Chapter 5
Ocular Circulation
SHIYOUNG ROH , JOHN J. WEITER and JAY S. DUKER
Main Menu   Table Of Contents

Search

GROSS ANATOMY OF THE OCULAR CIRCULATION
MICROSCOPIC ANATOMY OF THE OCULAR CIRCULATION
OCULAR BLOOD FLOW
EFFECTS OF EXTERNAL AGENTS ON RBF
BLOOD-OCULAR BARRIER
ACKNOWLEDGMENTS
REFERENCES

In general, the human vascular system is hidden from direct observation, lying deep within the body or covered by a semiopaque layer of skin and subcutaneous tissue. The normal clarity of the ocular media, as well as the transparency of the conjunctiva, makes the ocular circulation an exception. As a result, the eye provides a unique opportunity to visualize directly the circulatory system in vivo. Systemic vasculopathic conditions, such as diabetes mellitus and hypertension, can be directly diagnosed by ophthalmoscopy, and their progression can be documented by serial observations. Additionally, other systemic disease states may be diagnosed by examination of the external ocular circulation. Examples include sickle cell disease, which results in conjunctival comma-shaped capillaries, and the characteristic arterialized episcleral vessels seen with carotid-cavernous sinus fistulas.

The normal avascularity of certain ocular structures such as the cornea, lens, and vitreous allows uninterrupted light transmission to the retina. In specific disease states, abnormal vessels may in-vade these structures. The pattern of vascularity often gives insight into the pathogenesis of the disease. More generally, studies of the developmental characteristics of abnormal vasculature in normally avascular structures may provide important clues in elucidating the basis of vascular development.

This chapter outlines the basic anatomy and physiology of the ocular circulation, detailing the methods with which the human vasculature is studied. The unique aspects of each regional intraocular microcirculation are emphasized. Relevant aspects of the ocular circulation are addressed in the following order: gross anatomy of the ocular circulation, microscopic anatomy of the ocular circulation, normal ocular blood flow, autoregulation of ocular blood flow, the effects of external stimuli and medications on ocular blood flow, and the blood-ocular barrier.

Back to Top
GROSS ANATOMY OF THE OCULAR CIRCULATION
Under normal physiologic circumstances, the large vessels responsible for both delivering blood to and draining it from the eye do not have a direct role in the intraocular circulation. If, under pathologic conditions such as atherosclerotic cardiovascular disease or Takayasu's disease, the lumen of these vessels should become critically obstructed, then distal effects in the form of ocular vascular disease can ensue.

The blood flow to the eye comes mostly from the ophthalmic artery. The ophthalmic artery is typically the first tributary of the internal carotid artery, branching off as the internal carotid turns to pierce the dura and emerge from the cavernous sinus. In less than 5% of people, the ophthalmic artery receives most of its blood supply from the middle meningeal artery as a result of atypical enlargement of the normal anastomoses. The ophthalmic artery enters the orbit through the optic canal and in most people lies inferolateral to the optic nerve. As the artery turns medially in the orbit, it gives off its major branches.1 The major branches of the ophthalmic artery are the central retinal artery (CRA), the medial and lateral posterior ciliary arteries, and the muscular branches (Fig. 1).2

Fig. 1. A. Drawing of a meridional section of the eye to show the blood supply of the limbal area. Red indicates arterial channels. An anterior ciliary artery (ACA) divides to form an episcleral (E) and a major perforating (MP) branch. The episcleral branches produce episcleral, conjunctival (C), and intra-scleral (IS) nutrient vessels. The conjunctival vessels form the superficial marginal plexus of the cornea (SMP). Two sets of vessels arise from the superficial marginal plexus: One (1) extends forward to form the peripheral corneal arcades; the other forms recurrent vessels (2) that run posteriorly to supply 3 to 6 mm of the perilimbal conjunctiva. The latter eventually anastomose with the recurrent conjunctival vessels from the fornices. The major perforating artery passes through the sclera to join the major arterial circle (MAC) of the iris. At 3, a branch from the major perforating artery passes forward to form the intrascleral arterial channels of the limbus. This region often is supplied by a vessel that arises directly from the anterior ciliary artery as an episcleral vessel, such as the one indicated at 4. Venous channels are blue. The major venous drainage from the limbus is into the episcleral veins, which then unite with the ophthalmic veins. The deep scleral venous plexus (5) is close to Schlemm's canal (SC). An aqueous vein (arrows) arises from the deep scleral plexus and joins the episcleral veins. The intrascleral venous plexus (6) forms an extensive network in the limbal stroma. An important part of the drainage from the ciliary plexus (CP) is into the deep and intrascleral venous plexus. One of these channels is seen at 7. B. The uveal blood vessels. The blood supply of the eye is derived from the ophthalmic artery. Except for the central retinal artery, which supplies the inner retina, almost the entire blood supply of the eye comes from the uveal vessels. There are two long posterior ciliary arteries, one entering the uvea nasally and on temporally along the horizontal meridian of the eye near the optic nerve (A). These two arteries give off three to five branches (b) at the ora serrata that pass directly back to form the anterior choriocapillaris. These capillaries nourish the retina from the equator forward. The short posterior ciliary arteries enter the choroid around the optic nerve (c). They divide rather rapidly to form the posterior choriocapillaris, which nourishes the retina as far anteriorly as the equator (the choriocapillaris is not shown in this drawing). This system of capillaries is continuous with those derived from the long posterior ciliary arteries. The anterior ciliary arteries (D) pass forward with the rectus muscles, then pierce the sclera to enter the ciliary body. Before joining the major circle of the iris, they give off 8 to 12 branches (e) that pass back through the ciliary muscle to join the anterior choriocapillaris. The major circle of the iris (f) lies in the corona ciliaris and sends branches posteriorly into the ciliary body as well as forward into the iris (g). The circle of Zinn (h) is formed by pial branches (i) as well as branches from the short posterior ciliary arteries. The circle lies in the sclera and furnishes part of the blood supply to the optic nerve and disc. The vortex veins exit from the eye through the posterior sclera (J) after forming an ampulla (k) near the internal sclera. Venous branches that join the anterior and posterior parts of the vortex system are meridionally oriented and are fairly straight (l), whereas those joining the vortices on their medial and lateral sides are oriented circularly about the eye (m). The venous return from the iris and ciliary body (n) is mainly posterior into the vortex system, but some veins cross the anterior sclera and limbus (o) to enter the episcleral system of veins. (Hogan MS, Alvarado J, Weddell J: Histology of the Human Eye. Philadelphia, WB Saunders, 1971)

The CRA pierces the optic nerve sheath approximately 10 mm posterior to the lamina cribrosa, then travels within the optic nerve substance itself. Within the optic nerve, the CRA lies in close association with the central retinal vein (CRV). Along its intraneural course, the CRA typically gives off multiple small axial branches but does not directly supply the lamina cribrosa area.

Embryologically, the CRA is derived from the arteria ophthalmica interna, which vascularizes the interior aspect of the optic cup and its margins. At about 16 weeks of gestation, the retinal vessels begin as mesenchymal proliferations in the vicinity of the optic disc. They are not buds off the hyaloid artery.3 The retinal vessels develop outward from the optic disc, completing full vascularization a few weeks after birth. The nasal retina is usually fully vascularized before the temporal retina.

There are typically two posterior ciliary arteries (PCAs), medial and lateral. A third, superior PCA occasionally is also present. The PCAs start to divide before reaching the globe; the branches become the long and short PCAs. The short PCAs vary from 15 to 20 in number, but the long PCAs are invariably 2 in number, 1 lateral and 1 medial. The two long PCAs travel anteriorly within the suprachoroidal space, along the horizontal meridians of the globe. They typically divide in the vicinity of the ora serrata, sending recurrent branches posteriorly to supply the anterior choriocapillaris as well as supplying some of the posterior choriocapillaris. The posterior choriocapillaris is supplied by branches of the short PCAs.4 The choroidal watershed area, representing the area between the supply of each PCA, is a vertically oriented zone situated between the optic disk and macula. With this arrangement, the choriocapillaris underneath the fovea is supplied by the lateral PCA.

The muscular arteries travel with the recti muscles, supplying them as well as dividing into the anterior ciliary arteries. There are generally seven muscular branches. Each rectus muscle has two, with the exception of the lateral rectus, which has only one. Simultaneous surgical interruption of too many of the muscular branches may result in postoperative anterior segment ischemia. The anterior ciliary arteries provide additional vessels to supply the anterior aspect of the choriocapillaris.

The venous drainage of the eye generally follows the arterial supply. The CRV drains the retina and prelaminar aspect of the optic nerve, delivering the blood back through the orbit to the cavernous sinus. Vascular disease involving the cavernous sinus can therefore become manifest inside the eye, such as when a carotid artery-cavernous sinus fistula results in elevated retinal venous pressure and secondarily induces a CRV obstruction.

The choroid is drained through the vortex vein system. Four vortex veins, one in each of the four quadrants, are usually present, although this is quite variable. The large and distinctive ampullae of the vortex veins are easily seen with ophthalmoscopy. The vortex veins drain into the superior and inferior orbital veins. The superior orbital vein then drains into the cavernous sinus, and the inferior orbital vein drains into the pterygoid plexus through the inferior orbital fissure. Collateralization between the superior and inferior orbital veins usually exists.

The iris and ciliary body area are drained mostly through the anterior ciliary veins, which are part of the vortex vein system. Some venous drainage of these areas is anterior, however, by way of episcleral veins into the external carotid system.

Back to Top
MICROSCOPIC ANATOMY OF THE OCULAR CIRCULATION
For the purpose of this discussion, the intraocular circulation is divided into the following areas: retina, optic nerve, choroid, and ciliary body and iris. Each regional microcirculation is discussed individually.

RETINA

An understanding of the retinal vasculature and microcirculation is crucial for diagnosis and treatment of acquired retinal disease states, because the vast majority of nonheritable primary retinal diseases are vascular in origin. The retinal blood vessels exist to provide nourishment for the inner retinal layers and to carry off waste products from them. The outer retinal layers are normally avascular and are supplied through diffusion from the choriocapillaris. Despite this dual circulation to the retina, there appears to be functionally little overlap. This fact is best shown by the structural abnormalities induced by acute obstructions of the retinal circulation (CRA obstruction or branch retinal artery obstruction) These abrupt diminutions in inner retinal blood flow result in physiologic and anatomical dysfunction that is localized strictly to the inner retinal layers.

The retinal circulation has been studied using various methods. The in vivo methods include direct ophthalmoscopy, which has been available since the mid-19th century, binocular indirect ophthalmoscopy, intravenous fluorescein angiography, and scanning laser ophthalmoscopy. In vitro examinations include light microscopy, electron microscopy, dark-field microscopy,5 immunofluorescent imaging,6 whole-retina digest preparation such as trypsin and deoxyribonuclease digestions,7,8 and latex preparations.

CRA

The CRA is an end artery without significant anastomoses. Like most arteries of similar size, the CRA has an intima consisting of longitudinally oriented endothelial cells, surrounded by a basement membrane, and a subendothelial layer of collagenous connective tissue.9 The media of the CRA contains several layers of circularly arranged smooth muscle cells with abundant myofilaments and dense bodies. Each muscle is surrounded by a well-developed basement membrane. In the retrolaminar portion of the artery, there is neural innervation.10 The adventitia of the CRA is continuous with the pia mater and is separated from the neurons by glial cells. The CRA usually enters the optic nerve in the vicinity of the CRV, just posterior to the globe. In the area of the lamina, its lumen measures about 170 μm in diameter. The CRA typically divides just before its exit from the optic nerve into the superior and inferior papillary arteries, which in turn divide again, each branch supplying roughly a quadrant of the retina. This anatomy is variable, and the division may occur within the optic cup of the nerve as well.

CRV

The CRV extends through the optic nerve parallel to the artery. It is a typical medium-sized vein. Just before exiting the optic nerve, it is approximately 200 μm in diameter. Its intima contains elongated endothelial cells, a basement membrane, and a very thin subendothelial layer of connective tissue. The media contains a few layers of smooth muscle cells, and each cell is surrounded by a basement membrane containing elastic fibers. The adventitia is the thickest tunic and contains spindle-shaped adventitial cells resembling fibroblasts embedded in a matrix of collagen and elastic fibers.10

Cilioretinal Vessels

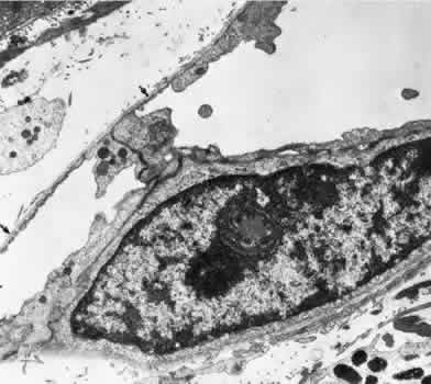
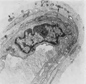
In as many as 20% of normal eyes, a cilioretinal artery may exist as well.11 These are vessels that directly connect the posterior ciliary circulation to the retinal circulation. Clinically, they can usually be identified by their ophthalmoscopic appearance. Cilioretinal vessels emerge from the edge of the optic disc, with no apparent connection to the central retinal vessels (Fig. 2). Fluorescein angiography shows them to fill with the choroidal circulation. They are usually temporally located on the optic disc but rarely can be nasal. Multiple vessels may be present. Cilioretinal arteries are the easiest to identify. The existence of cilioretinal venous channels in normal eyes is a subject of debate.12 Acquired cilioretinal veins, referred to as optociliary anastomoses or incorrectly as optociliary shunts, can develop in pathologic processes such as obstruction of the CRV or in optic nerve tumors (Fig. 3).

Fig. 2. The cilioretinal artery hooks around the temporal margin of the disc edge (*). (Henkind P, Benjamin JV: Trans Ophthalmol Soc UK 96:418, 1976)

Fig. 3. An opticociliary vein developing in an elderly patient after a central retinal vein occlusion. The vein appears as a tortuous vessel, inferotemporally (arrow). (Henkind P, Benjamin JV: Trans Ophthalmol Soc UK 96:418, 1976)

Retinal Arteries and Arterioles

The retinal arteries are branches of the superior and inferior papillary arteries. Each papillary artery typically divides again on the surface of the optic disc to form temporal and nasal branches. The anatomical division of the retinal arteries into superior and inferior halves is usually maintained throughout the retina because vessels normally rarely cross the horizontal raphe.

The major branch arteries are about 120 μm in diameter and course within the nerve fiber layer and ganglion cell layer of the retina. They are smaller in diameter and straighter in course than their accompanying draining veins.

Subsequent division of the arteries results in a decrease in the caliber of the vessel. The branching is of two types: dichotomous and side-arm. Trifur-cations are extremely rare. Dichotomous branches involve two similar-sized trunks splitting from a larger trunk. Smaller vessels arising from dichotomous branches course toward the periphery of the retina, becoming arterioles that supply the retina anterior to the equator. Side-arm branches are small precapillary arterioles branching from a larger vessel to supply blood to the local capillary system. In the posterior retina, the fine arterioles that arise by side-arm branching leave the main arteries and enter the inner plexiform and ganglion cell layers. Only capillaries are found as deep as the inner nuclear layer, however. The blood column within retinal arterioles is visible with a direct ophthalmoscope down to the third-order branches. Normally, the walls of the vessels themselves are transparent to direct observation; it is the blood column that makes the vessels visible on ophthalmoscopy.

The intima of the retinal arteries contains a single layer of endothelial cells surrounded by a basement membrane. Collagen fibrils may be seen in the basement membrane. Elastic fibrils are not present, and there is no internal elastic membrane.

The media of the major vessels near the disc contains five to seven layers of circularly arranged smooth muscle cells. These cells contain well-developed myofilaments and dense bodies and are surrounded by a thick and often lamellated basement membrane containing collagen fibers. Collagen types 1, 2, 4, and 5, laminin, heparin sulfate proteoglycan core protein, and fibronectin all have been identified as components of the basement membrane.12 The basement membrane surrounding the innermost layer of the smooth muscle cells is continuous with the basement membrane surrounding the endothelial cells. Some areas exhibit a thinning of this membrane, and in these areas the membranes of the endothelial cell and smooth muscle cell are closely apposed. The basement membrane surrounding the outermost layers of smooth muscle cells contains increasing amounts of collagen and tends to become vacuolated and to accumulate debris with aging. As the major retinal arteries branch and approach the equator of the eye, the media becomes less well developed and contains approximately two layers of smooth muscle cells.

At this point and further peripherally, the retinal vessels should be referred to as arterioles. The adventitia consists of collagenous connective tissue that is continuous with the basement membrane surrounding the outer layers of smooth muscle cells of the media. A smooth muscle cell may occasionally be displaced into the adventitia. Glial cells are in direct contact with the adventitia.

No nerve fibers have been found in the media or adventitia of human retinal arteries or arterioles.13 Although the ophthalmic artery contains sympathetic nerve fiber endings and is therefore under control of the autonomic nervous system, there is apparently no central regulation of the blood flow in the retina itself. Evidence implies that some species may have autonomic innervation of the preretinal blood vessels, however.14

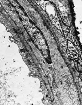
Retinal arterioles are similar to the arteries except that the lumen is small (8 to 15 μm in diameter), the media contains one or two layers of circularly or obliquely arranged smooth muscle cells, and the adventitia is poorly developed and consists of the outermost layer of basement membrane surrounding the smooth muscle cells and small amounts of collagen fibrils (Fig. 4).15

Fig. 4. Electron micrograph of a human retinal arteriole from the nerve fiber layer. This specimen was treated with ruthenium red. E, endothelial cell; S, smooth muscle cell; L, lumen; V, vitreous.

Retinal Veins and Venules

Retinal veins are present in the inner retina, where they occasionally interdigitate with their associated arteries. When the two vessels cross, the artery usually lies anterior (toward the vitreous) to the vein.16 About one third of the time, however, the vein is anterior. At such crossing sites, the two vessels share a common adventitial coat.17 Under normal circumstances, the crossing vein's lumen may be decreased by as much as one third as a result of compression from the accompanying artery.17 There are many more arteriovenous crossings temporally than nasally, because the nasal vessels assume a much straighter course. Arteriovenous crossings are important because they represent the most common site of branch retinal vein obstructions.

The separation of the superior and inferior halves of the perfusion of the retina is mirrored in the venous drainage pattern as well. Rarely does a retinal vein cross the horizontal raphe under normal circumstances. The retinal veins drain into the CRV, which also acts as the major efferent channel for the vessels of the optic nerve. Near the disc, the retinal veins are approximately 150 μm in diameter. Throughout the retina, the veins and venules generally follow the course of the arteries and arterioles.

The intima of the veins consists of a layer of endothelial cells surrounded by a basement membrane continuous with that of the innermost layer of smooth muscle cells of the media. The media of the largest veins in the posterior retina consists of several layers of longitudinally oriented smooth muscle cells. The adventitia makes up the greatest part of the vessel wall and consists of loosely arranged collagen fibers and adventitial cells and is in direct contact with the glial cells of the retina.

Venules are usually less than 20 μm in diameter.15 The media is composed of a single layer of cells resembling pericytes, containing poorly developed myofilaments and dense bodies. Elastin is not present. The adventitia contains little other than the basement membrane surrounding the pericyte (Fig. 5).

Fig. 5. Electron micrograph of a human retinal venule. E, endothelial cell. The pericyte (P) contains abundant mitochondria and rough-surfaced endoplasmic reticulum. Pinocytotic vesicles are present, and the myofilaments are poorly developed.

Retinal Capillaries

Throughout most of the posterior retina, the retinal capillaries are arranged anatomically in a dual layer. The superficial capillary layer is associated with the ganglion cell layer, whereas the deep capillary layer resides within the inner nuclear layer. Like capillary networks elsewhere in the body, the retinal capillaries assume a meshwork configuration to ensure adequate perfusion to all retinal cells. The deeper layer has a mesh diameter (i.e., the distance betweencapillaries) that characteristically averages 50 μm in diameter but varies between 15 and 130 μm. The more superficial layer has a slightly larger meshwork, on average 65 μm in diameter (16 to 150 μm). In the midequatorial and anterior zones, where the retina is thinner, only one capillary layer is present. In the fovea and the far retinal periphery, retinal capillaries are absent.

The precise anatomical localization of the superficial layer of retinal capillaries appears to depend on the thickness of the accompanying ganglion cell layer.18 In the foveola itself and in the immediate parafoveal retina that contains a ganglion cell layer less than 15 μm thick, there are no superficial capillaries. This area represents the foveal avascular zone. Pathologic conditions that feature retinal capillary dropout, such as diabetes mellitus and sickle cell disease, may show an enlargement of this foveal avascular zone. Near the foveal margin, where the ganglion cell layer is of moderate thickness, the superficial retinal capillaries can be found in the outer aspect of the ganglion cell layer. In the intermediate parafoveal area, which has a ganglion cell region thicker than 45 μm, the superficial retinal capillaries are present within the ganglion cell layer itself. In the perifoveal region, where the ganglion cell layer is two to four cells thick, the superficial capillaries are found along the inner boundary of the ganglion cell layer, in contact with the nerve fiber layer. The major retinal vessels, especially the larger ones, usually are in contact with both the inner and outer boundaries of the ganglion cell layer.

A capillary-free zone is present around each of the larger retinal arteries and veins (Fig. 6). It is more prominent around the arteries, measuring up to 100 μm. The capillary-free zone is a product of the embryologic vascular remodeling process. Direct diffusion of oxygen through the walls of the large retinal vessels probably initiates this process of vascular remodeling. Embryologically, numerous capillary-sized channels retract from the developing artery, leaving only a relatively few right-angled side-arm channels to serve as precapillary arterioles. In keeping these side channels to a minimum, the maintenance of an adequate pressure head for the remainder of the retina is ensured. In contrast, the radial peripapillary capillaries (RPCs) may develop in a different fashion, later than the other capillary beds, after vascular remodeling has already occurred.19

Fig. 6. Human retinal digest preparation. A broad capillary-free zone is present around the artery (A), and a much narrower one is seen about the vein (V) (PAS hematoxylin, × 12). (Wise GN, Dollery CT, Henkind P: Retinal Circulation. New York, Harper & Row, 1971)

A distinct layer of capillaries, the RPC, is found adjacent to the optic disc, most prominently in the superior and inferior temporal aspects of the posterior pole (Fig. 7).20 These capillaries originate only from intraretinal arterioles and not from the optic disc vasculature. They are found within the inner aspect of the nerve fiber layer, making them the most superficial of all retinal capillaries. The RPCs tend to follow relatively long, straight paths, having few anastomoses with adjacent or underlying capillary beds.

Fig. 7. The radial peripapillary capillaries (RPCs). A. Distribution of RPCs. x indicates macula. B. The RPCs originate from intraretinal arterioles that also supply the deeper capillary beds. C. A retinal digest showing the RPCs (arrows). (Henkind P: Microcirculation of the peripapillary retina. Trans Am Acad Ophthalmol Otolaryngol 73:890, 1969)

The RPCs do not traverse the central macular area. Their distribution suggests some anatomical correlation with various diseases. Cotton-wool spots are found in a distribution similar to the RPCs, and the arcuate scotoma seen in glaucoma appears to correspond to their pattern as well.21 The superficial peripapillary hemorrhages seen in glaucoma (Drance hemorrhages) may originate with the RPCs as well.22

Retinal capillaries range in diameter from 4 to6 μm. The capillaries throughout the retina, including those of the radial peripapillary network, have the same fine structure.23 The capillary wall consists of a continuous layer of flattened and longitudinally oriented endothelial cells and an incomplete layer of longitudinally oriented pericytes (Fig. 8). The pericytes (formerly referred to as mural cells) are closely spaced, resulting in an approximate ratio of pericytes to endothelial cells of 1:1, a relatively high ratio compared with elsewhere in the central nervous system.

Fig. 8. An electron micrograph of a human retinal capillary. An incomplete layer of pericytes (P) is present. Glial cells make direct contact with the basement membrane (arrows) surrounding the endothelial cells (E).

Ultrastructural examination of the endothelial cells of retinal capillaries shows that the cytoplasm of the cell bulges in the region of the nucleus. This area contains the Golgi apparatus, centrioles, and rough-surfaced endoplasmic reticulum. The remainder of the cytoplasm contains moderate amounts of smooth endoplasmic reticulum and mitochondria. The average endothelial cell thickness is 236 nm.

Pinocytotic vesicles occur in the cells of the retinal capillaries. The vesicles are of uniform size, with an average diameter of 70 nm. Pinocytotic vesicles are found on the lumen (10% of total) and basement membrane (28%) side of the endothelial cells and free in the cytoplasm (62%). Approximately 2% of the volume of the endothelial cell is occupied by pinocytotic vesicles, a number that is substantially lower than that of other continuous capillaries. Pinocytotic vesicles of similar morphology and location are found in pericytes, but not in any number on glial cell membranes. Animal experimental evidence shows that these vesicles may be responsible for transporting substances from the vitreous cavity into the retinal vasculature in a unidirectional fashion.24

In the region of the endothelial cell junctions, cytoplasmic processes may overlap and form flap-like extensions that project into the lumen. The outer leaflets of adjacent endothelial membranes form very tight occluding junctions. The basement membrane surrounding the endothelial cell is well developed and continuous with the basement membrane surrounding the pericytes. The basement membrane of the retinal capillaries is structurally similar to that of the retinal arteries and veins in that collagen types 4 and 5, laminin, and heparin sulfate proteoglycan core protein are prominent features. Collagen types 1 and 2 appear to be lacking.12 Some areas show thinning of the basement membrane, and in these regions the endothelial cells and pericytes are closely apposed. Specifically, the capillary basement membrane between pericytes and endothelial cells is much thinner than the basement membrane covering the two types of cells.25 This arrangement probably allows increased communications between the cells. The retinal capillary basement membrane is thicker than in most other capillaries in the body, and in certain disease states such as diabetes, this thickness increases further.26

The pericytes of the retinal capillaries are not as elongated as the endothelial cells. They are endowed with multiple arm-like processes that wrap around the surrounding endothelial cells. Pericyte processes appear to cover about 85% of the entire circumference of the available capillary endothelial tube.25 Pinocytotic vesicles can be seen near the adventitial (outer) side of the cell body. In the peripheral retina, the retinal glial cells are in direct contact with the basement membrane surrounding the pericytes. Evidence suggests that the retinal pericytes are directly involved in the local control of retinal blood flow (RBF) and may affect endothelial proliferation as well.25

In diabetes there is an early, preferential loss of pericytes.27 Aldose reductase has been shown in the human pericyte, inviting speculation that abnormal accumulation of byproducts of this enzyme, such as polyol, may have a role in the selective pericyte loss.28

With aging there occurs a gradual loss of endothelial cells, followed by degeneration of the pericytes, an increase in capillary diameter, and a thickening and vacuolization of the capillary basement membrane surrounding the external surface of the pericyte.26,29 Age-related studies of larger retinal vessels show narrowing of the retinal arteries. This appears to be due to the fibrous replacement of contractile elements.17,30 These morphologic findings may account for the decrease in reactivity of the retinal arteries and arterioles to blood pressure and oxygen tension changes with age. A similar decrease in myogenic tone of the PCAs with age has also been demonstrated.31

OPTIC NERVE

Most of the blood supply to the intraorbital portion of the optic nerve is through numerous perforating vessels from the pia mater. These pial vessels obtain their supply either directly from the ophthalmic artery or indirectly from recurrent branches back from the PCAs. There does not appear to be a “central artery of the optic nerve,” as once postulated.32,33 Axial branches off the CRA contribute to the circulation as well.

The vascular supply of the optic nerve head was the source of considerable controversy in the past. The optic nerve head is situated at the watershed area between three separate circulations: the retinal, the posterior ciliary, and the pial (Fig. 9). Each of these systems contributes in part to the optic nerve head circulation. In some people, an incomplete arterial ring is formed within the sclera by the anastomoses of these three circulations. When present, it is referred to as the circle of Zinn-Haller.

Fig. 9. Composite illustration to scale of the various vascular arrangements. Venous vessels and superficial central retinal artery (CRA) plexus are not drawn in full. Retrolamina: 1, Pia mater as source of transverse and longitudinal vessels. 2,2', Recurrent short posterior ciliary artery (SPCA) to retrolamina, and pial vessels to lamina cribrosa. 3,3', Pia-derived longitudinal arterioles course to and anastomose with laminar vasculature. 4, Occasional realized large pial arteriole courses longitudinally through laminar tissue. 5, Intraneural branching of central retinal artery, with anastomosis to laminar and retrolaminar systems. Lamina cribrosa: 6, Transverse entry of scleral short posterior ciliary arteries that dominate laminar vasculature and mingle with longitudinal microcirculation. Prelamina: 7, Branch of short posterior ciliary artery courses through Elschnig's tissue (E) at level of choroid (CH) and enters into nerve. 8, Occasional choroidal vessel to prelamina; S, sclera. Superficial nerve fiber layer (SNFL): 9, Choriocapillaris “spur” capillary anastomoses with other retinal and prelaminar vessels. 10, Both epipapillary and peripapillary branches of central retinal artery anastomose with prelaminar vessels. (Lieberman MF, Maumenee AE, Green WR: Histologic studies of the vasculature of the anterior optic nerve. Am J Ophthalmol 82:405, 1976)

Most of the prelaminar blood flow is derived from the posterior ciliary circulation by way of the short PCAs.34,35 The prelaminar optic nerve may have separate tributaries from the short PCAs, or branches of these vessels may supply the optic nerve directly, as well as the choroid.36 There do not appear to be any direct anastomoses between the choriocapillaris and the capillaries of the optic nerve head, however. Neither are there major contributions from axial branches of the CRA. The circle of Zinn-Haller may contribute to the prelaminar circulation, but the pial arteries do not directly supply the prelaminar portion. They may anastomose with the prelaminar capillary network, however.

The laminar portion of the optic nerve head is also supplied by the short PCAs, with variable contributions from the circle of Zinn-Haller.37 The CRA does not appear to contribute much to the supply of this area (Figs. 9 and 10).

Fig. 10. Cross section of the lamina cribrosa showing fine blood vessels (arrows) traversing the trabeculae. The central retinal artery (A) is at the upper right.

In the retrolaminar zone, the contribution of the choroidal vessels is less. The peripheral aspects of the postlaminar optic nerve are supplied by the pial vessels, whereas the central portion is fed by the axial vessels off the CRA.

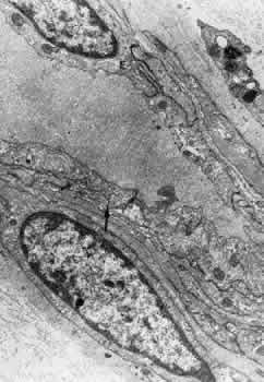
The afferent channels derived from the short PCAs that cross the border tissue of Elschnig at the level of the choroid have a diameter ranging from 10 to 17 μm.36,37 They quickly branch into a tridimensional vascular network with a polygonal capillary bed. The capillary bed is nonfenestrated, with tight junctions. Numerous pericytes surround the endothelial cells. The capillary mesh measures from30 × 50 μm to 50 × 80 μm, and there are multiple arterial feeding points into the meshwork. The density of the meshwork seems equal in all disc quadrants. Although the capillary bed of the optic nerve head is derived mostly from posterior ciliary vessels, it more closely resembles the retinal capillary bed morphologically than the choriocapillaris.

The major efferent vessel for this area of the optic nerve is the CRV. Some of the prelaminar drainage may be through the choroid as well. Direct communications between the CRV and choroidal veins may exist as a result of CRV obstruction or as anatomical variants, which would make the eventual drainage system the vortex veins.

The surface capillaries of the optic disc are derived from the retinal vessels.35,37 They anastomose with capillaries of the retina. The prelaminar, choroidal-derived vessels may contribute somewhat to the surface capillary supply. The postcapillary venules that drain the RPC system cross over the disc margin to join with larger venules of the CRV system. It may be these terminal endings of the RPC that bleed with papilledema and other causes of disc swelling.

The blood flow to the optic nerve head appears to be under local autoregulatory control.38–40 This flow pattern is similar to the retinal circulation. The site of the autoregulation is not clear; however, both endothelial cells and pericytes probably have a role.

The clinical appearance of optic nerve blood vessels in various pathologic conditions has been the focus of intense interest. Alterations in optic nerve blood vessels associated with advancing glaucoma have been an area of particular study in light of the theories concerning a vascular origin for the disease. Quigley and colleagues41 noted that the density of optic nerve head capillaries did not appear to change with worsening glaucoma and that eventual loss of capillaries was in proportion to the accompanying loss of neural tissue. Jonas and associates42 showed that the diameter of parapapillary retinal blood vessels was smaller in eyes with advanced glaucoma than in eyes without glaucomatous damage. This finding appears to represent an autoregulatory response of the retinal and optic disc vasculature to the local loss of retinal ganglion cells and nerve fiber layer. This study confirms an earlier report showing a significant decrease of RBF to the retina in eyes that had undergone inner retinal degeneration.43

CHOROID

The choroid is by far the most vascular portion of the eye and by weight is one of the most vascular tissues in the body.44 More than 80% of all ocular blood flow goes to the choroid. The choroidal circulation is responsible for the nourishment of the photoreceptor/retinal pigment epithelium (RPE) complex. Despite these facts, the choroidal circulation has received relatively little attention for two reasons. First, it is difficult to visualize the choroidal vessels directly, and second, there are relatively few pathologic conditions that have unequivocally been associated with a primary deficiency in choroidal circulation.

Choroidal blood flow can be assessed in a qualitative manner with fluorescein angiography. The rapidity of choroidal filling, the normal permeability of the choriocapillaris, and the normal blockage of fluorescence as a result of the RPE impede the identification of choroidal perfusion defects. When present, the clinical significance of choroidal perfusion defects on fluorescein angiography is not always clear, either. Newer methods used to study choroidal perfusion more quantitatively include indocyanine green angiography and color Doppler ultrasonography.45,46 Indocyanine green angiography in particular has made the choroid more accessible to clinical evaluation and interpreting the role of the choroid in various disease entities.

Along with its paramount task of providing nutrition to the outer retina and RPE, the choroidal circulation also has other roles. It serves as a heat sink, removing the large amount of heat that develops as a result of the metabolic processes initiated when photons strike the photopigments and RPE.47 In addition, the choroid itself probably serves as a mechanical cushion for the internal structures of the eye.

The overall structure of the choroidal circulation is segmental.47–52 This segmental distribution of blood begins at the level of the posterior ciliary branches and is mirrored in the vortex vein drainage system. Because of the segmental distribution, the large and medium-sized choroidal arteries act as end arteries. Unlike most other tissues, in the choroid the large vessels do not run parallel to each other. The segmental distribution of blood flow to the choriocapillaris is reflected in certain disease states, such as malignant hypertension. Each terminal choroidal artery supplies an independent lobule of choroidal capillaries (Figs. 11 and 12). Examination of the lobular structure reveals that feeding arterioles are usually found in the lobule center with draining venules located at the lobular periphery, but reversals of this pattern are frequently seen. There is little or no functional communication between adjacent capillary lobules.53–56

Fig. 11. Three-dimensional schematic representation of choriocapillaris low pattern. A, choroidal arteriole; V, choroidal vein. (Hayreh SS: Segmental nature of the choroidal vasculature. Br J Ophthalmol 59:631, 1975)

Fig. 12. Latex injection of the blood vessels of the posterior choroid. The choroidal arteries and arterioles are the darker vessels. The biggest branch, obliquely traversing the picture, is the long posterior ciliary artery, which is actively involved in the blood supply to the choroid. The macula is located approximately in the center. The macular arteries are not of end-arterial nature, as the macula is supplied by two, nasal and temporal, choroidal arteries. The choroidal arteries and arterioles are located in the outer choroidal layer shortly after they enter the eyeball. More peripherally, they lie nearer the choriocapillaris layer. (Shimizu K, Ujiie K: In Delaey JJ, ed: Fluorescein angiography and angioarchitecture of the choroid. International Symposium on Fluorescein Angiography. Doc Ophthalmol 9:187, 1976)

The vasculature of the choroid appears to be under direct adrenergic innervation.13,57 It is hypothesized that the parasympathetic innervation is through the seventh cranial nerve by way of the pterygopalatine ganglion.58

Arteries and Arterioles

Within the choroid, the arteries and arterioles lie in stratified layers, with the larger vessels located in the outermost layer. The innermost layer of choroidal vessels is a single layer of capillaries. The arteries of the choroid measure between 20 and 90 μm in diameter.59 The larger vessels contain an endothelium and basement membrane, an internal elastic membrane, and a single continuous layer of smooth muscle cells. The muscle cells contain abundant myofilaments, and pinocytotic vesicles are arranged along the inner surface of the plasma membrane. The adventitia is composed of bundles of collagen fibers, scattered elastic fibers, and occasional fibroblasts. In the smaller vessels (arterioles), the internal elastic membrane disappears, and the muscle layer becomes discontinuous and more circumferentially arranged. The collagen present in the adventitia also becomes considerably diminished.

Veins and Venules

The choroidal veins that directly feed the vortex veins have a diameter less than 150 μm.59 The veins with a diameter between 50 and 150 μm have an endothelium and basement membrane with one or two layers of smooth muscle and a relatively thick collagenous adventitia. In the venules (smaller than 40 μm), the intima is the same, but the media contains a discontinuous layer of longitudinally arranged pericytes.

Choriocapillaris

The choriocapillaris is the unique capillary system of the choroid. The vessels of the choriocapillaris are unusual because of their large diameters. The lumina are typically larger than 8 μm. Lumina of this size allow passage of multiple red blood cells at any moment in time. The choriocapillaris is arranged in a specific lobular pattern to ensure maximum exposure of the overlying outer retina/RPE complex. Each lobule acts as an independent vascular system with its own afferent and efferent vessels.60

Within the posterior pole region, there are more venules than arterioles, probably to allow rapid flow. Other local variations exist. The lobules at the posterior pole are 200 to 400 μm in diameter and gradually enlarge to 1,500 μm in the periphery and somewhat lose their lobular pattern (Fig. 13).54,61

Fig. 13. Latex injection of choroidal vessels. A. The outer aspect (scleral view) of the choriocapillaris and an end artery. The transition from arteriole (a) to choriocapillaris may be subtle, but still one can discern an abrupt change in the course and caliber of vessel. B. The choriocapillaris shows an abrupt ending around the optic disc. This finding indicates that the choriocapillaris is not directly involved in the disc circulation. (Shimizu K, Ujiie K: In Delaey JJ, ed: Fluorescein angiography and angioarchitecture of the choroid. International Symposium on Fluorescein Anglography. Doc Ophthalmol 9:187, 1976)

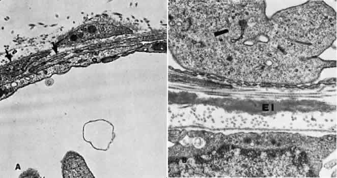
The vessel walls themselves consist of fenestrated endothelium surrounded by a basement membrane and a sparsely arranged layer of pericytes. The portion of the endothelial cell containing the nucleus also contains most of the cell's cytoplasm and organelles. The remainder of the cytoplasm is extremely attenuated, and these regions contain the fenestrae. These fenestrae are approximately 700 to 800 nm in diameter and are covered by a diaphragm. The attenuated areas are most typically found facing the RPE and contain very few pinocytotic vesicles. The region of the cell facing the suprachoroidal space usually contains more cytoplasm, fewer fenestrae, and the nucleus (Fig. 14). Few pericytic processes are seen in cross sections of these vessels on the side of the vessel facing the pigmented epithelium (Fig. 15). However, these processes are more numerous on the surface of the vessel facing the sclera. Because of the fenestrae, the choriocapillaris actively leaks fluorescein molecules.

Fig. 14. Electron micrograph. A. A portion of the capillary wall facing the suprachoroidea. The endothelial layer is relatively thick, and few fenestrae are present. Several pericytic processes (arrows) may be seen. B. A portion of the capillary wall facing the pigmented epithelium. Numerous fenestrae may be seen in the attenuated endothelium. The elastica of Bruch's membrane is well developed (EI).

Fig. 15. Electron micrography of a tangentially sectioned choroidal capillary. The attenuated portion of the endothelial cell may be seen facing the elastica of Bruch's membrane (arrows).

With aging, the connective tissue adjacent toand surrounding the choriocapillaris undergoeschanges, and electron-dense filaments and wide-spacing collagen may be seen.

The main nerve supply to the choroid is from the ciliary nerves. A significant proportion of the fibers innervate the blood vessels and belong to the sympathetic nervous system. Delicate plexuses and ganglion cells are found in the surrounding connective tissue, and unmyelinated fibers course toward the vessel wall.62

CILIARY BODY AND IRIS

The arterial blood supply to the ciliary body is from the branches of the long PCA, branches of the anterior ciliary arteries, and branches from the major arterial circle. Funk and Rohen,63 using scanning electron microscopy of resin casts of the ciliary body and iris vessels, have contributed significantly to our understanding of the anatomy of these vessels. They found that the perforating branches of the anterior ciliary arteries form an intramuscular circle that supplies the outer and posterior portions of the ciliary muscle, the iris, and the anterior choroid. The major circle of the iris is located more anteriorly and is supplied by the long PCAs and branches from the anterior ciliary arteries. The iridic major circle contributes to the anterior supply of the ciliary body as well as to the iris and ciliary processes. The ciliary processes themselves have three distinct vascular territories, each with its own system of arterioles and venules.63

The small arteries of the stroma of the ciliary body contain an endothelium and basement membrane, a poorly developed elastic lamina, a media containing two or three layers of smooth muscle, and a loose collagenous adventitia. Most ciliary vessels drain posteriorly into the choroidal and vortex systems. The remaining drainage is into the intrascleral venous plexus and the episcleral veins of the limbal region. Small veins and venules are found in the ciliary processes along with the capillaries. These vessels are often closely apposed to the pigmented layer of the epithelium surrounding the ciliary processes.

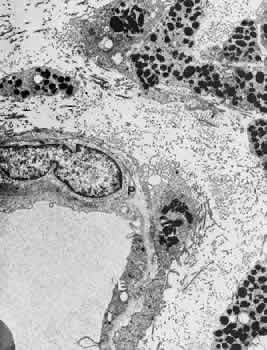
The capillaries and venules of the ciliary body are 15 to 30 μm in diameter and are fenestrated in both the pars plicata and pars plana. They closely resemble the capillaries of the choriocapillaris except that they are smaller. The fenestrae of these vessels range in size from 300 to 1,000 nm in diameter.64 The major difference between the capillaries in different areas of the ciliary body is that only those of the pars plana are in contact with the elastica of Bruch's membrane on the surface facing the pigmented epithelium. The capillaries present in the ciliary muscle are nonfenestrated (Figs. 16 and 17). The blood vessels are innervated by small branches of sympathetic fibers.

Fig. 16. Electron micrograph of a portion of a capillary facing the stroma of the ciliary process. The endothelial cell contains moderate amounts of rough-surfaced endoplasmic reticulum and numerous pinocytotic vesicles and few fenestrae. A very thin basement membrane is present. Particles of thorium dioxide may be seen in the lumen (l). This specimen was taken from a rat.

Fig. 17. Electron micrograph of a portion of a capillary from the ciliary process facing the pigmented epithelium (p). Note the absence of an elastic lamina between the vessel and the pigmented epithelium. Fenestrae are present, and the endothelium is quite attenuated. This specimen was taken from a rat injected with thorium dioxide. l, capillary lumen.

The iris blood vessels derive from the major iridic arterial circle and drain into the vortex system. The blood vessels of the iris are believed to have a slight corkscrew shape so they can accommodate to the changes in the length of the iris during dilation and contraction. A striking finding in all the iris vessels is the presence of thick collagenous adventitia that is several microns thick. There are approximately 200 radial vessels in the iris. The density of these vessels is greater than expected for the nutrition of the iris, and they probably account for anterior-segment thermal homeostasis and provide a high oxygen content for the corneal endothelium. Most of the vessels in the iris stoma are arterioles (Figs. 18, 19, and 20), venules, and capillaries (Fig. 21). The capillaries have unfenestrated endothelium with tight junctions. The main branches of these radial vessels form an incomplete circular arterial ring at the collarette (minor iris circle). Branches from the minor circle extend into the pupillary region to form capillary arcades. The venous drainage system parallels the arterial inflow pattern. The radial arteries of the iris are truly arterioles, with an overall diameter of 15 to 50 μm. The radial iridial veins are technically pericytic venules. They are approximately 30 to 90 μm in diameter. The media consists of one or two layers of pericytes. These cells make frequent contact with the endothelial cells but not with each other.

Fig. 18. Electron micrograph of a human iridial arteriole. The endothelial cell (E) is richly supplied with cellular organelles. In some areas (arrow), the smooth muscle cells (S) are in close contact with the endothelial cells.

Fig. 19. Electron micrograph of a human iridial arteriole from an older patient. Debris may be seen in the basement membrane surrounding the smooth muscle cells (arrows).

Fig. 20. Electron micrograph of a precapillary arteriole from a human iris in the region of the constrictor muscle. An incomplete layer of smooth muscle cells containing dense bodies (arrows) is present.

Fig. 21. Electron micrograph of an iridial capillary. The nonfenestrated endothelium (E) and an incomplete layer of pericytes (P) are present. Collagen fibrils and melanocytes may be seen in the adventitia.

Back to Top
OCULAR BLOOD FLOW
Fundus fluorescein photography has provided us with much qualitative detail about the nature of blood flow in the retina and iris and to a lesser extent the prelaminar optic disc and choroid. RBF in the retinal arterioles and venules clearly is laminar. With vascular disease, turbulence of flow may ensure. Flow in the choroid is more difficult to describe owing to the cavernous architecture and overlapping segmental structure. It is reasonable to suppose that choroidal blood flow is mostly laminar, with geographic filling of the separate choroidal segments.

Blood flow in retinal vessels has a small pulsatile component.65 Generally speaking, for arteries and veins of the size found in the retina, the deviations of flow from that predicted by Poiseuille's law should be small, provided that accurate estimates of local viscosity can be made. Blood flow in capillaries is quite different from the flow found in larger vessels.30,66–68

METHODS OF MEASUREMENT

Precise quantitative measurement of ocular blood flow is fraught with technical difficulty. The remarkable visibility of the ocular vessels stands as a challenge to those who try to quantitate the flow of blood. Direct cannulation of ocular vessels can be done; however, the measurement of blood flow or pressure using such techniques is difficult without significantly perturbing the system. Therefore, various other methods, both invasive and noninvasive, have been devised to measure blood flow, oxygen saturation, and mean circulation time in the ocular structures.

Invasive methods used to measure the intraocular blood flow in laboratory animals include the heated thermocouple cannulation of the opened vortex veins and anterior ciliary veins, perfusion of enucleated eyes, in vivo examination with a transscleral window, the nitrous oxide washout technique, and a radioactive krypton (5Kr) washout technique.68–77 To determine RBF, an oxygen electrode has been introduced into the vitreous cavity.78

One of the most interesting techniques for flow determination is the use of radioactive microspheres (15 to 50 μm) that are injected either into the left ventricle of the heart or into the carotid artery of laboratory animals. The distribution of microspheres that are trapped in the microcirculation of the tissue of interest is proportional to the regional blood flow.79 Subsequent gamma spectrometry of the desired ocular tissues then allows determination of the regional ocular blood flow.79–84

Noninvasive methods of measuring ocular blood flow lend themselves more readily to clinical studies in humans.85 Laser Doppler techniques may prove to be the best method for measuring in vivo RBF.86–90 Other current technologies include vessel caliber assessment,91 color Doppler ultrasonography,46 confocal scanning Doppler retinal flowmetry,92 fluorescein angiography and indocyanine green angiography,45 and ocular pulse measurements.93

Other noninvasive techniques have been described.94 Hickam and Frayser95 developed photographic techniques for estimating retinal oxygen saturation. By photographing and then measuring vessel dimensions near the optic disc, they were able to study the vascular responses to inhaled carbon dioxide and oxygen. Mean circulation time (the time for transit of fluorescein dye from the arterial to the venous phase) was measured by Hickam and Frayser96 and by Oberhoff and coworkers97 by measuring the optical densities over chosen retinal arteries and veins after fluorescein injection. The concentration of dye as a function of time then allowed the calculation of mean circulation time. Trokel98 and Gloster99 further developed the techniques of analysis of the wavelengths of returning light from the choroid and retina, respectively, to determine blood flow and oxygen saturation. Bulpitt and Dollery100 were able to estimate the RBF by measuring mean circulation time through a modification of the technique of Hickam and Frayser.95

Another technique involves the use of fiberoptics in conjunction with fluorescein fundus photography to measure the relative blood flow and blood velocity in selected retinal vessels.101 After videotaping a fluorescein angiogram of the posterior pole, a fiberoptic sensor is applied directly over the television screen image of the area of interest. The light from the fiberoptic is passed through a photomultiplier, and after signal averaging is performed, mean dilution curves are determined. Because only one passage of fluorescein is needed with a videotape recording of the passage of dye through the entire posterior pole, different parts of the retinal circulation can be selected for study at any given time.

UVEAL BLOOD FLOW AND REGULATORY MECHANISMS

The uvea consists of the iris, ciliary body, and the choroid. Wide discrepancies are found in the values for uveal blood flow, reflecting the complexities inherent in the measurement of flow through relatively inaccessible vessels. Uveal flow in monkeys has been shown to be approximately 730 mg/min for whole tissue using the microsphere technique with 1% iris, 12% ciliary body, and 83% choroidal distribution.81 The distribution of blood flow in cats was found to be 5% iris, 28% ciliary body, and 65% choroid.84 The total choroidal blood flow in this study represented 0.5% of the cardiac output. In averaging numerous studies on different species, it appears that the choroid receives 65% to 85% of the total ocular flow. The iris and ciliary body together receive from 10% to 35% of total ocular flow. Most studies indicate that only 5% or less of the total intraocular flow perfuses the retina.81,84

Many studies on the changes induced by external stimuli on human uveal blood flow have been performed. Akin to RBF studies, animal experiments that have been performed show that physiologic, neurologic, and pharmacologic stimuli can alter anterior uveal blood flow, but the applicability of their conclusions to human uveal blood flow is unclear.102 Microsphere studies show ciliary body vascularautoregulation in response to hypercarbia103 and elevated intraocular pressure.81 Sympathetic stimulation and alpha-adrenergic agonists decrease ciliary body blood flow in monkeys,82,104 cats,105 and rabbits.106 Sympathetic stimulation and epinephrine do not cause uniform perfusion changes throughout the anterior uvea. In monkeys, these stimuli reduce iris blood flow nearly three times more than in the ciliary process.81,107 This finding supports the existence of strategically located vascular receptors with distinct sensitivities that allow selective perfusion of the iris, ciliary muscle, and ciliary processes.108

The choroidal circulation, like the circulation in the entire uvea, is innervated by the sympathetic nervous system, unlike the optic disc and retinal vasculature.109 Further, the choroid does not show evidence of autoregulation.81 Blood flow through the choroid is of extremely high volume,81,110 making it unlikely that tissue demands could significantly lower the oxygen content of the choroidal blood. Autoregulation is thus unnecessary.111 Thermal homeostasis and the high metabolic demands of the outer retina and RPE are the most likely reasons that this flow is so high.112,113 Regulation of choroidal blood flow by the autonomic nervous system may provide some protection from the effects of systemic arterial hypertension. Stimulation of the cervical sympathetic chain decreases choroidal blood flow, and sympathectomy increases the circulation.57,114,115 Loss of such autonomic control may result in retinal edema.114

In humans, changes in the ophthalmic artery blood pressure can be used as an indirect gauge of the choroidal blood flow, because between 65% and 85% of the blood traveling in this vessel is destined to reach the choroid. Using compression ophthalmodynamometry and ocular pneumoplethysmography, measurements of the ophthalmic artery blood pressure can be made. The precise correlation between these readings and the actual intravascular pressures is not known, however. Most investigators have used these two techniques to study gross alterations in the ocular blood flow as a result of blockage in the ipsilateral carotid artery, rather than for assessment of choroidal blood flow per se. One study of the effects of topical timolol found that it didnot significantly alter ophthalmic artery blood pressure.116

RETINAL AND OPTIC NERVE BLOOD FLOW AND REGULATORY MECHANISMS

Accurate measurement of RBF is difficult because of the difficulty in accessing the retinal circulation. Past studies indicate that RBF represents 5% or less of total ocular blood flow.81,84 Laser Doppler methods allow the measurement of blood flow in individual retinal vessels. With laser Doppler, Feke and associates117 found that the average rate of normal human blood flow for the entire retina is 80 ± 12 μL/min. The blood flow rate per unit mass of retinal tissue was found to be in agreement with that reported for monkeys. Blood flow to the temporal retina was about three times larger than to the nasal retina. No significant difference was noted between the superior and inferior retina. In arteries, pulsatile flow was clearly shown, in phase with the cardiac cycle. Such measurements also show that the average blood velocity is 7 cm/sec in the major retinal arteries and approximately 3.5 cm/sec in the major retinal veins. Although such studies appear to be internally consistent, at present there is no way to verify their results independently. In another laser Doppler study of RBF in normal humans, a blood flow rate of 33 μL/min was calculated.118 This value is much lower than the equivalent flow rate calculated for monkeys.81,117

The presence of large regional differences in blood flow was also found in monkeys using the labeled microsphere technique.81 In this study, the blood flow to the peripapillary and macular regions was approximately four times larger than the flow to the intermediate and peripheral retina.

AUTOREGULATION OF OCULAR BLOOD FLOW

It is generally accepted that there is no functional autonomic innervation to the retinal vessels in humans.38,109,114 Instead, the retinal circulation shows autoregulation of its blood flow. Autoregulation is that property of a vascular bed that permits constant or nearly constant blood flow throughout a wide range of perfusion pressures. Autoregulation of the retina is commonly used today in a much broader sense. It encompasses the local homeostatic blood flow regulation mechanisms that provide a constant metabolic environment in the retina despite various conditions that tend to upset this equilibrium. Bloodflow in the retina appears to be primarily controlled by metabolic needs, especially the need for oxygen.81,84

Autoregulation is a complex physiologic function of the microcirculation. The precise mechanisms behind autoregulation are not known at present. The two concepts that have been introduced to explain this phenomenon are the myogenic theory and the local metabolite theory. The myogenic theory proposes that vasodilation and vasoconstriction to maintain blood flow in the presence of changing intravascular pressures are effected by cell-to-cell communication between adjacent smooth muscle cells. The local metabolite theory hypothesizes that metabolites or other substances (currently of unknown identity) are produced by the retina when hypoxemic or otherwise metabolically stressed and that these metabolites induce local alterations in blood flow in an attempt to maintain a constant environment of the retina.

The retinal circulation shows autoregulation within physiologic levels of intraocular pressure and as a corollary to the perfusion pressure (ocular perfusion pressure is defined as the blood pressure minus the intraocular pressure).81,119,120 The retinal circulation is quite sensitive to changes in oxygen tension. The earliest evidence of oxygen autoregulation in the retinal circulation was based on the marked vasoconstriction observed from increased inspiratory oxygen.95 Oxygen autoregulation of the retinal vessels has subsequently been shown by various techniques, including labeled microspheres,80 laser Doppler, and blue-field entoptic phenomenon. The retinal circulation also shows vasodilation in response to increased arterial carbon dioxide tension.80 RBF increases in the dark-adapted eye, presumably in response to the increased metabolic demand.112,113,121 The mediator of the pCO2 and pO2 changes in ocular blood flow is unknown, but the role of nitric oxide is being increasingly found to be important.122,123

Back to Top
EFFECTS OF EXTERNAL AGENTS ON RBF
The study of the effects of external environmental changes on RBF is as difficult as is precise measurement of normal RBF. Although the effects of various medications on RBF have been examined in certain animals,124,125 the results of animal studies are probably not directly applicable to humans. Also, in most published in vivo studies of the effects of external agents on retinal circulation, RBF was not directly measured; instead, changes in the diameters of the retinal vessels were assessed. This is an indirect measure of RBF at best because retinal vascular autoregulatory alterations may make these measured vessel caliber changes a secondary phenomenon and may not imply an actual change in RBF. Changes in perfusion pressure must be taken into account as well. Added to these factors is the fact that accurately and reproducibly measuring retinal vessels is not easy.91 A computerized method for measuring retinal blood vessels with improved accuracy has been developed.126

EFFECTS OF MEDICATIONS ON OCULAR BLOOD FLOW

Eliakim and associates127 studied the effects of intravenous aminophylline and papaverine as well as oral guanethidine on the retinal arteriolar diameter in 30 hypertensive adults. Although both aminophylline and guanethidine produced a decrement in systemic blood pressure, aminophylline did not alter the caliber of the retinal arterioles, whereas papaverine induced mild dilation (4.5% ± 3.9%). Curiously, guanethidine did not alter either systemic blood pressure or retinal arteriolar diameter, but it did cause dilation of the retinal veins.

Nitroglycerin appears to have an effect on the RBF as well.128 After sublingual administration, both the retinal arterial and venous trees dilate, 6% and 5% respectively. The retinal venous oxygen saturation appears to diminish from 60% to 52%. It was speculated that the decrease in oxygen saturation was due to an actual dimunition in RBF. Conversely, intravenous ammonium chloride induced a 5% reduction in caliber in the retinal arteries and veins without changing retinal venous oxygen saturation or systemic blood pressure.

Intravenous hydralazine appears to dilate the retinal vasculature to a larger extent than does sublingual nitroglycerin. Ramalho and Dollery129 found an average increase of 12.3% in arteriolar diameter with a 12.3% increase in venular diameter after intravenous administration of 37 mg hydralazine. Hypertensive adults appeared to be less affected byhydralazine.

Vasoactive Peptides and Antagonists

According to the local metabolite theory of autoregulation, a small, locally produced molecule such a vasoactive peptide might serve as the effector substance for retinal autoregulation. With this in mind, the effects of various vasoactive peptides on the retinal vasculature have been investigated in a limited fashion. Both intravenous angiotensin and norepinephrine were found to induce a minimal decrease in retinal arterial in humans while increasing the systemic blood pressure.130 The retinal vascular effect was believed to be an indirect change associated with the systemic alterations in blood pressure. Studies imply that the retinal vasculature may have receptors for alpha-adrenergic agents,131,132 cholinergic agents,133 and angiotensin 2.134,135 Although the role of these receptor sites has yet to be clarified, the lack of adrenergic innervation in the retinal vessels rules out central control by the autonomic nervous system. It is conceivable that either circulating or locally produced vasoactive peptides such as catecholamines or angiotensin can produce a retinal vascular response in vivo, thereby playing a part in the maintenance of hemodynamic homeostasis. Mitigating against this is the fact that the tight junctions and lack of fenestrations that characterize the retinal capillary endothelial cells should prevent such peptides from leaving the vessel lumina to reach pericytes or vascular smooth muscle cells.

Glaucoma Medications

Because optic nerve and inner retinal (blood supply to the ganglion cells) circulation is important in glaucoma pathophysiologic mechanisms, understanding the effects of drugs on these circulations is of interest.91 Of specific importance are drugs currently being used for glaucoma therapy, such as beta-adrenergic antagonists,136,137 calcium channel blockers,137 and carbonic anhydrase inhibitors.138 Caution should be used, though, in integrating these findings into clinical practice because the results of many of the studies are contradictory. The actual site of any effect of timolol on the retinal circulation is unclear, because some investigators believe that human retinal arteries probably lack beta receptors.13 Beta receptors do appear to be present in bovine retinal vessels, however.141–143

Glucose and Diabetic Retinopathy

In an effort to understand the changes in retinal circulation induced by diabetes, the effect of acute alterations in blood glucose on RBF has been examined by several investigators. These studies suggest that in hyperglycemia, both associated with diabetes and experimentally induced, RBF increases but the ability of the retinal circulation to autoregulate decreases.144,145 Conversely, a study of the blood flow in the macular capillaries concluded that in these vessels, hyperglycemia did not alter RBF.146

Assessment of RBF in eyes with various stages of diabetic retinopathy has been attempted as well. In these investigations, the changes in blood flow due to the retinal vascular structural alterations secondary to diabetes (i.e., microaneurysms, capillary dropout, venous dilation) were not necessarily distinguished from those due to the hyperglycemia itself. The results are contradictory, leaving definite conclusions unclear. Early fluorescein angiography studies implied that RBF was increased with diabetic retinopathy.147,148 Later, in a laser Doppler study that examined the flow through retinal veins, no change in overall RBF was detected with various stages of diabetic retinopathy.149 Another laser Doppler study that used the retinal arteries as references contradicted these earlier conclusions. A decrease in RBF with early to moderate diabeticretinopathy was found, with a trend toward normalization as the retinopathy became more severe and widespread structural alterations in the retinal vasculature developed.150

LASER THERAPY AND MISCELLANEOUS ENVIRONMENTAL CHANGES

The effect of laser therapy in the form of panretinal photocoagulation on RBF in diabetic patients has been studied using laser Doppler. Initial reports indicated that photocoagulation reduced the pulsatility of the arterial blood flow.151 Examination of retinal veins with laser Doppler before and after photocoagulation confirmed that RBF was reduced, along with an increase in the regulatory response to oxygen breathing.152 Clinical relevance of this finding was noted by Grunwald and associates,153 who correlated the success of the photocoagulation with the overall reduction in RBF. These findings are consistent with the theory that photocoagulation improves retinal oxygenation by altering RBF; however, it is unclear whether the blood flow changes are primary or secondary.113

Inhalation of pure oxygen has been recognized for some time to have a direct constricting effect on the diameter of retinal arteries. Using laser Doppler readings on normal patients breathing 100% oxygen, a decrease in RBF of about 60% was observed.154 In a later laser Doppler study, the response of diabetic patients was compared with the reaction in normal persons.155 The 60% decrease in RBF was confirmed in the normals; however, those with background diabetic retinopathy had only a 38% decrease, and those with proliferative retinopathy had only a 24% decrease. Photocoagulation appeared to ameliorate this apparent failure of autoregulation because it returned the rate of decrease to 54%.

A comparison of RBF in light versus dark has also been done by two separate groups using laser Doppler, yielding similar results.121,156 After dark adaptation, RBF was found to increase between 40% and 70%. The increased metabolic needs of the photoreceptor dark current were believed to be the cause of this increased blood flow. The measured increases in RBF represent the increased need of available oxygen for the inner retinal tissue necessary to counterbalance the increased oxygen use by the photoreceptor/RPE complex in the dark.112,121 In addition, the measured increases or decreases in human RBF are quantitatively linked to two intrinsic characteristics of the rod photoreceptor: its metabolic response to low, graded light levels and its rhodopsin-mediated wavelength-dependent light absorption properties.112 Light/dark-induced blood flow changes may thus provide a physiologic test for the autoregulatory capacity of the retinal vasculature. Interestingly, flickering light tends to increase RBF when compared with constant light. This effect has been noted with both laser Doppler (Feke GT, Weiter JJ: unpublished data, 1989) and the labeled microsphere technique.157

Using sophisticated digitized image analysis, the width of retinal vessels has been studied during various changes in external environment such as ascent to high altitude, head inversion, and elevated intraocular pressure.158 At high elevations, the retinal vessels dilated, with the veins dilating more than the arteries. Both arteries and veins constricted during head inversion and elevation of intraocular pressure. No correlation with actual RBF was made in this study.

MEASUREMENT OF OPTIC NERVE BLOOD FLOW

The measurement of optic nerve blood flow is extremely difficult because of the lack of accessibility to the optic nerve circulation in vivo and the fact that most of the exposed vessels are capillaries. Using the microsphere technique40,159 and the hydrogen clearance method,160 studies have yielded values of 0.8 mL/min/mm3 and 95 mL/min/100 g, respectively, figures that are in close agreement. Unfortunately, these invasive techniques cannot be applied to humans.

Laser Doppler techniques also have been used to study optic disc circulation.161,162 This method appears to be most useful for measuring relative blood flow, because the laser Doppler technique measures blood velocity, whereas blood vessel diameter or blood volume is necessary to measure absolute blood flow. By combining spectral reflectometry of the optic disc with laser Doppler techniques, it should be possible to measure optic disc blood flow directly.163 Further refinements of these techniques are necessary before accurate absolute optic nerve head blood flow measurements are possible. In humans, blood velocity (which appears to be directly related to blood flow) is 15% greater in the temporal aspect of the optic nerve than the nasal.164 There is no significant variation in blood velocity with respect to right versus left eye, male versus female, refractive error, cup-to-disc ratio, or intraocular pressure. For ages 27 to 76 years, there is a linear decrease of 19% in blood velocity.164 If it is assumed that optic nerve head capillaries do not dilate with age, it can be concluded that a significant reduction in optic nerve blood flow occurs with age. This conclusion is consistent with the age-related decrease in cerebral blood flow reported by various investigators.

The optic nerve head circulation is similar to the retinal circulation in that autoregulation is present.40,159,160 These studies show that within a wide range of intraocular pressures, autoregulation of the prelaminar part of the optic nerve head blood flow is closely comparable to that of the retina.

Back to Top
BLOOD-OCULAR BARRIER
Although investigation of the blood-brain barrier was initiated in the first decade of the 20th century, the blood-retinal barrier was not defined until much later.165 Information accumulated during the past two decades has shown that the function of the blood-ocular barrier may be better understood if two main barrier systems are considered to exist in the eye. The blood-aqueous barrier regulates the exchanges between the blood and the intraocular fluids, and the blood-retinal barrier separates the neural tissue from the blood. These barriers are essential for the control of the microenvironment of the ocular tissues. They prevent noxious water-soluble molecules from entering the extravascular spaces of the eye and impede the uncontrolled escape of important ions from the retina.

It has long been known that there are large differences in vascular permeability. Studies on the ultrastructure of microvessels have revealed that permeability differences reflect marked variations in ultrastructure. If only differences in ultrastructure between the endothelial cells are considered, a simple classification may be made into four main types, three of which seem to be present in the eye. The first type is vessels with tight junctions between the endothelial cells; this type is typical of the central nervous system and retina. The second type is vessels with nonfenestrated endothelial cells attached to each other by a less tight type of junctional complex. This type of junctional complex is found in the iris and the vessels of the ciliary muscle. The third type is vessels with thin endothelial cells containing pinocytotic vesicles and large numbers of fenestrations. The fenestrations are bridged by their membranes. Fenestrated capillaries are found in tissues with rapid net movement of fluid into or out of the exchange vessels. Such capillaries are encountered in the choroid and ciliary processes.

In addition to the ocular blood vessels, the RPE and ciliary epithelium, with their tight junctions, contribute to the blood-ocular barrier.

It is now clear that both epithelial and endothelial cells can form very tight barriers and that the type of junctional complex present between the cells has a critical role in the barrier function. Tight junctions of varying complexity typically form continuous seals between adjacent cells. The ultrastructure of the seals has been studied with transmission electron microscopy and freeze-fracture techniques. With transmission electron microscopy, the outer leaflets of the plasma membranes of adjacent cells appear fused in a way that creates lines of contact. With the freeze-fracture technique, strands or rows of particles seem to span and occlude the spaces between the cells. The number of strands varies between different epithelia, suggesting that the more strands, the tighter the epithelium.166

BLOOD-AQUEOUS BARRIER

The blood-aqueous barrier is involved with the production of aqueous humor. Aqueous humor is formed by active secretion as well as ultrafiltration. The composition of the aqueous humor is much different from whole blood, plasma, or even a simple ultrafiltrate of plasma.167 To describe this phenomenon of apparent active inward transport of certain substances, such as ascorbate, and the apparent passive or active exclusion of other substances, such as proteins and glucose, the concept of the blood-aqueous barrier was developed.

The blood-aqueous barrier is complex, having both epithelial and endothelial parts. It can be divided into a posterior part, restricting penetration into the posterior chamber, and an anterior part, restricting penetration into the anterior chamber. The main structures involved are the ciliary body and iris.

To pass from the blood vessels of the ciliary processes into the posterior chamber, any substance first must pass out of the microvessels, cross the loose connective tissue of the stroma, and then pass through the two-layered ciliary epithelium. The permeability properties of the fenestrated vessels of the ciliary body are similar to those of the choriocapillaris. The vessels are thin-walled and have many fenestrations. This type of vessel is known to have a high permeability to ions and small molecules, which seem to pass freely through the fenestrations. The thin layer of connective tissue that separates the capillaries from the ciliary epithelium does not hinder the movement of ions and molecules significantly. In normal eyes, the vessels are very permeable to intravenously injected dyes and to the small probes microperoxidase and horseradish peroxidase. These particles are then prevented from entering the aqueous humor by the tight junctions between the apical portions of the nonpigmented epithelial cells lining the ciliary processes.

The ciliary epithelium consists of two cell layers, the nonpigmented and the pigmented epithelium. The bases of the nonpigmented epithelium line the posterior chamber, whereas the bases of the pigmented cells rest on the ciliary body stroma. The apexes of the pigmented and nonpigmented cells are in contact with one another. The pigmented layer is continuous posteriorly with the RPE and anteriorly with the anterior epithelial layer of the iris. The nonpigmented layer is continuous with the neural retina at the ora serrata, and anteriorly it is continuous with the posterior epithelial layer of the iris. Indeed, it is the tight junctions of the nonpigmented ciliary epithelium, plus the low permeability of the iridial capillaries and venules, that form the functional blood-aqueous barrier.

There is no anatomical barrier between the posterior chamber and the vitreous humor.168 As a result, even macromolecules may pass back and forth between the vitreous humor and the posterior chamber. Furthermore, no efficient barrier restricts diffusion between the tissue fluid of the retina and the vitreous humor. Strictly speaking, then, the blood-retina barrier can be regarded as part of the blood-aqueous barrier, and vice versa. Diffusional solute exchanges do occur between the aqueous humor and the surrounding tissues, the posterior chamber, and the vitreous compartment.169 In the chamber angle, there is continuous drainage of aqueous humor into Schlemm's canal and uveoscleral routes. This flow creates a functional barrier to movement of ions and molecules in the reverse direction.

Although the iridial vessels may be permeable to negatively charged dyes, such as fluorescein, the leakage (or fluorescence) observed in the iris after injection of these substances is not very pronounced. This may be because of a rapid washout of the dye by the aqueous humor or low permeability of these vessels. In both rats and humans, fluorescein leakage is rarely noted in young eyes and is more frequently observed in older ones. However, it is difficult to determine whether the angiograms reflect pathologic changes in blood vessel permeability. Changes in the iris stroma or in the rate of production or drainage of the aqueous could alter the local concentration of fluorescein around iridial blood vessels and result in an apparent change in blood vessel permeability. In this respect, fluorescein angiography is not a reliable technique for detecting increases in iridial blood vessel permeability in response to inflammatory stimuli.170

The use of electron-opaque marker particles shows that iridial vessels are much less permeable than the fenestrated vessels of the choriocapillaris of the ciliary body. However, they are also less permeable than other continuous capillaries located outside the eyeball. For example, the small blood vessels in skeletal muscle and connective tissue are permeable to horseradish peroxidase, whereas iridial vessels are not. The low permeability of the iridial vessels undoubtedly has an important role in maintaining the blood-aqueous barrier. In monkeys, horseradish peroxidase is prevented from leaking out of the capillaries by the junctional complexities, suggesting that they are tight junctions with zonula occludentes.171–173

Plasma proteins for the most part are excluded from entry into the aqueous humor. However, the presence of a low level of protein in the aqueous humor of normal eyes shows that the barrier function is not absolute. The ratio of albumin to globulin in the aqueous humor is larger than in the plasma because of the relatively greater barrier penetration of the lower-molecular-weight albumin than the higher-molecular-weight globulins.167

Disturbance of the barrier produces well-known effects.174 Paracentesis greatly increases the protein in the newly formed aqueous humor.175 Other substances that change the permeability of the blood-aqueous barrier174 include vasoconstrictors, as well as muscarinic agonists such as pilocarpine, which increase the permeability of the barrier and inflammation, perhaps by way of prostaglandins,176–178 which serve to increase the permeability of the barrier to proteins. Both corticosteroidal and noncorticosteroidal anti-inflammatory drugs, such as aspirin and indomethacin, attenuate blood-aqueous barrier breakdown in models of inflammation.178–181 Histamine increases the permeability of various ocular tissue vessels, with the exception of the retina.165 The structures of the eye are not equally permeable to substances present in the blood. The permeability and the time course of appearance of substances in the blood are much greater in the aqueous than the vitreous humor.182 Thus, the iris may present a significant leakage point into the normal eye for substances from the blood.174

BLOOD-RETINAL BARRIER

The blood-retinal barrier is formed by both the retinal vasculature and the RPE.183 The barrier function depends on tight junctions that restrict intercellular movement of all water-soluble molecules and thus virtually prevent these molecules from entering the retina.165 Electron microscopy has shown particularly extensive zonula occludentes surrounding the retinal capillary endothelial cells. These extensive areas of fusion of the outer leaflets of the adjacent cell membranes were shown to be very stable, much more so than the iris vessels. When the eye is submitted to paracentesis or when histamine is applied directly to the retina, the junctional complexes remained closed. In contrast, paracentesis or local application of histamine opened the interendothelial junctions of the iris. The tight junctions of the retina are particularly stable, showing characteristic “nonleaky” tight junctions similar to cerebral vessels. In the retinal vessels, the tight junctions not only block movement of macromolecules from the lumen toward the interstitial space but also prevent diffusion of macromolecules in the reverse direction (i.e., from the vitreous body and extracellular space of the retina into the vascular lumen). Such nonleaky tight junctions, like the ones in the retinal vessels, establish steep gradients across the membranes where they are located, and the associated cell membrane is involved with active transport mechanisms. Thus, macromolecules and ions do not passively diffuse into the retina from the circulation but are associated with selective active transport into the retina.

The outer retinal barrier is formed by the RPE in conjunction with Bruch's membrane and the choriocapillaris. The capillaries of the choriocapillaris have thin endothelial cells, containing pinocytotic vesicles and numerous fenestrations that occur preferentially in the region of the vessel wall facing the RPE. The choriocapillaris is fairly permeable to macromolecules and does not appear to have much significance in barrier function. Bruch's membrane, located between the choriocapillaris and RPE, acts as a diffusion barrier only to large molecules. The RPE is the major barrier to substances originating from the choroid. Similar to the endothelial cells of the retinal vasculature, the adjacent RPE cells are united by extensive zonula occludentes.

The glial cells of the retina, because of their intimate contact with the retinal capillaries, were for a time hypothesized to have a role in the blood-retinal barrier. However, studies have shown that the blood-retinal barrier resides in the endothelium of the capillaries and not in the glial cells. It is possible, though, that the glial cells may act as metabolic intermediaries between the retinal capillaries and retinal neurons.

Studies of the permeability of ocular vessels show that the fenestrated choroidal capillaries are very permeable to low-molecular-weight substances.183,184 Sodium permeability in the choroid is probably 50 times that in skeletal muscle, resulting in high concentrations and rapid turnover of nutrients in the extravascular compartment of the choroid. Free diffusion is restricted by the pigment epithelial barrier.

In clinical studies, the integrity of the blood-retinal barrier can be studied by fluorescein angiography and vitreous fluorophotometry. Both of these methods, one qualitative and the other quantitative, give important information on the blood-retinal barrier. Both methods use fluorescein, which is particularly useful for studying blood-retinal barrier function because it has a small molecular size and is involved in active transport at the blood-retinal barrier level.185 As one would expect, many factors and diseases can disturb the blood-retinal barrier. Experimental and clinical observations have shown that the following are common causes of barrier disruption: acute distention of the barrier wall, ischemia/hypoxia, biochemical influences, inflammation, defective endothelial/epithelial cells, and failure of the active transport processes. Besides these causes of disruption of the barrier, all of which are usually related to disease states, attention has been focused on therapeutic approaches for crossing the barrier. The penetration of most antibiotics and chemotherapeutic agents into the retina is related to their lipid solubility. Direct injection of substances into the vitreous bypasses the blood-ocular barrier. Another possibility is the reversible alteration of the blood-retinal barrier by the use of such substances as hypertonic solutions. It is expected that future development of drugs capable of controlling the blood-retinal barrier will contribute significantly to the treatment of various retinal diseases.

The functional significance of the high permeability of choroidal capillaries to large molecules has been a subject of speculation. Bill proposes that it allows an adequate supply of vitamin A to the RPE.186 This vitamin A is bound to a globulin, which is in turn bound to a prealbumin. In addition, the high protein permeability of the choriocapillaris results in a greater oncotic pressure in the choroid than in the retina. The resultant differences in osmotic pressure facilitate the absorption of fluid into the choroid from the retinal extracellular spaces and may be a mechanism helping to keep the retina attached to the choroid.186 The retinal capillaries and RPE have very low permeability even to sodium and thus require active transport and carrier systems for the uptake of substance. These carriers appear to operate in both directions (both inward and outward).187

BLOOD-OPTIC NERVE BARRIER

Several investigators have described a defect in the blood-optic nerve barrier at the optic disc. Using fluorescence microscopy in rabbits and monkeys, Laties and Rapoport188 and Grayson and Laties189 found that the large and small vessels of the optic nerve are impermeable to sodium fluorescein. However, at the posterior scleral foremen, some fluorescein enters the parenchyma of the optic disc. When sodium fluorescein was injected into the circulatory system of human eyes before enucleation, subsequent examination by fluorescence microscopy showed leakage of dye into the optic disc from the choroid through the border tissue of Elschnig into the connective tissue and glial columns of the lamina choroidalis and lamina scleralis.190 Using intravenously injected horseradish peroxidase and light microscopy, Flage found this probe in the connective tissue of the optic nerve head and considered that the most likely route was diffusion from the perineural choroid and sclera.191

In electron microscopic studies, it was found that intravenously injected horseradish peroxidase remains in the lumen of retinal and optic nerve vessels. Interestingly, when injected into the vitreous, this probe passed across the retina and into the connective tissue of the optic nerve.192 In another study using horseradish peroxidase and electron microscopy, the peroxidase was found to enter the parenchyma of the disc mainly from the choroid through the border tissue of Elschnig.193 This probe was prevented from entering the subretinal space by tight junctions present between the glial cells in the intermediate tissue of Kuhnt. The horseradish peroxidase was not found to diffuse anteriorly, although no morphologic barrier is present to prevent such a movement. The investigators proposed that the bulk flow of fluid into the optic nerve from the vitreous may prevent the anterior diffusion of these particles.189

In summary, the blood-aqueous barrier is formed by the nonpigmented layer of the ciliary epithelium, the posterior iridial epithelium, and the endothelium iridial vessels. These barriers have tight junctions of the leaky type. The permeability of the blood-aqueous barrier shows a significant degree of pressure-dependent diffusion associated with transport activity. The blood-retinal barrier consists of both the RPE and the endothelium of the retinal vessels. Both of these barriers are related to tight junctions of the nonleaky type. The permeability of the blood-retinal barrier resembles cellular permeability in general, diffusion being directly related to the predominant roles of lipid solubility and transport mechanisms.165 The optic nerve blood vessels appear to have the same nonleaky type of tight junctions as the retinal blood vessels. There does appear to be diffusional leakage into the optic nerve head from the perineural choroidal and sclera, but bulk flow into the optic nerve head from the vitreous may limit the significance of this diffusional leakage.

Back to Top
ACKNOWLEDGMENTS
The authors and editors express their appreciation to Richard Hansen, MD, Jeanne Szalay, PhD, and the late Paul Henkind, MD, PhD, authors of the original “Ocular Circulation” chapter. The illustrations and a portion of the original text are included in this revision.
Back to Top
REFERENCES

1. Hayreh SS, Dass R: The ophthalmic artery, part II. Intraorbital course. Br J Ophthalmol 46:165, 1962

2. Hayreh SS: The ophthalmic artery, part III. Branches. Br J Ophthalmol 46:212, 1962

3. Ashton N: The mode of development of the retinal vessels in man. In Cant JS, ed: The Ocular Circulation in Health and Disease, p 7. St. Louis, CV Mosby, 1969

4. Olver JM: Functional anatomy of the choroidal circulation. Eye 4:262–272, 1990

5. Krause R: New technique to demonstrate the network of blood capillaries of the human retina in their three-dimensional arrangement. Graefes Arch Clin Exp Ophthalmol 228:187, 1990

6. Williamson JR, Tilton RG, Kilo CK et al: Immunofluorescent imaging of capillaries and pericytes in human skeletal muscle and retina. Microvasc Res 20:233, 1980

7. Kuwabara T, Cogan DG: Studies of retinal vascular patterns, part 1. Normal architecture. Arch Ophthalmol 64:904, 1960

8. Cuthbertson RA, Mandel TE: Anatomy of the mouse retina: Endothelial cell-pericyte ratio and capillary distribution. Invest Ophthalmol Vis Sci 27:1659, 1986

9. Hogan MJ, Feeney L: Ultrastructure of the retinal vessels, part 1. The larger vessels. J Ultrastruct Res 9:10, 1963

10. Yamada E, Shikano S: Electron microscopy. In Atlas of Ophthalmology. Tokyo, Igaku Shoin, 1972

11. Justice J, Lehmann RP: Cilioretinal arteries. Arch Ophthalmol 94:1355, 1976

12. Das A, Frank RN, Zhang NL et al: Ultrastructural localization of extracellular matrix components in human retinal vessels and Bruch's membrane. Arch Ophthalmol 108:421, 1990

13. Laties A: Central retinal artery innervation: Absence of adrenergic innervation to the intraocular branches. Arch Ophthalmol 77:405, 1967

14. Furukawa H: Autonomic innervation of preretinal blood vessels of the rabbit. Invest Ophthalmol 28:1752, 1987

15. Hogan MJ, Feeney L: Ultrastructure of the retinal vessels, part II: te small vessels. J Ultrastruct Res 9:29, 1963

16. Duker JS, Brown GC: Anterior location of the crossing artery in branch retinal vein obstruction. Arch Ophthalmol 107:998, 1989

17. Seitz R: The Retinal Vessels. St. Louis, CV Mosby, 1964

18. Iwasaki M, Inomata H: Relation between superficial capillaries and foveal structures in the human retina. Invest Ophthalmol Vis Sci 27:1698, 1986

19. Henkind P, Bellhorn RW, Poll D: Radial peripapillary capillaries, part III. Their development in the cat. Br J Ophthalmol 57:595, 1973

20. Henkind P: New observations on the radial peripapillary capillaries. Invest Ophthalmol 6:103, 1967

21. Henkind P: Radial peripapillary capillaries: Past, present, future. In Shimizu K, ed: Fluorescein Angiography, p 91. Tokyo, Igaku Shoin, 1974

22. Kornzweig AL, Eliasoph I, Feldstein M: Selective atrophy of the radial peripapillary capillaries in chronic glaucoma. Arch Ophthalmol 80:696, 1968

23. Ishikawa T: Fine structure of retinal vessels in man and the macaque monkey. Invest Ophthalmol 2:1, 1963

24. Raviola G, Butler JM: Unidirectional vesicular transport mechanism in retinal vessels. Invest Ophthalmol Vis Sci 24:1465, 1983

25. Frank RN, Turczyn TJ, Das A: Pericyte coverage of retinal and cerebral capillaries. Invest Ophthalmol Vis Sci 31:999, 1990

26. Yamashita T, Becker B: The basement membrane in the human diabetic eye. Diabetes 10:881, 1961

27. Cogan DG, Toussaint D, Kuwabara T: Retinal vascular patterns, part IV. Diabetic retinopathy. Arch Ophthalmol 66:366, 1961

28. Hohman TC, Nishimura C, Robison WG: Aldose reductase and polyol in cultured pericytes of human retinal capillaries. Exp Eye Res 48:55, 1989

29. Leuenberger P: Ultrastructure of the aging retinal vascular system with special reference to quantitative and qualitative changes of capillary basement membranes. Gerontologia 19:1, 1973

30. Wise GN, Dollery CT, Henkind P: Retinal Circulation. New York, Harper & ow, 1971

31. Nyborg NCB, Nielsen PJ: The level of spontaneous myogenic tone in isolated human posterior ciliary arteries decreases with age. Exp Eye Res 51:711, 1990

32. Francois J, Neetens A: Vascularization of the optic pathway, part 1. Br J Ophthalmol 38:472, 1954

33. Francois J, Neetens A: Vascularization of the optic pathway, part 11. Br J Ophthalmol 40:45, 1954

34. Lieberman MF, Maumenee AK, Green WR: Histologic studies of the vasculature of the anterior optic nerve. Am J Ophthalmol 82:405, 1976

35. Hayreh SS: Blood supply of the optic nerve head and its role in optic atrophy, glaucoma, and oedema of the optic disc. Br J Ophthalmol 53:721, 1969

36. Henkind P, Levitzky M: Angioarchitecture of the optic nerve, part 1. The papilla; part II. Lamina cribrosa. Am J Ophthalmol 68:979, 1969

37. Hayreh SS: Blood supply and vascular disorders of the optic nerve. Ann Inst Barraquer 4:7, 1963

38. Ernest JT: Autoregulation of optic disc oxygen tension. Invest Ophthalmol Vis Sci 13:101, 1974

39. Weinstein JM, Duckrow RB, Beard D et al: Regional optic nerve blood flow and its autoregulation. Invest Ophthalmol Vis Sci 24:1559, 1983

40. Geijer C, Bill A: Effects of raised intraocular pressure on retinal, prelaminar, laminar, and retrolaminar optic nerve blood flow in monkeys. Invest Ophthalmol Vis Sci 18:1030, 1979

41. Quigley HA, Hohman RM, Addicks EM et al: Blood vessels of the glaucomatous optic disc in experimental primate and human eyes. Invest Ophthalmol Vis Sci 25:918, 1984

42. Jonas JB, Nguyen XN, Naumann GOH: Parapapillary retinal vessel diameter in normal and glaucoma eyes, part 1. Morphometric data. Invest Ophthalmol Vis Sci 30:1599, 1989

43. Sebag J, Delori FC, Feke GT et al: Effects of optic atrophy on RBF and oxygen saturation in humans. Arch Ophthalmol 107:222, 1989

44. Alm A, Bill A: Ocular circulation. In Moses RA, Hart WM, eds: Adler's Physiology of the Eye. St Louis, Mosby, 1987

45. Yannzzi LA, Flower RW, Slakter JS: Indocyanine Green Angiography. St. Louis, Mosby, 1997

46. Lieb W, Shields JA, Cohen SM et al: Color Doppler imaging of intraocular tumors. Ophthalmology 97:1660, 1990

47. Parver LM, Auker C, Carpenter DO: Choroidal blood flow as a heat dissipating mechanism in the macula. Am J Ophthalmol 89:641, 1980

48. Wagenmann A: Experimentelle Untersuchungen Uber den Einfluss der Circulation inden Netzhautund Aderhautgenfassen auf die Ernahrung des Auges, insbes der Retina und uber die Folgen der Sehnervendurchschneidung. Graefes Arch Clin Exp Ophthalmol 36:1, 1890. Quoted by Ernest T et al: Am J Ophthalmol 81:574, 1976

49. Amalric P: Veines choroidiennes etat normal et pathologique. Ann Ocul (Paris) 207:161, 1974

50. Ring HO, Fujino T: Observations on the anatomy and pathology of the choroidal vasculature. Arch Ophthalmol 78:431, 1967

51. Dollery CT, Henkind P, Kohner EM et al: Effect of raised intraocular pressure on the retinal and choroidal circulation. Invest Ophthalmol 7:191, 1968

52. Hayreh SS: Segmental nature of the choroidal vasculature. Br J Ophthalmol 59:631, 1975

53. Torczynski E, Tso MO: The architecture of the choriocapillaris at the posterior pole. Am J Ophthalmol 81:428, 1976

54. Weiter JJ, Ernest JT: Anatomy of the choroidal vasculature. Am J Ophthalmol 78:583, 1974

55. Ernest JT, Stern WH, Archer DB: Submacular choroidal circulation. Am J Ophthalmol 81:574, 1976

56. Fryczykowski AW, Sherman MD, Walker J: Observations on the lobular organization of the human choriocapillaris. Int Ophthalmol 15:109–120, 1991

57. Weiter J, Schacher RA, Ernest T: Control of intraocular blood flow, part II. Effects of sympathetic tone. Invest Ophthalmol 12:332, 1973

58. Ruskell GL: Facial parasympathetic innervation of the choroidal blood vessels in monkeys. Exp Eye Res 12: 166, 1971

59. Hogan MJ, Feeney L: Electron microscopy of the human choroid, part III. The blood vessels. Am J Ophhalmol 1:1084, 1961

60. Yoneya S, Tso MOM, Shimizu K: Patterns of the choriocapillaris: A method to study the choroidal vasculature of the enucleated human eye. Int Ophthalmol 6:95, 1983

61. Yoneya S, Tso MOM: Angioarchitecture of the human choroid. Arch Ophthalmol 105:681, 1987

62. Hogan MJ, Feeney L: Electron microscopy of the human choroid, part II. The choroidal nerves. Am J Ophthalmol 51:1072, 1961

63. Funk R, Rohen JW: Scanning electron microscopic study on the vasculature of the human anterior eye segment, especially with respect to the ciliary processes. Exp Eye Res 51:651, 1990

64. Taniguchi Y: Fine structure of blood vessels of the ciliary body. Jpn J Ophthalmol 6:93, 1962

65. Dollery CT: Dynamic aspects of the retinal microcirculation. Arch Ophthalmol 79:536, 1968

66. McDonald DA: Blood Flow in Arteries. Baltimore, Williams & Wilkins, 1974

67. Whitmore RL: Rheology of the Circulation. Elmsford, NY, Pergamon Press, 1968

68. Charm SE, Kurland GS: Blood Flow and Microcirculation. New York, John Wiley & Sons, 1974

69. Friedman E, Smith TR, Kuwabara T: Retinal microcirculation in vivo. Invest Ophthalmol 3:217, 1964

70. Bill A: A method for quantitative determination of the blood flow through the cat uvea. Arch Ophthalmol 67:156, 1962

71. Cohan BE, Cohas S: Flow and oxygen saturation of blood in the anterior ciliary vein of the dog eye. Am J Physiol 205:60, 1963

72. Elgin SS: Arteriovenous oxygen difference across the uveal tract of the dog eye. Invest Ophthalmol 3:417, 1964

73. Seaman AJ, Rullman DR, Lutcher CL et al: The living extracorpeal eye. Scand J Clin Lab Invest (suppl) 84:101, 1965

74. Kety S, Schmidt DF: The nitrous oxide method for the quantitative determination of cerebral blood flow in man: Theory, procedure, and normal values. J Clin Invest 27:476, 1948

75. Detweiler DK: Circulation. In Brobeck JR, ed: Best and Taylor's Physiological Basis of Medical Practce, 9th ed. Baltimore, Williams & Wilkins, 1973

76. Pilkerton R. Bulle PH, O'Rourke J: Uveal blood flow determined by the nitrous oxide method. Invest Ophthalmol 3:227, 1964

77. Friedman E, Kopald HH, Smith TR: Retinal and choroidal blood flow determined with krypton-85 in anesthesized animals. Invest Ophthalmol 3:539, 1964

78. Alm A, Bill A: The oxygen supply to the retina, part 1. Effects of changes in intraocular and arterial blood pressures and in arterial PO2 and pCO2 on the oxygen tension in the vitreous body of the cat. Acta Physiol Scand 84:261, 1972

79. O'Day DM, Fish MB, Aronson SB et al: Ocular blood flow measurements by nuclide labelled microspheres. Arch Ophthalmol 86:205, 1971

80. Alm A, Bill A: The oxygen supply to the retina, part 11. Effects of high intraocular pressure and of increased arterial carbon dioxide tension on uveal and RBF in cats: A study with labeled microspheres including flow determinations in brain and some other tissues. Acta Physiol Scand 84:306, 1972

81. Alm A, Bill A: Ocular and optic nerve blood flow at normal and increased intraocular pressures in monkeys (Alacaca Irus): A study with radioactively labelled microsphere including flow determinations in brain and some other tissues. Exp Eye Res 15:15, 1973

82. Alm A: The effect of stimulation of the sympathetic chain on retinal oxygen tension and uveal, retinal, and cerebral blood flow in cats. Acta Physiol Scand 88:84, 1973

83. Alm A, Bill A, Young FA: The effects of pilocarpine and neostigmine on the blood flow through the anterior uvea in monkeys: A study with radioactively labelledmicrospheres. Exp Eye Res 15:31, 1973

84. Weiter J, Schacher RA, Ernest T: Control of intraocular blood flow, part I. Intraocular pressure. Invest Ophthalmol 12:327, 1973

85. Williamson TH, Harris A: Ocular blood flow measurement. Br J Ophthalmol 78:939–945, 1994

86. Riva C, Ross B, Benedek GB: Laser Doppler measurements o blood flow in capillary tubes and retinal arteries. Invest Ophthalmol 11:936, 1972

87. Stern MD: In vivo evaluation of microcirculation by coherent light scattering. Nature 254:56, 1975

88. Tanaka T, Riva C, Ben-Sira I: Blood velocity measurements in human retinal vessels. Science 186:830, 1974

89. Schlegal WA, Lawrence C: Doppler measurements of vortex blood flow in animals. Invest Ophthalmol 8:201, 1969

90. Sebag J, Delori FC, Feke GT, Weiter JJ: Effects of optic atrophy on RBF and oxygen saturation in humans. Arch Ophthalmol 107:222–226, 1989

91. Delori FC, Fitch KA, Feke GT, et al: Evaluation of micrometric and microdensitometric methods for measuring the width of retinal vessel images on fundus phtotographs. Graefes Arch Clin Exp Ophthalmol 226:393–399, 1988

92. Chung HS, Harris A, et al: Peripupillary RBF in normal tension glaucoma. Br J Ophthalmol 83:466–469, 1999

93. Harris A, Chung HS, Ciulla TA et al: Progress in measurement of ocular blood flow and relevance to our understanding of glaucoma and age-related macular degeneration. Prog Ret Eye Res 18:669–687, 1999

94. Schmetterer L, Dallinger S, Findl O et al: Noninvasive investigations of the normal ocular circulation in humans. Invest Opththalmol Vis Sci 39:1210–1220, 1998

95. Hickam JB, Frayser R: Studies on the retinal circulation in man: Observations on vessel diameter, arteriovenous oxygen difference, and mean circulation time. Circulation 33:302, 1966

96. Hickam JB, Frayser R: A photographic method for measuring the mean retinal circulation time using fluorescein. Invest Ophthalmol 4:876, 1965

97. Oberhoff P. Evans PY, Delaney JF: Cinematographic documentation of retinal circulation times. Arch Ophthalmol 74:77, 1965

98. Trokel S: Quantitative studies of choroidal blood flow by reflective densitometry. Invest Ophthalmol 4:1129, 1965

99. Gloster J: Fundus oximetry. Exp Eye Res 6:187, 1967

100. Bulpitt C, Dollery CT: Estiation of RBF by measurement of the mean circulation time. Cardiovasc Res 5:406, 1971

101. Riva C, Ben-Sira I: Two-point fluorophotometer for the human ocular fundus. Appl Optics 14:2691, 1975

102. Chandra SR, Friedman E: Choroidal blood flow, part 11. The effects of autonomic agents. Arch Ophthalmol 87:67, 1972

103. Beausang-Linder M: Effects of sympathetic stimulation on cerebral and ocular blood flow: Modification by hypertension, hypercapnia acetayolamide, PGI-2 and papaverine. Acta Physiol Scand 114:217, 1982

104. Alm A: The effect of topic l-epinephrine on regional ocular blood flow in monkeys. Invest Ophthalmol Vis Sci 19:487, 1980

105. Bill A, Heilmann K: Ocular effects of clonidine in cats and monkeys. Exp Eye Res 21:481, 1975

106. Morgan TR, Green K, Bowman K: Effects of adrenergic agonists upon regional ocular blood flow in normal and ganglionectomized rabbits. Exp Eye Res 32:691, 1981

107. Morrison JC, Van Buskirk EM: Microanatomy and modulation of the ciliary vasculature. Trans Ophth Soc UK 105:131, 1986

108. Laties AM, Jacobowitz D: A comparative study of the autonomic innervation of the eye in monkey, cat and rabbit. Anat Rec 156:383, 1966

109. Wolter JR: Nerves of the normal human choroid. Arch Ophthalmol 64:120, 1960

110. Alm A, Bill A: Blood flow and oxygen extraction in the cat uvea at normal and high intraocular pressures. Acta Physiol Scand 80:19, 1970

111. Landers MB III: Retinal oxygenation over the choroidal circulation. Trans Am Ophthalmol Soc 76:528, 1978

112. Zuckerman R, Weiter JJ: Oxygen transport in the bullfrog retina. Exp Eye Res 30:117, 1980

113. Weiter JJ, Zuckerman R: The influence of the photoreceptor-RPE complex on the inner retina: An explanation of the beneficial effects of photocoagulation. Ophthalmology 87:1133, 1980

114. Ernest JT: The effect of systolic hypertension on rhesus monkey eyes after ocular sympathectomy. Am J Ophthalmol 84:341, 1977

115. Schachar RA, Weiter JJ, Ernest JT: Control of intraocular blood fow, part III. Effect of chemical sympathectomy. Invest Ophthalmol 12:848, 1973

116. Grunwald JE, Furubayashi C: Effect of topical timolol maleate on the ophthalmic artery blood pressure. Invest Ophthalmol Vis Sci 30:1095, 1989

117. Feke GT, Tagawa H, Deupree DM et al: Blood flow in the normal human retina. Invest Ophthalmol Vis Sci 30:58, 1989

118. Riva CE, Grunwald JE, Sinclair SH et al: Blood velocity and volumetric flow rate in human retinal vessels. Invest Ophthalmol Vis Sci 26:1124, 1985

119. Harris A, Ciulla TA, Chung HS et al: Regulation of retinal and optic nerve blood flow. Arch Ophthalmol 116:1491–1495, 1998

120. Riva CE, Sinclair SH, Grunwald JE: Autoregulation of retinal circulation in response to decrease of perfusion pressure. Invest Ophthalmol Vis Sci 21:34, 1981

121. Feke GT, Zuckerman R, Green GJ et al: Response of human RBF to light and dark. Invest Ophthalmol Vis Sci 24:136, 1983

122. Schmetterer L, Findl O, Strenn K et al: Role of NO in the O2 and CO2 responsiveness of cerbral and ocular circulation in humans. Am J Physiol 273:R2005–2012, 1997

123. Kelly PA, Buckley CH, Ritchie IM et al: Possible role for nitric oxide releasing nerves in the regulation of ocular blood flow in the rat. Br J Ophthalmol 82:1199–1202, 1998

124. Alm A: Effects of norepinephrine, angiotensin, dihydroergotamine, papaverine, isoproterenol, histamine, nicotinic acid, and xantinol nicotinate on retinal oxygen tension in cats. Acta Ophthalmol (Copenh) 50:707, 1972

125. Ffytche TJ, Bulpitt CJ, Archer D et al: Effects of papaverine on the retinal microcirculation. Br J Ophthalmol 57:910, 1973

126. Eaton AM, Hatchell DL: Measurement of retinal blood vessel width using computerized image analysis. Invest Ophthalmol Vis Sci 29:1258, 1988

127. Eliakim M, Mor I, Michaelson IC: Assessment of pharmacologic effects on the retinal circulation of hypertensive subjects by a quantitative method. Microvasc Res 4:374, 1972

128. Frayser R. Hickam JB: Effectof vasodilator drugs on the RBF in man. Arch Ophthalmol 73:640, 1965

129. Ramalho PS, Dollery CT: Hypertensive retinopathy: Caliber changes in retinal blood vessels following blood pressure reductions and inhalation of oxygen. Circulation 37:580, 1968

130. Dollery CT, Hill DW, Hodge JV: The response of normal retinal blood vessels to angiotensin and noradrenaline. J Physiol (Lond) 165:500, 1963

131. Forster BA, Ferrari-Dileo G. Anderson DR: Adrenergic alpha I and alpha 2 binding sites are present in bovine retinal blood vessels. Invest Ophthalmol Vis Sci 28:1741, 1987

132. Ferrari-Dileo G, Davis EB, Anderson DR: Response of retinal vasculature to phenylephrine. Invest Ophthalmol Vis Sci 31:1181, 1990

133. Ferrari-Dileo G, Davis EB, Anderson DR: Biochemical evidence for cholinergic activity in retinal blood vessels. Invest Ophthalmol Vis Sci 30:473, 1989

134. Rockwood EJ, Fantes F, Davis EB et al: The response of retinal vasculature to angiotensin. Invest Ophthalmol Vis Sci 28:676, 1987

135. Ferrari-Dileo G, Davis EB, Anderson DR: Angiotensin binding sites in bovine and human retinal blood vessels. Invest Ophthalmol Vis Sci 28:1747, 1987

136. Tomidokoro A, Araie M, Tamaki Y et al: Effects of topical carteolol and timolol on tissue circulation in the iris and choroid. Curr Eye Res 18:381–390, 1999

137. Yu DY, Su EN, Cringle SJ et al: Systemic and ocular vascular roles of the antiglaucoma agents beta-adrenergic antagonists and Ca2+ entry blockers. Surv Ophthalmol 43:Suppl 1:S214–222, 1999

138. Pillunat LE, Bohm AG, Koller AU et al: Effect of topical darzolamide on optic nerve head blood flow. Graefes Arch Clin Exp Ophthalmol 237:495–500, 1999

139. Grunwald JE: Effect of topical timolol on the human retinal circulation. Invest Ophthalmol Vis Sci 27:1713, 1986

140. Martin XD, Rabineau PA: Vasoconstrictive effect of topical timolol on human retinal arteries. Graefes Arch Clin Exp Ophthalmol 227:526, 1989

141. Hoste AM, Boels PF, Brutsaert DL et al: ffect of alpha1 and beta agonist on contraction of bovine retinal resistance arteries in vitro. Invest Ophthalmol Vis Sci 30:44, 1989

142. Nielsen PJ, Nyborg CB: Adrenergic responses in isolated bovine retinal resistance arteries. Int Ophthalmol 13:103, 1989

143. Ferrari-Dileo G: Beta 1 and beta 2 adrenergic binding sites in bovine retina and retinal blood vessels. Invest Ophthalmol Vis Sci 29:695, 1988

144. Sullivan PM, Davies GE, Caldwell G et al: RBF during hyperglycemia. Invest Ophthalmol Vis Sci 31:2041, 1990

145. Grunwald JE, Riva CE, Martin DB et al: Effect of an insulin-induced decrease in blood glucose on the human diabetic retinal circulation. Ophthalmology 94:1614, 1987

146. Fallon TJ, Sleightholm MA, Merrick C et al: The effect of acute hyperglycemia on flow velocity in the macular capillaries. Invest Ophthalmol Vis Sci 28:1027, 1987

147. Kohner EM: The problems of RBF in diabetes. Diabetes 25:839, 1976

148. Yoshida A, Feke GT, Morales-Stopello et al: RBF alterations during progression of diabetic retinopathy. Arch Ophthalmol 101:225, 1983

149. Grunwald JE, Riva CE, Sinclair SH et al: Laser Doppler velocimetry study of retinal circulation in diabetes mellitus. Arch Ophthalmol 104:991, 1986

150. Feke GT, Tagawa H, Yoshida A et al: Retinal circulatory changes related to retinopathy progression in insulin dependent diabetes mellitus. Ophthalmology 92:1517, 1985

151. Feke GT, Green GJ, Goger DG et al: Laser Doppler measurements of the effect of panretinal photocoagulation on RBF. Ophthalmology 89:757, 1982

152. Grunwald JE, Riva CE, Brucker AJ et al: Effect of panretinal photocoagulation on RBF in proliferative diabetic retinopathy. Ophthalmology 93:590, 1986

153. Grunwald JE, Brucker AJ, Petrig BL et al: RBF regulation and the clinical response to panretinal photocoagulation in proliferative diabetic retinopathy. Ophthalmology 96:1518, 1989

154. Riva CE, Grunwald JE, Sinclair SE: Laser Doppler velocimetry study of the effect of pure oxygen beathing on RBF. Invest Ophthalmol Vis Sci 24:47, 1983

155. Grunwald JE, Riva CE, Brucker AJ et al: Altered retinal vascular response to 100% oxygen breathing in diabetes mellitus. Ophthalmology 91:1447, 1984

156. Riva CE, Grunwald JE, Petrig BL: Reactivity of the human retinal circulation to darkness: A laser Doppler velocimetry study. Invest Ophthalmol Vis Sci 24:737, 1983

157. Bill A, Sperber GO: Control of retinal and choroidal blood flow. Eye 4:319, 1990

158. Meehan RT, Taylor GR, Rock P et al: An automated method of quantifying retinal vascular responses during exposure to novel environmental conditions. Ophthalmology 97:875, 1990

159. Cairioli J, Sears M, Mead A: Ocular blood flow in phakic and aphakic monkey eyes. Exp Eye Res 39:1, 1984

160. Ernest JT: Optic disc blood flow. Trans Ophthalmol Soc UK 96:348, 1976

161. Riva CE, Greenwald JE, Sinclair SH: Laser Doppler measurement of relative blood velocity in the human optic nerve head. Invest Ophthalmol Vis Sci 22:241, 1982

162. Sebag J, Feke GT, Delori FC et al: Anterior optic nerve blood flow in experimental optic atrophy. Invest Ophthalmol Vis Sci 25:1415, 1985

163. Sebag J, Delori FC, Weiter JJ et al: Anterior optic nerve blood flow decreases in clinical neurogenic optic atrophy. Ophthalmology 93:858, 1986

164. Rizzo JF, Feke GT, Goger DG et al: Measurement of optic nerve blood velocity as a function in age in normal subjects. Invest Ophthalmol Vis Sci (suppl) 30:245, 1989

165. Cunha-Vaz J: The blood-ocular barriers. Surv Ophthalmol 23:279, 1979

166. Schnecberger EE, Lyunch RD: Tight junctions: Their structure, composition and function. Circ Res 55:723, 1984

167. Cole DF: Ocular fluids. In Davson H, ed: The Eye. Vegetative Physiology and Biochemistry, Vol 1a, p 269. New York, Academic Press, 1984

168. Maurice D: Drug exchange between the blood and vitreous. In Chunha-Vaz JA, ed: The Blood-Retinal Barriers, pp 165–178. New York, Plenum, 1980

169. Bito LZ: The physiology and pathophysiology ofintraocular fluids. Exp Eye Res (suppl) 25:273, 1977

170. Szalay J, Nunziata B, Henkind P: Permeability of iridial blood vessels. Exp Eye Res 21:531, 1975

171. Raviola G: The structural basis of the blood-ocular barriers. Exp Eye Res (suppl) 25:27, 1977

172. Freddo T, Raviola G: Freeze-fracture analysis of the inter-endothelial junctions in the blood vessels of the iris in the macaca mulatta. Invest Ophthalmol Vis Sci 23:154, 1982

173. Bill A: The blood-aqueous barrier. Trans Ophthalmol Soc UK 105:149, 1986

174. Novack GD, Leopold IH: The blood-aqueous and blood-brain barriers to permeability. Am J Ophthalmol 105:412, 1988

175. Kronfeld PC, Lin CK, Luo TH: The protein content of reformed aqueous humor in man. Am J Ophthalmol 24:264, 1941

176. Eakins KE: Prostaglandin and non-prostaglandin mediated breakdown on the blood-aqueous barrier. Exp Eye Res (suppl) 25:483, 1977

177. Vane J, Botting R: Inflammation and the mechanism of action of anti-inflammatory drugs. FASEB J 1:89, 1987

178. Neufeld AH, Cavis RM, Sears ML: Degeneration release of norepinephrine causes transient ocular hyperemia mediated by prostaglandins. Invest Ophthalmol Vis Sci 12:167, 1973

179. Neufeld AH, Jampol LM, Sears ML: Aspirin prevents the disruption of the blood-aqueous barrier in the rabbit eye. Nature 238:158, 1972

180. Van Haeringeng NJ, Glasius E, Oosterhuis JA et al: Drug prevention of blood-aqueous barrier disruption. Ophthalmic Res 15:180, 1983

181. Sanders DR, Kraff M: Steroidal and nonsteroidal antiinflammatory agents: Effect on postsurgical inflammation and blood-aqueous humor barrier breakdown. Arch Ophthalmol 102:1453, 1984

182. Cristiansson J, Palm E: The exchange of substances in the anterior part of the vitreous body, bordering upon the lens. Acta Ophthalmol 32:199, 1954

183. Peyman GA, Bok D: Peroxidase diffusion in the normal and laser-coagulated primate retina. Invest Ophthalmol 11:35, 1972

184. Tornquist P, Alm A, Bill A: Permeability of ocular vesselsand transport across the blood-retinal barrier. Eye 4:303, 1990

185. Cunha-Vaz JA, Maurice DM: The active transport of fluorescein by the retinal vessels and retina. J Physiol 191:467, 1967

186. Bill A: Blood circulation and fluid dynamics in the eye. Physiol Rev 55:383, 1975

187. Bill A: A method to determine osmotically effective albumin and gamma globulin concentrations in tissue fluids, its application to the uvea and a note on the effects of capillary “leaks” on tissue fluid dynamics. Acta Physiol Scand 73:511, 1968

188. Laties AM, Rapoport S: The blood-ocular barriers under osmotic stress: Studies on the freeze-dried eye. Arch Ophthalmol 94:1086, 1976

189. Grayson MC, Laties AM: Ocular localization of sodium fluorescein. Arch Ophthalmol 85:600, 1971

190. MacMahon RT, Tso MOM, McLean W: Histologic localization of sodium fluorescein in human ocular tissues. Am J Ophthalmol 80:1058, 1975

191. Flage T: The distribution of intravenously administered peroxidase in the optic nerve head of rabbit and monkey. Acta Ophthalmol (Copenh) 53:801, 1975

192. Payman GA, Apple D: Peroxidase diffusion processes in the optic nerve. Arch Ophthalmol 88:650, 1972

193. Tsa MOM, Shih C-Y, McLean IW: Is there a blood-brain barrier at the optic nerve head? Arch Ophthalmol 93:815, 1975

Back to Top