Chapter 30
The Lacrimal System
EDWARD H. BEDROSSIAN JR.
Main Menu   Table Of Contents

Search

THE SECRETORY SYSTEM
EXCRETORY SYSTEM
PHYSIOLOGY OF THE LACRIMAL PUMP
REFERENCES

The precorneal tear film is essential for maintaining normal function of the cornea as well as the refractive optical integrity of the eye. It is composed of three layers: (1) the outer or superficial oily layer; (2) the middle aqueous layer; and (3) the inner mucoid layer. The outer superficial oily layer is produced by the meibomian and Zeis glands. The meibomian glands are found closely packed within the tarsal plates and are arranged in a parallel fashion, extending the entire height of the tarsal plate. They are taller and more numerous in the larger superior tarsus than in the smaller inferior tarsus. The oily layer prevents escape of aqueous tears over the edge of the eyelid margin and retards evaporation. The glands of Zeis are found along the roots of the eyelashes, to which their contribution is less significant. The middle aqueous layer is the thickest layer of the precorneal tear film and is produced by the main lacrimal gland and the accessory lacrimal glands (Wolfring and Krause); these glands are the subject of this chapter. The inner mucoid layer is produced by the goblet cells and the conjunctival epithelial cells. These goblet cells are found in greatest concentrations along the eyelid margins, conjunctival fornices, antimarginal tarsal borders (crypts of Henle), and corneal-scleral limbus (glands of Manz).

The lacrimal apparatus is divided into two components. Those structures that contribute to the formation of the middle (aqueous) layer of the precorneal tear film are known as the secretory system. Those that form the conduit by which the tears pass from the conjunctival fornices into the nasal cavity are known as the excretory system (Fig. 1).

Fig. 1. The lacrimal apparatus is divided into two components: the secretory system and the excretory system.

Back to Top
THE SECRETORY SYSTEM
The lacrimal gland is an exocrine gland and is divided into two groups: (1) the main lacrimal gland; and (2) the accessory lacrimal glands.

GROSS ANATOMY OF THE SECRETORY SYSTEM

The Main Lacrimal Gland

The main lacrimal gland resides in the superotemporal orbit, partially within a shallow bony fossa in the lateral angular process of the frontal bone (fossa glandula lacrimalis). The gland is situated between the eyeball below and the curved orbital wall above, giving it a somewhat compressed and curved shape. It may extend inferiorly to the lateral canthal tendon. The lateral horn of the levator aponeurosis crosses the gland anteriorly, separating it into a larger superior or orbital lobe and a smaller inferior or palpebral lobe (Fig. 2). The division is incomplete because the larger orbital lobe is connected to the smaller palpebral lobe posteriorly by a bridge of glandular tissue, draining tubules, and Müller's muscle, which is attached to the underside of the levator muscle and aponeurosis. The lacrimal gland is surrounded by fibrous tissue that is attached superiorly to the periosteum of the frontal bone and inferiorly to the orbital portion of the zygomatic bone.1

Fig. 2. With the roof and lateral wall of the left orbit removed, this cadaver dissection demonstrates the orbital lobe (black arrow) and the palpebral lobe (white arrow) separated by the lateral horn of the levator aponeurosis (pointer).

These attachments may become attenuated in older persons, allowing the gland to herniate through a weakened orbital septum to give a temporal bulge in the upper eyelid (Fig. 3). The lacrimal gland tissue is usually grayer and pinker than the surrounding yellow adipose tissue.

Fig. 3. Disinsertion or attenuation of the suspensory fibrous attachments of the lacrimal gland will allow the orbital portion to herniate through a weakened orbital septum, producing a temporal bulge in the upper eyelid.

The almond-shaped orbital lobe (see Fig. 2) represents approximately 65% to 75% of the gland and measures 20 mm long × 5 mm thick × 12 mm wide.2 Its sharp anterior border rests behind the superior orbital rim and is covered by the orbital septum (Fig. 4) and a portion of the temporal aspect of the central preaponeurotic fat pad (Fig. 5). Posteriorly, its rounded border is supported by a large superotemporal fat pad at the plane of the posterior pole of the globe.3 The convex superior surface is suspended from the periorbita of the lacrimal gland fossa of the frontal bone. The inferior border is convex and attached to the sheath of the levator aponeurosis. Its lateral border is smooth and convex in contour with the bony fossa.

Fig. 4. The sharp anterior border of the left lacrimal gland (black arrow) rests behind the orbital septum (pointer), which in this cadaver has been reflected anteriorly.

Fig. 5. The temporal portion of the central preaponeurotic fat pad (pointer) rests near the anterior border of the orbital portion of the lacrimal gland. The left eyelids are seen below and to the left.

The inferior or palpebral lobe of the lacrimal gland (see Fig. 2) represents approximately 25% to 35% of the gland and lies beneath the levator aponeurosis in the subaponeurotic space. It extends anteriorly beyond the orbital margin to lie in the lateral portion of the superior fornix. The palpebral lobe can be seen through the conjunctiva when the eyelid is elevated or everted (Fig. 6).

Fig. 6. The palpebral lobe (arrow) is seen through the conjunctiva when the eyelid is elevated (left eye).

The palpebral lobe is primarily attached on its underside to conjunctiva and to the intermuscular membrane between the superior and lateral rectus muscles. Only medially is it separated from conjunctiva by the superior tarsal muscle of Müller ( Müller's muscle).

The parenchyma of the gland is made up of small lobules separated by a fine connective tissue network. The lacrimal gland has approximately 12 secretory ducts (Fig. 7), which average 0.66 mm in diameter and 2.31 mm in length.4 Two to five of them originate from the orbital lobe and six to eight from the palpebral lobe. The ductules from the orbital portion of the lacrimal gland pass through the parenchyma of the palpebral lobe before exiting into the superotemporal portion of the conjunctival fornix 4 or 5 mm above the upper border of the tarsus. One or two may open near the lateral canthus.5 Excision of the palpebral lobe may therefore interrupt drainage from the orbital lobe as well.

Fig. 7. Secretory ducts (arrow 1) of the right lacrimal gland (arrow 2) are seen passing to the palpebral conjunctiva (arrow 3). (Courtesy of James Sanderson, MD, Orkan Stasior, MD, and George Stasior, MD)

Sanderson and Stasior4 found islands of “peripheral” lacrimal glandular tissue below the lateral canthus unassociated with the main gland in 60% of cadaver specimens (Fig. 8). These peripheral islands of glandular tissue were found less commonly in or above the lateral canthal tendon.

Fig. 8. “Peripheral” lacrimal gland lobules (arrow 1) are seen below the right lateral canthus (arrow 2) and separate from the palpebral lobe of the lacrimal gland (arrow 3). (Courtesy of James Sanderson, MD, Orkan Stasior, MD, and George Stasior, MD)

The Accessory Lacrimal Glands

The accessory lacrimal exocrine glands of Wolfring and Krause structurally resemble the main lacrimal gland but on a lesser scale. Between 20 and 40 glands of Krause are located in the superior conjunctival fornix; 2 to 8 are located in the inferior conjunctival fornix. Between 3 and 20 glands of Wolfring can be found along the upper border of the superior tarsus, 1 to 4 below the lower tarsus and an occasional gland in the caruncle and in the plica semilunaris. The glands of Wolfring are larger in size than glands of Krause.4–6

Jones7 termed the accessory lacrimal glands the basal secretors because they do not possess direct secretory motor fibers. The other basal secretors are the sebaceous glands (meibomian and Zeis) and the mucous glands (goblet cells). The reflex secretors are the main lacrimal glands. Reflex secretion provides additional secretion by peripheral sensory (fifth nerve efferent, seventh nerve afferent), retinal or psychogenic stimulation.

VASCULAR SUPPLY TO THE SECRETORY APPARATUS

The lacrimal gland receives its arterial supply from the lacrimal branch of the ophthalmic artery, which enters the gland near its posterior margin. An additional arterial supply is often seen from the infraorbital branch of the internal maxillary artery. The lacrimal artery divides within the gland and continues anteriorly to form the lateral palpebral pretarsal arterial arcades of the eyelid.

Venules form a lacrimal vein (Fig. 9) which exits the gland near its posterior margin. The lacrimal vein follows a similar intraorbital course as the lacrimal artery, superior to the lateral rectus muscle and lateral to the superior rectus muscle, before it drains into the superior ophthalmic vein and eventually into the cavernous sinus.

Fig. 9. In this dissection, the roof of the orbit and the lateral orbital wall have been removed. The lacrimal vein (pointer) is seen near the posterior margin of the orbital portion of the lacrimal gland. The eyelids are seen below and to the left.

Lymphatic drainage from the lacrimal gland enters the conjunctival and palpebral systems to drain into the preauricular nodes.

NERVE SUPPLY TO THE SECRETORY APPARATUS

The lacrimal gland is richly innervated by the lacrimal nerve (sensory), the facial nerve (parasympathetic), and the sympathetic nervous system.

The lacrimal nerve carries sensory fibers from the lacrimal gland and is one of the three branches of the ophthalmic division of the trigeminal nerve (cranial nerve V1). Afferent sensory fibers of the lacrimal nerve leave the lacrimal gland posteriorly near the lacrimal vessels (Fig. 10). Sensory fibers of the lacrimal nerve traverse the orbit superotemporally, along the superior border of the lateral rectus muscle, remaining outside the muscle cone. They leave the orbit through the superior orbital fissure, then pass through the cavernous sinus. Their cell bodies are found in the gasserian ganglion.

Fig. 10. The lacrimal nerve (above pointer) is seen entering the posterior aspect of the lacrimal gland with the vessels (below pointer).

The facial nerve supplies parasympathetic secretory fibers to the lacrimal gland. They arise from the lacrimal nucleus near the facial nucleus in the caudal pons. They emerge from the ponsmedullary junction between cranial nerves VI and VIII. The facial nerve passes into the internal auditory meatus and extends to the geniculate ganglion, where the nerve cells of the preganglionic parasympathetic fibers lie. The greater superficial petrosal nerve arises from the preganglionic parasympathetic fibers of the geniculate ganglion and course back into the middle cranial fossa to join with the great deep petrosal sympathetic nerve from the internal carotid plexus, forming the nerve of the pterygoid canal (Vidian nerve). Parasympathetic fibers pass into the sphenopalatine ganglion and synapse. From there, postganglionic parasympathetic fibers can pass either directly to the lacrimal gland or, more commonly, along with the communicating branch of the zygomaticotemporal nerve (a branch of the maxillary nerve) to anastomose with the lacrimal nerve.

The postganglionic cervical sympathetic fibers rise from the superior cervical ganglion and travel along with the internal carotid arteries (carotid plexus), to reach the lacrimal gland by way of the deep petrosal nerve, the nerve of the pterygoid canal, the sphenopalatine ganglion, and then the zygomaticotemporal nerve. A communicating branch to the lacrimal nerve from the zygomaticotemporal nerve provides sympathetic and parasympathetic innervation. Other sympathetic fibers may pass directly from the carotid plexus to the trigeminal nerve and then to the lacrimal nerve. Other sympathetic nerve fibers are contiguous with the lacrimal artery.

It appears that the trigeminal nerve forms the sensory (afferent) pathway and the facial nerve the parasympathetic (efferent) pathway for reflex secretions of the main lacrimal glands.8

HISTOLOGY OF THE LACRIMAL GLANDS

Arrangement

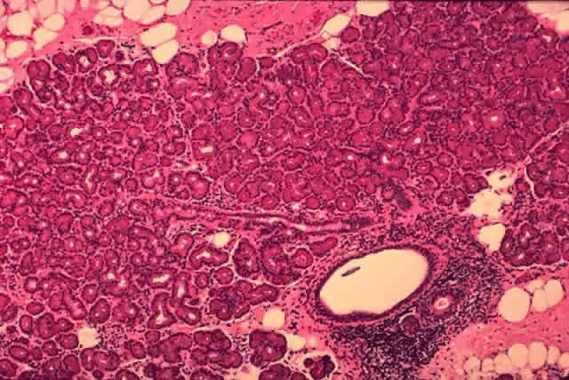
Each lobe of the lacrimal gland is separated into numerous lobules by interlobular fibrovascular connective tissue (Fig. 11). Each lobule, as seen by light microscopy, is composed of two units (Fig. 12): (1) the acinar unit (or secretory unit); and (2) the ductal system. The acinar units are further separated by intralobular fibrovascular connective tissue.

Fig. 11. Lacrimal gland architecture. Each lobe of the lacrimal gland is separated into numerous lobules by interlobular fibrovascular connective tissue. (H & E, original magnification × 5; Courtesy of Ralph Eagle, MD, Philadelphia, PA)

Fig. 12. Lacrimal gland. Each lobule is composed of acinar secretory units (above) and a ductal system. An interlobular duct is seen (lower right). (H & E, original magnification × 25; Courtesy of Ralph Eagle, MD, Philadelphia, PA)

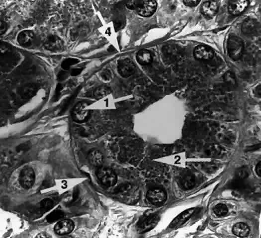
The Acinar Unit (Fig. 13)

Fig. 13. The acinar unit is composed of a central lumen, a continuous inner epithelial layer of secretory cells, and an interrupted outer layer of myoepithelial cells. (H & E, original magnification × 250; Courtesy of Ralph Eagle, MD, Philadelphia, PA)

Each lobule consists of a complicated grape-like (Fig. 14) arrangement of acini. Each acinar unit (Fig. 15) consists of a central lumen, a continuous inner layer of columnar secretory epithelial cells, and a surrounding interrupted outer layer of irregularly shaped myoepithelial (basket) cells.9

Fig. 14. Tubuloracemose architecture of the lacrimal gland. Interlobular fibrovascular connective tissue (large arrow) separates the lobules of acinar tissue (small arrow). (H & E, original magnification × 5; Courtesy of Ralph Eagle, MD, Philadelphia, PA)

Fig. 15. The acinar unit. The columnar secretory cell has a basally located nucleus (arrow 1). Zymogenic secretory granules (arrow 2) are seen in the midportion and apical cytoplasm. A myoepithelial cell (arrow 3) is interspersed between the secretory cell and the basement membrane (arrow 4). (H & E, original magnification × 250; Courtesy of Ralph Eagle, MD, Philadelphia, PA)

The acinar secretory cell typically has a basally located nucleus with one or two nucleoli, as seen with electron microscopy. The predominant structures in its cytoplasm are the numerous zymogenic secretory granules located mainly in the apical or midportions of the cell9 (see Fig. 15).

The secretory granules vary in shape from round to oval and have a surrounding membrane. The secretory granules vary in electron density from homogeneous (electron-dense) to finely granular (less electron-dense).10 The number of granules in the cytoplasm varies from cell to cell. The size of the secretory granules also varies, the larger ones being located in the more peripheral portion of the lobule. Although chemical studies show that the secretory granules of the lacrimal gland contain both serous proteins and mucous polysaccharides, the predominance of dense granules containing protein suggest that the serous type of secretion is the primary function of the lacrimal glands.11

The mechanism by which the zymogenic granules are discharged into the lumen of the acinus is thought to be emiocytosis,12 a process where the limiting membrane of the granules fuses with the apical cell membrane, after which the granular contents are released into the lumen. Other cytoplasmic structures include cisternae of roughsurfaced endoplasmic reticulum and the Golgi complex. The cytoplasm also has mitochondria, free ribosomes, lipid droplets, and dispersed tono-filaments.11–13

The luminal surface of the secretory cell has microvilli, whereas the basal surface of the secretory cell is in direct contact with the surrounding basement membrane or in contact with an interspersed myoepithelial cell.10,14,15

Myoepithelial cells (see Fig. 15) appear as flattened, stellate, or spindle-shaped cells interspersed in the basal part of the acinar wall, between the secretory cells and the basement membrane. They are characterized by the presence of cytoplasmic myofilaments. The myofilaments consist of actin-type filaments in a parallel fashion, in some areas resembling fusiform smooth muscle.9,11

A thick, often multilayered basement membrane (see Fig. 15) surrounds the outer surface of the acinus, separating it from the intralobular connective tissue. Collagen fibrils, capillaries, unmyelinated nerve fibers, fibroblasts, plasma cells, and lymphocytes can be found within this connective tissue. The plasma cells have been shown to produce IgA, an immunoglobulin typically elaborated at mucosal surfaces. Acetylcholinesterase activity has been found around the acini, particularly adjacent to the myoepithelial cells, suggesting that they are the primary neural target for parasympathetic activity.16,17

The number of acinar units decreases in proportion to increasing age, while the number of fibrous components of the intralobular connective tissue increases.13

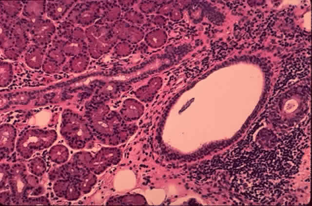
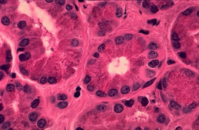
The Ducts

The ducts (Figs. 16 and 17) are branching structures consisting of a central lumen, a luminal cell layer, and a basal cell layer. There are three types of ducts: (1) intralobular ducts, (2) interlobular ducts, and (3) the main excretory ducts. Serous secretion from the acini drain through the small intralobular ducts, then through the larger interlobular ducts, and eventually into the main excretory ducts of the lacrimal glands before draining into the superior lateral aspect of the conjunctival fornix.

Fig. 16. The lacrimal gland ducts. A larger interlobular duct is seen (middle right). A smaller intralobular duct is seen among the acini. (H & E, original magnification × 50; Courtesy of Ralph Eagle, MD, Philadelphia, PA)

Fig. 17. Interlobular duct. The interlobular duct is composed of a continuous inner layer of columnar cells (black arrow) and a discontinuous outer layer of basal cells (white arrow). (H & E, original magnification × 250; Courtesy of Ralph Eagle, MD, Philadelphia, PA)

All three types of ducts have the following features in common. They all have pseudostratified, nonkeratinizing squamous epithelium. The luminal surface of the ducts, like the luminal surface of the acinar cell, has microvilli. The outer surface of the basal cell layer has a continuous basement membrane. The epithelial or luminal cells have a nucleus and cytoplasm with mitochondria, rough-surfaced endoplasmic reticulum, a Golgi complex, ribosomes, and tonofilaments. A number of epithelial cells have secretory granules that differ from the acinar secretory granules. The ductal granules are generally smaller, fewer, and extend to the superficial portion of the apical cytoplasm.11,12

Each of the three ductal portions has some distinctive characteristic features. The intralobular ducts have the narrowest lumina and the luminal epithelial wall is composed of one or two layers of columnar or cuboidal cells. A basal layer of flattened cells may be discontinuous in places. The interlobular ducts (see Fig. 17) have larger lumina than the intralobular ducts, and the epithelial wall is usually two or four layers thick. Most luminal cells are columnar in shape, and a few have ductal granules. The basal cells are cuboidal or columnar. The main secretory ducts have the largest lumina, and their epithelial walls are usually three to four layers thick.

Near the ductal openings in the conjunctival sac, occasional goblet cells with larger granules can be found. There appears to be a gradual gradient of development from the acinar secretory granules of the lobules, through the ductal granules, to the final mucous granules of the conjunctiva.11,12

Back to Top
EXCRETORY SYSTEM

GROSS ANATOMY OF THE EXCRETORY SYSTEM

The Membranous Passages

Tears, secreted from the lacrimal gland in the superolateral region of the conjunctiva, spread over the surface of the globe by two processes: (1) eyelid movement; and (2) gravity. The tears then collect in the lacrimal lake at the medial aspect of the conjunctival fornix. They then pass by capillary attraction into the lacrimal puncta and the lacrimal canaliculi. Aided by the lacrimal pump mechanism and gravity, fluid then passes into the common canaliculus and the lacrimal sac. Fluid continues downward into the nasolacrimal duct, emptying into the inferior meatus of the nose under the inferior turbinate bone.2,18

Punctum

The canaliculus begins as the punctum, surrounded by a strong, fibrous ring known as the lacrimal papilla. The papilla and the included punctum, which has an average diameter of 0.2 to 0.3 mm, are located at the myocutaneous junction of the nasal aspect of the eyelid margin. The papilla (Fig. 18) is slightly elevated relative to the surrounding tissue and becomes more prominent with age because of atrophy of the encircling tissue.2,6

Fig. 18. The left lower papilla (arrow) is prominent in this elderly patient because of atrophy of the encircling tissue.

The lacrimal papilla, together with its punctum, is surrounded by pretarsal orbicularis muscle fibers that insert onto the posterior lacrimal crest and more posteriorly onto the periosteum of the medial orbital wall. Horizontal and posterior contraction of this muscle slightly inverts the medial eyelid margin to place the punctum in apposition with the lacrimal lake, allowing it to receive the tears.19

Canaliculi

The canaliculi represent the palpebral portion of the lacrimal excretory system. The canaliculi conduct tears from the conjunctival fornix to the nasolacrimal sac. The initial 2 mm of each canaliculus is vertical, ending in a 1-mm dilation called the ampulla. The ampulla is located on the anterior side of the tarsus and is thus subjected to the compressive forces of the surrounding pretarsal orbicularis muscle. The initial course of the canaliculus is vertical and slightly anterior.2,19

At the ampulla, the canaliculus takes a horizontal course. Like the vertical portion, the horizontal portion of each canaliculus is surrounded by pretarsal orbicularis muscle fibers and is found close to the eyelid margin. Because the horizontal portion of the canaliculus follows the curved eyelid margin, it is not strictly horizontal. Medially, the horizontal canaliculus makes an anterior bend, entering the lacrimal sac nonperpendicularly.

The medial boundary of the lacrimal lake is formed by the plica semilunaris and the caruncle, which prevent apposition of the medial aspect of the eyelids with the eyeball. The longer lower canaliculus (10 mm) is directed into the lacrimal lake lateral to the plica semilunaris, while the shorter superior canaliculus (8 mm) collects fluid from the space between the plica semilunaris and the caruncle.2,18,19

Lining the lacrimal fossa and surrounding the lacrimal sac is a dense, fibrous membrane that Jones termed the lacrimal fascia.2 The upper and lower canaliculi narrow as they course medially to traverse the lacrimal fascia individually before they join, in the majority of cases, to form the common canaliculus (Fig. 19). The common canaliculus is located 2 to 3 mm posterior to the central portion of the medial canthal tendon. Histologically, the common canaliculus represents a diverticulum of the lacrimal sac and, if enlarged, is known as the sinus of Maier. The point of common canalicular entrance into the lacrimal sac is slightly above the midpoint of the sac on its lateral wall. In approximately 10% of cases, the upper and lower canaliculi can be found entering the lacrimal sac through separate openings, without the presence of a common canaliculus.20

Fig. 19. The upper and lower canaliculus, in the majority of cases, join to form the common canaliculus (pointer). The common canaliculus enters the lateral wall of the sac slightly above the midpoint of the sac.

Lacrimal Sac

The lacrimal sac and the nasolacrimal duct form one continuous structure (Fig. 20). The uppermost portion lies within the bony lacrimal sac fossa and is termed the lacrimal sac. The middle part is contained within an osseous channel in the maxilla and is termed the nasolacrimal duct. The inferior-most portion of the nasolacrimal duct courses for a short distance beneath the nasal mucosa of the lateral wall of the inferior meatus and is therefore known as the meatal portion. Individual variations in the membranous lacrimal sac and nasolacrimal duct are due to variations in the surrounding bony configuration.2

Fig. 20. Skeletonized right lacrimal excretory system. With the bony canal removed, the lacrimal sac (small arrow) is seen in continuum with the nasolacrimal duct (large arrow). The pointer is behind the upper and lower canaliculi.

The lacrimal sac is found along the anterior aspect of the medial orbital wall within a bony depression called the fossa for the lacrimal sac. The fossa is covered by the periorbita, which laterally splits at the posterior lacrimal crest, one layer lining the bony fossa and the other bridging straight across to reach the anterior lacrimal crest, sandwiching the lacrimal sac in between. The latter layer attaches inferiorly to the upper edge of the bony nasolacrimal canal. The layer of periorbita that covers the lacrimal fossa is termed the lacrimal fascia. This fascia is pierced separately by the two canaliculi before forming the common canaliculus.

Usually, between the lacrimal fascia and the lacrimal sac there is a narrow space that contains a fine venous plexus draining into the angular or supraorbital vein. Fine branches of the infratrochlear nerve can also be seen piercing the lacrimal fascia. Medially, and posteriorly, the lacrimal sac is applied to the periosteal lining of the lacrimal fossa. Anteriorly, the superior aspect of the lacrimal sac is covered by the fibrous anterior limb of the medial canthal tendon (medial palpebral ligament), which attaches to the upper part of the anterior lacrimal crest. Below the anterior limb of the medial canthal tendon, the inferior aspect of the lacrimal sac is bound anteriorly only by the orbital septum, which also inserts onto the anterior lacrimal crest. It is through this thinner covering that a distended sac may herniate. Above, below, and behind the anterior limb of the medial canthal tendon, the superficial head of the pretarsal orbicularis muscle can be found inserting onto the lacrimal fascia.2,18,21

Posterior to the upper half of the lacrimal sac passes the posterior limb of the medial canthal tendon. Deep to it lies Horner's muscle.22,23 This muscle arises from the upper part of the posterior lacrimal crest and passes forward upon and laterally across the upper part of the lacrimal sac to divide and run along each eyelid margin as the deep head of the pretarsal orbicularis oculi muscle.2,22

The lacrimal sac is approximately 12 mm in height, 4 to 6 mm in depth, and 2 mm wide. The 4-mm portion of the sac that projects above the medial canthal tendon is somewhat pointed and is termed the fundus (Fig. 21). The larger portion below is termed the body. The walls of the sac are in apposition, unless the sac is filled with lacrimal fluid. The sac is somewhat larger in male subjects.19,21

Fig. 21. The fundus of the lacrimal sac (pointer) is somewhat pointed and projects 4 mm above the entrance of the common canaliculus.

Nasolacrimal Duct

The nasolacrimal duct (see Fig. 20) is an inferiorly directed continuation of the nasolacrimal sac. The nasolacrimal duct measures 3 to 4 mm in diameter in adults and 2 mm in infants. The nasolacrimal duct measures approximately 12.5 mm in vertical length and usually terminates as a 5-mm extension into the inferior nasal meatus. The upper and mid portions conform in shape and direction with the surrounding bony nasolacrimal canal, whereas the lower or meatal part is usually buried in the mucous membrane of the lateral wall of the inferior meatus. The inferior opening (ostium) is variable in shape and position. It may be round, linear, or punctiform and may be bridged by a valve, flap, diaphragm, or threads of mucous membrane.2,19

In some cases, the nasolacrimal duct may empty directly into the roof of the inferior meatus, but in the majority, the opening is on the side wall of the inferior meatus (Fig. 22), 30 mm behind the lateral margin of the anterior nares. In children and infants, the opening is found 20 mm behind the lateral margin of the anterior nares. In a small number of cases, the nasolacrimal duct is found to course beneath the mucosa of the lateral nasal wall without opening into the nose.24,25

Fig. 22. A twig placed in the right nasolacrimal fossa of this skull is seen exiting below the inferior turbinate (arrow 1). The middle turbinate (arrow 2) is seen lying medial to the nasolacrimal fossa (arrow 3).

The mucosal lining of the nasolacrimal duct contain crypts and folds that usually disappear by adulthood. Some may persist, however, and if under the influence of raised intranasal air pressure, may develop into valves, sinuses, or diverticula (Fig. 23). These would include the sinus of Arlt, Béraud's valve, the spiral valve of Hyrtl, and Taillefer's valve. The most significant fold is the one situated at the meatal opening of the nasolacrimal duct called the valve of Hasner. In approximately 30% of full-term neonates, there persists a delicate membrane that, within 6 months after birth, usually undergoes spontaneous perforation. However, in approximately 4% of infants, the distal end of the nasolacrimal duct will remain closed. Massage or lacrimal probing may be necessary to permit patency.25,26

Fig. 23. Diagram of the valves and sinuses of the nasolacrimal passages. 1 = Maier's sinus; 2 = Rosenmüller's valve; 3 = Arlt's sinus; 4 = Kraus's or Béraud's valve; 5 = spiral valve of Hyrtl; 6 = Taillefer's valve; 7 = Hasner's valve.

The upper portion of the nasolacrimal duct can be separated easily from the surrounding periosteum that lines the bony canal. As it passes inferiorly, however, the two become more fused and tightly adherent to the bony canal. If a probe is inadvertently passed through the lacrimal sac wall during instrumentation, it can be advanced inferiorly outside the nasolacrimal duct within the bony canal until the duct becomes adherent to the bone.

VASCULAR SUPPLY TO THE EXCRETORY SYSTEM

The medial canthus is an extremely vascular area. The nasolacrimal passages receive its vascular supply from (1) the ophthalmic artery, (2) the angular artery, and (3) the infraorbital artery.

The ophthalmic artery is a branch of the internal carotid artery. In the orbital apex, the ophthalmic artery lies lateral to the optic nerve. It then passes over the optic nerve to course anteriorly and medially within the orbit. The ophthalmic artery terminates as the dorsal nasal artery, from which emanates the superior medial palpebral branches that supply the lacrimal sac.

The facial branch of the external carotid artery crosses the mandible diagonally toward the nasolabial fold. It passes between the levator labii superioris and levator ala nasi muscles. The facial artery lies beneath the orbicularis muscle 6 to 8 mm medial to the inner canthus and 5 mm anterior to the lacrimal sac, where it is known as the angular artery (Fig. 24). The angular artery perforates the superior orbital septum above the medial canthal tendon to send branches to the lacrimal sac as well as to the duct.

Fig. 24. The angular artery (white arrow) and angular vein (black arrow) are seen 6 to 8 mm medial to the inner canthus (left eye).

The infraorbital artery sends branches to the lower lid that eventually pierce the lateral margin of the upper nasolacrimal canal to supply the sac as well as the duct. The inferior portion of the nasolacrimal duct receives arterial supply from the nasal branch of the sphenopalatine artery, which is a branch of the internal maxillary artery.1,2,6

The superior aspect of the venous plexus that surrounds the nasolacrimal duct drains into the angular vein and infraorbital vein. The inferior aspect of the venous plexus that surrounds the nasolacrimal ducts drains into the nasal cavity, through the sphenopalatine veins into the pterygoid plexus and the internal maxillary vein. The angular vein (see Fig. 24) lies superficial and lateral to the angular artery. Venous drainage passes downward into the facial vein and eventually into the internal jugular vein. Alternatively, venous drainage can pass supramedially into the orbit via the supraorbital vein into the superior ophthalmic vein, which eventually passes posteriorly into the cavernous sinus. The angular vein and artery are important surgical landmarks in dacryocystorhinostomy surgery.

The lymphatic drainage from the sac accompanies the facial vein and drains into the submaxillary nodes. The lymphatic drainage from the lower aspect of the nasolacrimal duct joins the lymphatic vessels of the inferior nasal meatus, which drain anteriorly toward the anterior nares and into the submaxillary nodes or posteriorly into the deep cervical nodes.

NERVE SUPPLY OF THE EXCRETORY SYSTEM

Sensory nerve supply to the nasolacrimal sac is derived from the infratrochlear nerve, which is the terminal branch of the nasociliary nerve, a branch of the ophthalmic division of the fifth cranial nerve (V1). The lower portion of the nasolacrimal duct receives sensation from the anterior superior alveolar branch of the maxillary division of the fifth cranial nerve (V2).

There may be a physiologic relationship between the innervation of the lacrimal gland (lacrimal nerve) and the lacrimal sac (infratrochlear nerve), both being branches of the ophthalmic division of the fifth cranial nerve. This may explain why destruction of the sac leads to a decrease in tear secretion and why the epiphora of dacryocystitis may be caused in part by reflex irritation from the diseased sac as well as from obstruction.2,11

HISTOLOGY OF THE MEMBRANOUS EXCRETORY PASSAGES

The membranous portion of the nasolacrimal system is lined with mucous membrane continuously from the conjunctiva at the lacrimal puncta, to the nasal mucosa at the valve of Hasner beneath the inferior turbinate. The histology shows a transition from a nonkeratinizing stratified squamous epithelium in the lacrimal puncta and canaliculi (Fig. 25) to a columnar epithelium in the nasolacrimal sac to an erectile venous plexus containing mucoperiosteum near the valve of Hasner. Whereas the canaliculi are lined by 6 to 12 layers of nonkeratinizing squamous epithelium, the lacrimal sac and nasolacrimal duct are lined by a dual layer of columnar epithelium, which gradually assumes the characteristics of the nasal mucosa distally as it approaches the nasal cavity. Mucous glands and an occasional lacrimal secretory gland can be seen within the nasolacrimal duct. Atrophic or vasomotor nasal mucosal changes occur in the distal portion of the nasolacrimal duct, especially in the meatal portion.2,19

Fig. 25. The canaliculus. The canaliculus is lined by 6 to 12 layers of nonkeratinizing stratified squamous epithelium. (H & E, original magnification × 25; Courtesy of Ralph Eagle, MD, Philadelphia, PA)

Orbicularis oculi muscle fibers surround the base of the papilla in a sphincter-like fashion. The substantia propria consists of dense elastic tissue in the regions of the papilla and the canaliculi, becoming more fibrous in the region of the lacrimal sac. The fibroelastic layer of the nasolacrimal duct contains a venous plexus that is well developed in the meatal portion.2,19 In general, the dense elastic tissue is found to decrease from the punctum inferiorly, whereas the venous plexus and thickness of the walls increase.1,2,19

LACRIMAL EXCRETORY OSTEOLOGY

The osseous lacrimal passages consist of (1) the fossa for the lacrimal sac and (2) the nasolacrimal canal.

The Fossa for the Lacrimal Sac

The fossa for the lacrimal sac (Fig. 26) is a broad groove found near the lower two thirds of the medial orbital margin. It measures approximately 16 mm high, 4 to 8 mm wide, and 2 to 3 mm deep.27,28 It is shallower above, extending to the frontal bone and becomes deeper inferiorly, where it continues as the bony nasolacrimal canal. The fossa is formed by two bones: (1) the frontal process of the maxilla forming the anterior lacrimal crest; and (2) the lacrimal bone forming the posterior lacrimal crest. The vertically placed “maxillary-lacrimal” suture, between the two bones, runs the depth of the lacrimal fossa and parallel to the axis of the nasolacrimal canal. The extent to which the two bones participate in the formation of the fossa varies considerably. In most, the suture is located approximately in the center of the fossa. In some, the maxillary-lacrimal suture may be located more anteriorly, indicating a more major contribution by the lacrimal bone; in others, the suture may be located more posteriorly, indicating a larger contribution of the maxillary bone.2,19

Fig. 26. The fossa for the lacrimal sac is formed by the frontal process of the maxillary bone anteriorly (black arrow) and lacrimal bone, posteriorly (white arrow) (right orbit). The vertically placed “maxillary-lacrimal” suture is seen in the middle of the fossa.

Clinically, this variation is important because the thin lacrimal bone is more easily broken with blunt instrumentation when initiating an osteotomy during dacryocystorhinostomy surgery.

The lacrimal bone is pneumatized by anterior ethmoidal air cells (agger nasi bullae), which occasionally pneumatizes the anterior lacrimal crest. In cases where the lacrimal bone contribution to the lacrimal fossa is dominant (Fig. 27), ethmoidal air cells are more likely to be found in the lacrimal fossa and nasal cavity.19,28 Clinically these air cells separating the upper half of the lacrimal fossa from the nasal cavity, if present, must be opened or removed in order to enter the nasal cavity during dacryocystorhinostomy surgery.

Fig. 27. Ethmoidal air cells extend to the anterior lacrimal crest (arrow), demonstrating a dominant ethmoidal and lacrimal bone contribution to the lacrimal fossa (left orbit).

The rounded anterior lacrimal crest is poorly defined above (see Fig. 26), but becomes well defined inferiorly as it continues with the infraorbital margin (Fig. 28). The medial canthal tendon attaches superiorly on the anterior lacrimal crest, where a small tubercle is sometimes found. Inferiorly, the orbital septum and some superficial orbicularis oculi fibers attach to the anterior lacrimal crest. The anterior lacrimal crest is stronger than the posterior lacrimal crest.

Fig. 28. With the medial canthal tendon removed and the nasolacrimal sac reflected laterally (pointer), the anterior lacrimal crest is better defined inferiorly as it continues as the inferior orbital rim (arrow).

The posterior lacrimal crest is more sharply defined than the anterior lacrimal crest (see Fig. 26) and may present as a prolonged plate of bone curving forward over the fossa. Superiorly, it is continuous with the medial orbital rim. The posterior lacrimal crest is the strongest component of the lacrimal bone. The posterior lacrimal crest is stronger and flatter superiorly, where the deep head of the pretarsal orbicularis oculi muscle inserts. The orbital septum also inserts onto the posterior lacrimal crest and continues inferiorly to cover the pars lacrimal muscle of Horner on its posterior surface. Just anterior to the posterior lacrimal crest, the bone becomes quite thin and is aerated by ethmoidal air cells. Just behind the posterior lacrimal crest, the lacrimal bone may again thin and extend posteriorly, or it may immediately meet the ethmoid bone.

The middle turbinate is an outcropping of the ethmoid bone and may project anteriorly into the nasal cavity to lie medial to the lacrimal fossa19,28 (see Fig. 22). Clinically, on occasion, the anterior portion of the middle turbinate must be excised during dacryocystorhinostomy to establish an unobstructed osteotomy.

The Nasolacrimal Canal

The nasolacrimal canal is a short, bony tube extending inferiorly, laterally, and posteriorly from the lacrimal fossa toward the inferior meatus of the nose. It contains the membranous nasolacrimal duct. The maxillary bone forms the anterior, lateral, and posterior walls of the canal. The medial wall of the nasolacrimal canal is formed superiorly by the descending process of the lacrimal bone, which articulates with the ascending processing of the inferior turbinate bone below. In some cases, the medial wall of the nasolacrimal canal is almost entirely formed by the maxilla (Fig. 29), with a corresponding decrease in contribution from the lacrimal and inferior turbinate bones. This results in a narrowing of the nasolacrimal canal and corresponding nasolacrimal duct.29

Fig. 29. In this computerized tomographic scan of the orbit, the medial wall of the nasolacrimal canal is almost entirely formed by the maxilla (arrow).

The caliber, length, and course of the nasolacrimal canal vary considerably. The canal is slightly oval, having the greatest dimensions in the anteroposterior plane. The length of the canal is 12 to 13 mm with a slightly lateral convexity. The canal inclines posteriorly (Fig. 30) approximately 15° from vertical as the canal descends from the lacrimal fossa to the nose.28 Clinically, the lateral descent of the nasolacrimal canal can be estimated by drawing a line between the tear sac and the ala nasae. Persons who have narrow interorbital distances and wide noses have the greatest lateral descent, whereas those with wide interorbital distances and narrow noses show a more vertical descent.1,2

Fig. 30. A twig in the nasolacrimal canal demonstrates its posterior inclination as it passes inferiorly.

The nasolacrimal canal is seen in relief (Fig. 31) on the medial wall of the maxillary sinus and sometimes on the lateral wall of the middle meatus of the nose. In the usual circumstance where the maxillary bone provides the major contribution to the nasolacrimal canal, the elevation is greater on the maxillary sinus side.

Fig. 31. With the lateral wall of the maxillary sinus removed, the nasolacrimal canal is seen in relief on the medial wall of the maxillary sinus (within forceps).

Back to Top
PHYSIOLOGY OF THE LACRIMAL PUMP
Although evaporation plays a minor role in elimination of tears, the actions of the orbicularis oculi muscle play the major role in assisting tear flow from the lacrimal lake into the nose. Several hypotheses have been developed to explain the active lacrimal pump mechanism.30,31 According to Jones,30 it depends on the following structures: (1) the superficial and deep heads of the pretarsal orbicularis muscle; (2) the deep heads of the preseptal orbicularis muscle; and (3) the lacrimal fascia.

The superficial fibers of the pretarsal orbicularis surround the canaliculus and then insert on the anterior lacrimal crest and anterior limb of the medial canthal tendon. The deep head of the pretarsal orbicularis, Horner's tensor tarsi (muscle of Duvernay), passes behind the lacrimal fossa to attach to the upper part of the posterior lacrimal crest. The deep heads of the preseptal orbicularis oculi muscle (Jones' muscle) are attached to the lacrimal sac fascia.

The lacrimal pump has a passive (filling) phase and an active (pumping) phase:

  Passive Phase: With the eyelids open, the superficial and deep heads of the pretarsal orbicularis muscle relax, allowing the canaliculus to elongate and the open puncta to lie in contact with the lacrimal lake. Aided by capillary attraction, tears collect within the ampulla and canaliculus. Simultaneously, the deep head of the preseptal orbicularis muscle relaxes, causing the resilient lacrimal sac to collapse. The positive pressure assisted by gravity forces fluid within the sac to move into the nasolacrimal duct and eventually into the inferior meatus of the nose. The valve of Rosenmüller prevents retrograde flow of fluid from the lacrimal sac into the canaliculus.
  Active Phase: Upon eyelid closure and contraction of the superficial and deep head of the pretarsal orbicularis, the canaliculi shorten and the puncta close. This propels fluid within the compressed canaliculi to move medially into the sac. Simultaneously, contraction of the deep heads of the preseptal orbicularis muscle, which is attached to the lacrimal fascia and adherent lacrimal sac, exerts lateral traction on the lacrimal sac wall. Fluid within the canaliculi is drawn into the lacrimal sac by the negative pressure that has developed within the sac. As the lids reopen and the passive phase returns, the lacrimal fascia and sac resume their relaxed, closed position, and at the same time, the puncta reopen and the canaliculi elongate, permitting the drainage system to accept fluid once again.


The author thanks Ralph Eagle, MD, James Sanderson, MD, Orkan Stasior, MD, and George Stasior, MD, for their contribution to this chapter.
Back to Top
REFERENCES

1. Lemke BN: Lacrimal anatomy. Adv Ophthalmic Plast Reconstr Surg 3:11, 1984

2. Whitnall SE: The Anatomy of the Human Orbit and Accessory Organs of Vision, 2nd ed, pp 208–252. London, Oxford University Press, 1932

3. Warwick R: Eugene Wolffs' Anatomy of the Eye and Orbit, 7th ed, pp 222–226. Philadelphia, WB Saunders, 1976

4. Sanderson JC, Stasior OG, Stasior GO: The lacrimal gland secretory ducts. Presented at the fall meeting of the American Society of Ophthalmic Plastic and Reconstructive Surgery, Atlanta, October 28, 1995

5. Duke-Elder S, Wybar KC: The anatomy of the visual system. In Duke-Elder (ed): System of Ophthalmology, pp 563–565. St. Louis, CV Mosby, 1961

6. Jones LT, Wobig JL: Surgery of the Eyelids and Lacrimal System, pp 57–61. Birmingham, Aesculapius, 1976

7. Jones LT: Anatomy of the tear system. Int Ophthalmol Clin 13:3, 1973

8. Whitwell J: Role of the sympathetics in lacrimal secretion. Br J Ophthalmol 45:439, 1961

9. Egeberg J, Jensen OA: The ultrastructure of the acini of the human lacrimal gland. Acta Ophthalmol 47:400, 1969

10. Orzalesi N, Riva A, Testa F: Fine structure of human lacrimal gland: I. The normal gland. J Submicrosc Cytol 3:283, 1971

11. Iwamoto T, Jakobiec F: Lacrimal glands. In Biomedical Foundations of Ophthalmology, Vol 1, Chap 30. Philadelphia, Harper & Row, 1982

12. Fine BS, Yanoff M: Ocular Histology, 2nd ed, pp 307, 325–333. New York, Harper & Row, 1979

13. Weingeist TA: The glands of the ocular adnexa. Int Ophthalmol Clin 13:243, 1973

14. Kato Y: Morphologic observation on the myoepithelial cells (basket cells) of the human lacrimal gland. Acta Sec Ophthal Jpn 59:1780, 1955

15. Gillette TE, Greiner JV, Allansmith MR: Immunohistochemical localization of human tear lysozyme. Arch Ophthalmol 99:298, 1981

16. Allansmith M: Immunity of the tears. Int Ophthalmol Clin 13:47, 1973

17. Ruskell GL: Nerve terminals and epithelial cell variety in the human lacrimal gland. Cell Tissue Res 158:121, 1975

18. Zide BM, Jelks GW: Surgical anatomy of the orbit, pp 33–39. New York, Raven Press, 1985

19. Lemke BN, Della Rocca RC: Surgery of the Eyelid and Orbit: An Anatomical Approach, pp 96–114. Norwalk, Appleton and Lange, 1990

20. Della Rocca RC, Arthurs B, Silverstone P, Moher E: Nasolacrimal disorders and their treatment. Semin Ophthalmol 4(3):135, 1989

21. Patton JM: Regional anatomy of the tear sac. Ann Otol Rhinol Laryngol 32:58, 1923

22. Horner WE: Description of a small muscle of the internal commissure of the eyelids. J Med Phys Sci 8:70, 1824

23. Ahl NC, Hill JD: Horners and the lacrimal system. Arch Ophthalmol 100:488, 1982

24. Cassady JV: Developmental anatomy of the nasolacrimal duct. Arch Ophthalmol 47:141, 1952

25. Miller KM, Busse H, Osmers F: Anatomy of the naso-lacrimal duct in newborns: Therapeutic considerations. Eur J Pediatr 129:83, 1978

26. Guerry D, Kendig EL: Congenital impotency of the nasolacrimal duct. Arch Ophthalmol 39:193, 1948

27. Bailey JH: Surgical anatomy of the lacrimal sac. Am J Ophthalmol 6:665, 1923

28. Whitnal SE: The relations of the lacrimal fossa to the ethmoidal cells. Ophthalmic Rev 30:321, 1911

29. Whitnal SE: The naso-lacrimal canal: The extent to which it is formed by the maxilla, and the influence of this upon its calibre. Ophthalmoscope 10:557, 1912

30. Jones LT: Anatomical approach to problems of the eyelids and lacrimal apparatus. Arch Ophthalmol 66:111, 1961

31. Doane MG: Blinking and the mechanics of lacrimal drainage system. Ophthalmology 88:850, 1981

Back to Top