Chapter 22
Choroid and Suprachoroid
RONALD R. BUGGAGE, ELISE TORCZYNSKI and HANS E. GROSSNIKLAUS
Main Menu   Table Of Contents

Search

THE UVEAL TRACT
THE CHOROID
CHOROIDAL ANATOMY
CHOROIDAL PHYSIOLOGY
REFERENCES

THE UVEAL TRACT
The uveal tract is a thin, brown, continuous layer composed primarily of blood vessels, melanocytes, and connective tissue. From anterior to posterior, the uveal tract has three distinct subdivisions: the iris, the ciliary body, and the choroid (Fig. 1). The iris and ciliary body are referred to as the anterior uvea. The posterior uvea is synonymous with the choroid.

Fig. 1. Uveal sphere with iris (arrow), ciliary body (bracketed), and choroid on right. Pupil on left and opening for optic nerve on right. (Courtesy of Stephen Gordon)

The uvea has a spherical shape containing two round openings. The anterior opening, the pupil, is bordered by the iris. The pupil diameter varies from 1 to 8 mm. The iris leaflet is bathed in aqueous humor and separates the anterior compartment into anterior and posterior chambers. The size and character of melanocyte pigment granules determines the iris color. The ciliary body lies between the iris and the choroid, functions during accommodation, and produces the aqueous humor. The iris joins the ciliary body near the recess of the anterior chamber angle. The anterior portion of the ciliary body is the pars plicata. The posterior portion of the ciliary body, the pars plana, merges with the choroid at the ora serrata. The choroid extends posteriorly from the ciliary body without interruption to the posterior opening of the uveal tract, the canal for the optic nerve. The optic canal is surrounded by the choroid and subjacent sclera.

The uvea is firmly attached to the sclera at three sites: (1) anteriorly at the scleral spur; (2) at the exit of the vortex veins; and (3) posteriorly at the optic nerve. Potential spaces are present between the ciliary body and the sclera and between the choroid and the sclera. These contiguous potential spaces are called the supraciliary and suprachoroidal spaces, respectively. Internally, the entire uvea is lined by two continuous layers derived from the neuroectoderm. These layers serve distinct specialized functions in the three subdivisions of the uvea. The layers are described in segments as the anterior and posterior pigmented epithelium of the iris; the inner nonpigmented and outer pigmented ciliary body epithelium; and the inner neurosensory retina and the subjacent retinal pigment epithelium (RPE) (Fig. 2). The outer epithelial layer is separated from the underlying uvea by a continuous basement membrane. The remainder of this chapter will deal with the posterior uvea, the choroid.

Fig. 2. Inner layer (arrow) of the optic cup gives rise to the posterior iris pigmented epithelium, ciliary body nonpigmented epithelium, and the neurosensory retina. Outer layer (arrowhead) of the optic cup gives rise to the anterior iris pigmented epithelium, ciliary body pigmented epithelium, and the retinal pigment epithelium.

Back to Top
THE CHOROID
The choroid is composed predominantly of blood vessels surrounded by melanocytes, nerves, connective tissue, and watery mucinous extracellular fluid. The choroid can be subdivided into three distinct parts from internal to external: (1) Bruch's membrane; (2) the vascular layers; and (3) the suprachoroid (Fig. 3). The inner boundary of the choroid is formed by Bruch's membrane, a thin layer derived in part from the RPE and the choriocapillaris. The choroid measures 0.22 to 0.30 mm in thickness in the posterior pole and 0.10 to 0.15 mm anteriorly and peripherally. This variation in diameter is due to a greater concentration of arteries and large- and medium-sized choroidal veins in the posterior choroid. The vascular layer of the choroid is described as three relatively distinct layers of vessels with increasing luminal diameters from internal to external. The layers are designated as follows: the innermost layer of capillaries (the choriocapillaris), the middle layer of medium-sized vessels (Sattler's layer), and the outer layer of large vessels (Haller's layer) (Fig. 4). These three layers are most evident posteriorly.

Fig. 3. Choroid. A. The layers of medium and large choroidal vessels thicken the choroid in the submacular region. (PAS, × 125) B. Peripheral choroid in same patient. Retina and choroid are thinner. Choriocapillaris occupies about one third of choroid, a greater proportion than in posterior pole. The depth of capillaries in periphery and posterior pole is about the same. Outer choroid (C) is reduced to thin layer of arteries and veins. R = retina; rpe = retinal pigment epithelium; arrow in margin = Bruch's membrane; cc = choriocapillaris; SC = suprachoroidal space; L = lamina fusca; S = sclera; single arrow = arteries; double arrow = veins. (PAS, × 125)

Fig. 4. Choroid. Middle layer of medium-sized vessels (Sattler's layer, between two black arrows); outer layer of large vessels (Haller's layer, between black and white arrows). (H & E, × 125)

The deep brown color of the choroid results from the large number of melanocytes found around the noncapillary blood vessels in the deeper layers of the choroidal stroma and in the suprachoroidal lamellae. The number of melanocytes in the choroid increases from the inner to outer layers. The choroidal vasculature can be visualized in albino patients because of their lack of melanin pigment (Fig. 5). The vascular pattern may also be observed on gross examination of eyes (Fig. 6).

Fig. 5. Clinical photograph of posterior pole in albino. Large choroidal vessels are prominent interiorly. Choriocapillaris and thickness of layer of medium-sized vessels obscure large choroidal vessels around disc.

Fig. 6. Choroid as seen in gross specimen. Vortex systems are in lower left and right. Long posterior ciliary nerve (small arrowhead). Vessels crossing ora (white and black arrowheads). Clump of retinal pigment epithelium (center left).

Despite being the subject of intense investigation, the exact role of the choroid remains unclear and speculative. Controversies exist regarding the angioarchitecture of the choroidal vasculature and how the vascular arrangement relates to clinical lesions demonstrated by angiography. Many unanswered questions exist:

  What is the significance of the architectural organization of the choriocapillaris?
  Are choroidal vessels functionally end-arterioles and capable of causing ischemic injury, or does the presence of anastomoses in the choroidal vasculature prevent the possibility of ischemic choroidal lesions?
  What is the purpose of the high choroidal blood flow, which constitutes 85% of the blood circulating through the eye?
  Is there autoregulation of the choroidal circulation, and if so, by what mechanisms?

Although our knowledge regarding the choroid is more detailed and catalogued than it was in the past, it appears that a complete understanding of the role of the choroid lies in the future. It is likely that new modalities of examining the choroidal circulation may accelerate this process.

EMBRYOLOGY

The choroid develops from two embryonic tissues: the mesoderm and cranial neural crest cells. In the 3-mm embryo, undifferentiated tissue derived from cranial neural crest cells surrounds the optic vesicle.1–5 Tubes or spaces lined with endothelium of mesodermal origin grow from the central axis to the caudal end of the optic vesicle. The tubes form a plexus, which constantly changes and expands as the primitive eye grows. At this stage, the tubes are neither veins nor arteries, and the direction of blood flow is not orderly.

The choroid is thought to develop in three stages:

  1. First and second months: capillaries
  2. Third month: veins
  3. Fourth month: arteries.2

Heimann,6 however, was able to identify arteries as two-layered, narrow vessels and veins as tubes with wide lumina and a single layer of endothelium by the end of the second month. At first, the endothelium-lined tubes are concentrated inferiorly and distally. With invagination of the optic vesicle, pigment appears in the outer layer of the optic cup. Melanin first appears in the RPE between gestational weeks 5 and 7.1,2,4,7 Pigmentation is linked to capillary formation, as primitive capillaries develop from the plexus external to the pigmented areas. The subjacent choroid and sclera never form correctly if the RPE fails to develop, as happens in colobomas (Fig. 7).

Fig. 7. Asymmetric colobomas (arrowheads) of posterior pole in right (above) and left (below) eyes of same patient. Failure of closure of embryonic fissure results in typical defects in retina and uvea inferonasal to the optic disc.

The capillaries completely invest the optic cup, but they are separated from it by the basement membrane of the RPE at the 13-mm embryonic stage.1,4,8–10 The RPE basement membrane, the first layer of Bruch's membrane to form, is definitely present by week 7, and it is probably present earlier.7,9,10 The basement membrane of the capillaries appears at week 9, and collagen is interposed between the two basement membranes by week 12.1,2,7,9,10 In this period, fibroblasts are found between the capillaries and the RPE and probably produce the collagen fibers and matrix of Bruch's membrane. The elastic layer of Bruch's membrane appears late.9,10 In a comparative study of the histogenesis of Bruch's membrane in commonly used laboratory mammalian animals (e.g., hamster, vole, rat, rabbit, ferret, cat), Greiner and Weidman11 found that the first layer of Bruch's membrane to develop was the basement membrane of the RPE, followed by the collagenous layer. Subsequently, the basement membrane of the choriocapillaris appeared. Finally, the development of the elastic tissue layer divided the collagenous layer into thicker inner and thinner outer layers. This study of the histogenesis of Bruch's membrane in mammals differs from the previously accepted development of Bruch's membrane in human embryos in that it showed that the collagenous layer is formed before the appearance of the endothelial basement membrane from the choriocapillaris.

Arterial branches of the ophthalmic artery and the posterior ciliary arteries pass perpendicularly into the layer of the choriocapillaris by the second month. The short ciliary arteries pierce the developing scleral coat by the third month and join the capillaries in the posterior third of the choroid, and the long ciliary arteries terminate in the region of the ciliary body. Wider capillary channels merge to form larger vessels, which in turn join to form the vortex veins.

Meridionally directed capillaries are gradually shifted outward into the choroid proper and become medium-sized veins in the fourth to sixth months. Other capillaries fill the area internal to these displaced vessels. The changes progress from posterior to anterior, and the capillaries reach their final position at the posterior ciliary body during late gestation. The anterior ciliary arteries form in the fourth month and join the iris circle together with the long posterior ciliary arteries, although recurrent branches from the major arterial circle appear in the sixth to ninth months.6 Numerous interarterial anastomoses are found in the fetal choroid; these can be seen in young adults, although the number is decreased.6 The submacular branches of the short posterior ciliary arteries have a different configuration from that of the other short ciliary arteries. The submacular arterioles extend in several directions like a fan; they are not radial like the other short posterior ciliary arteries.6

The origin of choroidal melanocytes and stroma has been ascribed to both the mesoderm2,4,8 and cranial neural crest cells.1,3,4,12 Experimental work using labeled cranial neural crest cells in amphibians, chicks, and rats has established that, with the exception of the vascular endothelium and the RPE basement membrane of Bruch's membrane, all of the choroid—including the vascular smooth muscle cells, stromal fibrocytes, and melanocytes—is derived from cranial neural crest cells.5,12-15 During closure of the neural tube, the crest cells migrate in waves and surround the optic vesicle with a luxuriant layer of undifferentiated mesenchymal cells. Choroidal melanocytes and stroma are established from these cells.5,12,13 Melanin first appears in peripapillary melanocytes between weeks 24 and 27, and melanization proceeds anteriorly and is complete at birth.7 The choroidal stroma is highly nucleated at birth, and with continued growth of the globe, the nuclear density decreases.2,8 Extramedullary hematopoiesis occurs in the choroid, and nucleated cells are frequently found in premature infants and occasionally in term infants.

Back to Top
CHOROIDAL ANATOMY

BRUCH'S MEMBRANE

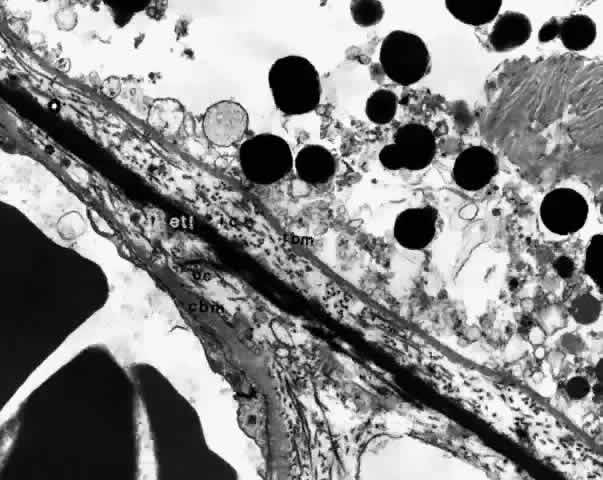
Bruch's membrane, also called the lamina vitrea, is the inner layer of the choroid. This thin, acellular, well-delineated zone between the retina and choroid extends from the optic nerve to the ora serrata. Composed of elements from both the retina and the choroid, Bruch's membrane is an integral part of the choroid. From internal to external, the membrane is formed of five layers: the basement membrane of the RPE, the inner collagenous zone, the elastic tissue layer, the outer collagenous zone, and the basement membrane of the choriocapillaris (Fig. 8).

Fig. 8. Bruch's membrane. Basement membrane of retinal pigment epithelium (rbm), inner collagenous zone (ic), elastic tissue layer (etl), outer collagenous zone (oc) and basement membrane of choriocapillaris (cbm). (× 14,500)

Bruch's membrane is thickest near the optic disc, measuring 2 to 4 μm, and gradually decreases in thickness to 1 to 2 μm peripherally.16 The innermost layer, the basement membrane of the RPE, is a continuous membrane measuring 0.3 μm thick. The outer layer, the basement membrane of the choriocapillaris, is 0.14 μm thick and is discontinuous at the intercapillary septa. The inner and outer collagenous layers are continuous and measure 1.5 μm and 0.14 μm, respectively. The middle elastic tissue layer is discontinuous. Normally, the layers of Bruch's membrane are so closely interwoven that they cannot be separated in a healthy globe.17–20

Drusen, ophthalmoscopically visible deposits present between the RPE basement membrane and the inner collagenous layer of Bruch's membrane, are more prevalent with increasing age (Fig. 9). A morphometric study of Bruch's membrane, the choriocapillaris, and the choroid in aging was performed by Ramrattan and associates21 in eyes obtained from patients ranging from 6 to 100 years old with normal maculae. The findings revealed that the thickness of Bruch's membrane in the normal macula increases by 135% between the 1st and 10th decades of life (from 2 to 4.7 μm), while the choriocapillaris density and diameter and the choroidal thickness generally decreased in a linear fashion in the same time interval. Statistical analysis of the morphometric data showed that the thickness of Bruch's membrane was directly related to age alone and that there was no relationship between age-related atrophy of the choriocapillaris and changes in Bruch's membrane thickness.

Fig. 9. Solitary nodular drusen (arrow) resting on inner surface of Bruch's membrane. (H & E, × 63)

Ultrastructurally, the basement membrane of the RPE and choriocapillaris is made of fine filaments that blend with the collagen of the adjacent collagenous zones. The basement membrane of the RPE is separated from the cytoplasmic membrane of the RPE, from which it is derived, by a 100 nm radiolucent zone. The cytoplasmic membrane of the RPE cell has many infoldings, which its basement membrane usually does not follow, although it may project slightly into the outer part of some folds.22,23 The basement membrane of the RPE is continuous with the basement membranes of the pigmented epithelium of the ciliary body and anterior pigmented epithelium of the iris and, therefore, extends from the optic disc to the pupillary edge of the iris. The basement membrane of the choriocapillaris is discontinuous at the intercapillary septa.

The inner and outer collagenous zones are made up of randomly oriented collagen fibers measuring 60 nm in diameter. Many are parallel to the retina, and others pass from the inner collagenous zone through the elastic layer into the outer collagenous zone. At the ora serrata, the inner collagenous layer thickens, displacing the elastic layer outwardly.

The elastic layer, the middle layer of Bruch's membrane, is a dense, irregularly interrupted band composed of interwoven elastic tissue fibers of various thickness. The elastic fibers are ultrastructurally composed of long and straight rods with a homogeneous core and dense cortex. Variably sized spaces are present between the elastic fibers. They provide passageways for collagen fibers from the inner collagenous zone to the outer collagenous zone and into the intercapillary septa and subcapillary zone of the choriocapillaris (Fig. 10). The elastic tissue and collagenous layers of Bruch's membrane become circularly oriented around the edge of the optic nerve.

Fig. 10. Passageway between elastic fibers (between arrows). (× 12,900)

In addition to the ultrastructurally defined components of Bruch's membrane, vesicles, linear structures, and electron-dense bodies are found in the collagenous and elastic zones.18,19,22,23 The ground substance, granular in appearance, may be a mucopolysaccharide-protein complex. Nerve fibers have not been found in Bruch's membrane.22

CHOROIDAL VASCULATURE

Although the main morphologic features of the choroidal circulation are well known, our knowledge is incomplete. The angioarchitecture of the choroid has been studied by several in vitro methods, including intravascular casting using neoprene latex and methyl methacrylate, scanning electron microscopy, flat preparations of mounted choroid with and without immunohistochemical staining, and routine histologic sections. Additionally, the choroidal vasculature has been studied in vivo by fluorescein angiography in normal, pathologic, and experimental eyes, with the use of indocyanine green angiography and laser Doppler flowmetry.24–43

A major flaw of the morphologic studies that have used microvascular casting is that they have failed to provide dynamic and physiologic information as to the function of the choroid. The procedure of injecting casting material into choroidal vessels under higher than normal pressures may create vascular conduits that are otherwise absent, larger than normal, or nonfunctional in the in vivo choroidal circulation.

Arterial Blood Supply

The choroid receives its arterial blood from branches of the ophthalmic artery. The nasal (medial) and temporal (lateral) short posterior ciliary arteries and the nasal (medial) and temporal (lateral) long posterior ciliary arteries are branches of the posterior ciliary artery (Fig. 11). The anterior ciliary arteries are all direct branches from the ophthalmic artery, except for the one accompanying the lateral rectus muscle. This anterior ciliary artery is derived from the ophthalmic artery via the lacrimal artery (Fig. 12). Although the retinal vessels also arise from the ophthalmic artery, the retinal and choroidal blood supplies are separate and distinct within the eye and there is little, if any, connection between the two systems.

Fig. 11. Original drawing of dissected globe, showing temporal suprachoroid and choroid. Choroidal arteries, branches of the short posterior ciliary arteries (left), appear wavy and tortuous as they radiate outward from disc. Vessels are partially obscured by melanocytes. Long posterior ciliary artery and nerve cross the horizontal branching near the ora. Ciliary nerves are prominent, as they are only loosely bound by suprachoroidal lamellae. Confluence of two vortex veins can be seen at top and bottom. (Courtesy of Stephen Gordon)

Fig. 12. Major arteries and veins of the choroid. Anterior ciliary arteries (arrow, upper left) and the long posterior ciliary artery (broad arrow, lower right) supply the major arterial circle of the iris. Arteries from the major circle (not shown) and anterior part of the long posterior ciliary artery send recurrent branches to the anterior and equatorial choriocapillaris. Short posterior ciliary arteries (arrows, lower left) supply the choriocapillaris posteriorly. The two systems overlap. Vortex veins (open arrow) drain blood from most of iris, ciliary body, and choroid. (Courtesy of Stephen Gordon)

POSTERIOR CILIARY ARTERIES. Great variability has been described in the vascular distribution from the ophthalmic artery to the choroid. The ophthalmic artery most often first gives rise to the nasal and temporal posterior ciliary arteries, which proceed toward the globe on their respective sides of the optic nerve. The nasal and temporal posterior ciliary arteries branch in the orbit several times, giving rise to the short and long posterior ciliary arteries. Occasionally a posterior ciliary artery from the ophthalmic artery is found superior to the optic nerve. Not infrequently, the long or short posterior ciliary arteries arise directly from the ophthalmic artery.16,44,45 In some instances, the long posterior ciliary arteries are derived as a branch from their respective short posterior ciliary arteries. Despite this variability in orbital branching from the ophthalmic artery, the pattern of the posterior ciliary vessels entering the sclera is relatively constant (Figs. 13 and 14).

Fig. 13. Drawing of gross specimen of posterior of left globe, showing optic nerve surrounded by short posterior ciliary arteries (SPCAs). Wreath of short posterior ciliary nerves (lighter structures) is prominent superiorly and inferiorly. An occasional SPCA accompanies nerves. Temporal (left of optic nerve) and nasal (right of optic nerve) canals of long posterior arteries and nerves mark the horizontal meridian of the globe. Muscular tendon of inferior oblique muscle (far left) partially covers canal of long temporal posterior ciliary artery and nerve. Emissary canals of the four vortex veins lie in the oblique quadrants. Tendon of superior oblique muscle inserts superiorly, just anterior to superior temporal vortex vein. (Courtesy of Stephen Gordon)

Fig. 14. Gross specimen of posterior of globe shows many of the structures shown in Fig. 13: vortex veins (v), optic nerve (on), muscular tendon of inferior oblique (io), tendon of superior oblique (so), short posterior ciliary arteries (arrows), short posterior ciliary nerves (n), and long posterior ciliary artery and nerve (arrowhead).

There is marked interindividual variation in the areas supplied by the nasal and temporal posterior ciliary arteries in humans as determined by in vivo studies.46 The nasal posterior ciliary artery may supply the entire nasal choroid and extend laterally to the level of the fovea including the optic nerve head; its supply may stop prior to the nasal peripapillary choroid, giving no supply to the optic nerve head; or there may be any variation between these two extremes. The temporal posterior ciliary artery supplies the area of the choroid not supplied by the medial posterior ciliary artery and vice versa. When there are more than two posterior ciliary arteries (i.e., nasal, temporal and superior) the area supplied by each of them may be one quadrant or only a sector.

Short Posterior Ciliary Arteries. Ten to 20 short posterior ciliary arteries, either directly from the ophthalmic artery or from their respective posterior ciliary arteries, perforate the sclera near the optic nerve. The vessels tend to cluster 2 to 2.5 mm from the dural sheath of the disc (Fig. 15) in the horizontal meridian between the optic nerve and the wreath of short ciliary nerves. Usually more vessels are found inferotemporal to the scleral entrance of the temporal long posterior ciliary artery and nerve16; however, some variability occurs. A smaller cluster of short ciliary arteries enters nasal to the optic nerve, and a few enter the sclera above and below the optic nerve. The short posterior ciliary vessels branch either in the orbit, the suprachoroid, or in the outer layers of the choroid into distal branches and smaller paraoptic branches. The distal branches radiate toward the equator in the outermost layers of the choroid (Fig. 16) and supply triangular areas of the choroid with the apices of the triangular areas located posteriorly, close to their point of entry.47 The short posterior ciliary arteries terminate principally in the choroid. The paraoptic branches of the short posterior ciliary arteries enter straight or curve posteriorly in the choroid to supply the vertical and peripapillary choroid either directly or via branches derived from the circle of Haller and Zinn. Additionally, the short posterior ciliary arteries serve the episcleral arterial plexus. Occasionally a branch of the short posterior ciliary artery enters the retina as a cilioretinal artery.

Fig. 15. Peripapillary sclera nasal to optic nerve (N). Cluster of short posterior ciliary arteries (SPCAs) (white triangle) is nasal to disc in this specimen. Other SPCAs form a ring around the nerve. Short posterior ciliary nerves (arrows) form a wreath approximately 2 mm from the nerve. Emissary canal (thin, double arrow) for long posterior ciliary nerve (below) and artery. Cross-section at level of lamina cribrosa. (H & E, × 31)

Fig. 16. Vessels of equatorial and anterior choroid are straighter and have fewer branches than those in posterior pole. Choriocapillaris is in background. (Araki M: Observations on the corrosion casts of the choriocapillaris. Acta Soc Ophthalmol Jpn 80:315, 1977)

The circle of Haller and Zinn is an intrascleral anastomosis between the temporal and nasal short posterior ciliary artery branches that often forms a ring around the optic nerve. Pial and recurrent choroidal branches originate from this anastomosis to supply the retrolaminar optic nerve and, in a trapezoid shape, the peripapillary and vertical meridional choroid.37

The episcleral vessels located on the posterior aspect of the globe and the area around the optic nerve form the posterior episcleral arterial plexus. This plexus is a variable finding of rich artery-to-artery anastomoses.30 Branches to the plexus are derived from arteries on the dural sheath of the optic nerve, the long and short posterior ciliary arteries before scleral penetration, arteries from the inferior and superior oblique and the deep head of the lateral rectus muscles, vessels accompanying the short ciliary nerves, and small vessels from the surrounding loose areolar tissue.48 The plexus also has arteriovenous connections with the vortex vein system.30

Long Posterior Ciliary Arteries. The nasal and temporal long posterior ciliary arteries arise variably—as direct branches from the ophthalmic artery, from their respective posterior ciliary arteries, or as branches of a short posterior ciliary artery. Accompanied by the long posterior ciliary nerve, they pierce the sclera 3 or 4 mm from the optic nerve and outside of the ring of short ciliary nerves. The scleral canal of the nasal long posterior ciliary nerve and artery, seen grossly as a blue-gray line, is a good landmark for the horizontal meridian of the globe. On the nasal side, the nerve lies below the artery.16

Temporally, the nerve lies superior to the artery at the external scleral entrance. In the 3- to 7-8-mm oblique scleral canal, the temporal nerve rotates internal to the artery and comes to lie inferior to the artery upon entering the suprachoroidal space posterior to the equator and slightly anterior to the macula (Fig. 17). Generally, the temporal long posterior ciliary artery is described as passing through the sclera and suprachoroid without branching,16,17,29,44,45,49–52 although branching has been reported in some instances.30 A branch of the temporal long posterior ciliary artery turns posteriorly into the choroid to supply the submacular area (Fig. 18).

Fig. 17. Series of tangential sections showing submacular branch of long temporal posterior ciliary artery (LTPCA). The superior pole of the globe (sectioned perpendicular to LTPCA) is on the left; the inferior pole is on the right. A. Foveal region with long temporal posterior ciliary nerve (LTPCN) and LTPCA with small branch (arrowhead). (H & E, × 31) B. LTPCN and LTPCA with submacular branch (arrowhead). Striated fibers of inferior oblique muscle at top. (H & E, × 125) C. Submacular branch (arrowhead) of LTPCA entering choroid. Nerve has now rotated 180° internal to the artery and lies inferior to the artery. Inferior oblique muscle above. (H & E, × 79) D. Melanocytes and fibrocytes in suprachoroid loosely fill in area between LTPCA and LTPCN as they enter the suprachoroid. Faint rim of perivascular-perineural connective cells segregates nerve and artery from sclera. (H & E, × 125)

Fig. 18. Emissary canal in sclera for the long temporal posterior ciliary artery and nerve (LTPCA and LTPCN). Submacular arterial branch (arrowhead) curves posteriorly to enter choroid abruptly. LTPCN (double arrowhead) and LTPCA slip into suprachoroidal space obliquely. Equator (E) toward left, and optic nerve (ON) toward right.(H & E, × 31)

Nasally, the long posterior ciliary artery does not send a branch to the posterior pole. The main trunk of the long posterior ciliary arteries branches at or anterior to the ora serrata, sending a few recurrent branches to supply the anterior choroid, either directly to the choriocapillaris or as branches from the major arterial circle of the iris. The principal trunks of the long posterior ciliary arteries terminate in the major arterial circle of the iris and supply the anterior uvea.

ANTERIOR CILIARY ARTERIES. The muscular arteries of three rectus muscles—the medial, superior, and inferior—originate from the ophthalmic artery and follow their respective tendons to their scleral insertions, where they perforate the sclera as the anterior ciliary arteries. There are two arteries each in these rectus muscles.52 A single anterior ciliary artery courses along the lateral rectus muscle. It originates from the lacrimal artery, which is a branch of the ophthalmic artery. Other twigs from those muscular arteries supply the anterior conjunctiva, episclera, and sclera near Schlemm's canal. The anterior ciliary arteries pass through the sclera, traverse the supraciliary space, enter the ciliary muscle, and join with the major arterial circle of the iris. The major arterial circle is not a single vessel, but rather an arterial plexus in the root of the iris encircling the anterior uvea. Between 10 and 12 large recurrent branches from the major arterial circle pass posteriorly as recurrent arteries and enter the choroid to supply the anterior choriocapillaris. Recurrent arteries anastomose with branches of the short posterior ciliary arteries in the choroid.16,44,45,52

Choroidal arteries have the same structure as other arteries in the body. The outer adventitial layer consists of collagen fibrils oriented circumferentially around the vessels and blending with fibers in the intervascular space. Two to three layers of smooth muscle cells lie internal to the adventitia, forming the muscularis. In the larger arteries, the outer smooth muscle cells lie obliquely or longitudinally. An internal elastic lamina separates the muscularis from the endothelium. A basement membrane surrounds the endothelial cells and blends with the internal elastic lamina. The internal elastic lamina is made of elastic fibers that intermingle on the inner side with the clusters of fine particles of the basement membrane and on the outer side with elastic fibers (Fig. 19).16,17,22

Fig. 19. Choroidal artery with folded internal elastic lamina (arrowheads) and smooth muscle cells (SM). L = Lumen; E = endothelial cell. (× 5,510)

The nuclei of the smooth muscle cells are cigar shaped and often contain one or two nucleoli. The cytoplasm contains mitochondria, smooth and rough endoplasmic reticulum, pinocytotic vesicles along the surface of the membrane, and many myofilaments (Fig. 20). The filaments are long and parallel to each other. Dense, osmiophilic thickenings on the myofilaments may represent Z bands where the filaments fix for contraction.17 As the arteries diminish in caliber, they become arterioles, which have only an intermittent layer of smooth muscle cells and no internal elastic lamina. The adventitia is continuous with collagen fibers in the intervascular spaces. The endothelium is continuous, and the cells are covered by basement membrane. There is more collagen around the precapillary arterioles than around the postcapillary venules.

Fig. 20. Pinocytic vesicles (small arrows) and myofilaments in smooth muscle cell (open arrow). (× 43,500)

Choriocapillaris

There is disagreement in the literature regarding the appearance and organization of the choroidal vasculature, particularly of the choriocapillaris, in different areas of the globe (i.e., the posterior pole, equator, and periphery).27,30,36–40 Despite the controversy regarding the angioarchitecture of the choriocapillaris, one fact is evident: There is great variation in the choroidal pattern within different areas of the same eye and in eyes from different individuals. This variation may explain some of the disagreement and inconsistencies regarding the choroidal circulation.

In general, the choriocapillaris appears as a single layer of broad, wide capillaries lying in a plane internal to the arteries and veins of the choroid and external to Bruch's membrane. The capillaries of the choriocapillaris measure 20 to 50 μm in diameter. The density of the capillaries is greatest in the posterior choroid.28 The capillaries of the choriocapillaris appear as a continuous meshwork or reticulation, with intervascular spaces denoted as columns or septa. The choriocapillaris supplies oxygen and nutrients to Bruch's membrane and the outer third of the retina, except in the macula, where it supplies the entire retina. It is slightly flattened under Bruch's membrane, providing a large surface area for metabolic exchange, whereas the external floor (scleral surface) of the capillaries is gently undulating. Arterioles and venules join the choriocapillaris from the external surface, either perpendicularly or obliquely, or they come to lie in the same plane of the choriocapillaris and join the capillaries directly or at right angles. A focus of the controversy regarding the choroidal circulation is the organization of the choriocapillaris layer.

Currently, the widely accepted concept of the choriocapillaris circulation and anatomy is based on work first presented in the early 1970s. Based on observations of fluorescein angiograms in monkeys, Hayreh41–43 described the choriocapillaris as a homogeneous, lobular structure with a centrally located feeding arteriole and peripherally located collecting venules. Noting that fluorescence did not cross lobular borders, he concluded that the choriocapillaris had a segmental distribution and that choroidal arteries behaved as end-arteries. Weiter and Ernest30 described the anatomy of the choroidal vasculature using vascular casts injected with neoprene latex. By observing the vascular filling, they were able to distinguish between precapillary arterioles and venules. They found that the choriocapillaris was thickest and of greatest density in the submacular region. The choriocapillaris in the peripheral choroid was found to have a specific pattern in which a precapillary arteriole supplied a circular capillary area 1 to 2 mm in diameter. Venule drainage separated contiguous circular capillary beds, possibly resulting in effective end-arteries despite the fact that adjacent capillary beds were interconnected. This distinct choriocapillaris pattern was not evident in the equatorial and posterior choroid, where many precapillary arterioles were directly interconnected via the choriocapillaris without intervening venule drainage.

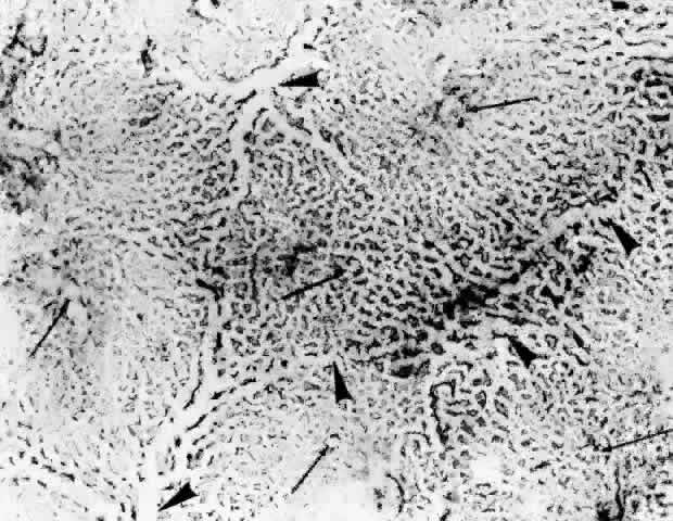
Torczynski and Tso27 reported on the architecture of the choriocapillaris in the posterior pole after examining choroidal flat preparations and transverse and oblique histologic sections (Figs. 21, 22, and 23). They described the overall appearance of the posterior choriocapillaris as a series of adjoining lobules that was striking in some preparations and subtle in others. The center of the lobule consisted of a single precapillary arteriole rimmed in a thick mantle of collagen measuring 15 to 25 μm and opening perpendicularly or curvilinearly into a capillary bed that radiated an average distance of 300 to 400 μm before changing from a radial to a circumferential direction. The circumferential capillaries in the periphery of the lobule were wider and converged from several directions, forming star-like or dendritiform configurations in the plane of the choriocapillaris. Venular openings, outward bulgings of the external choriocapillaris called atria, measured 30 to 37.5 μm and were present singly and in linear sequences underlying the circumferential capillaries. The often incomplete lobules varied in their geometric configuration, having three to six sides and ranging in area from 420 × 605 μm to 800 × 1200 μm. The lobular unit was thought to provide a preferred outflow route via the perimeter of postcapillary venules so that cross-flow from lobule to lobule would not normally occur, and thus the precapillary arteriole would function as an end-arteriole.

Fig. 21. Flat preparation of choriocapillaris, posterior pole. A. Arrowheads indicate oval openings to the postcapillary venules. The area around the precapillary arteriole (white-bordered arrow) is stained more heavily because of residual subcapillary collagen. (PAS, × 180; AFIP Neg 74-9984) B. Postcapillary venules (arrowheads) form an irregular ring bordering the capillaries that radiate from the precapillary arteriole (white-bordered arrows), thus outlining a single lobule. The capillaries are broader and clearer near the venules because of less subcapillary collagen. (PAS, × 100, AFIP Neg 74-10240) C. The openings of the postcapillary venules (as shown above) are connected with black lines; they demarcate adjoining lobules in the choriocapillaris. Capillaries from adjoining lobules enter the intervening venules. The lobules form a mosaic of adjoining vascular beds. Precapillary arterioles are indicated by white-bordered arrows. (PAS × 55; AFIP Neg 74-9985)

Fig. 22. Choriocapillaris in periphery has long, thin intercapillary septa. Arteriole in capillary plane (curved arrow). Venous anastomosis (arrowheads). (AFIP Neg 73-11415 and 12110; PAS, × 50)

Fig. 23. Prominent lobular pattern in choriocapillaris with venules (arrowheads) surrounding arterioles (arrows). (AFIP Neg 75-3895; PAS, × 55) (Torczynski E, Tso M: The architecture of the choriocapillaris at the posterior pole. Am J Ophthalmol 81:428, 1976)

Using corrosion vascular casts and scanning electron microscopy of the human choroid, Yoneya and Tso38 studied the angioarchitecture of the entire human choroid from posterior pole to the periphery. With painstaking dissection, they followed the large arteries through medium-sized arteries to the precapillary arterioles and traced the venules to the vortex veins. In the outer choroidal layers, they found that the large choroidal arteries and veins between the macula and optic disc were tortuous and interlacing, whereas temporal to the macula to the equator they were arranged in an orderly parallel manner. The medium-sized choroidal arteries and veins in the middle choroidal layers repeatedly branched and formed interarterial and intervenous anastomoses posteriorly, but from the equator to the periphery they ran parallel to each other. The anastomoses were thought to distribute blood in the choroid and to prevent the medium-sized arteries from functioning as terminal vessels.

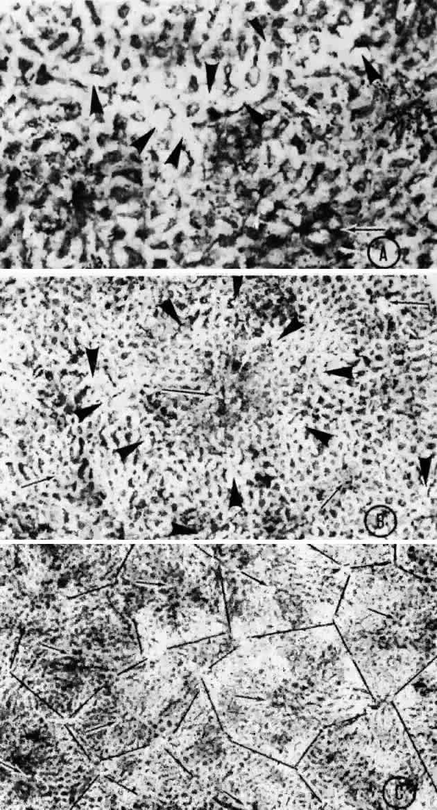
The angioarchitecture of the choriocapillaris varied from the posterior pole to the equator. At the posterior pole, a lobular arrangement of the choriocapillaris was seen similar to that described by Torczynski and Tso.27 In the equatorial region, the capillaries of the choriocapillaris ran a more direct course, joining the precapillary arterioles to the postcapillary venules in a spindle shape. Two or three arterioles were noted to feed a spindled segment of the choriocapillaris, which drained into one venule that drained adjacent segments of choriocapillaris. The arterioles joined and the venules drained the choriocapillaris obliquely from the scleral side. Although several adjacent spindle segments of the choriocapillaris draining into one postcapillary venule could be interpreted as a lobule with a central venule, the distinct lobular pattern evident in the posterior pole was not seen in the equator. At the periphery, the precapillary arterioles and postcapillary venules ran parallel in the plane of the choriocapillaris. The capillaries either joined adjacent arterioles and venules at right angles, forming a ladder pattern, or they fanned out from the terminal arterioles to the venules.

McLeod and Lutty40 published a study of the human choroid, which was prepared by flat embedding in glycol methacrylate after immunostaining with alkaline phosphatase. The stained choroidal sections were then examined macroscopically and histologically. A differential immunostaining pattern for the alkaline phosphatase permitted arteries and veins to be distinguished: arteries generally stained less intensely than venular and capillary endothelium. Their findings revealed a lobular organization of the choriocapillaris in the posterior pole; however, in contrast to the findings of other authors, a draining venule was located in the center of the lobule, and feeding arterioles were found to be distributed around the periphery of the lobule. A similar lobular pattern of the choriocapillaris with a central postcapillary venule and peripheral precapillary arterioles was demonstrated at the equator. The peripheral choriocapillaris was shown to have a ladder-like pattern, similar to that described by Yoneya and Tso.38

Fryczkowski39 reported on the variation in the choriocapillaris from region to region in the choroid as determined by vascular casting and scanning electron microscopy. In his study, arteries and veins were subjectively differentiated by the appearance of endothelial nuclear impressions on the surface of the intraluminal vascular casts. Accordingly, the endothelial nuclear indentations of arteries were spindle shaped, whereas in veins the endothelial nuclear indentations were round to oval and randomly distributed. The choriocapillaris appeared as a regular honeycomb pattern of freely interconnected capillaries with no evidence of a lobular arrangement when viewed from the retinal aspect in the peripapillary and submacular areas. A lobular appearance of the choriocapillaris became evident in the posterior pole approximately 1 mm temporal, superior, and inferior to the submacular area and extending to the equator. The lobular choriocapillaris in the posterior pole and equatorial areas were found to have a collecting venule in the center and peripheral feeding arterioles of the anatomic lobule in 86% of cases. The arterioles and veins opened into the choriocapillaris either at 90° angles or tangentially. Peripherally, the lobular arrangement changed into a palm-leaf or fan-shaped pattern, with the choriocapillaris terminating at the ora serrata. The feeding arterioles and collecting venules ran in the same plane as the capillaries.

Fryczkowski39 introduced the concept of the choroidal functional vascular unit (Fig. 24) to explain the inconsistencies between his anatomic model of the choriocapillaris (lobules with a central precapillary venule and peripheral precapillary arterioles) and the functional choroidal filling pattern described in angiographic studies. The choroidal functional vascular unit is independent of the anatomic appearance of the choriocapillaris and consists of two major parts. The first is a centrally located main feeding arteriole with a centrifugal arterial capillary system. The second part is formed by centripetal capillaries from a few surrounding collecting venules. The mode of blood flow through the choroidal functional vascular unit is dependent on the blood pressure gradient that occurs on the border between the arterial and venous capillaries. Pulsatile blood flow from the central arteriole into the centrifugal low-pressure venous capillaries results in the appearance of lobular choriocapillaris filling. Perturbations in the usual blood-flow gradient in physiologic and pathologic conditions could result in blood flow from one functional lobule to another. Stated another way, the direction of blood flow out of the choriocapillaris lobule is determined by the peripheral resistance. Because this resistance is usually lower in the peripheral collecting venules of the lobules than in adjacent lobular units, the blood moves into the veins rather than into contiguous capillaries. Presumably, if the resistance in all the collecting venules were elevated, blood could flow from lobule to lobule in the choriocapillaris.

Fig. 24. Choroidal functional vascular unit as proposed by Fryczkowski. A. Anatomical choroidal lobule based on the vascular casts and SEM study. Note centripetal arrangement of the capillaries. Collecting venule (long, thin arrow) originated from the center of the lobule forming 90° angle with choriocapillaries. B. Functional choroidal lobule outlined by the pressure gradient based on the fluorescein and ICG angiographic study. Centrifugal arrangement of the capillaries originated from arteriole. Feeding arteriole reaches the choriocapillaries at 90° angle. (Courtesy of A. Fryczkowski, MD)

Fryczkowski's choroidal functional vascular unit is similar to the anatomic choriocapillary lobules described by Weiter and Ernest,30 Torczynski and Tso,27 and Yoneya and Tso.38 Its importance resides in the fact that it incorporates the role of the blood pressure gradient in the determination of blood flow through the choriocapillaris, a concept that could not be documented by postmortem studies of the choroidal vasculature, although it had been suggested by previous authors.

The choriocapillaris consists of a continuous layer of fenestrated endothelial cells surrounded by a basement membrane similar to other visceral capillaries (i.e., capillaries in the renal glomerulus and small intestine). The circular fenestrations, 60 to 80 nm in diameter, are covered with a thin diaphragm consisting of a layer of attenuated cytoplasm with a central thickening of 30 nm. The fenestrations are abundant and evenly distributed on the inner wall of the capillaries. They seem to play an important role in permitting the passage of glucose and vitamin A to the RPE and retina. The nuclei of the endothelial cells are usually located on the external side of the capillaries,22,28,53 where a decreased number of fenestrations are present.17,22,54,55 The nucleus of the endothelial cell is round, oval, or indented and contains one or more nucleoli. The cytoplasm contains mitochondria, smooth and rough endoplasmic reticulum, free ribonucleic particles, and some pinocytotic vesicles, which are more prominent on the choroidal side.22 A basement membrane of finely granular material surrounds the endothelium of the capillary. Pericytes, surrounded by the basement membrane, are occasionally found in the external wall of the capillary, but a complete investment of the capillaries by pericytes is not found.22,23,54,56,57 Between the endothelial cells, there are discontinuous tight junctions (i.e., zonulae occludentes); the parallel strands of the tight junctions between endothelial cells are numerous in places and absent in others.53 Gap junctions (Fig. 25) are found near the basement membrane on the scleral side of the capillaries and between pericytes and endothelial cells.53

Fig. 25. A. Gap junction (arrowhead) on the plasma membrane of a choroidal capillary endothelial cell. The junction lies close to an intercellular suture (× 62,000). B. Detail of gap junction (× 160,000) (Spitznas M, Reale E: Fracture faces of fenestrations and junctions of endothelial cells in human choroidal vessels. Invest Ophthalmol Vis Sci 14:98, 1975)

Collagen from Bruch's membrane extends down into the intervascular columns or septa, and fibers in small bundles swirl outward and around the external wall of the capillaries, intermingling with collagen in the subcapillary layer. The capillaries are thus fixed in a rather rigid framework with the lumina held open. The septa and subcapillary layer are acellular, although occasional fibrocytes, but no melanocytes, are seen in the subcapillary layer. No smooth muscle cells are found in the capillary layer. Nerve fibers and ganglion cells are present external to the subcapillary layer. Structural modifications that would allow collapse or closure of the capillaries in healthy tissue are not present.17 In histologic preparation, the capillaries are usually open, although they may not contain any blood.

Venous Drainage

The arterial and venous systems in the choroid do not parallel each other as do most arterial-venous systems in the body. Most of the vessels of the outer choroid, except those near the disc and under the macula, are veins. These veins carry blood from the anterior uvea, equator, and posterior pole to drain the entire choroid via the vortex veins (Fig. 26). As smaller choroidal veins merge to form larger veins, venous anastomoses are frequent. Before entering the vortex veins, exiting blood is pooled in ampullae, which are dilated vascular spaces up to 5 mm long and 2 mm wide.17 Each ampulla narrows as it becomes the vortex vein at the inner opening of the scleral canal. Two or three ampullae may drain into one vortex vein before its descent into the scleral canal. The four vortex veins formed by the confluence of choroidal veins lie in oblique quadrants, two superiorly and two inferiorly. The vortex veins lie 2.5 to 3.5 mm behind the equator, closer to the vertical meridian than to the horizontal. The superior and inferior vortex veins drain into their respective superior and inferior orbital veins, which in turn exit the orbit through the superior and inferior orbital fissures, respectively.

Fig. 26. Veins of anterior and posterior uvea drain into ampulla (center) and vortex vein. Short posterior ciliary nerves are removed. (Courtesy of Stephen Gordon)

The walls of choroidal veins consist of an inner lining of endothelial cells, a media with a few irregularly and intermittently spaced smooth muscle cells, and a thin adventitia of fibrocytes and collagen fibers (Fig. 27). The structure of all the choroidal veins, including the vortex veins, is virtually identical. The endothelial lining is continuous. The largest veins have a diameter as large as 300 μm; and the smallest veins, including the postcapillary venules, are 10 to 40 μm in diameter. The endothelial cells of the choroidal venules have discontinuous zonulae occludentes (Fig. 28).53

Fig. 27. Thin-walled choroidal vein lined internally by endothelial cell (e) with its basal lamina (bl), and externally by a fibrocyte (f). Smooth muscle is not evident in this section. (× 4750)

Fig. 28. Composite of fracture faces of zonulae occludentes between endothelial cells of a choroidal venule. Extensive zonulae occludentes (5) in center. In most places the strands are branching and interconnected; in limited areas they are entirely missing. Higher magnification (6) of delineated area of 5 with interruption (arrow) of the zonula occludens (× 46,000). Typically angulated strands of a zonula occludens (7), seen as imprinted grooves on cell surface (× 42,000). Zonula occludens (8) with cleavage plane jumping from one endothelial cell to another, exposing grooves on cell surface on left and ridges on cell at right (× 54,000). Arrowheads in all figures indicate the direction of platinum-carbon shadowing. (Spitznas M, Reale E: Fracture faces of fenestrations and junctions of endothelial cells in human choroidal vessels. Invest Ophthalmol Vis Sci 14:98, 1975)

CHOROIDAL NERVE SUPPLY

The choroid is innervated by the long and short ciliary nerves (also known as the long and short posterior ciliary nerves). The long ciliary nerves arise from the nasociliary nerve,16 a branch of the ophthalmic division (V1) of the trigeminal nerve (cranial nerve V) and carry sensory fibers from the cornea, iris, and ciliary muscle to the trigeminal ganglion. They also carry sympathetic fibers from the superior cervical ganglion to the dilator pupillae. The long posterior ciliary nerves accompanied by the long posterior ciliary arteries enter the horizontal meridian slightly lateral to the wreath of short ciliary nerves.

The short ciliary nerves arise from the ciliary ganglion and carry sensory fibers, postganglionic parasympathetic motor fibers, and sympathetic fibers. The sensory fibers, derived from the cornea, iris, ciliary body, and sclera, travel to the trigeminal ganglion. The sympathetic fibers originate in the superior cervical ganglion and innervate the blood vessels of the eye. The motor fibers in the short ciliary nerves are parasympathetic and originate in the Edinger-Westphal nucleus of the cranial nerve III. They supply the sphincter pupillae of the iris and the ciliary body and are responsible for pupil constriction and accommodation. The short ciliary nerves form a ring around the optic nerve 2 to 3 mm from its dural sheath16 and are evenly distributed above and below the horizontal. The short ciliary nerves, containing both myelinated and unmyelinated fibers, enter the suprachoroidal space 3 to 4 mm from the optic nerve—all at about the same meridian. They give off numerous collaterals as they pass anteriorly and progressively diminish in size.16,55

Ruskell58 described parasympathetic nerves innervating the uvea as being derived from the facial nerve via the greater petrosal nerve and the pterygopalatine (sphenopalatine) ganglion. The main trunks of the long and short ciliary nerves pass into the supraciliary space, but in their passage through the suprachoroid give off branches to the choroid and probably the sclera.16,55 The nerves branch in the suprachoroid and choroid, anastomose extensively, and form plexi that are widely and diffusely distributed, ramifying in a three-dimensional manner, not strictly in layers. The terminal axons extend into the subcapillary layer but are not found in the choriocapillaris by electron microscopy.22,56,59 Larger branches accompany the larger muscular arteries and are found in the outer choroid; they are free nerve endings without special modification, terminating in the arterial walls.60 Ruskell56 estimated the density of nerve endings on arterioles to be one every 2 to 8 μm. Paravenous nerves are present, although less frequent, with an arterial-to-venous nerve fiber ratio of 7:1. Multipolar and bipolar ganglion cells are seen in the layers of the suprachoroid, often forming microganglia.55,61 The long and short ciliary nerve branches in the suprachoroid contain both myelinated and unmyelinated nerves. Nodes of Ranvier are present in the myelinated portions of the ciliary nerves.17 The nerve bundles in the choroid, with 50 to 100 axons, lose their myelin sheaths and are covered by Schwann cell membranes. Axons containing synaptic vesicles contact and indent the ganglion cells. The ganglion cells are much larger (40 μm) than other choroidal cells, and the central nucleus has a prominent nucleolus. The cytoplasm contains mitochondria and ribosomes.

CHOROIDAL STROMA

The stroma of the choroid is relatively sparse, as most of the volume is occupied by the blood vessels. Beneath the subcapillary layer of collagen, the arteries and veins are surrounded by collagen fibers, oriented in all directions and evenly distributed but with no special organization. Typically, the collagen fibers are organized in bands at 64-nm intervals. Flat, ribbon-like elastin fibers up to 13 μm in length are also found throughout the intervascular spaces.17,22,52 Cell processes from melanocytic and fibrocytic cells are intermixed with the collagen. The density of cells, especially the melanocytes, is greatest in the outer choroid and diminishes in the middle choroidal layer. Nonmyelinated nerve fibers and ganglion cells occur in the middle and outer choroid. The ground substance is a watery, mucinous material of unknown composition.62

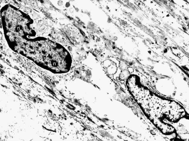
Forming an almost continuous layer in the outer choroid, melanocytes are most abundant near the optic nerve and less dense peripherally.52 The nuclei are oval and surrounded by a double membrane. The chromatin is evenly dispersed, and nucleoli are present.17 The cytoplasm is heavily filled with oval, membrane-bound melanin granules, and as much as 70% of the cytoplasm may be occupied by melanosomes (Figs. 29 and 30).22

Fig. 29. Choroidal melanocytes (mel) intermixed with fibrocytes (f). Spindle-shaped melanocytes have elongated nuclei (s), polyhedral melanocytes have oval nuclei (p), and both types of melanocytes have prominent intracytoplasmic melanin pigment granules. (× 4750)

Fig. 30. Fusiform choroidal melanocyte with tapered nucleus (f) and abundant intracytoplasmic pigment granules. (× 9000)

The melanocytes in the middle choroidal layers are star shaped, the cell bodies smaller, and the processes long and thin, stretching out as tentacles from the cell body. The processes connect with cells in adjoining layers but do not seem to plunge deeply across several lamellae into the more inner layers. The melanosomes, 0.3 to 0.4 μm in diameter, are all about the same size in a given person, and are fine and evenly distributed in the cytoplasm.52 The melanin granules are lighter brown and smaller than in the RPE. The cytoplasm also contains free ribonucleic acid granules, a few mitochondria, Golgi apparatus, rough endoplasmic reticulum, vesicular and lamellar elements, and centrioles. Some melanocytes contain many mitochondria and smaller melanin granules, less than 0.2 μm in diameter.5 Freeze-fractured melanocytes reveal melanosomes as membrane-limited organelles with a uniform, finely divided, particulate inner structure and no discernible internal arrangement.63

The fibrocyte is the most common nonpigmented cell found in the choroid (Fig. 31). Its long, spindle-shaped body and processes intermingle with the melanocytes in the outer choroid, forming syncytia. They are present throughout the vessel layers and only rarely are seen in the subcapillary zone of collagen. The cytoplasm of the fibrocyte contains mitochondria, Golgi apparatus, centrioles, free ribosomes, and rough endoplasmic reticulum.17,22

Fig. 31. Choroidal fibrocytes display nuclei with several nucleoli (n). Extracellular collagen is apparent. (× 9000)

In the healthy choroid, other nonpigmented cells are occasionally seen, including macrophages, plasma cells, lymphocytes, and mast cells. Such cells increase in number in response to inflammatory stimuli. Steptoe and associates64 reported on the distribution, total number, regional density, and phenotype of choroidal mast cells in different rat species. They found that choroidal mast cells were of the connective tissue phenotype. They were predominantly located in the outer choroidal layers associated with arteries and arterioles more than 30 μm in diameter. The density of the mast cells was greatest posteriorly and decreased anteriorly.

Adhesion molecules are thought to be important in the migration of leukocytes across blood-retinal and blood-aqueous barriers and are suspected to have an important functional role in the pathogenesis of immunologic conditions involving the eye. Duguid and colleagues65,66 examined the expression of adhesion molecules ICAM-1, LFA-1, LFA-3, ELAM-1, CD-44, and VLA-2 in the human retina and choroid using immunoperoxidase techniques. They found expression of ICAM-1, LFA-3, and ELAM-1 on retinal endothelium and ICAM-1, ELAM-1, and CD44 in the region of the external limiting membrane. In the choroid, ICAM-1 was noted convincingly on the choriocapillaris endothelium, whereas there was less definitive staining for LFA-3 and ELAM-1.

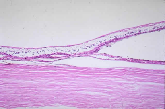
SUPRACHOROID

The interface between the choroid and sclera is called the suprachoroid. This transition zone, composed of thin interconnected lamellar fibers that bind the choroid and sclera together, is a potential space. The suprachoroid measures 30 μm in thickness.17 Anteriorly, the suprachoroid is continuous with the supraciliary space. Posteriorly, it extends to the optic nerve. Externally, it is limited by the lamina fusca, the melanocytic layer lining the inner sclera. The 6 to 10 layers of suprachoroid are crisscrossed by melanocytes and fibrocytes. Nerve fibers and ganglion cells are abundant. No vessels, except those passing through and destined for the choroid, are present in the suprachoroid. The lamellae are in apposition to each other in the healthy globe, but they may be separated by fluid or blood in the diseased eye, thus revealing a series of communicating spaces called suprachoroidal or perichoroidal spaces. In globes prepared routinely for histologic examination, the sclera has a tendency to stretch slightly more than the choroid, and the lamella separate, revealing the suprachoroidal spaces, especially anterior to the scleral canals for the vortex veins. The suprachoroidal space is rarely noticed beneath the macula in histologic sections because of the many ciliary vessels and nerves that pass from sclera to choroid in that location, preventing lamellar separation.

Back to Top
CHOROIDAL PHYSIOLOGY

CHOROIDAL ISCHEMIA

An area of debate in the literature regarding the choroidal vasculature has been whether its vessels are end-arterial and capable of causing ischemic injury upon occlusion or whether intrachoroidal anastomoses exist, preventing the possibility of ischemic choroidal lesions. Anatomic studies demonstrate intravascular connections between choroidal capillaries, arterioles, arteries, and veins. Despite these findings, there is widespread evidence of ischemic choroidal vascular lesions resulting in visual impairment due to secondary retinal and optic nerve injury. Clinical observations have shown that the effects of ischemic choroidal vascular lesions depend on the degree, extent, and duration of the reduction in choroidal blood flow. Acute loss of the choroidal circulation is manifested by a sudden onset of visual symptoms, such as occurs with thromboembolic phenomena, vascular wall inflammation, or necrosis and acute vasospasm. Chronic reduction of the choroidal circulation is associated with arteriosclerotic and diabetic vascular changes and presents more insidiously.

The funduscopic appearance of ischemic lesions in the choroid has been recognized since the early 19th century. In 1904, Elschnig67 described areas of circumscribed secondary RPE loss (Elschnig's spots), which are now recognized to be signs of ischemic infarcts arising from acute occlusion of the choriocapillaris or precapillary choroidal arterioles (Figs. 32, 33, and 34). Multifocal acute ischemic choroidopathy results from acute ischemic lesions of small choroidal arterioles, whereas geographic choroidopathy is due to an occlusion of larger choroidal arterioles or small arteries.47Triangular or wedge-shaped choroidal lesions appear to be three-sided, the apex pointing posteriorly and the base anteriorly. They are believed to represent evidence of occlusion of larger choroidal vessels. Occlusion of the long or short posterior ciliary arteries or their branches results in triangular defects. Triangular defects caused by obstruction of the short posterior ciliary arteries are more numerous, more irregular, and usually smaller. If the triangles become confluent, they may produce hemiatrophy of a quadrant.47,68

Fig. 32. Area of peripheral choroidal ischemia in gross specimen.

Fig. 33. Photomicrograph of area corresponding to that in Figure 31 shows ischemic atrophy of outer retina and retinal pigment epithelium. (H & E, × 25)

Fig. 34. Flat preparation showing focal atrophy of choriocapillaris in eye with cobblestone degeneration. (AFIP Neg 75-5513; PAS, × 42)

Amalric69 divided the clinical situations in which choroidal triangles occurred into three groups: (1) generalized or systemic vascular processes; (2) localized circulatory obliterations; and (3) choroidal arteriosclerosis. Clinical entities such as malignant hypertension, chronic renal failure, toxemia of pregnancy, collagen vascular diseases (e.g., scleroderma, systemic lupus erythematosus, Raynaud's phenomenon), and vasculitis (e.g., temporal arteritis) are included under the rubric of generalized or systemic vascular processes. Also included are hemorrhage leading to hemorrhagic shock, and hematologic diseases such as polycythemia vera, disseminated intravascular coagulopathy, thrombotic thrombocytopenic purpura, and cryoglobulinemia. Localized circulatory obliterations refer to thromboembolic events and to ischemia resulting from entities such as trauma, infection, or degenerative disease states. Choroidal arteriosclerosis has been related to changes brought on by diabetes and aging.

Foulds and co-workers70 presented cases of cranial arteritis documented clinically or clinicopathologically, in which wedge-shaped (triangular) areas of acute retinal edema were associated with visual loss. Recovery of vision occurred with the resolution of the retinal edema and the appearance of pigment clumping in a triangular distribution. The clinical features of these cases were consistent with obstruction of a major branch of one of the short posterior ciliary arteries. Some of their cases of choroidal ischemia showed evidence of choroidal and optic nerve changes. Adjunct studies (hue discrimination and electro-oculography) supported the etiology of outer retinal injury instead of a primary optic neuropathy. Because the optic nerve head is supplied by the short posterior ciliary arteries, as is the choroid, the findings of disturbances in the choroidal flow and optic nerve ischemia could be explained readily.

In an attempt to determine whether visual loss in cases of ischemic optic neuropathy could be attributable to retinal damage due to choroidal ischemia as opposed to primary optic nerve damage, Foulds and colleagues70 retrospectively studied 22 cases of ischemic optic neuropathy. Only 4 of the 18 available fluorescein angiograms reviewed showed disturbed choroidal filling and patchy choroidal leakage in addition to the expected leakage at the optic nerve head. Interestingly, of seven interpretable tests of hue discrimination, six were suggestive of choroidal blood-flow disturbances. The fluorescein studies showed that acute disturbances of choroidal blood flow are not common in patients with ischemic optic neuropathy, whereas color-vision testing supported the concept that the visual disturbances occurring in patients with ischemic optic neuropathy arose from choroidal vascular lesions rather than a defect in optic nerve conduction. The authors concluded that choroidal blood-flow disturbances probably play a role in the symptomatology of ischemic optic neuropathy.

Funduscopic changes in the retina resulting from malignant hypertension are well characterized and include arteriolar constriction, papilledema, retinal detachment, retinal hemorrhages, and cotton wool spots (i.e., nerve fiber layer infarcts). The retinal findings of malignant hypertension tend to overshadow the acute vaso-occlusive choroidal lesions that often accompany systemic hypertension and play a role in the pathogenesis of retinal detachment. In evaluating the role of acute ischemic infarcts of the choroid in retinal detachment associated with systemic hypertension, Klien71 described the following histologic changes in the choroid:

  1. Minimum to marked luminal narrowing of choroidal vessels secondary to hyaline deposits, which were variably associated with aggregates of acute and chronic inflammatory cells
  2. Thrombotic occlusions of larger choroidal arteries, arterioles, and choriocapillary thrombosis, with surrounding stromal necrosis and overlying RPE necrosis
  3. Fibrinoid necrosis of the walls of the choriocapillaris
  4. Retinal detachments with contiguity between the subretinal exudate and the extravasation surrounding the infarcted choriocapillaris and choroidal stroma.

Clinically, the choroidal lesions were obscured by the retinal findings. Fluorescein angiography was not performed. In the only surviving patient in this study,71 several months after her bilateral retinal detachments resolved, Elschnig's spots—yellow, rounded areas with central pigment deposits—were present on funduscopic examination near the optic disc and in the midperiphery.

Pregnancy is associated with an increased risk of the following distinct conditions known to be associated with chorioretinal complications: malignant nephropathy, malignant hypertension, toxemia of pregnancy, hemorrhagic shock, and thromboembolic events. Pregnancy is also known to aggravate systemic diseases such as systemic lupus erythematous.

Toxemia of pregnancy is a general term referring to the entire spectrum of hypertensive disorders of pregnancy. The funduscopic hallmark of toxemia is severe constriction of retinal arteries, which is often associated with striate hemorrhages, nerve fiber layer infarcts, and papilledema. Retinal vascular changes have been correlated with fetal mortality in pregnancies complicated by toxemia.72 Retinal detachment, often bilateral, has been reported in up to 10% of eclampsia cases.73 According to Gitter, Verderame first postulated in 1911 that toxemic retinal detachments were due to pathologic changes in the choroid. Subsequent reports by other authors stated that subretinal exudates in toxemic patients were probably derived from the choroid. Gitter and co-workers72 reported angiographic changes in a patient with toxemia of pregnancy in which there were bilateral multilocular retinal detachments, but no evidence of retinal vasospasm, hemorrhage, or exudates and no papilledema typically associated with toxemia. Fluorescein angiography showed normal retinal vessels and multiple areas of dye leakage from the choroid with pooling of dye in the areas of the retinal detachment. The subretinal exudate was suspected to be a transudate from the choroid resulting from increased hydrostatic pressure due to choroidal vascular hypertensive spasm. It is now recognized that toxemia of pregnancy can manifest as vasospastic changes in either the retina or choroid, or both.

Hidayat and Fine74 studied the choroidal vasculature in young diabetic patients using light and electron microscopy to document the histopathologic changes and complications of diabetes mellitus in the choroid. Routine histologic examination of the choriocapillaris revealed evidence of luminal narrowing to the point of obliteration due to focal or diffuse thickening of the capillary wall by periodic acid-Schiff (PAS)-positive material, areas of choriocapillary dropout with and without associated fibrosis, and the presence of PAS-positive stromal deposits. The overlying RPE showed areas of hyperplasia or atrophy. Foci of neovascularization were associated with retinal detachments and choroidal hemorrhages. Choroidal arterioles and arteries demonstrated wall thickening secondary to PAS-positive deposits. Intimal proliferation produced foci of luminal narrowing. Electron microscopy showed a focally or diffusely thickened choriocapillaris basement membrane composed of homogeneous, multilaminar, ordered and disordered, banded-type basement membrane material in the PAS-positive staining areas noted with light microscopy. The basement membrane thickening tended to occur more on the scleral surface, and it significantly narrowed or even obliterated the capillary lumina. Basement membrane material or collagen fibrils were present in areas of capillary dropout. The walls of larger blood vessels showed the accumulation of abnormal PAS-positive basement membrane material. Fibrin was noted in vessel lumina, and in the areas of the detached retina there was evidence of protein leakage into the choroidal stroma and subretinal space. Bruch's membrane was noted to be of normal thickness as evidenced by both light and electron microscopy.

Fryczkowski and colleagues75 used scanning electron microscopy to study diabetic eyes and found increased tortuosity, focal vascular dilatation and narrowing, microaneurysms, vascular loops, and dropout of the choriocapillaris in the equatorial area. The presence of basement membrane thickening, with narrowing of vascular luminal spaces, is a characteristic feature of diabetic microangiopathy. The findings in the choriocapillaris and choroidal vessels were similar to the vascular changes described in the kidneys, retina, and muscle of other diabetic patients studied. The presence of capillary dropout and narrowing of the vascular spaces was strongly suggestive of ongoing chronic choroidal vascular ischemia, which was believed to play an etiologic role in the pathogenesis of diabetic retinopathy.

This idea was confirmed by Langham and associates76 in a study of choroidal blood flow in diabetic retinopathy. Their study showed that choroidal blood flow decreases with the severity of the diabetic retinopathy because of increased vascular resistance and decreased ocular perfusion pressure. In a postmortem study of diabetic eyes with proliferative retinopathy, Garner and Ashton77 found that the mean diameter of the ophthalmic arteries of patients with proliferative diabetic retinopathy was 37% less than that seen in control eyes. The narrowing was found to result from atherosclerotic lesions.

In addition to the roles of large vessel atherosclerosis and diabetic microangiopathy at the level of the choroid in producing choroidal ischemia in diabetic eyes, active vasoconstriction is another possible cause of increased choroidal vascular resistance. Angiotensin II, known to cause systemic vasoconstriction, has been shown to constrict ocular vessels. Angiotensin-converting enzyme (ACE), which converts angiotensin I to angiotensin II, is present in ocular tissues. Treatment of hypertensive and diabetic patients with ACE inhibitors has been shown to increase ocular pulsatile blood flow by two fold.

Changes that occur in the choroid in older persons include flattening of the capillaries; narrowing of their lumina (Fig. 35); thickening and sclerosis of precapillary arterioles; focal choriocapillaris dropout, particularly in the periphery of the eye with cobblestone degeneration; and accumulation of inflammatory cells within the intercapillary columns. Chen and colleagues78 used fluorescein angiography to demonstrate delayed choriocapillaris filling in patients with age-related macular degeneration and concomitant decreased visual acuity. Their results suggest that chronic compromise of the choroidal circulation is an important cause of visual impairment in this disorder. Arteriolosclerosis related to aging is suspected to be the underlying cause of this chronic ischemia.

Fig. 35. Progressive sclerosis of Bruch's membrane. 1. Increased density of Bruch's membrane extending into intercapillary septum (between arrowheads). 2. Density extending to floor of capillaries (arrowhead). 3. Lumina of capillaries are narrower as columns become wider (arrowhead). 4. Capillaries are almost totally obliterated by sclerotic changes. (AFIP Neg 75-8102, 75-8105, 75-4948, 75-4943; PAS, × 440)

Little clinical information is available regarding acute occlusive disorders of the vortex veins. Obstruction of flow in the vortex veins may play a role in the production of some of the major complications that follow encircling procedures and cryopexy for retinal detachment, including increased intraocular pressure (IOP), anterior segment ischemia, choroidal and intraocular hemorrhages, and so-called anterior uveitis. Amalric68 described acute, subacute, and chronic stages of vortex thrombophlebitis. Acute thrombophlebitis leads to a chorioretinal detachment associated with hemorrhage. The subacute stage is characterized by a choroidal hemorrhage following thrombosis of a vortex vein. The raised, pigmented lesion may simulate a choroidal melanoma. In the chronic stage of vortex thrombophlebitis, choroidal venous congestion and capillary alterations are noted on fluorescein angiography.

Given the above examples, there can be no doubt that ischemic vascular lesions occur in the choroid. Is there just a low rate of vaso-occlusive events occurring in the truly end-arterial choroidal vasculature, or does the presence of anastomoses in the choroidal vasculature lessen the incidence and clinical severity of ischemic choroidal lesions? Based on in vivo fluorescein studies in experimental animals and humans, Hayreh47 and Hayreh and Baines48 concluded that the choroidal vascular system is strictly segmental and end-arterial. Hayreh's clinical and experimental studies have failed to document anastomoses between the various posterior ciliary arteries and between the vortex veins at any level.

In keeping with his hypothesis of an end-arterial system, Hayreh demonstrated the presence of watershed zones in the choroidal vasculature. Watershed zones are the border areas between the territories of distribution of any two end-arteries. The significance of watershed zones is that in the event of a decrease in perfusion pressure in the vascular bed of one or more of the end-arteries, the watershed zone, being an area of comparatively poor vascularity, is the most vulnerable to ischemia. Accordingly, watershed zones have been shown to exist in the choroid between the distributions of the posterior ciliary arteries, the short posterior ciliary arteries, the short and long posterior ciliary arteries, the posterior and anterior ciliary arteries, the choriocapillaris lobules, and the vortex veins. They can be identified with high-quality fluorescein angiography performed at high speeds or with high-resolution video/cine angiography. Watershed lesions represent areas at risk for chronic ischemic injury. In Hayreh's scheme of watershed zones, the macula and optic nerve are more susceptible to ischemic injury, particularly in eyes with marked generalized atherosclerosis and arteriolosclerosis. The macular region centers on the watershed zones of the several short posterior ciliary arteries. The peripapillary choroid has a segmental blood supply that is not continuous around the disc. The presence of such a segmental supply to the adjacent optic disc and retrolaminar optic nerve is responsible for the well-known sectoral nature of ischemic lesions seen in anterior ischemic optic neuropathy and other disorders of the optic nerve head.

Ernest and co-workers79 studied the submacular choroidal circulation and found that it does not meet all the criteria for an end-artery system because occlusion of the temporal posterior ciliary arteries does not result in necrosis of the fovea. The authors studied the effects of occlusion of the temporal short posterior ciliary artery branches on the submacular circulation in Rhesus monkeys using fluorescein angiography. Within 1 hour after ligation of the temporal short posterior ciliary artery, angiography revealed segmental filling of the nasal half of the choriocapillaris in the arterial phase, followed by temporal filling in the late venous phase. Oxygen pressure measurements from the fovea centralis were decreased to approximately one third of the nasal retinal values, but they were the same as temporal retinal areas outside of the fovea. This suggested that the macula did not sustain any greater ischemia, as would have been predicted by Hayreh's watershed zones. Ernest suggested that the vulnerability to macular ischemia is mitigated by the increased blood supply to the submacular choriocapillaris by larger short posterior ciliary artery branches that directly enter the capillary layer.

Hayreh48 also used Rhesus monkeys to study the effects of occlusion of the posterior ciliary arteries on the choroidal circulation. Fluorescein angiography performed 1 hour after occlusion of either the lateral, medial, or all posterior ciliary arteries revealed isolated patches of filling in the unfilled areas of the choroid during the late venous phase. These areas of filling were not connected with the filled parts of the choroid derived from the unobstructed blood supply. In eyes with occlusions of the lateral posterior ciliary artery, the patches appeared in either of the superotemporal or inferotemporal quadrants or the macular region. In eyes with occlusions of the medial posterior ciliary artery, the patchy filling was seen in the superior, inferior, or central nasal regions. In eyes with occlusion of all the posterior ciliary arteries, the filling patches were seen twice as often on the temporal side as on the nasal side and twice as frequently in the upper choroid as in the lower choroid. Hayreh thought that the isolated patchy filling areas of the choroid in the region of the occluded artery represented one or more routes of collateral blood supply to that region. The suspected collaterals included retrograde circulation via the vortex veins, the posterior episcleral arterial plexus, or the pial plexus. Follow-up angiography of eyes with occluded posterior ciliary vessels performed at 1 to 2 days, 1 week, and 2 to 3 weeks after arterial occlusion revealed that the part of the choroid supplied by the occluded artery filled progressively more rapidly and completely. Eventually, a practically normal circulation was re-established, with only a minor delay in choroidal filling in the vascular bed of the occluded arterial vessel or vessels.

Despite the fact that Hayreh48 documented an extrachoroidal collateral circulation sufficient enough to re-establish blood flow in areas of acute choroidal vascular obstruction within 1 hour after an occlusive event, he concluded from his study that no interarterial or arteriovenous anastomoses exist in the human choroid. Whether or not the presence of anastomoses in the choroid can be agreed on, it seems clear that there is some reserve capacity for blood flow to the choroid after a vaso-occlusive event. This collateral circulation most likely prevents the choroidal circulation from behaving as a truly end-arterial circulation. Amalric's vascular study68 supports the presence of interarterial anastomoses in the central part of the fundus and indicates that in order to induce a choroidal circulatory arrest that is clinically observed, it is necessary not only to obliterate several arteries, but also to provoke spasm in the corresponding and adjacent territories impeding the flow from any collaterals. Consequently, the effect of obstructions to choroidal circulation will depend on the rapidity, degree, extent, and duration of blood-flow obstruction; the status of any choroidal collateral circulation; and the degree of any chronic circulatory impairment in the form of atherosclerosis and arteriolosclerosis.

CHOROIDAL BLOOD FLOW

The choroidal circulation constitutes 85% of the blood circulating through the eye.80 The choroidal blood flow is higher than that in most other body tissues, including the retina and brain.81 Blood-flow estimates range from 800 to 2000 mL/min/100 g of tissue.82,83 The high blood flow in the choroid is at least partly related to the low resistance in the choroidal capillaries, which are wider and broader than the retinal capillaries. The exact function of high blood flow to the choroid is not known. The choroidal blood nourishes the outer layers of the retina (most notably the photoreceptors) and the RPE. The retina in most species is totally dependent on the choroidal circulation for its metabolic needs. The human choroid supports the metabolic requirements of the full retinal thickness only in the macular region. The accelerated choroidal blood flow produces a high gradient for oxygen diffusion into the outer retina and a low concentration of metabolic waste products, enhancing their removal from the retina. The oxygen content of the choroidal venous blood is approximately 95% of that found in the choroidal arterial blood.46 The small amount of oxygen extracted from the choroidal circulation suggests an additional role for the choroidal blood flow other than providing oxygen and nutrient supply to the retina. The choroidal blood flow is thought to help in the regulation of IOP. It may control the temperature in the eye by dissipating heat generated in the visual process46,84 or by warming the intraocular structures, which may be cooled by the external environment given the relatively exposed eye.81 Fluid exchange between the choroid, retina, and vitreous may be promoted by the choroidal circulation. Finally, the abundant choroidal blood flow may serve as a protective reserve should vascular obstruction occur in the globe.

The control of the circulation in most tissues is complex because of the numerous factors influencing the vascular resistance, including local myogenic responses, endothelium-derived substances, local metabolic factors, and the autonomic nervous system. Blood flow (Q) in the intraocular tissues depends on the local arterial blood pressure (Pa), the local venous pressure (Pv) and the resistance to flow ®.85 The venous pressure in the eye, for practical purposes, can be assumed to be equal to the IOP (i.e., Pv = IOP), except at low IOPs (less than 12 mmHg).84 Thus, the perfusion pressure for blood flow through the eye equals Pa - IOP/R. A reduction in the perfusion pressure resulting in a decrease in ocular blood flow can be caused by increased IOP or a decrease in arterial blood pressure.

Autoregulation is defined as the intrinsic ability of a tissue to maintain a relatively constant blood flow despite changes in perfusion pressure. Two different views—the metabolic theory and the myogenic theory—have been proposed to explain the autoregulatory mechanisms that function to maintain a constant blood flow in a tissue when there are alterations in perfusion pressure.86,87

According to the metabolic theory, blood flow is regulated by the local metabolic needs of the tissue. A reduction in perfusion pressure, with a subsequent decrease in the tissue blood flow, results in the accumulation of vasodilator metabolites, which act on the resistance vessels to return the blood flow toward its normal value. Metabolic factors tend to optimize local tissue conditions, such as CO2 and O2 tensions or tissue pH.87 In the myogenic theory of autoregulation, vascular wall tension, as opposed to local tissue metabolic conditions, is regulated according to Laplace's law (T = Pxr). Reductions in perfusion pressure, with a subsequent decrease in the tissue blood flow, decreases the transmural pressure gradient across the vessel wall. If the myogenic mechanisms are operative, the vascular smooth muscle of the resistance vessel would relax to increase the vessel radius (i.e., vasodilate), increasing the tissue blood flow and restoring the vessel wall tension back to its baseline level. Conversely, elevations in the perfusion pressure that increase the transmural pressure gradient and the blood flow would stimulate vasoconstriction to restore the vascular wall tension and blood flow to its baseline value. It has been suggested that the myogenic mechanism of autoregulation functions to protect capillaries from excessively high arterial pressures.87 The autonomic nervous system, which extensively innervates the uvea, functions to adjust the beat-to-beat distribution of the cardiac output according to certain priorities by altering the resistance in arteries and arterioles by mechanisms similar to those described in the myogenic theory of autoregulation.87

Autoregulation of retinal blood flow has been documented repeatedly.88–92 The majority of studies addressing the question of autoregulation of the choroidal circulation using a variety of experimental techniques, however, have concluded that the choroid is a passive vascular bed with no autoregulatory capacity.88,89,93–98 Arguments against the presence of autoregulation in the choroidal circulation are summarized as follows:

  1. Unlike the retinal blood vessels, which are distributed in the inner retinal layers where the metabolic situation may effect resistance vessels directly, the resistance vessels of the choroid are separated from vasoactive factors from the retina by the choriocapillaris layer.
  2. Given the relatively large diffusion distance and the potential for dilution of vasoactive metabolites by the choriocapillaris, the choroidal resistance vessels are not likely to be sensitive to the metabolic factors that regulate retinal blood flow.
  3. Autoregulation is unnecessary in the choroidal circulation because the choroidal blood flow so greatly exceeds the metabolic needs of the retina that the level of choroidal perfusion can drop significantly without compromising the retinal metabolism.
  4. Within the choroid, since there are no significantly metabolically active tissues, it is likely that there is no direct effect on the choroidal resistance vessels caused by choroidal vasodilator metabolites.

In support of choroidal autoregulation, Wilson and colleagues99 showed that the choroidal circulation could be maintained relatively constant over a wide range of perfusion pressures achieved by alterations of the IOP and systemic blood pressures. Additionally, it is known that the choroidal circulation is exquisitely sensitive to CO2 tension in the circulating blood and to acid products of metabolism, all of which can cause choroidal vasodilation. This is exemplified by the dilatation of the cilioretinal artery in patients with retinal ischemia and its return to a normal diameter once blood flow to the ischemic retina is restored.99

In a study investigating the possibility of autoregulation of choroidal blood flow in the rabbit, Kiel and Shepherd86 pointed out that most of the studies supporting the lack of autoregulation in the choroid experimentally decreased the ocular perfusion pressure by raising the IOP, whereas the autoregulatory response of the choroidal circulation to gradual changes in the mean arterial pressure was not clear. They hypothesized that decreasing the perfusion pressure gradient by increasing the IOP may not be the appropriate stimulus to elicit choroidal autoregulation. Instead, they altered the perfusion pressure by manipulating the mean arterial pressure and the IOP. Results revealed evidence of choroidal autoregulation when the mean arterial pressure was gradually decreased. The efficacy of the autoregulation, however, was dependent on the IOP and was most pronounced at IOPs of less than 5 mmHg. There was no choroidal autoregulation in the normal and above-normal ranges of IOP. Using a mathematical model, Kiel and Shepherd found that their experimental results were consistent with a myogenic mechanism of choroidal autoregulation. Their study revealed that the choroid is capable of regulating its circulation by myogenic mechanisms at extremely low perfusion pressures induced by a drop in the mean arterial pressure.

Choroidal blood flow is measured by analyzing the Doppler signal with skin blood flowmeters. Riva34,35 studied the responses of choroidal blood flow in the fundal region using noninvasive laser Doppler flowmetry in cats and humans. His results suggested that this technique is a safe and sensitive method of investigating choroidal blood flow in humans. Kiryu and colleagues100 used laser technology in conjunction with angiographic imaging techniques as a noninvasive means of demonstrating choroidal circulation in primates. Carboxyfluorescein was encapsulated in heat-sensitive liposomes injected intravenously into baboons. The dye was released in the choroidal arterioles from the liposomes by heat pulses from an infrared laser. Videoangiograms were generated from the fluorescence emitted mainly from the choriocapillaris. The angiographic pattern in the macula was consistent with the theory of lobular filling by a central arteriole and drainage by a venous annulus. The results of this study suggest that laser-targeted dye delivery using liposomes (microsomes) may be a useful technique for studying the response of the choriocapillaris to physiologic and pathologic changes. Laser-targeted dye delivery has the benefit of demonstrating only the choriocapillaris circulation, which is hidden in conventional fluorescein and indocyanine green angiography by the fluorescence emitted from the deeper and larger choroidal vessels.

An understanding of the choroidal circulation and its role in the etiology of retinal and choroidal diseases is yet to be elucidated. Continued research examining new methods of studying the choroidal circulation is pivotal to achieving this goal. The techniques presented here are only a few of the many methods under investigation, and their role in solving the puzzle of the choroidal circulation has yet to be completely pieced together.

Back to Top
REFERENCES

1. O'Rahilly R: The early development of the eye in staged human embryos. Contrib Embryol Carnegie Inst 30:1, 1966

2. Mann I: The Development of the Human Eye, 3rd ed, p 189. London, Br Med Assoc, 1969

3. Bartelmez G, Blount M: The formation of neural crest from the primary optic vesicle in man. Contrib Embryol Carnegie Inst 35:55, 1954

4. O'Rahilly R: The prenatal development of the human eye. Exp Eye Res 21:93, 1975

5. Johnston M: A radioautographic study of the migration and fate of cranial neural crest cells in the chick embryo. Anat Rec 156:143, 1966

6. Heimann KK: The development of the choroid in man. Ophthalmic Res 3:257, 1972

7. Mund ML, Rodrigues MM, Fine BS: Light and electron microscopic observations on the pigmented layers of the developing human eye. Am J Ophthalmol 73:167, 1972

8. Duke-Elder S, Cook C: Normal and abnormal development. In Duke-Elder S, Cook C (eds): System of Ophthalmology, Vol III, p 158. St. Louis, CV Mosby, 1963

9. Braekevelt C, Hollenberg M: Development of the retinal pigment epithelium, choriocapillaris and Bruch's membrane in the albino rat. Exp Eye Res 9:124, 1970

10. Takei Y, Ozanics V: Origin and development of Bruch's membrane in monkey fetuses: An electron microscopic study. Invest Ophthalmol Vis Sci 14:903, 1975

11. Greiner JV, Weidman TA: Comparative histogenesis of Bruch's membrane (complexus basalis). Exp Eye Res 53:47, 1991

12. Brihaye-van Geertruyden M: Contribution a l'etude des tumeurs melaniques de l'uvee et de leur origine. Doc Ophthalmol 17:163, 1963

13. Johnston M: The neural crest abnormalities of the face and brain. In Bergsma B (ed): Brain and Face Malformations, p 1. New York, Alan R Liss, 1974

14. LeDouarin N: A biological cell labelling technique and its use in experimental embryology. Dev Biol 30:217, 1973

15. LeLievre C, LeDouaarin N: Mesenchymal derivatives of the neural crest: Analysis of chaemeric quail and chick embryos. J Embryol Exp Morphol 34:125, 1975

16. Salzmann M: The Anatomy and Histology of the Human Eyeball in the Normal State, p 52. Brown EVL (trans). Chicago, University of Chicago Press, 1912

17. Hogan M, Alvardo J, Weddell J: Histology of the Human Eye, p 363. Philadelphia, WB Saunders, 1971

18. Hogan M: Ultrastructure of the choroid: Its role in the pathogenesis of chorioretinal diseases. Trans Pac Coast Otoophthalmol Soc Annu Meet 42:61, 1961

19. Hollenberg M, Burt W: The fine structure of Bruch's membrane in the human eye. Can J Ophthalmol 4:296, 1969

20. Wolter JR: Histologic character of the connection between Bruch's membrane and choriocapillaris of the human eye: A study with silver carbonate technique. Arch Ophthalmol 53:208, 1955

21. Ramrattan RS, van der Schaft TL, Mooy CM et al: Morphometric analysis of Bruch's membrane, the choriocapillaris and the choroid in aging. Invest Ophthalmol Vis Sci 35:2857, 1994

22. Feeney L, Hogan MJ: Electron microscopy of the human choroid. I, II, and III. Am J Ophthalmol 51:1057, 1961

23. Garron LK: The ultrastructure of the retinal pigment epithelium with observations on the choriocapillaris and Bruch's membrane. Trans Am Ophthalmol Soc 61:545, 1963

24. Dollery CT, Henkind P, Kohner EM, Paterson JW: Effect of raised intraocular pressure on the retinal and choroidal circulation. Invest Ophthalmol Vis Sci 7:191, 1968

25. Hyvarinen L, Maumenee AE, George T, Weinstein GW: Fluorescein angiography of the choriocapillaris. Am J Ophthalmol 67:653, 1969

26. Hayreh SS: Segmental nature of the choroidal vasculature. Br J Ophthalmol 59:631, 1975

27. Torczynski E, Tso MO: The architecture of the choriocapillaris at the posterior pole. Am J Ophthalmol 81:428, 1976

28. Araki M: Observations on the corrosion casts of the choriocapillaris. Acta Soc Ophthalmol Jpn 80:315, 1977

29. Shimizu K, Ujie K: Structure of Ocular Vessels, p 50. New York, Igaku-shoin, 1978

30. Weiter JJ, Ernest JT: Anatomy of the choroidal vasculature. Am J Ophthalmol 78:583, 1974

31. Collier RH: Experimental embolic ischemia of the choroid. Arch Ophthalmol 77:683, 1967

32. Tsai ENC, Smith JL: Experimental vortex—choroidal angiograms. Arch Ophthalmol 93:198, 1975

33. Yoneya S, Noyori K: Improved visualization of the choroidal circulation with indocyanine green angiography. Arch Ophthalmol 111:1165, 1993

34. Riva CE, Cranstoun SD, Grunwald JE, Petrig BL: Choroidal blood flow in the foveal region of the human ocular fundus. Invest Ophthalmol Vis Sci 35:4273, 1994

35. Riva CE, Cranstoun SD, Mann RM, Barnes GE: Local choroidal blood flow in the cat by laser Doppler flowmetry. Invest Ophthalmol Vis Sci 35:608, 1994

36. Krey HF: Segmental vascular patterns of the choriocapillaris. Am J Ophthalmol 80:198, 1975

37. Olver JM: Functional anatomy of the choroidal circulation: Methyl methacrylate casting of human choroid. Eye 4:262, 1990

38. Yoneya S, Tso MO: Angioarchitecture of the human choroid. Arch Ophthalmol 105:681, 1981

39. Fryczkowski AW: Anatomical and functional choroidal lobuli. Int Ophthalmol 18:131, 1994

40. McLeod DS, Lutty GA: High-resolution histologic analysis of the human choroidal vasculature. Invest Ophthalmol Vis Sci 35:3799, 1994

41. Hayreh SS: The choriocapillaris. Graefes Arch Clin Exp Ophthalmol 192:165, 1974

42. Hayreh SS: Recent advances in fluorescein fundus angiography. Br J Ophthalmol 58:391, 1974

43. Hayreh SS: Submacular choroidal vascular pattern: Experimental fluorescein fundus angiographic studies. Graefes Arch Clin Exp Ophthalmol 192:181, 1974

44. Leber Th: Die Zirkulations—und Ernährungsverhältnisse des Auges. Graefe Saemisch, Hb Ges Augenheilk, 2nd ed, Bd 2, Vol XI, 1903

45. Duke-Elder S, Wybar K: The anatomy of the visual system. In Duke-Elder S, Wybar K (eds): System of Ophthalmology, Vol II, pp 131, 339. St. Louis, CV Mosby, 1961

46. Parver LM: Temperature modulating action of choroidal blood flow. Eye 5:181, 1991

47. Hayreh SS: In vivo choroidal circulation and its watershed zones. Eye 4:273, 1990

48. Hayreh SS, Baines JA: Occlusion of the posterior ciliary artery: I. Effects on choroidal circulation. Br J Ophthalmol 56:719, 1972

49. Wybar K: A study of choroidal circulation in the eye in man. J Anat 88:94, 1954

50. Ashton N: Observations on the choroidal circulation. Br J Ophthalmol 36:465, 1952

51. Wybar KC: Vascular anatomy of the choroid in relation to selective localization of ocular disease. Br J Ophthalmol 38:512, 1954

52. Warwick R: Eugene Wolff's Anatomy of the Eye and Orbit, 7th ed, p 61. Philadelphia, WB Saunders, 1976

53. Spitznas M, Reale E: Fracture faces of fenestrations and junctions of endothelial cells in human choroidal vessels. Invest Ophthalmol Vis Sci 14:98, 1975

54. Bernstein MH, Hollenberg MJ: Fine structure of the choriocapillaris and retinal capillaries. Invest Ophthalmol Vis Sci 4:1016, 1965

55. Castro-Correia J: Studies on the innervation of the uveal tract. Ophthalmologica 154:497, 1967

56. Ruskell GL: Facial parasympathetic innervation of the choroidal blood vessels in monkeys. Exp Eye Res 12:166, 1971

57. Matsusaka T: Tridimensional views of the relationship of pericytes to endothelial cells of capillaries in the human choroid and retina. J Electron Microsc 24:13, 1975

58. Ruskell GL: Facial parasympathetic innervation of the choroidal blood vessels in monkeys. Exp Eye Res 12:166, 1971

59. Bergmanson JPG: The ophthalmic innervation of the uvea in monkeys. Exp Eye Res 24:225, 1977

60. Wolter JR: Nerves of the human normal choroid. Arch Ophthalmol 64:120, 1960

61. Kurus E: A system of ganglion cells in the human choroid. Klin Monatsbl Augenheikd 127:198, 1955

62. Yanoff M, Fine B: Ocular Histology, p 391. New York, Harper & Row, 1972

63. Breathnach A, Gross M, Martin B: Freeze-fracture replication of melanocytes and melanosomes. J Anat 116:303, 1973

64. Steptoe RJ, McMenamin PG, McMenamin C: Distribution and characterization of rat choroidal mast cells. Br J Ophthalmol 78:211, 1994

65. Duguid IGM, Boyd AW, Mandel TE: The expression of adhesion molecules in the human retina and choroid. Aust NZ J Ophthalmol 19:309, 1991

66. Duguid IGM, Boyd AW, Mandel TE: Adhesion molecules are expressed in the human retina and choroid. Curr Eye Res 11(suppl):153, 1992

67. Elschnig A: Die diagnostioche und prognostische Bedeutung der Netzhauterkrankungen bei Nephritis. Wien Med Wochenschr 54:436, 1904

68. Amalric P: Choroidal vascular ischaemia. Eye 5:519, 1991

69. Amalric P: Acute bird-shot choroidal ischemia. Bull Soc Fr Ophtalmol 85:949, 1985

70. Foulds W, Lee W, Taylor W: Clinical and pathological aspects of choroidal ischemia. Trans Ophthalmol Soc UK 91:323, 1971

71. Klien BA: Ischemic infarcts of the choroid (Elschnig spots): A cause of retinal separation in hypertensive disease with renal insufficiency: A clinical and histopathologic study. Am J Ophthalmol 66:1069, 1968

72. Gitter KA, Houser BP, Sarin LK, Justice J Jr: Toxemia of pregnancy: An angiographic interpretation of fundus changes. Arch Ophthalmol 80:449, 1968

73. Fry WE: Extensive bilateral retinal detachment in eclampsia with complete reattachment: Report of two cases. Arch Ophthalmol 1:609, 1929

74. Hidayat AA, Fine BS: Diabetic choroidopathy: Light and electron microscopic observations of seven cases. Ophthalmology 92:512, 1985

75. Fryczkowski AW, Hodes BL, Walker J: Diabetic choroidal and iris vascular scanning electron microscopy findings. Int Ophthalmol 13:269, 1989

76. Langham ME, Grebe R, Hopkins S et al: Choroidal blood flow in diabetic retinopathy. Exp Eye Res 52:167, 1991

77. Garner A, Ashton N: Ophthalmic artery stenosis and diabetic retinopathy. Trans Ophthalmol Soc UK 92:101, 1972

78. Chen JC, Fitzke FW, Pauleikhoff D, Bird AC: Poor choroidal perfusion is a cause of visual morbidity in agerelated macular degeneration. Invest Ophthalmol Vis Sci 30(suppl):153, 1989

79. Ernest JT, Stern WH, Archer DB: Submacular choroidal circulation. Am J Ophthalmol 81:574, 1976

80. Alm A, Bill A: Ocular and optic nerve blood flow at normal and increased intraocular pressures in monkeys (Macaca iris): A study with radioactively labelled microspheres including flow determinations in brain and some other tissues. Exp Eye Res 15:15, 1973

81. Foulds WS: The choroidal circulation and retinal metabolism—an overview. Eye 4:243, 1990

82. Bill A: Blood circulation and fluid dynamics in the eye. Physiol Rev 55:383, 1975

83. Friedman E, Kopald HH, Smith TR: Retinal and choroidal blood flow determined with krypton-85 in anesthetized animals. Invest Ophthalmol Vis Sci 3:539, 1964

84. Bill A: Some aspects of the ocular circulation (Friedenwald Lecture). Invest Ophthalmol Vis Sci 26:410, 1985

85. Bill A, Sperber GO: Control of retinal and choroidal bloodflow. Eye 4:319, 1990

86. Kiel JW, Shepherd AP: Autoregulation of choroidal blood flow in the rabbit. Invest Ophthalmol Vis Sci 33:2399, 1992

87. Guyton AC: Long term blood flow regulation. In Guyton AC (ed): Textbook of Medical Physiology: Local Control of Blood Flow by the Tissues, and Nervous and Humoral Regulation, 7th ed, p 235. Philadelphia, WB Saunders, 1986

88. Alm A, Bill A: Ocular circulation. In Moses RA, Hart WM Jr (eds): Adler's Physiology of the Eye: Clinical Application, pp 183–203. St. Louis, CV Mosby, 1987

89. Bill A: Circulation in the eye. In Renkin EM, Michel CC (eds): Handbook of Physiology: The Cardiovascular System, Vol 2, pp 1001–1034. Baltimore, Waverly Press, 1984

90. Ffytche TJ, Bulpitt CJ, Kohner EM et al: Effect of changes in intraocular pressure on the retinal microcirculation. Br J Ophthalmol 58:514, 1974

91. Riva CE, Grunwald JE, Petrig BL: Autoregulation of human retinal blood flow. Invest Ophthalmol Vis Sci 27:1706, 1986

92. Robinson F, Riva CE, Grunwald JE et al: Retinal blood flow in response to an acute increase in blood pressure. Invest Ophthalmol Vis Sci 27:722, 1986

93. Alm A, Bill A: Ocular and optic nerve blood flow at normal and increased intraocular pressure in monkeys (Macaca irus): A study with radioactively labelled microspheres including flow determinations in brain and some other tissues. Exp Eye Res 15:15, 1973

94. Alm A, Bill A: The oxygen supply to the retina: II. Effects of high intraocular pressure and of increased arterial carbon dioxide tension on uveal and retinal blood flow in cats: A study with radioactively labelled microspheres including flow determinations in brain and some other tissues. Acta Physiol Scand 84:306, 1972

95. Alm A, Bill A: Blood flow and oxygen extraction in the cat uvea at normal and high intraocular pressures. Acta Physiol Scand 80:19, 1970

96. Bill A: Intraocular pressure and blood flow through the uvea. Arch Ophthalmol 67:336, 1962

97. Friedman E: Choroidal blood flow: Pressure-flow relationships. Arch Ophthalmol 83:95, 1970

98. Yu DY, Alder VA, Cringle SJ, Brown MJ: Choroidal blood flow measured in the dog eye in vivo and in vitro by local hydrogen clearance polarography: Validation of a technique and response to raised intraocular pressure. Exp Eye Res 46:289, 1988

99. Wilson TM, Strang R, Wallace J et al: The measurement of the choroidal blood flow in the rabbit using 85-krypton. Exp Eye Res 16:421, 1973

100. Kiryu J, Shahidi M, Mori MT et al: Noninvasive visualization of the choriocapillaris and its dynamic filling. Invest Ophthalmol Vis Sci 35:3724, 1994

Back to Top
SUGGESTED READINGS

Alm A: The effect of sympathetic stimulation of blood flow through the uvea, retina, and optic nerve in monkeys (Macaca irus). Exp Eye Res 25:19, 1977

Alm A, Bill A: The effect of stimulation of the cervical sympathetic chain on retinal oxygen tension and on uveal, retinal and cerebral blood flow in cats. Acta Physiol Scand 88:84, 1973

Alm A, Bill A: The oxygen supply to the retina. Acta Physiol Scand 84:306, 1972

Amalric P, Biau C, Cendi P: Choroid changes of a triangular type. Bull Mem Soc Fr Ophtalmol 82:449, 1969

Amalric PM: Choroidal vessel occlusive syndromes—Clinical aspects. Trans Am Acad Ophthalmol Otolaryngol 77:291, 1973

Archer D, Krill AE, Newell FW: Fluorescein studies of normal choroidal circulation. Am J Ophthalmol 69:543, 1970

Armaly MF, Araki M: Effect of ocular pressure on choroidal circulation in the cat and Rhesus monkey. Invest Ophthalmol Vis Sci 14:584, 1975

Best M, Toyofuku H: Ocular hemodynamics during induced ocular hypertension in man. Am J Ophthalmol 74:932, 1972

Bill A: A method to determine osmotically effective albumin and gammaglobulin concentrations in tissue fluids, its application to the uvea and a note on the effects of capillary “leaks” on tissue fluid dynamics. Acta Physiol Scand 73:511, 1968

Bill A: Autonomic nervous control of uveal blood flow. Acta Physiol Scand 56:70, 1962

Bill A: Intraocular pressure and blood flow through the uvea. Arch Ophthalmol 67:90, 1963

Bill A, Sperber G, Ujiie K: Physiology of the choroidal vascular bed. Int Ophthalmol 6:101, 1983

Breathnach A, Wyllie L: Ultrastructure of retinal pigment epithelium of the human fetus. J Ultrastructure Res 16:584, 1966

Coulombe JN, Nishi R: Stimulation of somatostatin expression in developing ciliary ganglion neurons by cells of the choroid layer. J Neurosci 11:553, 1991

Elena PP, Kosina-Boix M, Moulin G, Lapalus P: Autoradiographic localization of the beta-adrenergic receptors in rabbit eye. Invest Ophthalmol Vis Sci 28:1436, 1987

Elgin SS: Arteriovenous oxygen difference across the uveal tract of the dog eye. Invest Ophthalmol Vis Sci 3:417, 1964

Flugel C, Tamm ER, Mayer B, Lutjen-Drecoll E: Species differences in choroidal vasodilative innervation: Evidence for specific intrinsic nitrergic and VIP-positive neurons in the human eye. Invest Ophthalmol Vis Sci 35:592, 1994

Gay AJ, Goldor H, Smith M: Chorioretinal vascular occlusions with latex spheres. Invest Ophthalmol Vis Sci 3:647, 1964

Grajewski AL, Ferrari-Dileo G, Feuer WJ, Anderson DR: Beta-adrenergic responsiveness of choroidal vasculature. Ophthalmology 98:989, 1991

Iwaki S: The electron microscopic study of the fine structure of retinal pigment epithelium and choriocapillary layer. Acta Soc Ophthalmol Jpn 62:995, 1958

Klein GJ, Baumgartner RH, Flower RW: An image processing approach to characterizing choroidal blood flow. Invest Ophthalmol Vis Sci 31:629, 1990

Klien BA: Regional and aging characteristics of the normal choriocapillaris in flat preparations. Am J Ophthalmol 61:1191, 1966

Krill AE, Archer D: Classification of the choroidal atrophies. Am J Ophthalmol 72:562, 1971

MacCumber MW, D'Anna SA: Endothelin receptor-binding subtypes in the human retina and choroid. Arch Ophthalmol 112:1231, 1994

Matsusaka T: An evidence for adrenergic involvement in the choroidal circulation. Graefes Arch Klin Exp Ophthalmol 216:17, 1981

Morgan TR, Green K, Gowman K: Effects of adrenergic agonists upon regional ocular blood flow in normal and ganglionectomized rabbits. Exp Eye Res 32:691, 1981

Moyer F: Electron microscopic observations on the origin, development and genetic control of melanin granules in the mouse eye. In Smelser G (ed): Structure of the Eye, pp 469–486. New York, Academic Press, 1961

O'Malley P, Allen RA, Straatsma BR, O'Malley CC: degeneration of the retina. Arch Ophthalmol 73:169, 1965

Okun E: Gross and microscopic pathology in autopsy eyes (peripheral chorioretinal atrophy). Am J Ophthalmol 51:574, 1961

Pilkerton R, Bulle PH, O'Rouke J: Uveal blood flow determined by the nitrous oxide method. Invest Ophthalmol Vis Sci 3:227, 1964

Pilkerton R, Bulle PH, O'Rouke J: Uveal tissue respiration and glycolysis in living experimental animals. Invest Ophthalmol Vis Sci 3:237, 1964

Reese AB, Blodi FC: Hematopoiesis in and around the eye. Am J Ophthalmol 38:214, 1954

Ring HG, Fujino T: Observations on the anatomy and pathology of the choroidal vasculature. Arch Ophthalmol 78:431, 1967

Stern WH, Ernest JT: Microsphere occlusion of the choriocapillaris in the rhesus monkey. Am J Ophthalmol 78:438, 1974

Weiter J, Schachar R, Ernest J: Control of intraocular blood flow: I. Intraocular pressure. Invest Ophthalmol Vis Sci 12:327, 1973

Whiteman DW, Rosen DA, Pinkerton RMH: Retinal and choroidal microvascular embolism after intranasal corticosteroid injection. Am J Ophthalmol 89:851, 1980

Wolfrum M: Beiträge zur Anatomie und Histologie der Aderhaut beim menshen und bei hoheren Wirbeltieren. Graefes Arch Klin Exp Ophthalmol 67:307, 1908

Wudka E, Leopold IH: Experimental studies of the choroidal vessels. Arch Ophthalmol 55:605, 1956

Yoshida A, Feke GT, Ogasawara H et al: Effect of timolol on human retinal, choroidal and optic nerve head circulation. Ophthalmic Res 23:162, 1991

Back to Top