AccessLange: General Ophthalmology / Printed from AccessLange (accesslange.accessmedicine.com).
 
Copyright ©2002-2003 The McGraw-Hill Companies. All rights reserved.
 

Page 4 of 15 PREVIOUS | NEXT Printable VersionPrint this Page
Print this Chapter ( K)
 
Chapter 14: Neuro-ophthalmology

THE RETROCHIASMATIC VISUAL PATHWAYS

Cerebrovascular disease and tumors are responsible for most lesions of the retrochiasmatic visual pathways, though almost any intracranial disease process can involve these structures. Retrochiasmatic visual field defects are homonymous. Partial lesions in the optic tract and lateral geniculate nucleus produce incongruous (or dissimilar) visual field defects due to a 90-degree medial rotation of axons in each tract and the decussation of half of the axons through the chiasm. Thus, there may be more involvement of a nasal hemifield than of its corresponding temporal hemifield. Once the lesion becomes complete, however, incongruity cannot be assessed, and this sign loses its localizing ability. Retrochiasmatic visual field defects should spare visual acuity since the visual pathway from the other hemibrain is intact. The optic tracts and lateral geniculate nucleus are infrequently affected. After several weeks to months, the disks may appear pale, and the retinal nerve fiber layer is deficient. The optic tract and lateral geniculate nucleus have at least a dual blood supply, so that primary vascular lesions are uncommon. Most cases are due to trauma, tumors, arteriovenous malformations, abscesses, and demyelinating diseases.

Lesions involving the geniculocalcarine pathway to the occipital cortex produce homonymous field defects but do not result in optic atrophy (due to the synapse at the geniculate nucleus). Generally, the more posterior a lesion is located, the more congruous the homonymous visual field defect. The inferior geniculocalcarine pathway passes through the temporal lobe and the superior pathway through the parietal lobe, with macular function between them. Lesions of the inferior pathway result in superior visual field defects. Processes affecting the anterior and midtemporal lobes are commonly neoplastic; posterior temporal lobe and parietal processes can be either vascular or neoplastic. An insidious onset with mild and multiple neurologic deficits would be more typically neoplastic, whereas an acute cataclysmic neurologic event would be more typically vascular. Vascular lesions of the occipital lobe, on the other hand, are common and account for over 80% of cases of isolated homonymous visual field loss in patients over age 50 years. The most posterior tip of each occipital lobe projects to homonymous macular fields. Anterior to the macular representation lies the peripheral field; thus, vascular occlusions can selectively involve the posterior occipital cortex and produce homonymous defects with congruous macular scotomas or spare the posterior cortex, and homonymous defects with macular sparing will result. The cortical centers involved in the generation of optokinetic nystagmus lie in the area between the occipital and temporal lobes and in the posterior parietal area, which are within the vascular territory of the middle cerebral artery. Optokinetic nystagmus asymmetry characteristically occurs in parietal lesions but not in occipital lesions. An asymmetric optokinetic nystagmus combined with an occipital visual field defect indicates a process not respecting vascular territories and thus suggests a tumor (Cogan's sign). CT scans and MRI demonstrate cerebral lesions with remarkable clarity (Figures 14-4, 14-5, 14-28, and 14-29).


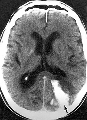
Figure 14-28

Figure 14-28: Occipital hematoma (arrow) resulting from a bleeding arteriovenous malformation. This lesion produced homonymous hemianopia and headache.


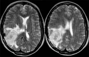
Figure 14-29

Figure 14-29: Axial MRI showing parietal meningioma with secondary cerebral edema.

 
Page 4 of 15 PREVIOUS | NEXT  
 
 

10.1036/1535-8860.ch14

Copyright ©2002-2003 The McGraw-Hill Companies. All rights reserved.
Any use is subject to the Terms of Use and Notice. Additional credits and copyright information. For further information about this site contact tech_support@accessmedicine.com.
Last modified: October 17, 2002 .
McGraw-HillEducation
The McGraw-Hill Companies
AccessLange: General Ophthalmology / Printed from AccessLange (accesslange.accessmedicine.com).
 
Copyright ©2002-2003 The McGraw-Hill Companies. All rights reserved.