Chapter 8
Pathology of Conjunctiva
THERESA R. KRAMER and NARIMAN A. SHARARA
Main Menu   Table Of Contents

Search

ANATOMY AND FUNCTION
CONGENITAL AND DEVELOPMENTAL ABNORMALITIES
CONJUNCTIVAL INFLAMMATION
GRANULOMATOUS INFLAMMATION
CONJUNCTIVAL INJURIES
CONJUNCTIVAL MANIFESTATIONS OF SYSTEMIC DISEASE
CONJUNCTIVAL DEGENERATIONS
NEOPLASMS AND RELATED CONDITIONS
MELANOCYTIC LESIONS OF THE CONJUNCTIVA
REFERENCES

ANATOMY AND FUNCTION
The conjunctiva plays a critical role in maintaining ocular health by forming a smooth, flexible, and protective sac that covers the pericorneal surface of the front of the eye.1 The conjunctiva is responsible for tear film synthesis and distribution and aids in providing adequate wetting of the globe. The conjunctiva secretes mucus and maintains the tear film, thus permitting smooth movement of the eyelid over the cornea. An intact conjunctiva forms a barrier to entrance of infectious organisms and provides immune surveillance and immunoreactivity for antigenic stimuli. The vessels in the conjunctiva provide nourishment to the cornea. In addition, the conjunctiva participates in the lymphatic drainage from the eyelids.

The palpebral conjunctiva extends from the mucocutaneous junction of the eyelid margin to the tarsal plate and contains invaginations called Henle's crypts.1 Abundant goblet cells reside in the palpebral conjunctiva and secrete the mucous layer of the tear film. The fornical conjunctiva is the cul-de-sac region and houses the ducts of the main lacrimal gland in the superior temporal fornix and the ducts for the accessory lacrimal glands of Krause and Wolfring in the superior and inferior fornices. The bulbar conjunctiva extends from the corneal limbus to the fornices. Medially, the bulbar conjunctiva contains a specialization known as the plica semilunaris. This is a crescent-shaped fold of bulbar conjunctiva that has the greatest concentration of goblet cells. It is loose and redundant so that there is no limitation of the globe during abduction. Anatomically, as one progresses toward the cornea, the epithelial layer thickens; dendritic Langerhans cells become more prominent; and goblet cells disappear. The caruncle is a fleshy, pink specialization located in the medial portion of the eye. The caruncle functions to direct tear outflow, and excision of this structure should be avoided because dry eye syndrome may result.

Histologically, the conjunctiva is composed of nonkeratinized stratified squamous and columnar epithelium with goblet cells.1 Squamous differentiation is most prominent at the limbus and palpebral margins. Columnar epithelium is located in the bulbar, palpebral, and fornical regions. The goblet cells are present in the middle and superficial layers of the epithelium. The conjunctival epithelial cell surface has microvilli, which function to help mucus remain on the ocular surface. Henle's crypts, which are present in the palpebral conjunctiva, are thought to function in an active role in trapping and neutralizing pathogenic organisms. Dendritic melanocytes are scattered in the basal epithelium of the limbal and bulbar conjunctiva. The substantia propria beneath the stroma is composed of loose fibrovascular connective tissue and is thinnest in the palpebral conjunctiva, over the tarsus, and in the perilimbal region. In addition, the substantia propria contains vessels, lymphatics, peripheral nerves, and a meshwork of collagen and elastic fibers. The inherent population of plasma cells, in the substantia propria, produces immunoglobulins that can initiate the inflammatory cascade. Other immunocompetent cells in the substantia propria include mature lymphocytes and mast cells.1–4

Back to Top
CONGENITAL AND DEVELOPMENTAL ABNORMALITIES
Congenital lesions of the conjunctiva may present as isolated choristomatous growths or as manifestations of local or systemic developmental anomalies. In a review of conjunctival lesions by Grossniklaus and coworkers,5 the most common congenital lesion was dermoid, followed by dermolipoma, ectopic lacrimal gland, and osseus choristoma. Choristomas are nonneoplastic proliferations of normal tissue in an abnormal location.6

CHORISTOMAS

Limbal Dermoid

Dermoids are common conjunctival tumors in children.7–9 Clinically, a dermoid is a single, solid, immobile, epibulbar mass usually present at the inferior temporal limbus and will often encroach onto the peripheral cornea (Fig. 1).7–9 They are round to oval, firm, and yellow, and they usually measure 1.5 cm in diameter. Bilateral limbal dermoids or dermolipomas occur in two thirds of children with Goldenhar syndrome.7 Goldenhar reported the association of dermoids, pretragal auricular appendices, blind-ending preauricular fistulas, and vertebral anomalies. Histologically, dermoids are covered by stratified squamous epithelium. The stroma is composed of dense collagen and epidermal appendages, including pilosebaceous apparatus and sweat glands. Occasionally, other choristomatous tissues, including cartilage, fat, and lacrimal gland, may be present.

Fig. 1. Clinical photograph of limbal dermoid.

Dermolipoma

A dermolipoma is another epibulbar choristoma that involves the conjunctiva and is localized to the temporal aspect near the lateral canthus. They are yellowish tan and soft. Histologically, smooth attenuated squamous epithelium overlies skin adnexa, smooth muscle, and mature adipose tissue.

Ectopic Lacrimal Gland

Ectopic lacrimal gland presents as an apparent, unilateral, cystic lesion located in the superior temporal aspect of the anterior orbit.10 They are usually present at birth, but may not manifest until young adulthood. Histologically, the substantia propria contains dilated lacrimal ducts.

Osseus Choristoma

The epibulbar osseous choristoma appears at birth as a small, mobile nodule, usually located in the superior temporal quadrant.11–13 Histologically, it is characterized by the presence of a plaque of mature compact bone in the subconjunctival tissues. The osseous choristoma is not associated with other ocular or orbital anomalies.

ABNORMALITIES OF LID FORMATION

Cryptophthalmos

Cryptophthalmos is a malformation of the eyelid in which a continuous sheet of epidermis extends between the forehead and cheek, which totally obscures a malformed globe.14,15 This is a congenital eyelid anomaly that also affects the conjunctiva. The condition is associated with multiple congenital deformities.

Coloboma and Epitarsus

Coloboma, a notching of the upper eyelid, is a malformation of the eyelid that also affects the palpebral conjunctiva.15

VASCULAR AND LYMPHATIC LESIONS

Vascular and lymphatic abnormalities may be limited to the conjunctiva or occur as part of a disseminated, often inherited disease. Vascular and lymphatic lesions that lead to dilated vessels and lymphatics in the substantia propria of the conjunctiva include hereditary hemorrhagic telangiectasia (Rendu—Osler—Weber syndrome), ataxia telangiectasia (Louis—Bar syndrome),16 and encephalotrigeminal angiomatosis (Sturge—Weber syndrome). Histologic study has shown superficial dilated, thin-walled, vascular channels in the first two disorders and angiomatous malformations in the latter. In homozygous sickle-cell disease, the conjunctival capillaries may show widespread sludging of the blood and saccular dilations or multiple, short, comma-shaped capillary segments.

Kaposi Sarcoma

Kaposi sarcoma occurring in the conjunctiva is increasing in frequency because of the increased prevalence of AIDS.17,18 Clinically, there is a fleshy, red, hemorrhagic lesion of the palpebral or bulbar conjunctiva. Histologic examination shows an infiltrate of spindle-shaped cells interspersed with slitlike spaces containing extravasated erythrocytes(Fig. 2).

Fig. 2. Photomicrograph of Kaposi sarcoma of the conjunctiva shows a proliferation of spindle-shaped cells in the substantia propria with extravasated erythrocytes in slitlike spaces.

Subconjunctival Hemorrhage

Another pseudovascular abnormality is a subconjunctival hemorrhage. Hemorrhage into the substantia propria or conjunctiva and episclera is often a spontaneously occurring isolated finding that is idiopathic. Increased frequency of subconjunctival hemorrhage is known in some bleeding diathesis, in hypertension, and in vitamin C deficiency.

Back to Top
CONJUNCTIVAL INFLAMMATION
Conjunctivitis is an immune response to a noxious stimulus, be it an infectious, injurious, or allergic agent. Clinically, one sees conjunctival hyperemia, edema, and exudation.

ACUTE CONJUNCTIVITIS

Acute conjunctivitis is characterized by a rapid onset of vasodilation and congestion. Edema and exudation occur within hours, and one may see a marked inflammatory edema with diffuse swelling of the bulbar and fornical conjunctiva. Associated chemosis and hyperemia of the perilimbal vessels is common if the inflammation is in the deeper structures of the eye. Hyperemia in the fornices is prominent in inflammatory disease of the palpebral conjunctiva. With acute inflammation, there is exudation of inflammatory cells, which vary in content depending on the agent. Bacterial infections provoke a polymorphonuclear leukocyte reaction; viral infections induce a mononuclear reaction; and allergic stimuli cause an exudation of eosinophils or basophils.1 Histologically, one can see an increase in the extracellular space, lymphangiectasis and vascular congestion, and inflammatory cells surrounding the dilated vessels (Fig. 3).

Fig. 3. Acute conjunctivitis: Numerous polymorphonuclear leukocytes are scattered throughout the substantia propria of the conjunctiva.

INFLAMMATORY MEMBRANES

Marked exudation may result in formation of inflammatory membranes. A true membrane is composed of fibrin and cellular debris and is firmly attached to the epithelium by fibrin bridges. Attempts at removal will result in a raw bleeding surface and ulceration. The condition is associated with epidemic keratoconjunctivitis, Corynebacterium diptheriae infection, Stevens—Johnson syndrome, and pneumococcus or Staphylococcus aureus infections. A pseudomembrane is a loosely cohesive fibrin and cellular exudate that is not adherent to the conjunctiva and can be stripped easily.1 A pseudomembrane can be seen in epidemic keratoconjunctivitis, Corynebacterium species infections, Stevens—Johnson syndrome, Streptococcus hemolyticus infection, pharyngoconjunctival fever, vernal conjunctivitis, ligneous conjunctivitis, and chemical burns. When the inflammation causes loss of epithelial and subepithelial tissue, ulceration has occurred.

PHLYCTENULAR CONJUNCTIVITIS

A specialized form of acute inflammation is phlyctenular conjunctivitis. It is caused by a hypersensitivity to certain bacterial proteins. Clinically, the phlyctenular nodules are whitish nodules 2 or 3 mm in size and surrounded by a zone of dilated vessels and located most frequently near the limbus. Histologically, the nodules are composed of localized, subepithelial accumulations of acute and chronic inflammatory cells. The condition is usually initiated by a bacterial infection of the eyelids.1

CHRONIC CONJUNCTIVITIS

When acute inflammation does not subside or continues, it is referred to as chronic conjunctivitis. The clinical and histopathologic findings in chronic conjunctivitis are nonspecific and can be caused by various agents, including infections from the eyelid, exposure, environmental irritants, vitamin A deficiency, tear function disorders, allergies, systemic diseases, neoplasms, and infectious agents.1 Common agents that provoke conjunctival inflammation include bacteria, viruses, chlamydia, fungi, mycobacteria, spirochetes, protozoa, and parasites.1 Recurrent use of topical medications is also known to produce a chronic conjunctivitis known as medicamentosa. Host proteins can incite an antigenic response in patients with autoimmune disorders. The plethora of inciting agents makes it difficult to diagnose a specific type of conjunctivitis. Therefore, the diagnosis must be guided by clinical impression, culture, cytologic smears, immunohistochemistry, or special stains for pathogens. Chronic conjunctivitis evolves over days to weeks and may persist indefinitely. With chronic conjunctivitis, the epithelium and goblet cells may become hyperplastic and increase in number. The conjunctiva may undergo papillary hypertrophy whereby the conjunctiva is thrown into folds that are covered by hyperplastic epithelium.

Papillary conjunctivitis can also occur.19,20 The papillae contain a central core of vessels surrounded by edematous subepithelial tissue containing chronic and inflammatory cells, including lymphocytes and plasma cells. Clinically, papillary hypertrophy is characterized by small (0.1–0.2 mm), hyperemic projections that are most often found in the upper palpebral conjunctiva and contain a central tuft of vessels. Papillae are often seen in association with bacterial and chlamydial infections and in allergic conditions, such as vernal conjunctivitis and giant papillary conjunctivitis.19

Alternatively, the conjunctiva may undergo follicular formation and follicular hypertrophy that is characterized by lymphoid hyperplasia with secondary vascularization.19 Clinically, lymphoid follicles are smaller and paler than papillae and lack the central tuft of vessels because they are relatively avascular. Conjunctival follicles are composed histologically of mounded, discrete collections of round cells interspersed with scattered perifollicular inflammatory cells. A classic germinal center containing pale-staining histiocytes may be present.

Back to Top
GRANULOMATOUS INFLAMMATION
Granulomatous inflammation can occur in the conjunctiva and can appear clinically as multiple nodular elevations of the fornical conjunctiva in the clinical setting of a red eye. Histologically, a granuloma is a collection of activated macrophages, also known as epithelioid histiocytes, that accumulate in an attempt to surround, phagocytize, and degrade an antigenic stimulus (Fig. 4). The inciting agent can be infectious or noninfectious. Infectious agents known to incite a chronic granulomatous conjunctivitis include mycobacteria, fungi, rickettsiae, syphilis, leptothrix, Pasteurella tularensis, Haemophilus ducreyi, and Rochalimaea henselae, the agent of cat scratch disease.1

Fig. 4. A. Clinical photograph shows papillary reaction consistent with granulomatous conjunctivitis.B. Histopathology shows epithelioid histiocytes, giant cells, and surrounding lymphocytes.

VERNAL CONJUNCTIVITIS

Vernal conjunctivitis is a bilateral, recurrent, conjunctival inflammation associated with severe itching that usually occurs in adolescence, especially in those with a history of atopic disease. The inflammation is seasonal and occurs commonly in the springtime. Clinically there is a thick, ropey, conjunctival discharge that on smear preparation, contains numerous eosinophils. Two clinical patterns are seen. In the palpebral form, the tarsal conjunctiva develops subepithelial, flat-topped, giant papillae. In the limbal form, there is diffuse gelatinous opacification of the bulbar and upper limbal conjunctiva called limbal papillae, or the appearance of dotlike opacities known as Trantas dots.1 These gelatinous nodules may enlarge, and chronic recurrence may result in fibrovascular scarring of the subepithelial tissue. Histologically, in the limbal papillae and Trantas dots, there is early epithelial hypertrophy and later atrophy and thinning of the epithelium (Fig. 5). The substantia propria is heavily infiltrated by eosinophils, basophils, and mast cells.1 Eventually, subepithelial fibrous nodules develop. The disease is self-limited and may occur for a decade. However, the scarring that results can sometimes cause a marked degree of astigmatism and visual disability. In addition, there is a noninflammatory association between atopic keratoconjunctivitis and keratoconus.

Fig. 5. A. Clinical photograph shows limbal vernal conjunctivitis. B. Histopathology shows numerous inflammatory cells with a predominance of eosinophils.

GIANT PAPILLARY CONJUNCTIVITIS

Giant papillary conjunctivitis is a chronic conjunctivitis that is triggered by an accumulation of allergens on the surface of hard contact lenses and ocular prostheses combined with repetitive mechanical trauma secondary to the presence of a foreign body.21–24 It is characterized by the clinical appearance of large papillae, which are most prominent in the upper palpebral conjunctiva. There is associated mild itching and a stringy mucous discharge. Histologically, the papillae are composed of subepithelial accumulations of mast cells, eosinophils, and other chronic inflammatory cells. Resolution depends on the removal of inciting antigens or modification of antigenic milieu by alteration of care solutions.

LIGNEOUS CONJUNCTIVITIS

Ligneous conjunctivitis is a bilateral, chronic, pseudomembranous conjunctivitis of childhood and is more common in female patients. It is clinically characterized by a woody induration of the lid. White, yellow, or red lesions appear papillary and are associated with mucoid discharge. There is an initial subacute nongranulomatous inflammation. This is followed by a recurrent, nonspecific inflammation with the formation of granulation tissue, which may recur for many years. Attempts at removal or surgical excision of the granuloma can worsen the recurrences. Histologically, the epithelium is thinned or atrophic and replaced by necrotic fibrinous tissue. The subepithelial tissues contain fibrin and inflammatory cells, including plasma cells and eosinophils.25,26 Collections of eosinophilic, periodic acid-Schiff-positive extracellular matrix rich in fibrin are present. Immunofluorescent studies show that IgG is a prominent component of the hyaline and that the immune reaction is characterized byT lymphocytes and focal accumulation of B lym-phocytes and plasma cells. Topical cyclosporin and systemic azothiaprine have been used with some success. Heritable defects in plasminogen have been identified in some patients with ligneous conjunctivitis.27

SUPERIOR LIMBIC KERATOCONJUNCTIVITIS

Superior limbic keratoconjunctivitis is an inflammatory disorder that affects the palpebral and bulbar conjunctiva. The condition is bilateral and is more common in female patients. Clinically, one can see xerosis and associated filamentary keratitis. Histologically, the epithelium is acanthotic with dyskeratosis and infiltration by neutrophils. Clinically, one must consider thyroid dysfunction as an etiologic agent and patients should be examined.

TRACHOMA AND INCLUSION CONJUNCTIVITIS

Chlamydia trachomatis is the microorganism that causes trachoma and inclusion conjunctivitis.28–32 The agent is an atypical microorganism that resembles bacteria in the sense of sensitivity to antibiotics but, like a virus, is an obligate intracellular parasite. The intracellular reproduction of chlamydia produces the elementary bodies and initial bodies. The cytoplasmic inclusion body, known as an elementary body, is a small particle, 200 to 350 nm in diameter. The elementary body, after enlargement (up to 1 μm), is known as an initial body. The initial bodies divide by binary fission, multiply, and reorganize into numerous small highly infectious elementary bodies that are released from the cell. Histologically, large basophilic initial bodies can be seen to cap the nucleus of infected cells, and the accumulation of numerous initial bodies is identified intracytoplasmically by giemsa-stained cells scraped from the surface of the infected epithelium (Fig. 6).33 Fluorescent antibody staining to detect extracellular chlamydial elementary bodies is widely used and can enhance the detection of the organism in cultures and smeared secretions.

Fig. 6. Photomicrograph shows large basophilic initial bodies capping the nucleus of cells infected with Chlamydia trachomatis.

TRACHOMA

Trachoma is caused by C. trachomatis and is spread from eye to eye by transfer of ocular discharge. Trachoma is one of the world's leading causes of blindness and primarily affects the conjunctiva and corneal epithelium. Clinically, one sees a mixed follicular and papillary reaction in the early phases, but as cicatrization progresses, the conjunctiva becomes white and scarred. A linear scar, known as Arlt's line, may extend horizontally across the palpebral conjunctiva and is considered a hallmark of previous trachoma infection.

The histology of trachoma was originally described in four stages,32 but in recent years, this description has been modified by the classification system developed by the World Health Organization. This classification is based partly on the assessment of the intensity of inflammation of the upper tarsal conjunctiva and on the degree of disabling, irreversible conjunctival scarring, trichiasis, entropion, and corneal scarring. Early, there is epithelial hyperplasia with lymphocytic infiltrates in the basal epithelium and substantia propria. Follicles are the hallmark of the next stage, followed by the formation and predominance of papillae. Finally, goblet cells are lost, and there is epidermidalization and keratinization with scar formation in the substantia propria.

INCLUSION CONJUNCTIVITIS

Inclusion conjunctivitis is characteristically a sexually transmitted disease and occurs as an acute purulent infection in newborns or as a subacute follicular conjunctivitis in adults.29,30 In infants, it is characterized by an acute onset of edema and mucopurulent discharge. The disorder usually lasts a minimum of 3 months to 1 year and rarely leads to vision loss. In the adult form, there is edema, a mucopurulent discharge, and follicle formation, especially on the lower tarsus and limbus. The diagnosis is confirmed by examination of giemsa-stained slides prepared from conjunctival scrapings. The inclusion bodies are morphologically identical to those seen in tissue preparations.

PARINAUD OCULOGLANDULAR SYNDROME

Parinaud oculoglandular syndrome is a unilateral chronic granulomatous conjunctivitis with anassociated ipsilateral, preauricular lymphadenopathy. Tuberculosis and tularemia are infectious agents that are associated with Parinaud oculoglandular syndrome. Clinically, one may see the formation of single or multiple, small, inconspicuous, noncaseating, yellowish tan nodules. If ulceration and necrosis occur, this may cause enlargement of the ipsilateral lymph node. Parinaud oculoglandular syndrome is associated with a zonal, necrotizing, granulomatous inflammation on histopathologic examination. Cat scratch disease is a specific form of Parinaud oculoglandular syndrome caused by infection with Rochalimaea henselae (Fig. 7).34

Fig. 7. A. Clinical photograph of papillary conjunctivitis. Ipsilateral enlargement of the preauricular lymph nodes is consistent with Parinaud oculoglandular syndrome. B. Histopathology shows a dense infiltrate of lymphocytes and epithelioid histiocytes. C. Warthin—Starry stain shows numerous pleomorphic bacilli consistent with Rochalimaea henselae.

SARCOIDOSIS

Sarcoidosis can cause a noninfectious, granulomatous conjunctivitis characterized by multiple yellowish tan nodules. Histologically, there are nonnecrotizing, nodular clusters of epithelioid cells surrounded by lymphocytes.35,36

WEGENER GRANULOMATOSIS

Wegener granulomatosis can cause a necrotizing vasculitis with associated granulomatous inflammation in the epibulbar or scleral tissues. This is a potentially lethal systemic autoimmune disorder that should be diagnosed quickly. Multiple studies have confirmed that the presence of antineutrophil cytoplasmic antibody is highly sensitive and specific for Wegener granulomatosis, especially if it is positive for diffuse granular cytoplasmic pattern of staining.

Back to Top
CONJUNCTIVAL INJURIES

REACTIVE AND DEGENERATIVE CHANGES

During persistent and recurrent inflammation, the conjunctival epithelium initially undergoes hyperplasia with an increase in goblet cells and formation of cryptlike infoldings called pseudoglands of Henle. With longstanding inflammation, however, there is a loss of goblet cells and conversion of the epithelium from stratified columnar to stratified squamous configuration (epidermidalization) and later keratinization.1 Stromal inflammation can result in scarring and the formation of adhesions between the palpebral and bulbar surfaces known as symblepharons. These changes can also be caused by chemical burns, long-term use of some medications, and mucocutaneous and mucous membrane diseases, such as erythema multiforme and benign mucosal pemphigoid. Chemical burns by lipid-soluble alkalis can be relatively severe because of their ability to penetrate the epithelium. In addition, alkalis tend to resist dilution during irrigation and thus are able to injure deeper structures. Cicatricial changes occurring after alkali burns are severe.

CONJUNCTIVAL LACERATIONS

Lacerations of the conjunctiva, both surgical and accidental, heal by epithelial migration and proliferation of the stroma. Conjunctival defects as large as 1 cm2 may be epithelialized within a few days. In the subepithelial tissue, fibrocytes and vessels proliferate.1 As healing proceeds, the vessels attenuate and eventually result in a normal-appearing conjunctiva or a faint area of whitish scar tissue. In other more traumatic cases, an elevated irregular area of scar tissue may persist.

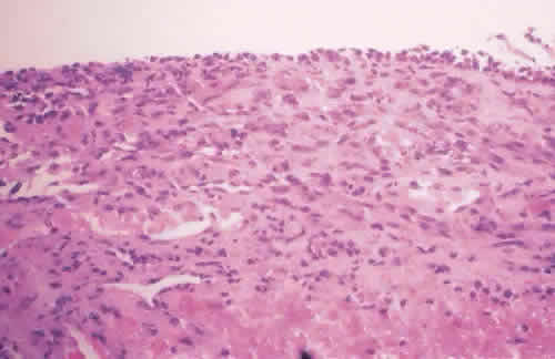
PYOGENIC GRANULOMA

Pyogenic granuloma is an aberrant form of healing that may result after conjunctival injury, either surgical or traumatic.37,38 It is a rapidly enlarging, fleshy, red, often pedunculated mass of granulation tissue that arises over the site of the injury. Histologically, it is characterized by the presence of abundant capillaries, fibroblasts, and inflammatory cells amidst an edematous stroma (Fig. 8). Excision is usually curative.

Fig. 8. A. Clinical photograph of nodular, fleshy, pedunculated, red mass located in the inferior fornix. B. Histopathology shows radiating pattern of abundant capillaries and fibroblasts amid an edematous stroma.

CONJUNCTIVAL SURGERY

Surgical excision of conjunctival tissue results almost universally in the scarring of the conjunctiva. The resultant scarring leads to loss of goblet cells and dysfunction of the accessory lacrimal glands of Krause and Wolfring. Surgeons should be aware of this loss because patients almost universally complain of dry eyes because of the lack of function of these structures.53

RADIATION

Super voltage orbital radiation therapy, including proton beam radiation therapy and plaque radiation therapy, is used widely for treatment of ocular tumors. Immediately after radiation exposure, the conjunctiva becomes hyperemic and edematous. The surface epithelium also becomes edematous and epithelial cells are sloughed. In a period of weeks to months, typical changes of epithelial metaplasia and keratinization with associated fibrosis and scarring can occur.39 The patients develop features of xerosis and severe dry eye.

EPITHELIAL INCLUSION CYST

Simple epithelial inclusion cyst of the conjunctiva can be congenital or acquired. Acquired cysts usually result in areas of previous surgical or accidental trauma.40,41 They are usually located superomedially. Histologically, the cyst is lined by nonkeratinized, cuboidal epithelium. When goblet cells are present, mucus accumulates in the cyst. Complete excision with marsupialization of the entire epithelial lining is recommended.

Back to Top
CONJUNCTIVAL MANIFESTATIONS OF SYSTEMIC DISEASE

METABOLIC DISORDERS

The deposition of altered metabolic products in the conjunctiva occurs in many inherited and acquired systemic disorders of carbohydrate, lipid, protein, and amino acid metabolism. Biopsies of the conjunctiva have aided in the diagnosis of disorders of mucopolysaccharide, especially those with corneal clouding such as MPS-VI, sphingolipidoses (Fabry disease), mucolipidosis (ML-I, ML-II, ML-III, and ML-IV), phenylalanine in ochronosis, tyrosine in tyrosinemia type II, cystine in cystinosis, and uric acid in gout.1 Serum immunoglobulin may also deposit in the conjunctiva in hypergammaglobulinemia. Crystalline inclusions have been observed in patients with other dysproteinemias.

Great care must be taken during conjunctival biopsy in these diseases. In cystinosis, the crystals are water-soluble and dissolve during fixation.42,47 Therefore, the tissue must be fixed in absolute ethanol and processed rapidly to minimize the aqueous dilution. In oxalosis, the deposition of calcium oxalate crystals is not clinically apparent.43 It is important to take biopsy samples from areas of vascular tissue because the crystals are deposited in a perivascular distribution (Fig. 9).

Fig. 9. A. Corneal crystals in cystinosis. B. Histopathology shows cystine crystals in substantiapropria stroma.

DEPOSITION OF DRUG DERIVATIVES

The conjunctiva can be damaged by the use of topical and parenteral medications. Direct toxicity from active drug ingredients, drug metabolites, preservatives in drug vehicles, and deposition of drugs and their metabolites into the conjunctiva can occur.44–52 Chronic conjunctivitis will occur with routine use of pilocarpine, eserine, and idoxuridine. These agents are also associated with ocular cicatricial pemphigoid. Conjunctival shrinkage can occur with timolol and dipivefrin. Topical anesthetics, aminoglycoside antibiotics, and antimetabolites, including 5-fluorouracil and mitomycin C, will damage the surface epithelium and destabilize the connective tissues.52 Preservatives including thimerosal and benzalkonium chloride can cause conjunctival damage. Benzalkonium chloride generally results in epithelial damage, but thimerosal can cause an immediate and a delayed hypersensitivity response resulting in chronic conjunctivitis and scarring. Systemic chemotherapeutic agents are known to cause epithelial damage and ocular complications.52 Compounds known to be actively accumulated in the conjunctiva include silver (basement membrane deposits), gold (all epithelial layers), mercury, amiodarone (epithelium), tetracycline and minocycline (within cystic inclusions), epinephrine (pigmented adrenochrome within cystic inclusions), quinacrine, and chorapromazine.53 Pigmentation of the conjunctiva has also been observed after lng-term or high-dose therapy with antimalarial drugs and psychotropic medications.

DERMATOLOGIC DISEASES

Atopic Dermatitis

Atopic dermatitis and atopic keratoconjunctivitis often occur concurrently. Ocular involvement in atopic dermatitis occurs in 25% to 40% of cases.54,55 Ocular involvement is clinically manifested by bilateral itching, burning, tearing, conjunctival hyperemia, mucoid discharge, and chronic blepharitis. Chronic changes include cicatrizing conjunctivitis, corneal scarring, and neovascularization. Histologic examination of specimens shows that the epithelium is hyperplastic and has an increased number of goblet cells. The stromal vessels are congested, and there is a lymphocytic, plasma cell and mast cell infiltrate and mild eosinophilia. Immunohistochemistry has shown increased numbers of T cells, macrophages, and Langerhans cells. In longstanding cases, one can see symblepharon formation, forniceal shortening, and severe keratopathy.

Acne Rosacea

Acne rosacea is a chronic inflammatory disease of the skin that affects the central portions of the face and nose. It occurs most commonly in women in the third to fifth decade of life. Clinically, the skin appears erythematous with numerous telangiectatic vessels and follicular pustules. Ocular manifestations of acne rosacea include chronic and intermittent blepharoconjunctivitis and keratitis. There is an increased occurrence of chalazia and hordeola. The inflammation is triggered by sensitivity to Staphylococcus aureus exotoxins. Immunohistochemistry shows tissue-fixed antibody and complement deposition in the epithelium.56

Benign Mucosal Pemphigoid

Benign mucosal pemphigoid (cicatricial pemphigoid, ocular pemphigoid) is an inflammatory disease that affects the conjunctiva because of a derangement in recognition or tolerance of native proteins. Clinically, one sees vesicles or bullae of the skin, conjunctiva, and other mucous membranes. Later there are varying degrees of scarring, and the conjunctiva appears leukoplakic. Histopathologic examination shows acantholysis of epidermal cells and intraepithelial bullae. In the substantia propria, there is subepithelial vascular proliferation and a perivascular inflammatory infiltrate (Fig. 10). Focal necrosis and scarring may occur. Immunofluorescent staining has shown specific IgG antibodies to the basement membrane of skin and mucous membranes and complement and antibodies to IgGand IgA at the dermal—epidermal and epithelial—subepithelial junction.57–61 Symblepharon formation, trichiasis, shortening of the fornices, and vascularization and scarring of the cornea may occur. Immunofluorescent studies have shown linear deposition of IgA and IgG along the basement membrane zone of the conjunctival epithelium.61

Fig. 10. A. Clinical photograph shows cicatricial changes in the bulbar and palpebral conjunctiva with symblepharon in benign mucosal pemphigoid. B. Histopathology shows epithelial bullae with a slight perivascular, lymphocytic infiltrate in the substantia propria. C. Immunofluorescent stains show linear deposition of IgG and IgA along the basement membrane zone of the conjunctival epithelium.

Erythema Multiforme

Erythema multiforme (Stevens—Johnson syndrome) is an acute mucocutaneous vesiculobullous disorder that frequently affects the conjunctiva. Erythema multiforme usually occurs as an aftermath of drug ingestion or untreated bacterial, viral, fungal, mycoplasmal, or protozoal infections.62 Clinically, one sees mucocutaneous eruption that develops rapidly and is distributed over the entire body. There are maculopapular concentric rings, small vesicles, and large bullae of the epidermis. Conjunctival involvement is characterized by erythema, edema, fibrinoid exudates, and pseudomembrane formation. Histologically, the epithelium shows a decrease in goblet cells, and it may undergo keratinization. The stroma contains a diffuse mononuclear inflammatory cell infiltrate.62 Bullae aresubepithelial. Xerophthalmia, secondary scarring, cicatricial entropion, and trichiasis can occur.

Back to Top
CONJUNCTIVAL DEGENERATIONS

XEROSIS AND XEROPHTHALMIA

Xerosis is a dry eye condition that is caused by underlying conjunctival and lacrimal gland abnormalities. In this condition, the accessory lacrimal glands of Krause and Wolfring and the main lacrimal gland secrete an inadequate aqueous component of the tear film. Xerosis can occur with several systemic disorders and localized ocular disorders. Common associations include Sjögren syndrome and keratoconjunctivitis sicca.64 Sjögren, in 1933, coined the term keratoconjunctivitis sicca to describe drying of the cornea and conjunctival degeneration that accompanies dryness of the mucous membranes.64 The extraocular manifestations can affect the oral, anal, and vaginal surfaces with or without an underlying systemic autoimmune rheumatic disease. The concurrent systemic autoimmune diseases that are most commonly implicated include rheumatoid arthritis and scleroderma. Histologically, the conjunctival epithelium shows epidermidalization and disappearance of goblet cells, along with flattening and keratinization of the surface cells. A lymphocytic and plasmacytic inflammatory infiltrate is present in the substantia propria. In disease associated with scleroderma, a perivascular fibrosis is also present. Lacrimal gland biopsy will show diffuse infiltration by lymphocytes with preservation of lobules and atrophy of acinar parenchyma.1 Xerophthalmia is caused by deficient mucus production from the conjunctival goblet cells which leads to squamous metaplasia and keratinization of the mucosal epithelium.1 Xerosis is caused by vitamin A deficiency and manifested clinically by the presence of Bitot spots and corneal melting.

PINGUECULAE AND PTERYGIA

Pingueculae and pterygia are the most common surgically excised conjunctival lesions in adults.5 Clinically, pterygia are fleshy, vascularized, often triangular formations of tissue that extend across the limbus and onto the cornea.65 A histologically similar yellowish mound of tissue limited to the perilimbal conjunctiva is called a pinguecula. The histopathologic hallmark of pterygia and pingueculae is elastotic degeneration of the collagen of the substantia propria (Fig. 11). The area of degeneration stains for elastin but is insensitive to the enzyme elastase.66 In addition, the substantia propria contains collagen fibers with broad osmophilic, elastoid bands.67 Stromal fibrocyte proliferation can also be seen. The epithelium may be atrophic or show hyperkeratosis, conjunctival intraepithelial neoplasia, or squamous cell carcinoma. Pterygia are most common in southern latitudes and typically occur in patients who work outdoors.65

Fig. 11. A. Clinical photograph of pterygium shows localized, yellowish gray, elevated, vascularized lesion of the conjunctiva extending onto the peripheral cornea. B. Histopathology shows thickened epithelium. Amorphous eosinophilic staining, hyalinized material, and numerous vessels are identified in the substantia propria of the conjunctiva.

CONJUNCTIVAL AMYLOIDOSIS

Conjunctival amyloidosis most often occurs sporadically as a primarily localized deposition. Amyloidosis can also develop on a heredofamilial basis.68–70 Secondary amyloid deposition follows longstanding inflammation or occurs as a manifestation of multiple myeloma or lymphoma.71–73 Clinically, the deposits can form in any portion of the conjunctiva and manifest as firm, waxy-appearing nodular or fusiform elevations. Histologically, nodular or plaquelike accumulations of pale eosinophilic material can be seen in the substantia propria. Diagnosis depends on the demonstration of metachromasia with crystal violet, dichroism, and birefringence with Congo red staining viewed with polarized light, and green fluorescence with thioflavin-T staining.1

Back to Top
NEOPLASMS AND RELATED CONDITIONS

EPITHELIAL LESIONS

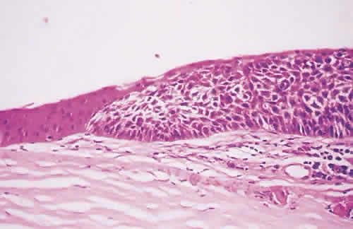
Squamous Papilloma

Squamous papillomas are benign epithelial proliferations. They have an acanthotic epithelium, central fibrovascular core, and a biphasic age distribution. In children, they are mostly pedunculated. In adults, they are more sessile and occur at the limbus. Human papillomavirus has been detected in adult(human papillomavirus subtype 16) and pediatric(human papillomavirus subtype 6) papillomas.1 Adult papillomas may have variable features of dysplastic change, including increased nuclear-to-cytoplasmic ratios, loss of polarity, and mitotic figures in the basal epithelial layer.

Pseudoepitheliomatous Hyperplasia

Pseudoepitheliomatous hyperplasia is a reactive lesion that may arise secondary to trauma or infection. The epithelium is acanthotic and shows basal atypia (Fig. 12). An inflammatory reaction is present at the base of the lesion. The invasive acanthosis and cellular atypia can make it difficult to distinguish this lesion from squamous cell carcinoma.53

Fig. 12. Conjunctiva with acanthosis, reactive atypia, and inflammatory cells in the substantia propria consistent with pseudoepitheliomatous hyperplasia.

Hereditary Benign Intraepithelial Neoplasia

Hereditary benign intraepithelial neoplasia is an autosomal dominant disease documented in the Haliwa Indians of northeastern North Carolina. It is characterized by bilateral epibulbar leukoplakic patches and dilated episcleral vessels on the temporal and nasal mucosa. Microscopic examination shows thickening of the epithelium with extracellular and intracellular keratinization. There is no cellular atypia and no violation of the basement membrane.1 The buccal mucosa is similarly affected.

Leukoplakia

Leukoplakia is a clinical term applied to a localized area of the conjunctiva in which the epithelium has become keratinized and appears as a whitish, plaquelike lesion. Leukoplakia characteristicallyis found in the exposed areas of the conjunctiva.1It also is more common in those with ectropion,vitamin A deficiency, and actinic exposure and may occur on the surface of a pinguecula and pterygium.

Conjunctival Intraepithelial Neoplasia

Conjunctival intraepithelial neoplasia is characterized clinically by leukoplakia when keratinization is present or a gray-white gelatinous surface without keratinization.74–81 Conjunctival intraepithelial neoplasia often occurs on sun-exposed areas in the palpebral fissure and in the perilimbal region. The lesion may encroach on the cornea. Microscopically, there is an abrupt demarcation between the normal epithelium and the affected area.5

The dysplastic changes in the epithelium can be graded as mild (less then 15% of the thickness), moderate (up to 50% of the total thickness) and severe (greater than 50% but less than 100%) (Fig. 13). The dysplastic changes include pleomorphism, loss of polarity, and hyperchromatic nuclei.5 In conjunctival intraepithelial neoplasia, these changes start at the basal layer and progress to the surface as the severity of the dysplasia progresses. When the full-thickness conjunctival epithelium is involved, the condition is called carcinoma in situ. The basement membrane is intact, and there is no evidence of invasion. Once the dysplastic cells violate the basement membrane and invade the substantia propria, the lesion becomes a squamouscarcinoma. These lesions are usually well-differentiated carcinomas. Classical squamous differentiation features, including intercellular bridges and dyskeratosis, are present. Conjunctival intraepithelial neoplasia can be aggressive and can invade adjacent structures, such as the sclera, lids, and orbit.81 Metastasis is rare.82

Fig. 13. Histopathology of epithelial dysplasia. Normal conjunctival epithelium is present on the left and dysplastic epithelium on the right. There is hyperchromatism, pleomorphism, and loss of normal polarity involving up to three quarters of the epithelial thickness.

Spindle Cell Carcinoma and Mucoepidermoid Carcinoma

Spindle cell carcinoma and mucoepidermoid carcinoma are more aggressive neoplasms with a higher recurrence rate and intraocular invasion. In spindle cell carcinoma, the cells show a transition from squamous-type cells to spindle cells. In mucoepidermoid carcinoma, they have mucus-secreting cells intermixed with epidermal cells.1 Both lesions are locally aggressive and have a rapid recurrence rate. Histochemical stains for mucin (mucicarmine) can help in the diagnosis of mucoepidermoid carcinoma.

Sebaceous Carcinoma

Sebaceous carcinoma arising from the pilosebaceous apparatus commonly involves the conjunctival epithelium. Tumor cells invade the epithelium by direct extension or by pagetoid spread (Fig. 14).82,83 Patients may have unilateral blepharoconjunctivitis. Full-thickness eyelid biopsy is recommended, and frozen sections stained with oil red O show intracellular lipids.1 However, oil red O staining can be negative in cases of poorly differentiated sebaceous carcinoma, and diagnosis is still based on histologic examination. Conjunctival intraepithelial sebaceous carcinoma without a tarsal tumor has been reported.83

Fig. 14. Section of the limbal conjunctiva shows pagetoid spread of sebaceous cell carcinoma.

Lymphoid Lesions of the Conjunctiva

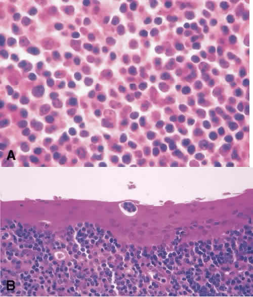
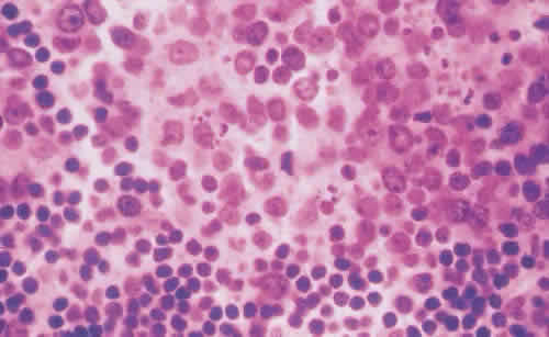
Benign and malignant lymphoid proliferation may present clinically as a relatively flat lesion with a smooth surface and salmon pink appearance.84 Tissue biopsy is necessary to categorize them because there is a spectrum of lymphoproliferative lesions that can occur in the conjunctiva. They can be benign as reactive lymphoid hyperplasia or malignant as non-Hodgkin lymphoma. Hodgkin lymphoma of the conjunctiva is rare. Marginal zone B-cell lymphoma is the most common type in the conjunctiva. Lymphomas occurring in the conjunctiva have a relatively good prognosis. Systemic lymphoma can develop concurrently with reactive lymphoid hyperplasia (25% of cases) or malignant lymphoma (50%–75% of cases).84 Ancillary tests are recommended in classifying benign versus malignant lymphoproliferative lesions. Immunophenotyping with flow cytometry or immunoperoxidase staining may show monoclonality. A monoclonal lesion is suggestive of a malignant process. However, a benign lesion can harbor a clone, and the results of flow cytometry should be interpreted in light of the histology.85Histologically, reactive lymphoid hyperplasia is characterized by the presence of reactive endothelial cells, follicular centers with mitotic figures limited to the follicle. Tingible body macrophages may also be present (Fig. 15). In marginal zone B-cell lymphoma, the follicles are atretic, and tingible body macrophages are absent. The lymphoid tumor cells can be present in the conjunctival epithelium and are characterized as lymphoepithelial lesions(Fig. 16).

Fig. 15. Biopsy specimen of a bulbar conjunctival mass. The substantia propria contains a follicle of large lymphocytes surrounded by a rim of small lymphocytes consistent with lymphoid hyperplasia of the conjunctiva.

Fig. 16. Histology of marginal zone B-cell lymphoma of the conjunctiva shows medium-sized, atypical lymphocytes infiltrating the substantia propria of the conjunctiva. A nest of malignant lymphocytes is identified in the conjunctival epithelium consistent with a lymphoepithelial proliferation.

Back to Top
MELANOCYTIC LESIONS OF THE CONJUNCTIVA

MELANOCYTIC NEVI

Conjunctival melanocytic nevi appear on the bulbar conjunctiva in childhood. One third of them do not have clinically apparent pigmentation.86 They are analogous to cutaneous nevi. Initially, they are of the junctional type whereby nevus cells are confined to nests at the basal layer of the epithelium at the junction of the epithelium and substantia propria. Later on, they drop off into the substantia propria to form compound and subepithelial nevi. Most of the nevi are compound. They have a component in the epithelium and subepithelium. The nests in the subepithelium show maturity as they go deeper into the substantia propria and become smaller in size. Those without an epithelial component are termed subepithelial or stromal. Epithelial cysts may be present in compound and subepithelial nevi. Subtypes of nevi, such as spitz nevus and blue nevus, are rare in the conjunctiva.

MELANOSIS OF THE CONJUNCTIVA

Melanosis of the conjunctiva can be congenital or acquired.86 In the congenital form, there is a benign increased pigmentation of the basal layer of the conjunctiva forming a conjunctival freckle (ephelis). Racial melanosis is a primary melanosis that occurs in darkly pigmented patients. The conjunctiva at the limbus is intensely pigmented in an annular fashion, and there is a moderate increase in the number of melanocytes. Acquired melanosis can also be secondary. Histologically, acquired melanosis is characterized by reactive, hyperplastic, dendritic melanocytes. Acquired melanosis can occur secondary to drugs (chlorpromazine), inflammation (trachoma and vernal catarrhal), and sun exposure.

PRIMARY ACQUIRED MELANOSIS

Primary acquired melanosis is rare and occurs mostly in white, middle-aged patients.87–92 Clinically, there is usually a unilateral flat patch or multiple patches of golden brown pigmentation with an irregular border. Primary acquired melanosis arises from proliferation of dendritic melanocytes. It is classified as primary acquired melanosis with or without atypia. In primary acquired melanosis without atypia, there is hyperplasia of melanocytes without cytologic atypia. Primary acquired melanosis without atypia represents one third of all primary acquired melanosis lesions and does not progress to melanoma. However, the diagnosis primary acquired melanosis without atypia does not preclude the future development of primary acquired melanosis with atypia and periodic follow-up is recommended. Primary acquired melanosis with atypia denotes hyperplasia of melanocytes with atypical changes, including increased nuclear-to-cytoplasmic ratio (Fig. 17). The proliferating cells can assume various cellular forms, including spindle, polygonal, or epithelioid cells. The atypical cells are loosely cohesive and tend to migrate in the epithelium toward the conjunctival surface. Often there is distant intraepithelial spread known as pagetoid spread. Primary acquired melanosis with atypia can replace the entire epithelium, mimicking carcinoma in situ. Pagetoid spread by atypical melanocytes and full-thickness involvement are poor prognostic indicators, and the risk of subsequent invasive melanoma is 75% to 90%.93 The treatment for these lesions is complete excision with cryotherapy and periodic follow-up. Once tumor cells violate the basement membrane and invade the substantia propria, they are called melanoma.

Fig. 17. A. A small, irregular area of conjunctival melanosis on the temporal conjunctiva. B. Atypical melanin-containing cells infiltrate and replace the conjunctival epithelium. The histology is consistent with primary acquired melanosis with atypia.

CONJUNCTIVAL MELANOMA

Approximately 75% of conjunctival melanoma arise from primary acquired melanosis with atypia.94–96 The remainder arise de novo or from a preexisting nevus. Conjunctival melanoma can be diffuse or nodular with different cell types, including spindle, polyhedral, epithelioid, and balloon cells. Conjunctival melanoma is more pathobiologically similar to cutaneous melanoma than it is uveal melanoma. Conjunctival melanoma does not typically invade the globe, but spreads contiguously to invade the orbit directly. Systemic spread is by the lymphatic system. The overall mortality rate of conjunctival melanoma is 25%.91,95 Features that correlate with an unfavorable prognosisinclude preexisting primary acquired melanosis with atypia, pagetoid spread, epithelioid cell type, tumor invasion deeper than 0.8 mm, involvement of the lid margin, palpebral or fornical location, and orbital or scleral invasion.96

Back to Top
REFERENCES

1. Spencer WH, Folberg R: Conjunctiva and melanocytic lesions of the conjunctiva. Ophthalmic pathology: an atlas and textbook. Philadelphia, WB Saunders, 1996:38–155.

2. Allansmith MR, Greiner JV, Baird RS: Number of inflammatory cells in normal conjunctiva. Am J Ophthalmol 86:250–259, 1978.

3. Bhan AK, Fujikawa LS, Foster CS: T-cell subsets and Langerhan's cells in normal and diseased conjunctiva. Am J Ophthalmol 94:205–212, 1982.

4. Quigley HA, Kenyon KR: Russell bodies and plasma cells in human conjunctiva. Am J Ophthalmol 76:957–966, 1973.

5. Grossniklaus HE, Green WR, Luckenbach M et al: Conjunctival lesions in adults: A clinical and histopathologic review. Cornea 6:78–116, 1987.

6. Mansour AM, Barber JC, Reinecke RD, Wang FM: Ocular choristomas. Surv Ophthalmol 33:339, 1989.

7. Sugar HS: The oculoauriculovertebral dysplasia syndrome of Goldenhar. Am J Ophthalmol 62:678–682, 1966.

8. Benjamin SN, Allen HF: Classification for limbal dermoid choristomas and branchial arch anomalies: presentation of an unusual case. Arch Ophthalmol 87:305, 1972.

9. Elsas FJ, Green WR: Epibulbar tumors in childhood. Am J Ophthalmol 79:1001–1007, 1975.

10. Pfaffenbach DD, Green WR: Ectopic lacrimal gland. Int Ophthalmol Clin II 3:149–159, 1971.

11. Boniuk M, Zimmerman LE: Epibulbar osteoma (episcleral osseous choristoma). Am J Ophthalmol 53:290–296, 1962.

12. Dreizen NG, Schachat AP, Shields JA, Augsburger JJ: Epibulbar osseous choristoma. J Pediatr Ophthalmol Strabismus 20:247–249, 1983.

13. Oritz JM, Yanoff M: Epipalpebral conjunctival osseous choristoma. Br J Ophthalmol 63:173–176, 1979.

14. Gupta SP, Saxena RC: Cryptophthalmos. Br J Ophthalmol 46:629–632, 1962.

15. Johnson CC: Developmental abnormalities of the eyelids. Ophthalmol Plast Reconstr Surg 2:219, 1986.

16. Harley RD, Baird HW, Craven EM: Ataxia telangiectasia: report of seven cases. Arch Ophthalmol 77:58–592, 1967.

17. Howard GM, Jakobiec FA, DeVoe AG: Kaposi's sarcoma of the conjunctiva. Am J Ophthalmol 96:95–96, 1978.

18. Shuler JD, Holland GN, Miles SA, Miller BJ, Grossman I: Kaposi sarcoma of the conjunctiva and eyelids associated with the acquired deficiency syndrome. Arch Ophthalmol 107:858, 1989.

19. Kessing SV: On the conjunctival papillae and follicles. Acta Ophthalmol 44:846–851, 1966.

20. Griener JV, Covington HI, Allansmith MR: Surface morphology of the human upper tarsal conjunctiva. Am J Ophthalmol 83:892–905, 1977.

21. Srinivasan D, Jakobiec FA, Iwamoto T et al: Giant papillary conjunctivitis with ocular prostheses. Arch Ophthalmol 97:892–895, 1979.

22. Greiner JV, Convington HI, Allansmith MR: Surface morphology of giant papillary conjunctivitis in contact lens wearers. Am J Ophthalmol 85:242–252, 1978.

23. Allansmith MR, Korb DR, Greiner JV: Giant papillary conjunctivitis induced by hard or soft contact lens wear: quantitative histology. Trans Am Acad Ophthalmol Otolaryngol 85:766–778, 1978.

24. Sromovasam BD, Jakobiec FA, Iwamoto T, Devoe G: Giant papillary conjunctivitis with ocular prostheses. Arch Ophthalmol 97:892–895, 1979.

25. Hydayet AA, Riddle PJ: Ligneous conjunctivitis. A clinicopathologic study of 17 cases. Ophthalmology 94:949–959, 1987.

26. Kanai A, Polack FM: Histologic and electron microscope studies of ligneous conjunctivitis. Am J Ophthalmol 72:909–916, 1971.

27. Schuster V, Mingers AM, Seidenspinner S et al: Homozygous mutations in the plasminogen gene of two unrelated girls with ligneous conjunctivitis. Blood 90:958–966, 1997.

28. Salim AR, Sheikh HA: Trachoma in the Sudan. An epidemiological study. Br J Ophthalmol 59:600–604, 1975.

29. Rapoza PA, Quinn TC, Kiessling LA et al: Epidemiology of neonatal conjunctivitis. Ophthalmology 93:456–461, 1986.

30. Forster RK, Dawson CR, Schachter J: Late follow up of patients with neonatal inclusion conjunctivitis. Am J Ophthalmol 69:467–472, 1970. 31. ÜmSchachter J, Dawson CR: Human chlamydial infections. Littleton, MA, PSG Publishing, 178:1571.

32. MacCallan AF: The epidemiology of trachoma. Br J Ophthalmol 15:369, 1931.

33. Yoneda C, Dawson CR, Daghfous T et al: Cytology as a guide to the presence of chlamydial inclusions in giemsa-stained conjunctival smears in severe endemic trachoma. Br J Ophthalmol 59:116, 1975.

34. Wear DJ, Malaty RH, Zimmerman LE et al: Cat scratch disease bacilli in the conjunctiva of patients with Parinaud's oculoglandular syndrome. Ophthalmology 92:1282–1287, 1985.

35. Karcioglu ZA, Brear R: Conjunctival biopsy in sarcoidosis. Am J Ophthalmol 99:68–73, 1985.

36. Nichols CW, Eagle RC, Yanoff M, Merocal NG: Conjunctival biopsy as an aid in the evaluation of the patient with suspected sarcoidosis. Ophthalmology 87:287–289, 1980.

37. Friedman A, Henkind P: Granuloma pyogenicum of the palpebral conjunctiva. Am J Ophthalmol 71:868–872, 1971.

38. Patten JT, Hyndiuk RA: Granuloma pyogenicum of the conjunctiva. Ann Ophthalmol 7:1588, 1976.

39. Maumenee AE: Keratinization of the conjunctiva. Trans Am Ophthalmol Soc 77:133–143, 1979.

40. Kessing SV: Epithelial cysts in the conjunctiva. Acta Ophthalmol (Copenh) 47:642–655, 1969.

41. Barishak RY, Baruh E, Lazar M: Episcleral traumatic conjunctival inclusion cyst. Br J Ophthalmol 61:299–301, 1977.

42. Dodd MJ, Pusin SM, Green WR: Adult cystinosis. A case report. Arch Ophthalmol 96:1054–1057, 1978.

43. Meredith TA, Wright JD, Gammon JA et al: Ocular involvement in primary hyperoxaluria. Arch Ophthalmol 102:584–587, 1984.

44. Kincaid MC, Green WR, Hoover RE, Schenck PH: Ocular chrysiasis. Arch Ophthalmol 100:1791–1794, 1982.

45. Spencer WH, Garron LK, Conreras F et al: Endogenous and exogenous ocular and systemic silver deposition. Trans Ophthalmol Soc UK 100:171–178, 1980.

46. Fong DS, Frederick AR Jr, Richter CU et al: Adrenochrome deposit. Arch Dermatol 111:1142–1143, 1993.

47. Frazier PD, Wong VG: Cystinosis:histologic and crystallographic examination of crystals in eye tissues. Arch Ophthalmol 80:87, 1968.

48. Hanna C, Faunfelder FT, Sanchez J: Ultrastructural study of argyrosis of the cornea and the conjunctiva. Arch Ophthalmol 92:18–22, 1974.

49. Corwin ME, Spencer WH: Conjunctival melanin depositions. A side-effect of topical epinephrine therapy. Arch Ophthalmol 69:317–321, 1963.

50. Messmer E, Font RL, Sheldon G, Murphy D: Pigmented conjunctival cysts following tetracycline minocycline therapy. Histochemical and electron microscopic observations. Ophthalmology 90:1462–1467, 1983.

51. Brothers DM, Hidayat AA: Conjunctival pigmentation associated with tetracycline medication. Ophthalmology 88:1212–1215, 1981.

52. Impera PS, Lazarus HM, Lass JH: Ocular complications of systemic cancer therapy. Surv Ophthalmol 34:209, 1989.

53. Lloyd WC: Ophthalmology pathology with clinical correlations. Joseph W. Sassani, ed. Philadelphia, Lippincott-Raven, 1997:11–62.

54. Braude LS, Chandler JW: Atopic corneal disease. Int Ophthalmol Clin 24:145–156, 1984.

55. Foster CS, Calonge M: Atopic keratoconjunctivitis. Ophthalmology 97:992–1000, 1990.

56. Brown SI, Shahinian L Jr: Diagnosis and treatment of ocular rosacea. Ophthalmology 85:779–786, 1978.

57. Mondino BJ: Cicatricial pemphigoid and erythema multiforme. Ophthalmology 97:939, 1990.

58. Foster CS: Cicatricial pemphigoid. Trans Am Ophthalmol Soc 84:527, 1986.

59. Anderson SR, Jensen OA, Kristensen EB, Norm MS: Benign mucous membrane pemphigoid III. Biopsy. Acta Ophthalmol (Copenh) 52:455–463, 1974.

60. Mondino BJ, Brown SI: Ocular cicatricial pemphigoid. Ophthalmology 88:95–100, 1981.

61. Furey N, West C, Andrews T et al: Immunofluorescent studies of ocular cicatricial pemphigoid. Am J Ophthalmol 80:825–831, 1975.

62. Orfanos CE, Schaumburg-Lever G, Leveer WF: Dermal and epidermal types of erythema multiforme: a histopathologic study of 24 cases. Arch Dermatol 109:682–688, 1974.

63. Smith RS Farrell R, Bailey T: Keratomalacia. Surv Ophthalmol 20:213–219, 1975.

64. Sjögren H, Bloch K: Keratoconjunctivitis sicca and the Sjögren syndrome. Surv Ophthalmol 16:147–159, 1971.

65. Eagle RC: Eye pathology: an atlas and basic text. Philadelphia, WB Saunders, 1999:47,72–73.

66. Cameron ME: Histology of pterygium: an electron microscopic study. Br J Ophthalmol 67:604–608, 1983.

67. Hogan MJ, Alvarado J: Pterygium and pinguecula: electron microscopic study. Arch Ophthalmol 78:174–186, 1967.

68. Blodi FC, Apple DJ: Localized conjunctival amyloidosis. Am J Ophthalmol 88:346–350, 1979

69. Smith ME, Zimmerman LE: Amyloidosis of the eyelid and conjunctiva. Arch Ophthalmol 75:42–50, 1976.

70. Sandgren O: Ocular amyloidosis, with special reference to the hereditary forms with vitreous involvement. Surv Ophthalmol 40:173, 1995.

71. Aronson SB, Shaw R: Corneal crystals in multiple myeloma. Arch Ophthalmol 61:541–546, 1959.

72. Pinkerton RMH, Robertson DM: Corneal and conjunctival changes in dysproteinemia. Invest Ophthalmol 7:357–364, 1969.

73. Benjamin I, Taylor H, Spindler J: Orbital and conjunctival involvement in multiple myeloma. Am J Clin Pathol 63:811, 1975.

74. Erie JC, Campbell RJ, Liesegang TJ: Conjunctival and corneal intraepithelial and invasive neoplasia. Ophthalmology 93:176–183, 1986.

75. Dark AJ, Streeten BW: Preinvasive carcinoma of the cornea and conjunctiva. Br J Ophthalmol 64:506–514, 1980.

76. Char DH: The management of lid and conjunctival malignancies. Surv Ophthalmol 24:679–689, 1980.

77. Spinak M, Friedman AH: Squamous cell carcinoma of the conjunctiva. Value of exfoliative cytology in diagnosis. Surv Ophthalmol 21:354–355, 1977.

78. Tseng SCG: Staging of conjunctival squamous metaplasia by impression cytology. Ophthalmology 1985;92:728–733.

79. Zimmerman LE: The cancerous, precancerous, and pseudo-cancerous lesions of the cornea and conjunctiva. In: Rycroft PV, ed. Corneoplastic surgery: proceedins of the Second International Corneoplastic Conference. Oxford, Pergamon Press, 1969:547.

80. Dykstra PC, Dykstra BA: The cytologic diagnosis of carcinoma and related lesions of the ocular conjunctiva and cornea. Trans Am Acad Ophthalmol Otolaryngol 73:979, 1969.

81. Iliff WJ, Marback R, Green R: Invasive squamous cell carcinoma of the conjunctiva. Arch Ophthalmol 93:119, 1975.

82. Doxanas MT, Green WR: Sebaceous gland carcinoma. Review of 40 cases. Arch Ophthalmol 102:245–249, 1984.

83. Margo CE, Stern AL, Stern GA: Intraepithelial sebaceous carcinoma of the conjunctiva and skin of the eyelid. Ophthalmology 99:227, 1992.

84. Knowles DM, Jakobiec FA, McNally L, Burke JS: Lymphoid hyperplasia and malignant lymphoma occurring in the ocular adnexa (orbit, conjunctiva, and eyelids). Hum Pathol 21:959, 1990.

85. Feinberg A, Spraul CW, Holden JT, Grossniklaus HE: Conjunctival lymphocytic infiltrates associated with Epstein-Barr Virus. Ophthalmology 107:159–163, 2000.

86. Jakobiec FA, Folberg R, Iwamoto T: Clinicopathologic characteristics of premalignant and malignant melanocytic lesions of the conjunctiva. Ophthalmology 96:147–166, 1989.

87. Guille(c)n FJ, Albert DM, Mihm MC Jr: Pigmented melanocytic lesions of the conjunctiva: a new approach to their classification. Pathology 17:175–280, 1985.

88. Folberg R, McLean IW: Primary acquired melanosis and melanoma of the conjunctiva: terminology, classification and biologic behavior. Hum Pathol 17:652–655, 1986.

89. Folberg R, McLean IW, Zimmerman LE: Conjunctival melanosis and melanoma. Ophthalmology 91:673–678, 1984.

90. Folberg R, McLean IW, Zimmerman LE: Primary acquired melanosis of the conjunctiva. Hum Pathol 16:129–135, 1985.

91. Zimmerman LE: The histogenesis of conjunctival melanomas: the first Algernon B Reese lecture. In Jakobiec FA, ed. Ocular and Adnexal Tumors. Birmingham, AL, Aesculapius Publishing Company, 1978:600–630.

92. Folberg R, McLean IW, Zimmerman LE: Conjunctival acquired melanosis ad malignant melanoma. Ophthalmology 1984;91:673–678, 1984.

93. Liesegang TJ, Campbell RJ: Mayo Clinic experience with conjunctival melanomas. Arch Ophthalmol 98:1385–1389, 1980.

94. Helm CJ: Melanoma and other pigmented lesions of the ocular surface. In: Focal points: clinical modules for ophthalmologists, vol 14. San Francisco, American Academy of Ophthalmology, 1996:11.

95. Silvers D, Jakobiec FA, Freeman T et al: Melanoma of the conjunctiva: a clinicopathologic study. In: Jakobiec FA, ed. Ocular and adnexal tumors. Birmingham, AL, Aesculapius Publishing Company, 1978:583–599.

96. Crawford JB: Conjunctival melanomas: prognostic factors. A review and an analysis of a series. Trans Am Ophthalmol Soc 78:467–502, 1980.

97. Folberg R, McLean IW, Zimmerman LE: Malignant melanoma of the conjunctiva. Hum Pathol 16:136–143, 1985.

98. Albert DM, Jakobiec FA, eds. Principles and practice of ophthalmology, 2nd ed. Philadelphia, WB Saunders, 1994:286–289, 2132–2134.

Back to Top