforations, and panophthalmitis can destroy all visual function. Systemic corticosteroid treatment often favorably influences the course of the disease and usually preserves useful visual function. Secondary infection with Staphylococcus aureus is common and must be vigorously treated with local antibiotics instilled into the conjunctival sac. Frequently there is marked reduction of tear formation that can be helped by instillation of artificial tears.

LAURENCE-MOON-BIEDL SYNDROME

Obesity, mental deficiency, polydactyly, hypogonadism, and retinitis pigmentosa form the complete syndrome. The retinal changes are not always typical of retinitis pigmentosa and may be present soon after birth or develop during adolescence. This rare syndrome is genetically determined and follows an autosomal recessive pattern with a high rate of consanguinity. The heterozygous state may be identified by mild incomplete evidence of the disease. It is interesting that a single abnormal gene can account for such a multiplicity of clinical findings.

ROSACEA (Acne Rosacea)

This disease of unknown cause is primarily dermatologic, beginning as hyperemia of the face associated with acneiform lesions and eventually causing hypertrophy of tissues (such as rhinophyma). Chronic blepharitis due to staphylococcal infection or seborrhea is often present. Rosacea keratitis develops in about 5% of cases. Episcleritis, scleritis, and nongranulomatous iridocyclitis are rare ocular complications.

Careful attention to lid hygiene is essential. Topical corticosteroids help in controlling keratitis or iridocyclitis. Long-term systemic tetracycline therapy is often beneficial.

LYME DISEASE

Lyme disease is a vector-mediated multisystem illness caused by the spirochete Borrelia burgdorferi. The usual vectors are small ixodid ticks that have a complex three-host life cycle involving multiple mammalian and avian species.

The disease has three major stages. Initially, in the area of the tick bite, there develops the characteristic skin lesion of erythema chronicum migrans, often accompanied by regional lymphadenopathy, malaise, fever, headache, myalgia, and arthralgia. Several weeks to months later there is a period of neurologic and cardiac abnormalities. After a few more weeks or even years, rheumatologic abnormalities develop-initially, migratory musculoskeletal discomfort, but later a frank arthritis that may recur over several years.

Conjunctivitis is a frequent finding in the first stage. Cranial nerve palsies-particularly of the seventh but also of the third, fourth, or sixth cranial nerves-often occur in the neurologic phase. Other ophthalmologic abnormalities that have been reported include uveitis, ischemic optic neuropathy, optic disk edema, bilateral keratitis, and choroiditis with exudative retinal detachments.

Laboratory diagnosis is by demonstration of specific IgM and IgG antibodies in serum or cerebrospinal fluid. The spirochetes may also be isolated from these sources.

Doxycycline and ampicillin are effective in curing the initial infection but unfortunately may not prevent late complications.

 
PREVIOUS | NEXT
 
 
Page: 1 | 2 | 3 | 4 | 5 | 6 | 7 | 8 | 9 | 10 | 11 | 12 | 13 | 14 | 15 | 16 | 17
 
 

10.1036/1535-8860.ch15

Copyright ©2002-2003 The McGraw-Hill Companies. All rights reserved.
Any use is subject to the Terms of Use and Notice. Additional credits and copyright information. For further information about this site contact tech_support@accessmedicine.com.
Last modified: October 31, 2002 .
McGraw-HillEducation
The McGraw-Hill Companies
Top