Chapter 82
Ocular Infections Associated with the Acquired Immunodeficiency Syndrome
GARY N. HOLLAND and RALPH D. LEVINSON
Main Menu   Table Of Contents

Search

HUMAN IMMUNODEFICIENCY VIRUS
SECONDARY INFECTIONS OF THE EYE
REFERENCES

Human immunodeficiency virus (HIV) infection has become a major cause of morbidity and mortality throughout the world. The most severe manifestations of HIV infection, collectively termed the acquired immunodeficiency syndrome (AIDS), were first recognized in 1981. Since that time the AIDS epidemic has continued to grow, and it is now a leading cause of death in men between 25 and 44 years of age in the United States.1 The World Health Organization estimates that 30 million adults and 10 million children throughout the world will be infected by HIV by the year 2000, the majority being in developing countries.1 It is feared that HIV infection will result in the death of 15% to 20% of the work force in Africa.1
Back to Top
HUMAN IMMUNODEFICIENCY VIRUS
HIV is a newly discovered RNA virus. It is a “retrovirus,” containing the enzyme reverse transcriptase, which is used to make a DNA copy of its viral RNA. That DNA is then incorporated permanently into the host cell genetic material. The virus infects a variety of human cells, but its effect on lymphocytes accounts for the severe immunologic abnormalities characteristic of AIDS.2 There is a profound reduction of the CD4 lymphocyte subpopulation, although only a minority of CD4 lymphocytes are found to be infected. The mechanism whereby large numbers of CD4 lymphocytes are destroyed is not completely understood. Lymphocyte dysfunction leads to profound defects in cellular immunity, including cutaneous anergy, and decreased in vitro lymphocyte proliferative responses to various mitogens and antigens. In addition, patients develop alterations in humoral immunity and in immunoregulatory mechanisms.3 Polyclonal B-cell activation results in elevated levels of IgG and IgA. Circulating immune complexes are also a common finding.

AIDS is now defined by the Centers for Disease Control (CDC) as either the occurrence of specific “index diseases,” such as Kaposi's sarcoma or Pneumocystis carinii pneumonia, to which patients are susceptible because of HIV infection, or a CD4 lymphocyte count less than 200 per cubic millimeter of blood in an HIV-infected individual.4

Human immunodeficiency virus infection is transmitted by sexual activity or through receipt of infected blood products. Groups at risk, therefore, include sexually active male homosexuals, intravenous drug abusers who share contaminated needles, hemophiliacs, recipients of whole-blood transfusions, and heterosexual partners of AIDS patients. During heterosexual intercourse, male-to-female transmission appears to be more common than female-to-male transmission. The disease can also be transmitted in utero to children of mothers with HIV infection.

HUMAN IMMUNODEFICIENCY VIRUS INFECTION OF THE EYE

Human immunodeficiency virus has been recovered from most ocular tissues, including the retina and cornea. It does not appear to cause clinically apparent disease in most patients but may occasionally contribute to nonspecific intraocular inflammation and serve as a contributing factor in the pathogenesis of secondary disorders. Occasionally, HIV-infected patients are seen who have chronic iridocyclitis that cannot be attributed to any secondary intraocular infection or systemic inflammatory disease.5 The iridocyclitis resolves rapidly in some patients with antiretroviral therapy (zidovudine), suggesting a direct relationship to HIV. Alternatively, inflammation might be the result of an unidentified infectious agent of low virulence that is successfully suppressed with improvement in the patient's immune function.

There have been other AIDS patients without evidence of secondary intraocular infections who have decreased vision, vitritis, constricted visual fields, and reduced or extinguished electroretinograms. It is theorized that the findings might represent other manifestations of direct infection with HIV.

Human immunodeficiency virus infection has been proposed as a possible cause for the microvasculopathy seen commonly in HIV-infected patients that results in cotton-wool spots and retinal hemorrhages.6 HIV infection of the endothelial cells with subsequent vascular occlusion does not fully explain all findings of the condition, nor does it account for the marked similarity between HIV-associated retinal microvasculopathy and retinal microvasculopathy seen in diabetes mellitus or some connective tissue disorders, such as systemic lupus erythematosus. Also, infection of endothelial cells is not a consistent finding in patients with retinal microvasculopathy.7

The virus may act as a cofactor in cytomegalovirus (CMV) retinopathy. Both viruses have been found in the same retinal cells at autopsy.8 Interactions between the two viruses, which are known to occur in vitro, may enhance the activity of CMV in co-infected cells, and may be one reason that CMV retinopathy is more severe in some patients.

Back to Top
SECONDARY INFECTIONS OF THE EYE
Infections of the eye are among the most feared complications of HIV infection (Table 1). They tend to be severe and are associated with a high rate of vision loss. The eye does not reflect the full spectrum of opportunistic infections seen in patients with AIDS. Furthermore, ocular infections occur less commonly than non-ocular infections with the same agent (Table 2).9 The characteristic spectrum of opportunistic infections that occurs in AIDS is undoubtedly a reflection of the specific immunologic defects in the disease. The systemic and local factors that protect against a higher incidence of these infections in the eye remain to be elucidated.

 

TABLE ONE. Infectious Agents Associated with Ophthalmic Disease in HIV-Infected Patients

  1. Infections of the retina and choroid
    1. Viruses
      1. Cytomegalovirus
      2. Herpes simplex virus
      3. Varicella zoster virus

    2. Parasites
      1. Toxoplasma gondii
      2. Pneumocystis carinii

    3. Fungi
      1. Bipolaris hawaiiensis
      2. Candida albicans
      3. Cryptococcus neoformans
      4. Fusarium sp
      5. Histoplasma capsulatum
      6. Sporotrichum schenckii

    4. Spirochetes
    5. Bacteria
      1. Endogenous bacteria
      2. Nocardia sp

    6. Mycobacteria
      1. Mycobacterium avium complex
      2. Mycobacterium tuberculosis


  2. Infections of the ocular surface and adnexa
    1. Viruses
      1. Herpes simplex virus
      2. Molluscum contagiosum
      3. Varicella zoster virus

    2. Parasites
      1. Microsporidia

    3. Fungi
      1. Candida albicans

    4. Chlamydia
      1. Chlamydia trachomatis, serotype L2 (lymphogranuloma venereum)

    5. Bacteria
      1. Staphylococcus sp
      2. Pseudomonas sp
      3. Capnocytophaga sp



* Classified as a protozoan parasite, but recent evidence suggests it is more closely related to fungi.

 

 

TABLE TWO. Autopsy Findings in 35 AIDS Patients


PathogenOcular Infection (No. cases and %)Nonocular Infection* (No. cases and %)
Cytomegalovirus12 (34)25 (71)
M.2 (6)12 (34)
avium-intracellulare  
Cryptococcus neoformans2 (6)5 (14)
Herpes simplex virus1 (3)11 (31)
Pneumocystis carinii0 (33)26 (74)
Candida albicans0 (33)14 (40)
Herpes zoster virus0 (33)4 (11)
Toxoplasma gondii0 (33)3 (9)
Aspergillus sp0 (33)2 (6)
Nocardia sp0 (33)1 (3)

 

Cytomegalovirus (CMV) retinopathy is by far the most common of the severe ophthalmic infections in patients with AIDS. Varicella zoster virus retinopathy is being seen with increasing frequency; although it is probably the second most common retinal infection in North American HIV-infected patients, it is still far less common than CMV retinopathy. Toxoplasmic retinochoroiditis is the third retinal infection that is seen with some regularity, especially in certain areas of Europe and South America. The remaining retinal infections associated with AIDS are uncommon. They are seen with disseminated infections, in which the massive proliferation of organisms may overwhelm the patient's limited immune defenses. They are usually seen late in the course of the syndrome; thus, they may actually signal further waning of immune defenses. Patients with intraocular infections should be suspected of having tissue-invasive infections involving other internal organs. When they do occur, intraocular infections are frequently extensive and severe.

Infections of the cornea and external eye are less common in HIV-infected individuals than intraocular infections. The natural defenses of normal eyelid function, tear film, and an intact corneal epithelium protect against many exogenous pathogens. It is therefore important that factors that might compromise those defenses, such as epithelial defects or trichiasis, be corrected as soon as possible. Also, HIV-infected patients who wear contact lenses should adhere strictly to lens care and disinfection techniques. Many HIV-infected individuals appear to have decreased aqueous tear production, which leads to feelings of dryness and irritation but does not seem to result in an increased incidence of ocular surface infections. At greater risk are patients who have permanent damage to the eyelids from zoster ophthalmicus, neurotrophic corneas from herpetic infections, or damage to the ocular surface from cicatricial conjunctivitis, similar to that of Stevens-Johnson syndrome, which is seen occasionally in patients with AIDS.

HIV infection and its sequelae are being studied in a variety of animal models. Rhesus monkeys infected with simian immunodeficiency virus develop an AIDS-like illness. In this model the monkeys develop a variety of ophthalmic lesions, including CMV infections of the retina.10 This model may be useful for future studies of AIDS-related ophthalmic infections.

CYTOMEGALOVIRUS

Cytomegalovirus retinopathy is the most thoroughly studied of the ophthalmic manifestations of HIV infection. CMV retinopathy is an AIDS-defining index disease. Most studies have concentrated on treatment, but a great deal has been learned about the natural history of CMV retinopathy during the course of these studies.

Cytomegalovirus is a ubiquitous DNA virus of the herpes group. Most of the adult population has been infected with CMV, but in most cases it does not cause any clinically apparent disease. The virus remains in the body, however, as a latent infection.

In patients with AIDS, CMV can cause life-threatening infections involving many tissues, including the brain, lungs, and gastrointestinal tract. The reported prevalence of CMV retinopathy varies from 4% of ambulatory patients (primarily intravenous drug abusers)11 to 34% of eyes in an autopsy series of male homosexuals.9 This discrepancy may reflect the fact that CMV retinopathy occurs late in the course of AIDS. Most investigators believe that the true prevalence of CMV retinopathy among patients with AIDS is approximately 15% to 25%. It has been suggested that CMV retinopathy is more common in homosexuals, because of different levels of exposure to CMV between risk groups.11,12

Cytomegalovirus retinopathy is clearly a disorder of immunosuppressed persons. Prior to its association with AIDS, the infection in adults was seen almost exclusively in patients with defects in cellular immunity related to disease or immunosuppressive drugs.13,14 A single report of CMV retinopathy in a healthy adult was not confirmed by culture or tissue examination.15

There is no obvious correlation between the development of CMV retinopathy and levels of CMV antibodies. CMV retinopathy has been reported in the absence of detectable antibodies.16

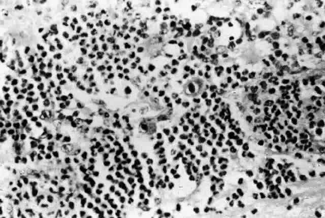
Histologic studies of AIDS-related CMV retinopathy demonstrate the tissue necrosis and cytomegalic cells characteristic of all CMV infections (Fig. 1).9,17 Electron-microscopic and immunochemical studies have identified CMV viral particles and antigen in a patchy distribution throughout all layers of the retina and occasionally in contiguous retinal pigment epithelial cells.9 Viral antigens are only rarely identified in the choroid.9,18 Viral antigen in the choroid has been found in association with vessels and is not always adjacent to areas of retinopathy, suggesting that the virus reaches the choroid through independent hematogenous spread rather than by extension of infection from the retina.

Fig. 1. CMV retinopathy, with neutrophilic infiltration in an area of necrotic retina. Cytomegalic cells with intranuclear inclusions are present in the center of the field (hematoxylin-eosin; original magnification × 600). (Printed with permission from Pepose JS, Holland GN, Nestor MS et al: Acquired immune deficiency syndrome: Pathogenic mechanisms of ocular disease. Ophthalmology 92:472, 1985)

Among cases of AIDS examined at autopsy, 22% to 50% of those with CMV retinopathy have neutrophilic infiltrates in retinal tissue.9,19 This finding is atypical when compared with CMV retinopathy in non-AIDS patients, in which only a sparse lymphocytic infiltrate is observed. The difference has been attributed to intact granulocyte function and chemotaxis in patients with AIDS, in contrast to infants, organ transplant recipients, and patients with malignancies who can have more severe quantitative or qualitative granulocyte dysfunction.9 It has been noted that patients on immunosuppressive drugs can develop marked inflammatory reactions to CMV retinopathy when such drugs are withdrawn.14 Acute inflammatory cells may extend into the adjacent choroid despite the absence of identifiable viral antigens.9 The vitreous usually remains remarkably free of inflammatory material, despite the presence of virus in the vitreous cavity.20

A variety of stimuli (CMV antigen, immune complex deposition, and tissue necrosis) may be responsible for the production of chemotactic factors leading to neutrophilic infiltration. Immunochemical studies have revealed deposition of IgG, IgA, and, to a lesser extent, IgM and C3c in retinal tissue and within retinal arteriolar walls.9 Many IgA-bearing plasma cells were present in one case.17 Perivascular infiltration of neutrophils occurs, consistent with immune complex-mediated vasculitis,9,17 but there is poor correlation between the distribution of tissue-bound immunoglobulins, acute inflammatory cells, and CMV antigens.9 Thus, it is also possible that concurrent retinal infection with other as-yet-unidentified pathogens is responsible for the acute inflammatory reaction seen in these eyes.

Inflammatory cell products do not appear to play a significant role in the extensive tissue destruction common to all cases of CMV retinopathy.

The histopathologic characteristics of AIDS-related CMV retinopathy in one autopsy study are listed in Table 3.9 CMV retinopathy frequently begins adjacent to retinal vessels in the posterior pole (Fig. 2). It is believed that virus reaches the eye via the bloodstream. Untreated CMV retinopathy in patients with AIDS is a relentlessly progressive disease. Usually, infection begins with an isolated focus of disease; rarely are there more than two or three discrete areas of infection within the eye. These lesions invariably enlarge to involve additional retinal tissue. New lesions develop less frequently. The enlargement of lesions does not progress at the same rate from all lesion borders.21 The rate of progression is faster in an anterior direction toward the ora serrata than in a posterior direction toward the fovea. CMV retinopathy has been considered a “foveal-sparing” disease. In a series of organ transplant patients with CMV retinopathy reported by Egbert and associates prior to the AIDS epidemic, only 3 of 21 eyes had macular involvement.14 The higher incidence of macular involvement in early autopsy series of patients with AIDS may reflect the fact that progression of CMV retinopathy into the macular region could not be stopped prior to the introduction of ganciclovir and foscarnet therapy. Even though the fovea can eventually be destroyed, it is usually the last area to become infected; in some cases the disease appears to move circumferentially around the fovea (Fig. 3). Eventually the entire retina will be destroyed, usually within a 6-month period.19 Progression of the retinopathy halts abruptly at the ora serrata.9 Following total retinal necrosis, it is replaced by a thin gliotic membrane.19 No virus can be identified in ocular tissue at this late stage.

 

TABLE THREE. Autopsy Findings in AIDS Patients: Characteristics of CMV Retinopathy


Total patients examined35
Cases with CMV retinopathy12 (34%)
Unilateral6 (50%)
Bilateral6 (50%)
Total eyes with CMV retinopathy18
Location of retinopathy 
Oral13 of 18 eyes (72%)
Equatorial10 of 18 eyes (56%)
Posterior13 of 18 eyes (72%)
Severity of retinopathy 
Mild (<10% of retina involved)8 of 18 eyes (44%)
Moderate (10%–50% of retina involved)8 of 18 eyes (44%)
Severe (>50% of retina involved)2 of 18 eyes (11%)
Hemorrhage10 of 18 eyes (56%)
Acute inflammation6 of 12 patients (50%);
Choroidal inflammation9 of 18 eyes (50%)
Serous retinal detachment10 of 18 eyes (56%)

 

Fig. 2. Gross autopsy specimen. Early foci of CMV retinopathy are seen as white, granular patches adjacent to retinal vessels (original magnification × 12). (Printed with permission from Pepose JS, Holland GN, Nestor MS et al: Acquired immune deficiency syndrome: Pathogenic mechanisms of ocular disease. Ophthalmology 92:472, 1985)

Fig. 3. Cytomegalovirus retinopathy in the left eye of a patient with AIDS. Disease has reactivated at lesion borders, and the posterior border is advancing in a circumferential manner around the fovea.

In non-AIDS patients, the spread of disease along vessels has been attributed to infection of vascular endothelial cells, which break free and travel through the retinal circulation.22 In support of this hypothesis, inclusion bodies have been identified in retinal endothelial cells of organ transplant patients with CMV retinopathy. Endothelial cell inclusions have been reported rarely in choroidal tissue of AIDS patients,18,20 but no CMV antigen has been identified in retinal endothelial cells by immunochemical techniques, even in vessels that travel through areas of retinopathy.17 Thus, endothelial cell infection does not appear to play a significant role in the spread of CMV retinopathy in AIDS.

CMV retinopathy is more common among patients with AIDS than among other severely immunosuppressed individuals. The frequent development of CMV retinopathy may be related in part to the retinal microvasculopathy that is common to HIV-infected patients.9,23 Ultrastructural studies of retinal capillaries have demonstrated basal lamina thickening, swelling of endothelial cells, narrowing and occlusion of vascular lumina, and loss of pericytes. This microvascular disease may allow access of virus to retinal tissue through damaged vessel walls. Hematogenous spread of virus to the eye is supported by the finding of CMV-like viral particles within macrophages in the choroidal circulation of an AIDS patient with CMV viremia.19 Sludging of blood flow through the retinal circulation may also contribute to infection by increasing the contact time between circulating infected cells and the retina.24

The only systemic risk factor that has been clearly associated with the development of CMV retinopathy in HIV-infected patients is a low CD4 lymphocyte count.12,25,26 The infection almost always occurs in patients with counts less than 50 per cubic millimeter.

Human cytomegalovirus is highly species-specific, making the study of human CMV infections in animal models difficult. Attention has therefore been focused on murine CMV infections in mice as a possible model for the study of human CMV retinopathy. Holland and associates showed that murine CMV was capable of causing retinal necrosis in immunosuppressed mice.27 Other investigators have subsequently studied the role of immune defenses against murine CMV retinopathy.28,29 There are many differences between murine and human CMV infections of the eye, however, and extrapolations about disease mechanisms to human CMV retinopathy should be made with caution. For example, murine CMV seems to have a propensity for uveal tissue, unlike its human counterpart. Also, susceptibility of murine and human CMV isolates to various antiviral agents is very different, making these models of little use for the investigation of new antiviral agents. Recently, a rabbit model of disease using human CMV was reported.30 Chorioretinal inflammation and destruction are seen, but additional study will be required to determine the extent to which the lesions and the course of disease mimic human retinal infection. The treatment of CMV retinopathy with new antiviral drugs has been reviewed elsewhere.31

Despite its apparent predilection for retinal tissue, CMV is found occasionally on the ocular surface. Cytomegalovirus has been isolated from conjunctival swabs of patients undergoing bone marrow transplantation at UCLA. Also, 19.5% of childhood leukemia victims in one series had CMV in tears.32 The site of infection was not determined in these studies. CMV was found by culture in ocular adnexal tissue of a patient with AIDS and conjunctivitis, but autopsy examination revealed no virus in the lacrimal gland.33 Cytomegalovirus has also been found by electron microscopy in the conjunctiva of an HIV-infected patient without clinical signs of disease related to CMV.34

VARICELLA ZOSTER VIRUS

Zoster ophthalmicus, with cutaneous lesions in the dermatome of the first division of the trigeminal nerve, keratitis, and anterior uveitis, can be seen relatively early in the course of a patient's HIV disease and is believed to be a harbinger of further deterioration in the patient's immune status.35,36 The severity of lesions and inflammation varies widely between patients.

Patients with HIV disease can also develop a chronic, productive varicella zoster virus infection of the corneal epithelium that resembles herpes simplex virus epithelial keratitis.37 This infection has never been reported in immunocompetent patients. It occasionally follows zoster ophthalmicus, with isolation of varicella zoster virus from corneal lesions many weeks after the resolution of cutaneous vesicles. In other patients there is no history of cutaneous zoster.

Varicella zoster virus can also cause a severe necrotizing retinopathy in HIV-infected patients (Fig. 4).38–41 It may present as an isolated infection or may occur concurrently with or after cutaneous zoster in any dermatomal distribution. In most HIV-infected patients, varicella zoster virus retinopathy presents as a distinctive clinical disorder known as “the progressive outer retinal necrosis syndrome.”41 It is characterized by multifocal, deep opaque retinal lesions (believed to be retinal edema) that quickly coalesce to involve the entire retina. The retina can become completely necrotic over a period of a few days to a couple of weeks. There is little or no vitreous or anterior chamber inflammatory reaction. Occlusive vasculitis is not a primary feature of the disease, although patients are ultimately left with severe vascular attenuation. The optic nerve may be hyperemic, and optic atrophy is a sequela of the infection.

Fig. 4. Varicella zoster virus retinopathy with full-thickness retinal necrosis. There is little associated inflammation (hematoxylin-eosin, original magnification × 280). (Photograph courtesy of Todd P. Margolis, MD, PhD)

Histopathologic examination of two cases showed viral antigens and viral particles in the outer retinal layers, consistent with the appearance of deep retinal lesions.39 There were variable amounts of inflammation in the retinas, and scattered areas of choroidal inflammation, although there was no evidence of choroidal infection by the virus.

The infection responds poorly to antiviral therapy.41 Even among patients with response to therapy, recurrence of disease is common.40,41 At the time of disease recurrence, the development of new lesions, including involvement of the second eye in unilateral cases, is more common than reactivation of pre-existing lesions.41 Patients may therefore be having repeated episodes of viremia, or there may be clinically inapparent virus within the retina.

This syndrome is clinically distinct from the classic description of the acute retinal necrosis syndrome, which can also be caused by varicella zoster virus, and is most commonly reported in otherwise healthy individuals. Acute retinal necrosis syndrome is characterized by a prominent vitreous and anterior chamber inflammatory reactions and an occlusive retinal vasculopathy. The difference between the two forms of varicella zoster virus retinopathy cannot be explained solely on the basis of immunodeficiency, because acute retinal necrosis syndrome has been seen in patients with AIDS and other immunodeficiency states.41 The reason that some HIV-infected patients develop acute retinal necrosis syndrome while others develop the progressive outer retinal necrosis syndrome is uncertain. Margolis and associates hypothesized that the clinical presentation of varicella zoster virus retinopathy may be related to the degree of immunosuppression in any given patient.39 The median CD4 lymphocyte count of patients with progressive outer retinal necrosis syndrome is 21 per cubic millimeter.41

Although most reported cases have fallen into one or the other distinct clinical groupings, varicella zoster virus probably causes a spectrum of disease. Patients may have variable amounts of inflammation, lesions may be limited in their distribution, and disease can have variable rates of progression.

HERPES SIMPLEX VIRUS

Herpes simplex virus (HSV) keratitis occurs in HIV-infected patients but may not be more common than infections in the general population. There appear to be differences in epithelial infections between HIV-infected and otherwise healthy patients, however.42 In HIV-infected patients, infection tends to be more prolonged and severe, although most cases will respond eventually to conventional antiviral agents. Infection is more likely to begin adjacent to the corneal limbus. Also, there appears to be a higher subsequent recurrence rate than in healthy individuals. It has been suggested that the infrequency with which stromal keratitis is seen in HIV-infected patients, despite the severity of epithelial disease, is due to the defects in cellular immune function associated with HIV infection.42

Most cases of HSV epithelial keratitis have been caused by HSV type 1 virus, although isolation of both type 1 and type 2 viruses from the same patient has been reported.43 Herpes simplex virus infection of the retina has been reported rarely in patients with AIDS.44,45 In general, HSV retinopathy is a rare disorder and does not appear to be specifically related to immunodeficiency. Most reported cases have had no history of pre-existing immunosuppression. In adults, it is usually seen in association with HSV encephalitis. Pepose and associates reported a patient with AIDS who had concurrent, bilateral CMV and HSV (type 1) infections of the retina as well as HSV encephalitis.44 At autopsy, antigens of both viruses, identified by immunoperoxidase staining, were present in all layers of the retina and in the same geographic distribution. HSV antigen was spread throughout the retina in an even distribution, as opposed to the patchy distribution of CMV antigen. Unlike CMV, HSV could be identified in retinal vascular endothelial cells and in the choroid. Within the brain, HSV antigen was restricted to vascular endothelium and scattered parenchymal cells in the subependymal region only. A similar distribution of virus has been reported by Anderson and Field in an animal model of HSV retinitis using immunocompetent mice.46 In this model, thymidine kinase-negative, acyclovir-resistant viral mutants appeared to have a predilection for retinal tissue. Intracranial inoculation of virus resulted in a severe bilateral necrotizing retinitis yet produced only a mild patchy encephalitis. Anderson and Field suggest that acyclovir treatment may potentially produce viral mutants with increased pathogenicity for the eye. The patient reported by Pepose and associates had been treated with acyclovir, but viral isolates were not obtained from the eye for determination of acyclovir resistance. Schuman and associates described a case of extensive retinal necrosis in which HSV (type 1) antigens were found in the retina at autopsy, but that patient did not have encephalitis.45

It has been suggested that HSV reaches the eye by neural spread from the brain because of the frequent association between HSV retinopathy and HSV encephalitis.47 In the case reported by Pepose and associates, the optic nerves were not infected despite the HSV encephalitis.44 The virus may have reached both the brain and the eye via the bloodstream, as suggested by HSV infection of endothelial cells of the retinal vasculature.

TOXOPLASMA GONDII

Toxoplasma gondii is a common opportunistic pathogen in HIV-infected patients, and toxoplasmosis is believed to be the most common nonviral infection of the brain in patients with AIDS. In contrast, it is a relatively uncommon infection of the eye.

In HIV-infected patients, ocular toxoplasmosis can produce a variety of disorders, including iridocyclitis, retinochoroiditis, and even panophthalmitis and orbital inflammation.48–54 Iridocyclitis is usually secondary to retinal infection and can be severe, resulting in redness, pain, and posterior synechiae formation. In immunocompetent patients, T. gondii infection is restricted to the retina, but infection of the iris has been reported in HIV-infected patients.49

Retinochoroiditis is the most common form of ocular toxoplasmosis. Clinical presentations include single lesions, multifocal lesions in one or both eyes, and broad areas of retinal necrosis.48,55 Small, early lesions may appear to be restricted to the outer or inner retinal layers,48 but in most reported cases, disease has progressed to full-thickness retinal necrosis, usually several disc diameters in size, by the time disease is diagnosed, indicating that untreated disease is continuously progressive. Spontaneous resolution of toxoplasmic retinochoroiditis in HIV-infected patients has not been reported. Progression is generally slow.

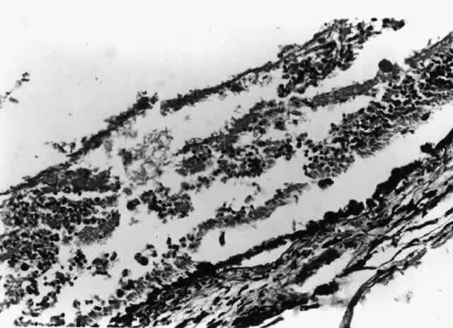
In cases with full-thickness necrosis, the retina appears to have a thick, densely opaque appearance with sharply demarcated borders. There is usually little hemorrhage. There may be inflammatory vascular sheathing, but this sign is not helpful in differentiating ocular toxoplasmosis from other infections, such as CMV retinopathy or syphilis. A prominent inflammatory reaction in the vitreous and anterior chamber has been described by some investigators, while others report little associated vitritis or iridocyclitis.50,51 Histopathologic examination of lesions reveals both trophozoites and cysts in areas of retinal necrosis and within retinal pigment epithelium (RPE) cells (Fig. 5).48 Organisms can be found in fewer numbers in the choroid and vitreous. The optic nerve may also be infected.48,51,52 Although a prominent choroidal inflammatory reaction may be present, there is usually scant inflammatory material in the necrotic retina.48,51

Fig. 5. A prominent Toxoplasma gondii cyst in necrotic retina of a patient with AIDS and ocular toxoplasmosis (arrow). There is little tissue inflammation (hematoxylin-eosin, original magnification [A5];times; 600). (Photograph courtesy of Ben J. Glasgow, MD)

In the general population, most cases of toxoplasmic retinochoroiditis are believed to be due to reactivation of encysted organisms in retinochoroidal scars that are the residua of congenital infections. In HIV-infected patients, lesions are seldom associated with pre-existing scars, suggesting that retinal infection is due to acquired disease or to organisms disseminated to the eye from nonocular sites. The optic nerve has been proposed as one route of spread to the eye, especially in view of the fact that CNS and ocular lesions are commonly seen together. In most cases, however, T. gondii probably reaches the eye via the bloodstream.48

Inactive chorioretinal scars consistent with healed T. gondii infection have been seen in patients with AIDS, but without signs of reactivation.23 Presumably these scars contain viable encysted organisms capable of reactivation. The cellular immunodeficiency of HIV infection may by itself be insufficient to initiate recurrent toxoplasmic retinochoroiditis in previously infected eyes.

Nonhuman primates with healed toxoplasmic retinochoroidal lesions containing encysted organisms do not develop recurrent disease following cellular immunosuppression with total lymphoid irradiation.56 The animals are susceptible to active ocular disease with reinoculation, indicating that cellular immunodeficiency facilitates infection but does not initiate recurrences. The same may be true of the immunodeficiency of HIV infection.

Patients with suspected ocular toxoplasmosis should be evaluated for systemic toxoplasmosis as well. It is believed that 50% of patients with ocular toxoplasmosis also have CNS involvement, and ocular disease may be recognized before any neurologic manifestations of intracranial infection.48,51

Serologic testing is not helpful in diagnosis. Nearly all patients will have anti-Toxoplasma antibodies, but they are also common in the general population, and titers vary widely. IgM antibodies are uncommon.48

Because infection continues to progress without treatment, all cases are treated with antiparasitic agents, although the most effective agents have not been identified. Response to treatment can be remarkably fast.48,51,55 Inflammatory signs resolve without use of corticosteroid therapy. Lesions generally heal completely within 4 to 6 weeks, with little pigmentary response,51 in contrast to the hyperpigmented scars seen in immunocompetent patients. Chronic suppressive therapy must be continued to prevent reactivation of infection.

FUNGAL INFECTIONS

Fungal ulcers of the cornea have been reported to occur without obvious predisposing factors in patients with AIDS.57–59 In otherwise healthy individuals, fungal keratitis usually follows some form of tissue injury or other abnormality of the ocular surface.

A variety of fungi have been reported as causes of retinal or choroidal disease in patients with AIDS (see Table 1), but none are common.45,60–68 They generally are reported to cause multiple, nonspecific lesions in the posterior pole, with variable amounts of inflammation. They are usually late manifestations of AIDS.

Cryptococcus neoformans is the fungus most commonly associated with ocular disease in patients with AIDS. Usually it is reported as a cause of visual loss in patients who have cryptococcal meningitis with damage to the optic nerves or intracranial visual pathways, but intraocular infections have also been reported.60–63 Intraocular organisms have also been found as incidental findings at autopsy,9 where they are seen within retinal and choroidal vessels without associated inflammation. Lack of associated inflammatory reaction is a common finding in many clinical and autopsy studies of cryptococcal intraocular infections in AIDS patients.

Candidal chorioretinitis and endophthalmitis are uncommon in patients with AIDS.62,64 Although mucocutaneous candidal infections are very common in HIV-infected patients, candidal chorioretinitis is not associated specifically with the immunodeficiency state of HIV infection. In a similar manner, patients with chronic mucocutaneous candidiasis, a disease in which there is an isolated specific T-cell defect for Candida sp,69 do not develop candidal chorioretinitis.

Immunodeficiency diseases and immunosuppressive therapies have not been among the common predisposing factors for candidal chorioretinitis in large published series of patients with this infection.70 Among the major risk factors in such patients, however, are intravenous drug abuse and prolonged intravenous catheterization, because they result in candidemia.70,71 The mucocutaneous candidiasis of AIDS does not result in candidemia. Only those patients with AIDS who are active intravenous drug abusers or those who receive intravenous antibiotics or nutritional support through chronic indwelling catheters seem to be at risk for endogenous candidal infections of the eye.

PNEUMOCYSTIS CARINII

Pneumocystis carinii pneumonia is one of the most common manifestations of AIDS. P. carinii can also disseminate to other organs, including the eye, where it can infect the choroid. Choroidal pneumocystosis was first described in HIV-infected patients and is one of the few “new” ophthalmic diseases to have been described as a result of the AIDS epidemic.

For many years, P. carinii has been considered a protozoan parasite, but recent studies have led some investigators to believe that the organism should be classified as a fungus.72–74 Among various pieces of evidence are the facts that it has ribosomal RNA sequences that share greater homology with some fungi than with protozoa, and that it has a soluble translation factor unique to fungal protein synthesis. The issue of taxonomy has not yet been resolved.

Choroidal pneumocystosis is characterized by one or more discrete, yellow-white subretinal plaques in the posterior poles of both eyes. At diagnosis, lesions vary from 300 to 3000 μm in diameter. Lesions are not seen anterior to the equator. Without treatment, choroidal lesions enlarge slowly, with a reported rate of 750 μm/month.75,76 Enlargement may be asymmetric and eccentric, resulting in their sometimes irregular, multilobular shapes. Such enlargement suggests that organisms spread by invasion of choroidal vascular spaces.75 Eventually, large, geographic yellow-white areas result from lesion coalescence. Serous detachment of the retina overlying choroidal lesions has been reported, however.77 There may also be retinal pigment epithelium alterations overlying some lesions.78,79 Histologically, lesions are collections of P. carinii organisms surrounded by a “frothy” material.75,78 There are few or no inflammatory cells in lesions. A vitreous inflammatory reaction is not seen with choroidal pneumocystosis.

Early reports of P. carinii in the retina of patients with cotton-wool spots have never been confirmed in subsequent studies, and there is no evidence that there is any causal relationship between the two.

Many patients with choroidal pneumocystosis have been receiving inhaled pentamidine as prophylaxis against P. carinii pneumonia prior to the development of ocular disease.80 Inhaled pentamidine offers no protection against extrapulmonary P. carinii infections. The discovery of choroidal pneumocystosis after the introduction of prophylactic agents probably reflects the fact that they increase survival sufficiently to allow the emergence of late, uncommon manifestations of the infection. Although choroidal pneumocystosis was not recognized prior to the widespread use of inhaled pentamidine, there are reported cases in patients without a history of prophylactic treatment.75,76

Many patients with choroidal pneumocystosis have concurrent CMV retinopathy. There is a known association between P. carinii and CMV infections in immunosuppressed patients that results in a higher prevalence of concurrent infection of the same organ than would be expected from chance alone.75 In view of the fact that these organisms infect different layers of the eye, their association in AIDS patients may simply be coincidental because of the high prevalence of CMV retinopathy.

Patients with choroidal pneumocystosis are frequently asymptomatic or have only mild visual symptoms, even when lesions are under the fovea.81 The clinical importance of choroidal pneumocystosis is primarily that it can be an early sign of disseminated, life-threatening P. carinii infection. The treatment of pneumocystosis has been reviewed elsewhere.80,81

SYPHILIS

Syphilitic eye disease appears to be more common in HIV-infected patients with syphilis than in others with syphilis. Although ocular disease can be associated with secondary or early latent syphilis, most reported cases in HIV-infected patients have had neurosyphilis.82

Reported ocular manifestations of syphilis in HIV-infected patients have included granulomatous iridocyclitis, vitritis, retinitis, neuroretinitis, and optic neuritis. Syphilitic retinal disease can take a variety of forms in HIV-infected patients. They may have patchy infiltrates, with or without retinal necrosis, that can mimic the more indolent-appearing forms of CMV retinopathy. A very characteristic subretinal lesion has also been described in other patients with HIV infection and syphilis.83 It is typically a large, nonelevated, plaquelike mass found in the macular and juxtapapillary area at the level of the RPE. The borders of the lesion are distinctly yellow, whereas the central area may be more faded. Retinal disease may be unilateral or bilateral. Vascular sheathing may be present.

Syphilitic retinal disease is usually accompanied by marked inflammatory reactions in the vitreous and anterior chamber.82–84 Posterior synechiae are common. Keratic precipitates may be fine white or granulomatous in appearance.

MYCOBACTERIAL INFECTIONS

The AIDS epidemic is responsible in large part for a dramatic increase in the prevalence of tuberculosis over the past decade.85 The cellular immune dysfunction of HIV infection places individuals at increased risk of developing tuberculosis (clinically apparent disease) after infection with Mycobacterium tuberculosis. Intact T-lymphocyte function is necessary to enhance the activity of macrophages that ingest and kill mycobacterial organisms. Extrapulmonary tuberculosis is common in HIV-infected patients and fulfills CDC criteria for the diagnosis of AIDS.

Mycobacterium tuberculosis can infect most tissues of the eye and is a well-known cause of uveitis. Intraocular infection is uncommon, however, even among patients with tuberculosis. There have been only a few isolated case reports of ocular tuberculosis among AIDS patients.86–88 The most common form of ocular tuberculosis is a multifocal choroidopathy. Choroidal tubercules can range in size from less than an optic disc area to several thousand microns in diameter. There can be variable pigmentation; earlier lesions are hypopigmented, with later lesions accumulating some pigmentation. There are no features that are pathognomonic for tuberculosis, and lesions must be differentiated from other mycobacterial infections, P. carinii infection, syphilis, and lymphoma. Choroidal infections can be complicated by scleral extension, serous retinal detachment, and a severe secondary granulomatous anterior uveitis.

Nontuberculous mycobacterial infections can also produce choroidal granulomata, in which acid-fast bacilli can be found in histiocytes (Fig. 6). Mycobacterium avium complex is the most common cause. Infections have been reported most commonly as incidental findings at autopsy,9,17 although round, yellow-white lesions resembling choroidal pneumocystosis on fundus examination have been confirmed to be nontuberculous mycobacterial granulomata.31

Fig. 6. A focal choroidal granuloma underlying an area of cytomegalovirus retinopathy with exudative retinal detachment. The granuloma contained acid-fast bacilli (hematoxylin-eosin; original magnification × 125). (Photograph courtesy of Robert Y. Foos, MD)

OTHER BACTERIAL INFECTIONS

Bacterial corneal ulcers are uncommon in patients with AIDS.89–92 Infections with Staphylococcus aureus and Pseudomonas aeruginosa have been reported most commonly. They have been related to the same predisposing factors seen in healthy individuals, including epithelial defects, neurotrophic keratitis, and contact lens use. These infections can be severe and difficult to treat, with spread to the sclera and loss of the eye. Metastatic bacterial infections of the retina have been reported rarely.31,93 The focal inflammatory lesions have been nonspecific in appearance and could have been mistaken for a variety of infections.

OTHER CORNEAL INFECTIONS AND EXTERNAL OCULAR DISEASE

Microsporidiosis

The microsporidia are ubiquitous, obligate, intracellular spore-forming protozoan parasites that infect many species. Corneal and conjunctival microsporidiosis is a previously rare disorder that has been reported in several patients with AIDS.94,95 Infection has been caused by members of the genus Encephalitozoon.96It occurs in patients with severe depression of immune function; in one report the mean CD4 lymphocyte count was 26 per cubic millimeter.97

Infection causes a diffuse corneal and conjunctival epitheliopathy. Microsporidial infection of the cornea in patients without HIV infection can result in a corneal inflammatory response. In contrast, corneal microsporidiosis in HIV-infected patients is associated with little inflammation, and the cornea remains relatively clear. The epithelial surface does become very irregular, causing a marked drop in vision and resulting in discomfort. Organisms can be found in the conjunctival epithelium as well, facilitating diagnosis by conjunctival biopsy. Organisms are gram-positive but are seen poorly on hematoxylin and eosin-stained specimens. They have variable staining characteristics with Gomori methenamine silver, acid-fast, and Giemsa stains. A PAS-positive body at one end of the oval mature spore is diagnostic at the light-microscopic level.

The source of ocular infection with microsporidia is unknown. The superficial location of the organisms in the cornea suggests that direct inoculation may be the route of infection. Many of the initially reported patients were owners of pet birds.

Molluscum Contagiosum

Molluscum contagiosum is the most common infection of the eyelids in HIV-infected patients.98–100 The responsible DNA virus is ubiquitous throughout the world and commonly infects healthy adults and children, causing small nodular lesions on the skin. In the general population, lesions involving the eyelid margins characteristically cause a chronic follicular conjunctivitis. HIV-infected patients tend to have more lesions, and they are much larger; it is common to see numerous lesions covering the face and eyelids. Even large eyelid margin lesions do not tend to cause follicular conjunctivitis, however, probably because of the patients' suppressed cellular immunity. Lesions are usually tolerated well, but very large, bulky lesions or lesions involving the inner portion of the eyelid margin may be uncomfortable; these lesions will shrink with cryotherapy, but it is difficult to eradicate lesions completely.

The AIDS epidemic is providing researchers with an unprecedented opportunity to investigate the interaction between immune defense mechanisms and pathogenic organisms in a variety of settings, including the eye. As more is learned about the complex functioning of the immune system and the specific defects in AIDS, insight can be obtained into ways in which the body protects the eye against microbial disease.

Back to Top
REFERENCES

1. Holland GN: AIDS and ophthalmology: The first decade. Am J Ophthalmol 114:86, 1992

2. Fauci AS, Rosenberg ZF: Immunopathogenesis. In Broder S, Merigan TC, Bolognesi D (eds): Textbook of AIDS Medicine, pp 55–75. Baltimore, Williams & Wilkins, 1994[cf/ ]

3. Lane HC, Masur H, Edgar LC et al: Abnormalities of B-cell activation and immunoregulation in patients with the acquired immunodeficiency syndrome. N Engl J Med 309:453, 1983

4. Centers for Disease Control and Prevention: 1993 Revised classification system for HIV infection and expanded surveillance case definition for AIDS among adolescents and adults. MMWR 41(No. RR-17):1, 1992

5. Farrell PL, Heinemann MH, Roberts CW et al: Response of human immunodeficiency virus-associated uveitis to zidovudine. Am J Ophthalmol 106:7, 1988

6. Pomerantz RJ, Kuritzkes DR, de la Monte SM et al: Infection of the retina by human immunodeficiency virus type I. N Engl J Med 317:1643, 1987

7. Faber DW, Wiley CA, Lynn GB et al: Role of HIV and CMV in the pathogenesis of retinitis and retinal vasculopathy in AIDS patients. Invest Ophthalmol Vis Sci 33:2345, 1992

8. Skolnik PR, Pomerantz RJ, de la Monte SM et al: Dual infection of retina with human immunodeficiency virus type I and cytomegalovirus. Am J Ophthalmol 107:361, 1989

9. Pepose JS, Holland GN, Nestor MS et al: Acquired immune deficiency syndrome: Pathogenic mechanisms of ocular disease. Ophthalmology 92:472, 1985

10. Conway MD, Didier P, Fairburn B et al: Ocular manifestation of simian immunodeficiency syndrome (SAIDS). Curr Eye Res 9:759–770, 1990

11. Rosenberg PR, Uliss AE, Friedland GH et al: Acquired immunodeficiency syndrome: Ophthalmic manifestations in ambulatory patients. Ophthalmology 90:874, 1983

12. Geier SA, Sadri I, Bogner J et al: Prognostic factors and critical values for the development of cytomegalovirus retinopathy in patients with AIDS. Invest Ophthalmol Vis Sci (suppl) 34:1057, 1993

13. Pollard RB, Egbert PR, Gallagher JG et al: Cytomegalovirus retinitis in immunosuppressed hosts: I. Natural history and effects of treatment with adenine arabinoside. Ann Intern Med 93:655, 1980

14. Egbert PR, Pollard RB, Gallagher JG et al: Cytomegalovirus retinitis in immunosuppressed hosts: II. Ocular manifestations. Ann Intern Med 93:664, 1980

15. Chawla HB, Ford MJ, Munro JF et al: Ocular involvement in cytomegalovirus infection in a previously healthy adult. Br Med J 2:281, 1976

16. Neuwirth J, Gutman I, Hofeldt AJ et al: Cytomegalovirus retinitis in a young homosexual male with acquired immunodeficiency. Ophthalmology 89:805, 1982

17. Holland GN, Pepose JS, Pettit TH et al: Acquired immune deficiency syndrome: Ocular manifestations. Ophthalmology 90:859, 1983

18. Rodriguez MM, Palestine A, Nussenblatt R et al: Unilateral cytomegalovirus retinochoroiditis and bilateral cytoid bodies in a bisexual man with the acquired immunodeficiency syndrome. Ophthalmology 90:1577, 1983

19. Palestine AG, Rodriguez MM, Macher AM et al: Ophthalmic involvement in acquired immunodeficiency syndrome. Ophthalmology 91:1092, 1984

20. Bachman DM, Rodriguez MM, Chu FC et al: Culture-proven cytomegalovirus retinitis in a homosexual man with the acquired immunodeficiency syndrome. Ophthalmology 89:797, 1982

21. Holland GN, Shuler JD: Progression rates of cytomegalovirus retinopathy in ganciclovir-treated and untreated patients. Arch Ophthalmol 110:1435, 1992

22. deVenecia G, ZuRhein GM, Pratt MV et al: Cytomegalic inclusion retinitis in an adult. Arch Ophthalmol 86:44, 1971

23. Newsome DA, Green WR, Miller ED et al: Microvascular aspects of acquired immune deficiency syndrome retinopathy. Am J Ophthalmol 98:590, 1984

24. Engstrom RE, Holland GN, Hardy WD et al: Hemorheologic abnormalities in patients with human immunodeficiency virus infection and ophthalmic microvasculopathy. Am J Ophthalmol 109:153, 1990

25. Pertel P, Hirschtick R, Phair J et al: Risk of developing cytomegalovirus retinitis in persons infected with the human immunodeficiency virus. J Acquir Immune Defic Syndr 5:1069, 1992

26. Kupperman BD, Petty JG, Richman DD et al: Correlation between CD4+ counts and prevalence of cytomegalovirus retinitis and human immunodeficiency virus-related noninfectious retinal vasculopathy in patients with acquired immunodeficiency syndrome. Am J Ophthalmol 115:575, 1993

27. Holland GN, Fang EN, Glasgow BJ et al: Necrotizing retinopathy after intraocular inoculation of murine cytomegalovirus in immunosuppressed adult mice. Invest Ophthalmol Vis Sci 31:2326, 1990

28. Bale JF, O'Neill ME, Folberg R: Murine cytomegalovirus ocular infection in immunocompetent and cyclophosphamide-treated mice. Invest Ophthalmol Vis Sci 32:1749, 1991

29. Atherton SS, Newell CK, Kanter MY et al: T cell depletion increases susceptibility to murine cytomegalovirus retinitis. Invest Ophthalmol Vis Sci 33:3353, 1992

30. Dunkel EC, Freitas D, Scheer DI et al: A rabbit model for human cytomegalovirus-induced chorioretinal disease. J Infect Dis 168:336, 1993

31. Holland GN: AIDS: Retinal and choroidal infections. In Ryan SJ, Lewis H (eds): Medical and Surgical Retina: Advances, Controversies, and Management, pp 415–433. St. Louis, Mosby Year Book, 1994

32. Cox F, Meyer D, Hughes WT: Cytomegalovirus in tears from patients with normal eyes and with acute cytomegalovirus chorioretinitis. Am J Ophthalmol 80:817, 1975

33. Khadem M, Kalish SB, Goldsmith J et al: Ophthalmologic findings in acquired immune deficiency syndrome (AIDS). Arch Ophthalmol 102:201, 1984

34. Brown HH, Holland GN, Glasgow BJ et al: Cytomegalovirus infection of the conjunctiva in AIDS. Am J Ophthalmol 106:102, 1988

35. Cole EL, Meisler DM, Calabrese LH et al: Herpes zoster ophthalmicus and acquired immune deficiency syndrome. Arch Ophthalmol 102:1027, 1984

36. Sandor E, Croxson TS, Millman A et al: Letter to the editor: Herpes zoster ophthalmicus in patients at risk for AIDS. N Engl J Med 310:118, 1984

37. Engstrom RE, Holland GN: Chronic herpes zoster virus keratitis associated with the acquired immunodeficiency syndrome. Am J Ophthalmol 105:556, 1988

38. Forster DJ, Dugel PU, Frangieh GT et al: Rapidly progressive outer retinal necrosis in the acquired immunodeficiency syndrome. Am J Ophthalmol 110:341, 1990

39. Margolis TP, Lowder CY, Holland GN et al: Varicella-zoster virus retinitis in patients with the acquired immunodeficiency syndrome. Am J Ophthalmol 112:119, 1991

40. Johnston WH, Holland GN, Engstrom RE et al: Recurrence of presumed varicella-zoster virus retinopathy in patients with acquired immunodeficiency syndrome. Am J Ophthalmol 116:42, 1993

41. Engstrom RE, Holland GN, Margolis TP et al: The progressive outer retinal necrosis syndrome: A clinical variant of necrotizing herpetic retinopathy in patients with AIDS. Ophthalmology, 1994

42. Young TL, Robin JB, Holland GN et al: Herpes simplex keratitis in patients with acquired immune deficiency syndrome. Ophthalmology 96:1476, 1989

43. Rosenwasser GOD, Greene WH: Simultaneous herpes simplex types 1 and 2 keratitis in acquired immunodeficiency syndrome. Am J Ophthalmol 113:102, 1992

44. Pepose JS, Hilborne LH, Cancilla PA et al: Concurrent herpes simplex and cytomegalovirus retinitis and encephalitis in the acquired immune deficiency syndrome (AIDS). Ophthalmology 91:1669, 1984

45. Schuman JS, Orellana J, Friedman AH et al: Acquired immunodeficiency syndrome (AIDS). Surv Ophthalmol 31:384, 1987

46. Anderson JR, Field HJ: The development of retinitis in mice with non-fatal herpes simplex encephalitis. Neuropathol Appl Neurobiol 8:277, 1982

47. Culbertson WW: Infections of the retina in AIDS. Int Ophthalmol Clin 29:108, 1989

48. Holland GN, Engstrom RE, Glasgow BJ et al: Ocular toxoplasmosis in patients with the acquired immunodeficiency syndrome. Am J Ophthalmol 106:653, 1988

49. Rehder JR, Burnier M, Pavesio CE et al: Acute unilateral toxoplasmic iridocyclitis in an AIDS patient. Am J Ophthalmol 106:740, 1988

50. Bottoni F, Gonnella P, Autelitano A et al: Diffuse necrotizing retinochoroiditis in a child with AIDS and toxoplasmic encephalitis. Graefes Arch Clin Exp Ophthalmol 228:36, 1990

51. Gagliuso DJ, Teich SA, Friedman AH et al: Ocular toxoplasmosis in AIDS patients. Trans Am Ophthalmol Soc 88:63, 1990

52. Grossniklaus HE, Specht CS, Allaire G et al: Toxoplasma gondii retinochoroiditis and optic neuritis in acquired immune deficiency syndrome: Report of a case. Ophthalmology 97:1342, 1990

53. Couchereau-Massin I, LeHoang P, Lautier-Frau M et al: Ocular toxoplasmosis in human immunodeficiency virus-infected patients. Am J Ophthalmol 114:130, 1992

54. Moorthy RS, Smith RE, Rao NA: Progressive ocular toxoplasmosis in patients with acquired immunodeficiency syndrome. Am J Ophthalmol 115:742, 1993

55. Holland GN: Ocular toxoplasmosis in the immunocompromised host. Int Ophthalmol 13:399, 1989

56. Holland GN, O'Connor GR, Diaz R et al: Ocular toxoplasmosis in immunosuppressed nonhuman primates. Invest Ophthalmol Vis Sci 29:835, 1988

57. Santos C, Parker J, Dawson C et al: Letter to the editor: Bilateral fungal corneal ulcers in a patient with AIDS-related complex. Am J Ophthalmol 102:118, 1986

58. Parrish CM, O'Day DM, Hoyle TC: Letter to the editor: Spontaneous fungal corneal ulcer as an ocular manifestation of AIDS. Am J Ophthalmol 104:302, 1987

59. Aristimuno B, Nirankari VS, Hemady RK et al: Spontaneous ulcerative keratitis in immunocompromised patients. Am J Ophthalmol 115:202, 1993

60. Denning DW, Armstrong RW, Fishman M et al: Endophthalmitis in a patient with disseminated cryptococcosis and AIDS who was treated with itraconazole. Rev Infect Dis 13:1126, 1991

61. Newman NM, Mandel MR, Gullett J et al: Clinical and histologic findings in opportunistic ocular infections. Part of a new syndrome of acquired immunodeficiency. Arch Ophthalmol 101:396, 1983

62. Schuman JS, Friedman AH: Retinal manifestations of the acquired immune deficiency syndrome (AIDS): Cytomegalovirus, Candida albicans, Cryptococcus, toxoplasmosis, and Pneumocystis carinii. Trans Ophthalmol Soc UK 103:177, 1983

63. Winward KE, Hamed LM, Glaser JS: The spectrum of optic nerve disease in human immunodeficiency virus infection. Am J Ophthalmol 107:373, 1989

64. Heinemann MH, Bloom AF, Horowitz J: Candida albicans endophthalmitis in a patient with AIDS. Arch Ophthalmol 105:1172, 1987

65. Kurosawa A, Pollock SC, Collins MP et al: Sporothrix schenckii endophthalmitis in a patient with human immunodeficiency virus infection. Arch Ophthalmol 106:376, 1988

66. Macher A, Rodrigues MM, Kaplan W et al: Disseminated bilateral chorioretinitis due to Histoplasma capsulatum in a patient with the acquired immunodeficiency syndrome. Ophthalmology 92:1159, 1985

67. Specht CS, Mitchell KT, Bauman AE et al: Ocular histoplasmosis with retinitis in a patient with acquired immune deficiency syndrome. Ophthalmology 98:1356, 1991

68. Pavan PR, Margo CE: Endogenous endophthalmitis caused by Bipolaris hawaiiensis in a patient with acquired immunodeficiency syndrome. Am J Ophthalmol 116:644, 1993

69. Stiehm ER: Chronic mucocutaneous candidiasis: Clinical aspects. In Edwards JE (moderator): Severe candidal infections: Clinical perspective, immune defense mechanisms, and current concepts of therapy. Ann Intern Med 89:91, 1978

70. Edwards JE, Foos RY, Montgomerie JZ et al: Ocular manifestations of Candida septicemia: Review of seventy-six cases of hematogenous Candida endophthalmitis. Medicine 53:47, 1974

71. Elliott JH, O'Day DM, Gutow GS et al: Mycotic endophthalmitis in drug abusers. Am J Ophthalmol 88:66, 1979

72. Edman JC, Kovacs JA, Masur H et al: Ribosomal RNA sequence shows Pneumocystis carinii to be a member of the fungi. Nature 334:519, 1988

73. Hughes WT: Pneumocystis carinii: Taxing taxonomy. Eur J Epidemiol 5:265, 1989

74. Ypma-Wong MF, Fonzi WA, Sypherd PS: Fungus-specific translation elongation factor 3 gene present in Pneumocystis carinii. Infect Immun 60:4140, 1992

75. Holland GN, MacArthur LJ, Foos RY: Choroidal pneumocystosis. Arch Ophthalmol 109:1454, 1991

76. Shami MJ, Freeman W, Friedberg D et al: A multicenter study of Pneumocystis choroidopathy. Am J Ophthalmol 112:15, 1991

77. Foster RE, Lowder CY, Meisler DM et al: Presumed Pneumocystis carinii choroiditis. In Edwards JE (moderator): Severe candidal infections: Clinical perspective, immune defense mechanisms, and current concepts of therapy. Unifocal presentation, regression with intravenous pentamidine, and choroiditis recurrence. Ophthalmology 98:1360, 1991

78. Rao NA, Zimmerman PL, Boyer D et al: A clinical, histopathologic, and electron microscopic study of Pneumocystis carinii choroiditis. Am J Ophthalmol 107:218, 1989

79. Sneed SR, Blodi CF, Folk JC et al: Pneumocystis carinii choroiditis in patients receiving inhaled pentamidine. N Engl J Med 322:936, 1990

80. Dugel PU, Rao NA, Forster DJ et al: Pneumocystis carinii choroiditis after long-term aerosolized pentamidine therapy. Am J Ophthalmol 110:113, 1990

81. Koser MW, Jampol LM, MacDonell K: Treatment of Pneumocystis carinii choroidopathy. Arch Ophthalmol 108:1214, 1990

82. McLeish WM, Pulido JS, Holland S et al: The ocular manifestations of syphilis in the human immunodeficiency virus type 1-infected host. Ophthalmology 97:196, 1990

83. Gass JDM, Braunstein RA, Chenoweth RG: Acute syphilitic posterior placoid chorioretinitis. Ophthalmology 97:1288, 1990

84. Stoumbos VD, Klein ML: Syphilitic retinitis in a patient with acquired immunodeficiency syndrome-related complex. Am J Ophthalmol 103:103, 1987

85. Helm CJ, Holland GN: Ocular tuberculosis. Surv Ophthalmol 38:229, 1993

86. Blodi BA, Johnson MW, McLeish WM et al: Presumed choroidal tuberculosis in a human immunodeficiency virus infected host. Am J Ophthalmol 108:605, 1989

87. Croxatto JO, Mestre C, Puente S et al: Nonreactive tuberculosis in a patient with acquired immune deficiency syndrome. Am J Ophthalmol 102:659, 1986

88. Menezo JL, Martinez-Costa R, Marin F et al: Tuberculous panophthalmitis associated with drug abuse. Int Ophthalmol 10:235, 1987

89. Shuler JD, Engstrom RE, Holland GN: External ocular disease and anterior segment disorders associated with the acquired immunodeficiency syndrome. Int Ophthalmol Clin 29:98, 1989

90. Ticho BH, Urban RC Jr, Safran MC et al: Capnocytophaga keratitis associated with poor dentition and human immunodeficiency virus infection. Am J Ophthalmol 109:352, 1990

91. Nanda M, Pflugfelder SC, Holland S: Fulminant pseudomonal keratitis and scleritis in human immunodeficiency virus-infected patients. Arch Ophthalmol 109:503, 1991

92. Maguen E, Salz JJ, Nesburn AB: Pseudomonas corneal ulcer associated with rigid, gas-permeable, daily-wear lenses in a patient infected with human immunodeficiency virus. Am J Ophthalmol 113:336, 1992

93. Davis JL, Nussenblatt RB, Bachman DM et al: Endogenous bacterial retinitis in AIDS. Am J Ophthalmol 107:613, 1989

94. Friedberg DN, Stenson SM, Orenstein JM et al: Microsporidial keratoconjunctivitis in acquired immunodeficiency syndrome. Arch Ophthalmol 108:504, 1990

95. Lowder CY, Meisler DM, McMahon JT et al: Microsporidia infection of the cornea in a man seropositive for human immunodeficiency virus. Am J Ophthalmol 109:242, 1990

96. Didier ES, Didier PJ, Friedberg DN et al: Isolation and characterization of a new human microsporidian, Encephalitozoon hellem (n. sp.), from three AIDS patients with keratoconjunctivitis. J Infect Dis 163:617, 1991

97. Schwartz DA, Visvesvara GS, Diesenhouse MC et al: Pathologic features and immunofluorescent antibody demonstration of ocular microsporidiosis (Encephalitozoon hellem) in seven patients with acquired immunodeficiency syndrome. Am J Ophthalmol 115:285, 1993

98. Kohn SR: Molluscum contagiosum in patients with acquired immunodeficiency syndrome. Arch Ophthalmol 105:458, 1987

99. Charles NC, Friedberg DN: Epibulbar molluscum contagiosum in acquired immune deficiency syndrome. Ophthalmology 99:1123, 1992

100. Robinson MR, Udell IJ, Garber PF et al: Molluscum contagiosum of the eyelids in patients with acquired immune deficiency syndrome. Ophthalmology 99:1745, 1992

Back to Top