Chapter 13
The Ciliary Body
BARBARA W. STREETEN
Main Menu   Table Of Contents

Search

SURFACE LANDMARKS AND RELATIONSHIPS
THE ANTERIOR CILIARY BODY
THE CILIARY SULCUS
THE PARS PLANA AND ORA SERRATA
MICROSCOPIC ANATOMY OF THE CILIARY BODY
BLOOD SUPPLY OF THE CILIARY BODY
NERVE SUPPLY OF THE CILIARY BODY
REFERENCES

To the early anatomists, the wreath of processes forming the anterior border of the ciliary body resembled eyelashes (cilia),1 a fanciful analogy perpetuated in the name of this muscular structure. The functions of the ciliary body are among the most diverse of any ocular tissue, since it secretes the aqueous, nourishes the lens, and provides the muscle power for accommodation, contributing at the same time to control of aqueous outflow. It forms part of the vitreous base, serving as an attachment for and possibly synthesizing the unique zonular fibers, and has also been suggested as a source of vitreous hyaluronic acid.2,3
Back to Top
SURFACE LANDMARKS AND RELATIONSHIPS
The anteroposterior length of the ciliary body varies considerably with the length of the eye. It is always longer on the temporal side and longest inferotemporally, the most expanded quadrant of the eye (Fig. 1). Temporally it is 5.6 to 6.3 mm in length, and nasally 4.6 to 5.2 mm.4 Of importance surgically is the distance from the external corneoscleral limbus to the end of the ciliary body at the ora serrata. This may be roughly estimated as 7 mm temporally and 6 mm nasally, since in 200 autopsy eyes the slightly shorter distance from Schwalbe's line internally to the end of the ciliary body at the ora serrata averaged 6.53 mm temporally, 5.73 mm nasally, 6.14 mm superiorly, and 6.20 mm inferiorly.5 However, variation with ocular length is considerable, so that the temporal ciliary body in buphthalmos can be up to 10 mm in length. The posterior boundary between ciliary body and retina is usually well seen by transillumination through the sclera, as the pigment epithelium on both sides of the ora serrata is heavily pigmented, forming a 1.5- to 2-mm dark band (Fig. 2). The anterior 1 to 1.5 mm of this band belongs to the ciliary body, providing a useful landmark for intraocular surgery through the pars plana. The rest of the pars plana is pale on transillumination, up to the approximately 2-mm dark band of the ciliary processes (pars plicata).

Fig. 1. Inner surface of the ciliary body, with the lens in place. A. The nasal side (left) is shorter than the temporal side (right) and has a scalloped cilioretinal junction. B. Transillumination demonstrates division of the whole ciliary body into segmental units of pale pars plana, outlined by radially arranged hyperpigmented ridges.

Fig. 2. Transscleral transillumination through an intact globeshowing the darkly pigmented ora serrata (OS) region contrasting with the paler pars plana (PP).

The shape of the ciliary body is triangular in cross section, its short anterior side or “face” forming a 45° to 90° angle with the scleral surface (Fig. 3), depending upon age and accommodative state.6 The anterior face is directly exposed to the aqueous, forming part of the posterior boundary of the anterior chamber. The iris root arises from the midportion of this face. At its anterior end, the ciliary body attaches laterally to the scleral spur, its firmest point of fixation to the globe, and its connective tissue blends into that of the trabecular meshwork. Along the rest of its outer face, the ciliary body has loose attachments to the sclera, readily separating at this level during processing for microscopy. This ciliary-scleral junction is called the supraciliaris or supraciliary lamina.

Fig. 3. Cross section of the ciliary body in a 64-year-old human eye. Arrows indicate its junction with the iris (left arrow) and with the retina at the ora serrata (right arrow). (hematoxylin-eosin, X 20)

The seven anterior ciliary arteries enter the ciliary body from the rectus muscles through scleral canals just behind the pars plicata. These entry sites are the only other firm attachments of the ciliary body to the outer globe. In 12% of eyes, a large loop of long posterior ciliary nerve enters the sclera from the ciliary body in this region, sometimes in the same canal as an anterior ciliary artery, and is called a nerve loop of Axenfeld7 (Fig. 4). These loops seem to have no purpose and return to continue their anterior course in the ciliary body. They may be visible subconjunctivally 3 to 4 mm from the limbus, especially in the inferior quadrants.7 When associated with melanin pigment, the loop may appear as a pigmented spot under the conjunctiva, requiring differentiation from extraocular extension of a malignant melanoma. Its sensitivity to touch and the absence of a tumor shadow on transillumination aid in this diagnosis.

Fig. 4. Nerve loop of Axenfeld (n) extends into a scleral canal along with an anterior ciliary artery. A melanoma (m) is invading the same scleral canal, an uncommon occurrence. (hematoxylin eosin, X 120)

The posterior limit of the ciliary body is sharply demarcated on its inner surface at its abrupt junction with the retina at the ora serrata. No such demarcation occurs on its outer surface where the supraciliaris blends directly into the suprachoroidalis. The inner surface of the ciliary body is in close relation to the zonular fibers, except for the anterior rounded ends of the processes. On its posterior half, this inner surface gives attachment to the anterior two thirds of the vitreous “base,” and its anterior half forms the lateral boundary of the posterior chamber. The lens lies 1 to 1.5 mm centrad to the ciliary processes, depending upon age and lens diameter, as the enlarging lens narrows the perilenticular space.

The ciliary body is easily freed from the sclera by a spatula passed through its attachment to the scleral spur, allowing inspection of both supraciliary surfaces. The scleral surface is smooth, slightly pigmented, and marked only by canals for ciliary arteries and nerves. The ciliary surface has loose sheets of pigmented stroma and muscle over its posterior two thirds. On these lie the thin, long ciliary arteries and the flat, ribbonlike long ciliary nerves, both of which may bifurcate at the posterior border of the ciliary body (Fig. 5). The anterior third of this surface is marked by the slightly convex white mass composing the main bulk of the ciliary muscle (see Fig. 5A).

Fig. 5. Outer surface of ciliary body seen after removal of a scleral window, cornea, and iris. A. Most of the ciliary muscle (CM) lies in the anterior half as a white band. A flat ribbon-like long posterior ciliary nerve (N) and thin artery (A) bifurcate shortly before the ora serrata. B. Transillumination indicates the actual site of the ora serrata and relationships to the choroidal vessels.

Back to Top
THE ANTERIOR CILIARY BODY
In the fetus, development of the ciliary body can first be recognized in the fourth month by elevation of thin radial folds from the smooth surface of the anterior optic cup around the lens. These folds continue to enlarge, thicken, and push into the posterior chamber. The anterior ends protrude forward like rounded beaks, as if to increase the surface area in the region that will secrete aqueous (Fig. 6A and 6B). These 70 to 80 folds become the ciliary processes and are collectively known as the corona ciliaris or pars plicata portion of the ciliary body. The pars plicata is usually 2 mm in anteroposterior length in the adult. Each process is about 0.5 mm in width, may reach 1 mm in height, and shows a fine rugation in the coronal plane. An exact count of the processes cannot always be made because of frequent joining of their anterior ends and development of minor processes or plicae in the valleys between them. These sausagelike minor plicae are prominent in the posterior third of the pars plicata. Giant processes are often found in the nasal horizontal meridian.

Fig. 6. Scanning electron microscopy of the ciliary processes of an infant and adult. A and B. Age 3 months. The zonules have been rolled back to reveal the simple infantile processes. Several minor plicae (arrowheads) are visible. The peripheral iris folds are seen above. (A, X 60; B, X 115) C and D. Age 85 years. The processes are larger, more convoluted, and warty. (C, X 45; D, X 110)

The ciliary processes continue to enlarge and become more convoluted in adult life, gradually losing superficial pigment so that their crests are whitened (see Fig. 1A). A marked knobby or warty change develops on their surfaces and in the valleys between them in old age (Fig. 6C and D). In the infant, the fine zonular fibers are draped over the rudimentary ciliary process region like a smooth, silvery membrane (see Fig. 6A). As the processes elevate and become more complex, they divide the zonules into separate aggregates of fibers, with fewer passing over the heads of the processes. The anterior beaklike ends of the processes are always free of zonular fibers and their attachments.

Back to Top
THE CILIARY SULCUS
A surface anatomic region of considerable interest anteriorly is the ciliary sulcus, which is the valley created posterior to the iris at its origin from the ciliary body. This sulcus is bounded posteriorly by the ciliary processes and more centrally by the anterior zonular fibers and lens surface (Fig. 7A), making it a natural site for supporting the haptics of a posterior chamber intraocular lens (IOL). Although the ideal site for a posterior chamber IOL is within the lens capsular bag, such placement is not possible when the lens capsule is absent or where the capsule-zonular diaphragm lacks sufficient strength, such as in pseudoexfoliation when some of the zonules have ruptured. To choose an appropriate size of IOL for support and centration in this space, it is important to consider the diameter of the sulcus. In 41 postmortem eyes this diameter correlated significantly with axial length determined echographically, with a mean sulcus diameter of 11.2 mm (SD = 0.3 mm).8 A bimodal distribution of ciliary sulcus diameters was noted with a clustering of smaller diameters in shorter eyes. It has been suggested that it results from incomplete posterior migration of the pars plicata from the peripheral iris during embryonic growth. In another postmortem study,9 the mean sulcus diameter was 11 ± 0.37 mm, slightly smaller than the mean corneal diameters (11.32 ± 0.29 mm) in the same eyes. The authors found, in addition, that the mean distance from the corneal limbus to the ciliary sulcus measured externally was 0.9 mm, which would be of interest for transscleral suture fixation of haptics.

Fig. 7. The ciliary sulcus. A. Cross section through a ciliary sulcus (asterisk) of a 61-year-old patient. Arrows indicate zonular fibers. Lens is on left. B. Irregular iris pigment (above) and ciliary nonpigment epithelial cells line the sulcus. (hematoxylin-eosin, A, X 43; B, X 165)

The irregular contour of the sulcus area has been well described, particularly narrowing of the sulcus caused by occasional bands and folds extending from the ciliary processes onto the back of the iris.10 These extensions probably derive from the incomplete migration of ciliary processes off the peripheral iris, as previously mentioned,8 and could misdirect haptics into the easily penetrated iris or ciliary body during IOL insertion (Fig. 7B). This information has led to recommendations for smaller total IOL diameters in posteriorly fixated lenses,11 which should help avoid haptic puncture or erosion into the uvea and possible vascular occlusions.8,12

Back to Top
THE PARS PLANA AND ORA SERRATA
The posterior portion of the ciliary body, known as the pars plana or orbiculus ciliaris, is about 4 mm long on the temporal side and 3.5 mm on the nasal side, depending upon the length of the eye. It is limited posteriorly by its attachment to the retina at the ora serrata. There is considerable variation in the configuration of this junction, but generally it is straight on the temporal side and distinctly scalloped on the nasal side (see Fig. 1). In the infant there is no scalloping, and in some adults scalloping may extend all around the ora.

Transillumination of the ciliary body demonstrates a segmentation into anteroposterior ciliary units (Figs. 1B and 8A). A ciliary process lies in the center of each unit, whose sides are demarcated by pigmented ridges called striae ciliaris. These striae extend almost to the pars plicata and often have minor processes or plicae at their anterior ends. The nasal ora serrata demonstrates ciliary unit formation more regularly than does the temporal side (see Fig. 8). The oral concavity opposite the central ciliary process is known as a ciliary bay. The bay is limited on either side by retinal teeth, also called dentate processes. These average 16 per eye5 and extend up over the pigmented ridges. Unit formation may be obscured by partial joining of two bays when there are large accessory ciliary processes or plicae. Giant dentate retinal processes occur aberrantly in 16% of eyes,13 directly opposite ciliary processes rather than between them, and sometimes extend forward enough to merge with the process. Such large “meridional complexes” usually include an elevated meridional fold of tissue composed of anomalous retina and ciliary epithelium (Fig. 9).5,13 These anomalies are frequently associated with aberrant zonular bundles, with small holes or shallow excavations in the retina behind the complexes.

Fig. 8. The ciliary process unit. All unstained. A. Three ciliary units on the nasal side of the ciliary body. Pigmented ciliary ridges demarcate the edges of the unit, with a ciliary process lying centrally. Minor processes and plicae tend to occur at the ends of the ridges. (X 15) B. Nasal ora serrata (or) showing junction of retinal and ciliary pigment epithelium after removal of retina and vitreous. Pigment clumps near the ora have a whorled, disorderly pattern. (X 60) C. Pigment clumps above temporal ora serrata (or) show a regular anteroposterior pattern. (X 60)

Fig. 9. Meridional fold showing anomalous development of the retina (r) and ciliary epithelium at the ora serrata. (hematoxylineosin, X 80)

The two layers of ciliary epithelium are firmly adherent to each other and to their underlying stroma at the ora serrata, where the nonpigmented layer is suddenly converted into retina. The more loosely attached retina and any retinal teeth are easily stripped from this firm junction by gentle traction on the vitreous, creating the sharply demarcated retinal edge seen in traumatic disinsertion of the retina.

The dense attachment of vitreous known as the vitreous “base” extends from the peripheral retina up onto the posterior 2 mm of the pars plana, before separating as the anterior hyaloid membrane. A grayish line frequently appears just behind the anterior limit of attachment (Fig. 10A), visible clinically with a three-mirror lens. This gray line is the edge of one of the prominent vitreous lamellae that develop in adults, separating the vitreous cavity into several anteroposterior compartments. Eisner first described these compartments, referring to them as tracts14 (Fig. 10B). The lamella inserting on the midpars plana was named the median tract. One or more over the ciliary processes constitute the coronary tract, and that at the periphery of the lens is the anterior hyaloid tract. These same regions have prominent circumferentially arranged zonular and vitreous girdle fibers on and within the anterior hyaloid membrane,15 helping to anchor the vitreous to the ciliary body and lens at sites of traction during ocular movement and accommodation. Zonular fibers in the girdle have deeper attachments to the main zonular stream and basement membrane of the inner ciliary epithelium.

Fig. 10. Vitreous attachments to ciliary body. A. Curved reflections (arrowheads) from the vitreous lamellae or “tracts” present in the otherwise invisible vitreous lying over the ciliary body. B. Diagram of “tracts” dividing the vitreous of the adult into several anteroposterior compartments. TP, preretinal tract; TM, median tract; TC, coronary tract; TH, hyaloid tract. (B, Eisner G: Clinical examination of the vitreous. Trans Ophthalmol Soc UK 95:360, 1975)

Back to Top
MICROSCOPIC ANATOMY OF THE CILIARY BODY

NONPIGMENTED CILIARY EPITHELIUM

The ciliary epithelium consists of two layers: an inner nonpigmented (NPE) and an outer pigmented layer (PE). These two layers derive from infolding of the single cell layer of the optic vesicle against itself, to form the optic cup. The potential space left between the two ciliary layers rarely opens, owing to the frequency of junctional complexes uniting the cells. A peculiar result of the infolding affects nomenclature in this region, since the apices of the epithelial cells now face each other across the potential space (Fig. 11). The bases of the cells face outward, toward the ciliary body stroma for the PE, and toward the posterior chamber for the NPE. Basement membrane covers the bases of both cell layers as is characteristic of epithelial cells.

Fig. 11. Diagram showing the relationship of the two layers of ciliary epithelium. Basement membrane (BM) covers their bases and their apices face each other across a potential space. The cells are united by several types of junctional complexes: 1, desmosomes; 2, gap junctions; and 4, puncta adherentes. Onlythe apices of the nonpigmented epithelial cells (NPE) are joined by “tight” junctions (3), composed of a zonula occludens usually combined with a zonular adherens complex. PE, pigmented epithelium.

The NPE of the ciliary body stretches in a continuous layer from the root of the iris to the ora serrata. As the transition from pigmented iris epithelium occurs, melanin granules in the inner layer suddenly decrease in number, and the cells become slightly smaller (Fig. 12). In the pars plicata the NPE cells are cuboidal, 12 to 15 μm in width, with central nuclei (Figs. 13A and 13B). The knobbiness that develops during aging is due to small nodular proliferations of NPE cells, especially on the minor plicae (Fig. 13C). In the young eye the cells of the pars plana are also cuboidal, but with growth they become thinner and more columnar, sometimes reaching up to 30 μm in height and 5 to 10 μm in width (Fig. 13D). In the posterior half of the pars plana, some NPE cells tilt forward as though responding to anterior zonular traction, while others may be inclined posteriorly, suggesting complex vectors of force in this region. The nuclei are vertically oval and lie near the apex of the cells. The epithelium here becomes very irregular with aging, showing hyperplastic toothlike cell processes intertwining and extending up into the vitreous and among the zonular fibers. At the ora serrata the ciliary NPE joins the retina abruptly, highlighting the difference in thickness of these two layers (Fig. 14).

Fig. 12. Frontal view of a ciliary process at its junction with iris, showing conversion to thicker, double-layered iris pigment epithelium (arrows). (Toluidine blue, X 200)

Fig. 13. Ciliary nonpigmented epithelium. A. Anterior pars plicata, age 3. (hematoxylin-eosin, X 800) B. Posterior pars plicata with areas of thickened, pigmented epithelium, age 3. m, ciliary muscle (hematoxylin-eosin, X 800) C. Nodular proliferation of the nonpigmented epithelium appears as small cellular caps over the surface at age 70. Z, zonule. (hematoxylin-eosin, X 400) D. Distorted epithelium of pars plana shows evidence of traction in both anterior and posterior directions (adult). (hematoxylin-eosin, X 400)

Fig. 14. Ora serrata in young adult, showing abrupt junction of ciliary nonpigmented epithelium and sensory retina. A few hyalocytes are present in the adjacent vitreous, and a degenerative cyst (C) is present in the peripheral retina. (Toluidine blue, X 200)

While the ultrastructure of the PE is similar in most areas of the ciliary body, that of the NPE shows noticeable regional differences that appear to be of functional importance. These differences have been studied more extensively in the monkey than in the human but are similar in both species.2,16–26 The pars plicata, and particularly its anterior portion, appears to be the predominant site of aqueous formation and has many special characteristics of this secretory function. The NPE here has marked cytoplasmic infolding at its base and redundant interdigitations at its basolateral margins, greatly increasing the area of the cell surface facing the posterior chamber (Fig. 15, Inset A). These cell membranes and, to a lesser degree, those of the pigmented epithelium contain the enzyme complex Na+ /K+ -ATPase, evidence of anenergy-dependent active transport system.27 The presence of the enzyme carbonic anhydrase in the NPE cells of the pars plicata of all species studied is further evidence of fluid-pumping activity.28 In the moderately electron-lucent cytoplasm of the anterior NPE particularly, there are large numbers of mitochondria near the base of the cell and rough endoplasmic reticulum (RER) in single cisternae or parallel stacks near the nucleus, where Golgi complexes are also common22 (Fig. 16). The mitochondria are of importance in providing energy for transport, and the RER for processing of new protein. Clusters of free ribosomes and occasional cilia are found in all areas. With aging, unusual whorled formations of RER are described near the cell base in the pars plicata, along with lipid droplets and lysosomal residual bodies.17,22

Fig. 15. Anterior pars plicata. Inset A. The basement membrane does not enter the extensive surface infoldings and lateral interdigitations of the nonpigmented epithelium. Note large numbers of desmosomal intercellular junctions (arrows). Main figure. A desmosome cut slightly obliquely showing intermediate filaments of the cell's cytoskeleton inserting into the dense plaque material. Inset B. Central dense core and plasmalemmal unit membranes of desmosome cut perpendicularly. (Main figure and inset B, X 104,000; inset A, X 10,800)

Fig. 16. Ciliary epithelium in the anterior pars plicata of a 19-year-old. Posterior chamber surface (PC) of the nonpigmented epithelium (NPE) has a sawtooth pattern seen irregularly throughout this layer with aging. Mitochondria (m) are large, plentiful, and show artifactual hydropic change. Rough endoplasmic reticulum is present below the nuclei (asterisk). Note that the apices of the pigmented epithelial cells (PE) are conical, with prolongations of NPE between them. (X 8320)

In the child's eye, the basement membrane is a simple thin layer over the base of the NPE cells, not extending into the surface or lateral infoldings (Fig. 17, Inset A). As is typical for thin basement membranes, it is a 30-nm granular layer separated from the plasmalemma by a 50-nm lucent zone. Beginning in the first decade, the basement membrane undergoes a remarkable thickening of the multilaminar reticulated type. This change has been identified by the age of 3 years,17 beginning in the valleys of the posterior half of the pars plicata. From this region, the thickening by multiple intertwining thin layers of reticular basement membrane extends posteriorly and up onto the lateral walls of the ciliary processes, involving almost all of the ciliary epithelium in those over the age of 50 years. This thick basement membrane may reach 2 μm with an increasing quantity of membrane-bound vesicles and granular material, apparently debris of cellular metabolism (see Fig. 17). Seen from the inner surface, the basement membrane has a fibrogranular texture resembling the loose superficial lens capsule in the zonula lamellar region (Fig. 17, Inset B). Zonular bundles are seen in close apposition to the basement membrane and pass superficially within it in the ciliary valleys, to which they have a very firm attachment.15

Fig. 17. Changes in the ciliary nonpigmented epithelial basement membrane that occur with aging.Main figure shows multilaminar pattern of basement membrane proliferation filled with vesicles and granular debris at age 20. (X 54,600) Inset A. Thin basement membrane with patchy multilaminar change at age 7. (X 15,000) Inset B. Scanning electron micrograph showing fibrogranular mossy appearance of basement membrane surface over sides of anterior ciliary processes at age 20. (X 10,200)

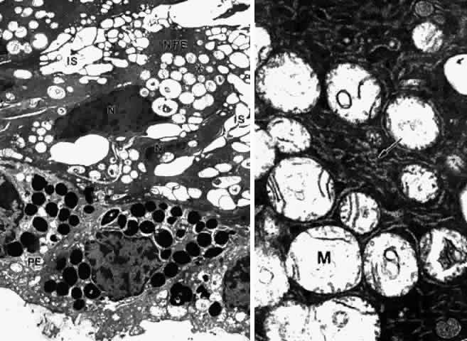
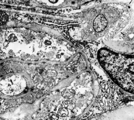
In the pars plana, the tall NPE cells have numerous intermediate filaments and granules that give the cells a more electron-dense appearance than anteriorly (Fig. 18A) and are profusely supplied with tubules of smooth-surfaced endoplasmic reticulum (Fig. 18B). The intermediate filaments in the NPE of the pars plicata over the ciliary crests and in the pars plana are strongly immunoreactive for vimentin, with fainter staining for cytokeratin 18, just the reverse of the staining pattern in the ciliary PE.26 The vimentin-positive intermediate fibers attach the cytoskeleton to adherens junctions and often indicate cells subject to tractional or cell-shape stresses. Fine actin filaments are present in the cytoskeleton of both epithelial cell types, without regional differences. Extensive cystic dilatations of the intercellular spaces between the NPE cells commonly occur in the posterior pars plana of adult eyes. Fine and Zimmerman2 showed that these spaces contain hyaluronidase-sensitive acid mucopolysaccharide and suggested it might be hyaluronic acid intended for the vitreous. An increased number of Golgi complexes in this region also suggests production of some glycoprotein.22 Immunostaining for the membrane-bound enzyme hyaluronan synthase is positive on the membranes of the primate posterior pars plana NPE cells and hyalocytes, consistent with local hyaluronan secretion.3 Interestingly, staining is equally intense over the crests of the ciliary processes.

Fig. 18. Posterior pars plana. A. Nonpigmented epithelial (NPE) cells appear tilted and compressed with dense cytoplasm. The extensive cystic dilatation of the intercellular spaces (IS) around these cells is characteristic of this region. Only the nucleus (N) and the many hydropic mitochondria are visible in the cytoplasm. The basement membrane under the pigment epithelium (PE) is multilaminarand thick. (X 5700) B. Higher magnification of asterisked region in A shows that the cytoplasm is full of branching and curved profiles of smooth endoplasmic reticulum (arrow), which is also typical of this region. M, mitochondrion. (X 22,000)

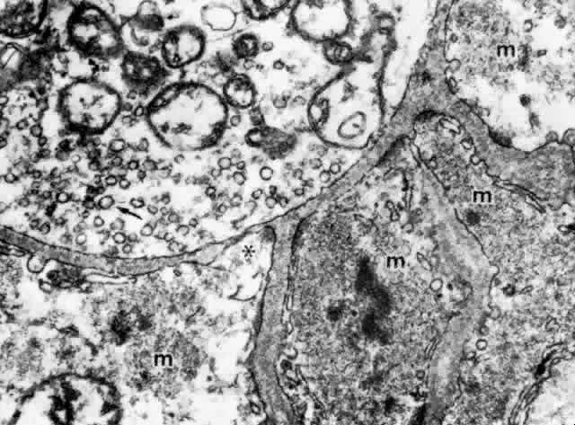
There are a large number of intercellular junctions between the ciliary epithelial cells, each giving important data about the specific functions of these cells (see Fig. 11). Toward the base of the NPE cells their lateral sides are joined by desmosomes (see Fig. 15). At their apical ends they are connected by typical tight junctional complexes consisting of a zonula occludens and zonula adherens (Fig. 19). These tight junctions represent the primary blood-aqueous barrier in the ciliary body. When large tracer molecules such as horseradish peroxidase are injected intravenously into primates,20,21 the tracer has an easy passage through the fenestrated capillaries of the ciliary processes, but does not pass beyond the apices of the NPE cells (see Fig. 19).

Fig. 19. Evidence of tight junctional complexes in the anterior ciliary epithelium of Macaca mulatta. The pigmented epithelial cells (PC) are outlined by a thin black line that is the reaction product of horeseradish peroxidase, a tracer substance injected intravenously in vivo. The tracer has entered the intercellular spaces of the nonpigmented epithelium (NPC) but is held up by occluding junctions (arrowheads), preventing further progress into the posterior chamber. (X 8450; Courtesy of Dr. Guiseppina Raviola)

The zonula occludens is the primary component of the blood-aqueous barrier “tight junction.” It appears as a focal area at which the bilayered plasmalemmal membranes of each cell surface are tightly joined (Fig. 20). Zonular adherens junctions occur adjacent to occludens junctions on the basal side. They show a 12- to 15-nm space between the adjoining cells, with filamentous matrix material clinging to the cell membranes on either side. By the freeze-fracture technique, the zonula occludens consists of branching anastomosing strands on the cytoplasmic side of the plasmalemmal membrane (P-face) and matching grooves on the external side (E-face), giving a quilted effect (Fig. 21). The variation in number of strands seen from area to area in the ciliary zonula occludens region23 is consistent with physiologic evidence that the NPE is leaky to ions and small molecules, rather than being an absolute barrier like that between the endothelial cells of the retinal vessels. Ohnishi and Kuwabara24 found the tight junctions of the anterior pars plicata had the fewest strands, explaining why this region is so sensitive to leakage after paracentesis in several species.

Fig. 20. Apical junction of two nonpigmented epithelial cells (NPE) showing focal zonula occludens (ZO) junctions (arrows), an adjacent zonula adherens (ZA), and desmosome (D), puncta adherentes (PA), and gap (G) junctions. PE, pigmented epithelium. (X 58,700)

Fig. 21. A zonula occludens “tight” junctional area (TJ) between nonpigmented epithelial cells in Macaca mulatta as seen by the freeze-fracture technique. It shows a network of anastomosing grooves (arrows) on the outer plasmalemmal leaflet, giving a quilted effect. A few fragments of the complementary strands from the inner leaflet (P-face) are still adherent. (X 60,500; Courtesy of Dr. Guiseppina Raviola)

Gap junctions occur in “extraordinary numbers” in the ciliary epithelium and may be found even among the strands of zonula occludens.23 At gap junctions, the surface membranes of the two cells run a very straight course. They are separated only by a 2- to 3-nm cleft, which becomes filled with reaction product in tracer experiments (Fig. 22, Inset). In freeze-fractured specimens, gap junctions are easily recognized as rounded patches of 8- to 9-nm particles arranged in crystalline-like array on the inner plasmalemmal leaflet (see Fig. 22), matched by pits on the outer surface. The plethora of gap junctions in the ciliary epithelium indicates that the cells are closely coupled for electrical and metabolic cooperative work across these sites of low ionic resistance.

Fig. 22. Inset. A gap junction between pigmented and nonpigmented epithelial cells (NPC) in Macaca mulatta. The tracer horseradish peroxidase, injected in vivo, has filled the small gap between the cell plasma membranes. Main figure. Gap junctions (GJ) at apex of nonpigmented epithelial cells are rounded aggregates of 8- to 9-nm particles (arrows) on the inner leaflet (P-face) of the plasmalemmal membrane. Zonula occludens-like strands are frequently seen at the periphery (arrowheads). (Freeze-fracture, X 34,000; Inset, X 168,000; Courtesy of Dr. Guiseppina Raviola)

Another structural feature in the ciliary epithelium that may be related to its secretory activity is the frequent attachment of mitochondria to desmosomal junctions in these cells.29 This relationship has been noted in many other secretory cells in the body. As the mitochondrion can sequester calcium, its proximity was suggested to protect against uncoupling of the desmosomal junction, when needed to control intercellular volume.

JUNCTION OF NONPIGMENTED AND PIGMENTED CILIARY EPITHELIAL CELLS

The junctions between the NPE and the PE are of great importance because these cells must work in metabolic concert and also overcome the intraocular stresses that tend to separate them. The first requirement is met by the presence of the largest number of gap junctions in the ciliary epithelium and the second by desmosomes as well as unusual junctions called puncta adherentes.23 The latter junction resembles the zonula adherens but is a focal adhesion, rather than a band around the cell (see Fig. 20). Like the zonula adherens, it has a loose mat of filmy filaments on either side and poorly seen matrix in the intercellular cleft. Both junctions lack the dense plaques present on each side of the desmosomal junction, with their attaching large (10-nm) intermediate filaments and central band in the intercellular cleft (see Fig. 15). Fine 4- to 6-nm contractile actin filaments may attach to the cell membrane at the puncta adherentes junctions23 and lend strength to intercellular junctions as well.26 According to Ober and Rohen,25 puncta adherentes occur in larger numbers in the ciliary valleys than over their crests, possibly to counteract the pull of zonular attachments in the valleys. The great frequency of desmosomes between the posterior pars plana cells may have a similar function. The gap junctions have a strong tendency to invaginate into the pigment epithelial cells, producing fingerlike prolongations.

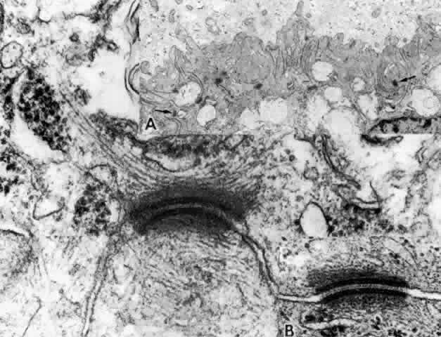
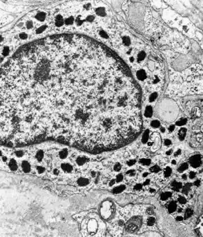
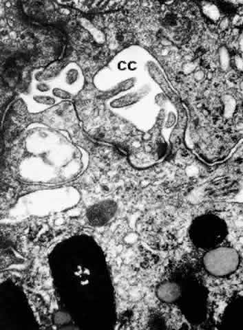
Another unusual structural differentiation between NPE and PE cells is the “ciliary channel,”16 (Fig. 23) an explanation for which has not yet been offered. These channels are small foci of dilated intercellular space that often contain fine granular material and have microvilli from the cell surfaces protruding into them.

Fig. 23. Ciliary channels (CC) between the pigmented and nonpigmented epithelium in the anterior pars plicata. Microvilli from the cell surfaces extend into these spaces. (X 35,000)

PIGMENTED CILIARY EPITHELIUM

The ciliary PE is in most regions a single layer from the ora serrata to the iris. The cells have a similar cuboidal shape in all parts of the ciliary body, from 10 to 12 μm in height and about 10 μm in width.4 Scattered irregularly through the pars plicata region and more regularly in the pars plana are small nodules of PE cells protruding more deeply into the stroma. These nodules of cells have small round nuclei and no lumina, thus not appearing to be glandular in nature (Fig. 24). It is suggested they may provide a stronger anchorage against tractional stresses in these regions.30

Fig. 24. Proliferation of the pigmented epithelium in the posterior pars plana region of a 29-year-old patient. Inset. An adjacent section after pigment bleaching reveals the multinodular pattern of this proliferation. (hematoxylin-eosin, X 500)

The lateral margins of the PE cells are straight, with the same junctions seen between NPE and PE cells, that is, gap junctions, desmosomes, and puncta adherentes.22,23 No zonula occludens is found, so this layer has no barrier function. However, in the most posterior pars plana adjacent to the retina, the PE cells appear to contain both carbonic anhydrase and Na+ /K+ -ATPase.27,28 Flugel and Lutgen-Drecoll28 suggest this stronger pump could prevent retinal edema in the region where the tight junction site switches from the apical NPE of the ciliary body to the apical PE of the retina.

The cytoplasm of the PE cell is more electron-dense than that of the NPE cell, containing many free ribosomes, actin filaments, and predominantly cytokeratin-containing intermediate filaments (Fig. 25).26 The mitochondria are smaller and fewer in number than in the NPE, as is the RER, and the Golgi apparatus is present irregularly. There are large numbers of rounded and some elliptical melanin pigment granules of the 0.8 μm to 2 μm size characteristic of neuroepithelium, and three to four times larger than those of the stromal pigment cells. A decrease in pigment granules occurs in the PE over the crests of the ciliary processes from the fourth decade of life. Lipid droplets and complex lipopigment granules are seen within the cytoplasm during aging (see Fig. 25). The base of the PE cell is markedly infolded, lying on a basement membrane that with aging develops a thick, multilaminar pattern generally denser than that over the NPE cells but also containing vesicular, fibrillar, and granular inclusions (Fig. 26). The basement membrane of the PE is often very close to or almost continuous with that of the fenestrated capillaries in the pars plicata region (Fig. 27).

Fig. 25. Ciliary pigmented epithelial cells in mid pars plana of a young adult. The cytoplasm is electron-dense with many tonofilaments (T) (intermediate filaments). Lipid droplets (L) are present around dark lysosomal residual bodies. Desmosomes connect the cells (arrow). The basal surface and intercellular junctional areas are markedly infolded, and the basement membrane is moderately thick. Negative images of collagen fibers (COL) are seen below, in the dense stroma typical of this region (X 17,500)

Fig. 26. Inset. Greatly thickened basal lamina under pigmented epithelial cell in (pe) pars plicata of 80-year-old patient. c, capillary. Higher magnification of area in inset shows mixed multilaminar and solid basement membrane with fine filaments, vesicles, and granular clumps, after fixation with Alcian blue to preserve glycosaminoglycans. (X 41,600; inset, X 10,330)

Fig. 27. Ciliary body stroma under the processes, anterior pars plicata. Even at age 19, the basement membrane is thick. Collagen and other fine filaments fill the narrow space between epithelium and fenestrated capillary wall (C). Inset. Arrowheads indicate fenestrae in wall. Clumps of tubular microfibrils (MF) of the elastic system are closely associated with the capillary wall. (X 17,300; inset, X 43,000)

CILIARY BODY STROMA

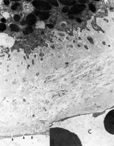
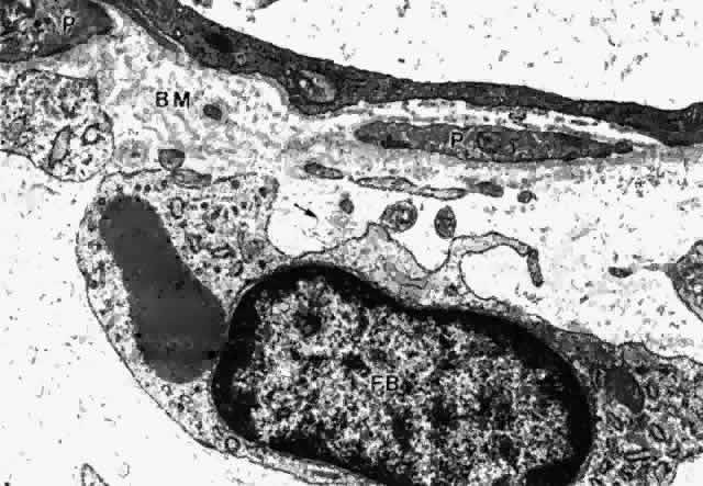
The stroma of the ciliary body contains all the usual components of extracellular matrix including collagens, elastic system fibers, and small matrix molecules such as proteoglycans. The cellular components are melanocytes, fibroblasts, blood vessels, and nerves, besides the large quantity of smooth muscle comprising the bulk of this tissue. In the first one and one-half decades the nonvascular connective tissue in the ciliary processes is scanty, resulting in the thin, underdeveloped appearance of the juvenile ciliary processes (Fig. 28A). Their vessels are primarily fenestrated capillaries and veins, forming plexi (see later section on blood supply). The subepithelial tissue in the processes and plicae becomes very much thickened by collagenous and hyaline material with aging (Fig. 28B and C), extending down to the ciliary muscle itself. In the deeper stroma, capillaries are usually not fenestrated and show intermittent pericytes outside the endothelial cell layer, surrounded by basement membrane that merges with that of the endothelial cells (Fig. 29). The ciliary processes are essentially vascular structures and do not contain extensions of the ciliary muscle, so the muscle has the same thickness under the processes as under the ciliary valleys (Fig. 30).

Fig. 28. Increase in cellularity and collagen density of ciliary process stroma with age (A, 2 years; B, 49 years; C, 72 years). Note focal proliferation of nonpigment epithelial cell caps (arrows) and increasing hyalinization of the plicae (asterisk). (All hematoxylin-eosin, X 200)

Fig. 29. Intermittent pericyte (P) coverage and lack of fenestrae in the endothelial cell wall characterize capillaries of the deeper stroma in the pars plicata. Basement membrane (BM) is multilayered. Fibroblast (FB) has active rough endoplasmic reticulum and a large cisterna with granular material. A small clump of elastic system microfibrils is seen at its upper edge (arrow). (X 20,900)

Fig. 30. Pars plicata of the ciliary body cut coronally, perpendicular to the usual plane. Ciliary muscle (CM) does not extend into the ciliary processes, but has the same thickness under processes and valleys. The anterior hyaloid membrane is visible above the processes (arrowheads). (hematoxylin-eosin, X 120)

The choriocapillaris does not continue forward into the ciliary body from the choroid, but a thin layer of elastica continuous with Bruch's membrane does (Fig. 31D). In the ciliary body, the elastica quickly becomes separated from the basement membrane of the ciliary PE by the interposition of a dense and then looser connective tissue (Fig. 31C). The elastic layer remains close to the underlying thin-walled pars plana veins (Fig. 31A), becoming increasingly discontinuous (Fig. 31B) with wider branching, and is finally lost under the pars plicata.

Fig. 31. Bruch's membrane in the ciliary body. A. In mid pars plana, Bruch's elastica is a dotted thin line (e), appearing continuous with vein walls. n, zonular bundles. (Toluidine blue, X 400) B. The dotted line is a network of small elastic fibers with homogeneous elastin cores (e), outside the fenestrated capillary wall. (Alcian blue, X 24,500) C. Elastica becomes thicker and more complete (arrow) further posteriorly in pars plana. Note nerve bundles (nv) and ciliary muscle bundles (cm) in stroma. (Toluidine blue, X 433) D. Elastica continues smoothly from end of pars plana (left arrow) into peripheral choroid (right arrow). (Toluidine blue, X 433)

Elastic fibers are composed of two major components, the 10- to 12-nm elastic system microfibrilswith 12-nm microperiodicity, and the homogeneous electron-lucent core of elastin. The elastic microfibril is tubular in cross section, beaded on rotary shadowing, and belongs to the same family as the zonular fibril.31,32 When aggregated together without elastin, these microfibrils are called oxytalan fibers (Fig. 32A). Elastin molecules are laid down on this microfibrillar template during elastogenesis (Fig. 32B), completely obscuring the microfibrillar substructure in mature elastic fibers (Fig. 32C). Nonelasticized oxytalan fibers are ubiquitous throughout most connective tissues and are plentiful throughout the ciliary body. They serve as connecting or anchoring fibers between basement membranes of epithelia, vessels, muscle bundles, and nerves, and link together different portions of the elastic fiber system in the ciliary body33 (see Figs. 27, 29, 33) as in other tissues.34 Incompletely elasticized fibers with many remaining microfibrils (elaunin fibers) are also seen (Fig. 32D).32 Besides the subepithelial elastica continuous with Bruch's membrane, mature elastic fibers are not frequent in the ciliary body except at the muscular insertions (see next section).

Fig. 32. Elastic fiber system. A. Bundles of elastic microfibrils (oxytalan) in zonule, showing 12-nm microperiodicity (arrow). (X 51,900) B. Developing elastic fiber with cords of amorphous electron-lucent elastin being laid down on the microfibrillar template. Orbit of 14-month-old child. Note same 12-nm microperiodicity (arrow). (X 51,700) C. Large mature elastic fiber (Bruch's elastica, tangential cut) at site of two branches (arrowheads). Scanty attachment microfibrils peripherally. Gold-labeled with elastin antibody. (X 51,700) D. Predominantly microfibrillar (arrows) elastic fibers (elaunin type) in trabeculum. Elastin-antibody binding to central white elastin cords (arrowhead) in 2-month-old infant. (X 51,700)

Fig. 33. Melanocyte with dense melanosomes in the ciliary stroma surrounded by collagen fibers and many bundles of elastic system microfibrils (MF), (oxytalan). A Schwann cell (SC) enveloping small nerve fibers is present below. (X 26,299)

The interstitial cells of the ciliary stroma are fibroblasts, melanocytes, and scattered mast cells, along with a large number of myelinated and unmyelinated nerves (see Fig. 33). The fibroblasts have scanty cytoplasm, many long, thin processes, and elongated nuclei with finely clumped chromatin. Organelles are rather scanty, with many free ribosomes and cilia. Segments of RER and Golgi apparatus are the primary organelles. The multiprocessed melanocytes are scanty except in melanosis oculi or in darkly pigmented individuals where they can be diffuse, containing the small 0.3 to 0.8 μm uveal type of melanosome (see Fig. 33).

Between the stromal cells, collagen fibrils of medium size (45-nm to 60-nm diameter, banded at 64 nm) are dispersed in a faint granular matrix. Types I, III, and VI collagen have been reported in the ciliary stroma, besides the type IV collagen in basement membranes.35,36 Type VI collagen fibrils are present mostly among the larger collagen bundles of the stroma around the ciliary muscle, between the muscle bundles, and as a component of the banded material associated with the anterior insertions of the ciliary muscle. In the loose connective tissue just behind the origin of the root of the iris lies the major arterial circle of the iris (See Blood Supply section). Branches of this system as yet unidentified are vulnerable to tearing in contusive injury to the globe when the iris root is suddenly displaced posteriorly, resulting in traumatic hyphema.

CILIARY MUSCLE

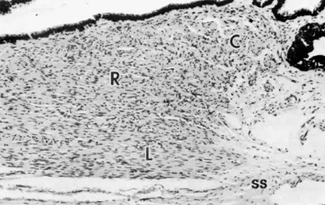
The ciliary muscle has a complex architecture, and its three dimensional organization and function have been difficult to visualize. Traditionally, the muscle is divided into three portions (Fig. 34): an outer longitudinal or meridional portion ( Brücke's muscle), a middle oblique portion (also called reticular or radial), and an inner circular component ( Müller's muscle). These regions are so interconnected that they were recognized early as designed to function like a single muscle mass when stimulated.37 Experimental evidence in humans, primates, and other mammals supports the view that the contracting ciliary muscle undergoes a shortening with anterior traction on the ora serrata region, and an inward and posterior pull on the scleral spur and trabeculum.6,38–40 Contraction of the oblique and circular portions in particular contributes a strong anterior and inward movement of the processes. The result is a well coordinated anterior-inward squeezing effect, displacing the processes toward the lens equator, and resulting in relaxation of zonular pull on the lens capsule. This inward movement of the ciliary processes has been dramatically shown by cinematography in primates after iridectomy.41

Fig. 34. Ciliary muscle showing circular (C), radial (R), and longitudinal (L) divisions and their relation to the scleral spur (ss) at age 2. A rare muscle bundle is present in the iris root. (hematoxylin-eosin, X 250)

Several investigators have used somewhat different schemata based on muscle dissection to illustrate the ciliary muscle fiber topography that allows such a complex yet coordinated muscle movement. The muscle fibers are visualized as each arising by two heads in interdigitating V patterns (Fig. 35).37,42,43 The two heads are close together in the longitudinal muscle so the fibers pass in an almost straight anteroposterior direction. For the oblique muscle fibers, the angle between the two heads is wider and for the circular muscle fibers is obtuse, allowing the latter to function in an almost purely circular plane.

Fig. 35. Diagram of ciliary muscle divisions: circular (C), radial (R), and longitudinal (L). Anterior attachments to the collagenous scleral spur (SP) and the trabecular beams are indicated. SC, Schlemm's canal. (Modified from Hogan MJ, Alvarado JA, Weddell JE: Histology of the Human Eye. Philadelphia, WB Saunders, 1971; and Rohen JW: Der Ziliarkorper als functionelles System. Morph Jahrbuch 92:415, 1952)

The great bulk of the ciliary muscle lies in the anterior two thirds of the ciliary body (see Fig. 5). At the light microscopic level in the child, the longitudinal muscle shows a primary attachment to the scleral spur and to the outer corneoscleral and uveal trabecular meshwork, while the oblique radial fibers have more connection to the inner uveal meshwork (see Fig. 34). The circular muscle attachments are primarily to the adjacent ciliary and iris root stroma. During aging the addition of significant fibrous tissue and hyaline greatly increases the bulk of the radial and circular muscles (Fig. 36) but not the longitudinal muscle. Tamm, Tamm, and Rohen44 found that connective tissue comprised about half of the oblique muscle in the 50- to 60-year-old age group. The circular muscle was also significantly increased in area and partially separated from the oblique muscle by this connective tissue, which was continuous with hyaline in the processes. The overall effect of aging on the ciliary muscle made it shorter in length and greater in area with a prominence of the circular muscle, resulting in a forward and inward configuration resembling the accommodated state. Others have described some atrophy of the muscle with decreased nuclei, particularly in the circular muscle and over the age of 40 years.45

Fig. 36. Dense pale hyaline deposition (arrow) between the circular (C) and radial (R) but not the longitudinal (L) muscle bundles of a 64-year-old patient. Compare with Figure 34 from 2-year-old child. (hematoxylin-eosin, X 250)

In the young eye, connective tissue is scanty between the muscle bundles and much like that of the stroma previously described, with similar collagen types, fine granular ground substance, small numbers of unfenestrated capillaries, and occasional melanocytes, but a great increase in myelinated and unmyelinated nerve fibers. Elastic fibers are few in most of the muscle, but many clumps of oxytalan microfibrils are associated with muscle, nerve, and vascular basement membranes (see Fig. 33), where they appear to serve as anchoring structures.

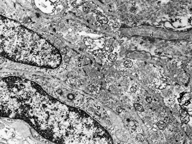
The ultrastructure of the ciliary muscle fibers resembles that of smooth muscle elsewhere, with a few interesting differences. The muscle bundles are surrounded by a sheath of flattened fibrocytes rather than primarily by collagen fibers (Fig. 37),46–48 showing that they belong to the multiunit family of smooth muscles instead of the syncytial family.49 Each fiber is covered by a continuous basement membrane and has many pinocytotic vesicles or caveolae on the plasmalemmal membrane. The fiber is filled with 60- to 70-nm myofibrils that show the usual attachment densities among them, as well as focally where they attach to the basement membranes (Fig. 38). These myofibrils are the intermediate filaments of the cell and contain the protein desmin, used to identify smooth or skeletal muscle cells by immunohistochemistry. A less specific protein, smooth muscle actin, is also present but characterizes myofibroblasts as well. Mitochondria and endoplasmic reticulum are more numerous and Golgi apparatus better developed than in most smooth muscle cells. Occasional desmosomes interconnect the cells but no gap junctions. Studies of muscle enzymes have suggested that there may be functional differences between the longitudinal muscle and the radial-circular muscle complex.50 The longitudinal muscle cells, particularly their anterior tips, are heavily fibrillar with fewer mitochondria than the other muscles and have enzyme characteristics somewhat like those of skeletal rapid twitch fibers. It is hypothesized that their multiunit structure might allow the muscle tips to react first in accommodation, stiffening them to counteract the posterior pull of the remaining muscle on the scleral spur.

Fig. 37. Inset. Thin fingers of fibrocyte cytoplasm (arrows) surround a bundle of ciliary muscle fibers. Main figure. Three muscle fibers (m) surrounded by processes of a fibrocyte (f). Thick basement membrane around each muscle fiber and several nerve terminals are visible. (X 33,800; Inset, X 8500)

Fig. 38. Elongated radial muscle fibers surrounded by basement membranes have large mitochondria, Golgi apparatus (g), and many central and peripheral densities (d). (X 21,400) Inset. The plentiful smooth muscle myofibrils in the cytoplasm attach to the densities in both central and peripheral locations (d). (X 70,000)

The ciliary muscle is richly innervated with large numbers of cholinergic nerve terminals. These show primarily the small agranular vesicles characteristic of cholinergic neuromuscular junctions51 (Fig. 39), consistent with the virtually complete inhibition of ciliary muscle contraction resulting from use of atropine. Most investigators have described three types of neuromuscular junctions in the ciliary muscle.46–48,51–53 The most common synaptic junction has an indirect muscle cell contact, with basement membrane intervening; direct contacts are less frequent (see Fig. 39).

Fig. 39. Dense and lighter muscle fibers (m) around an unmyelinated nerve fiber terminal that contains many mitochondria and small agranular synaptic vesicles (arrow), indicating that this is aneuromuscular parasympathetic junction. Indirect contacts with intervening basement membrane and one (asterisk) site of direct cell-to-cell contact are seen. (X 53,000)

Lipofuscin deposition in the muscle cells usually begins after the age of 50,54 as well as an increase in lysosomal vacuoles, occasional lipid droplets, and membranous whorls that may derive from degenerate endoplasmic reticulum or myofibrils no longer anchored to their densities.54,55

THE ANTERIOR INSERTION OF THE CILIARY MUSCLE

The possibility that the ciliary muscle fibers insert anteriorly in the region of the scleral spur via “elastic tendons” was proposed by Rohen several decades ago.37 He and his colleagues have made continual progress in understanding the anterior muscle insertion and more recently the posterior insertion, adding a new hypothesis about the cause of accommodative loss with aging. Three types of anterior tendons are described.56 One attaches the tapering longitudinal muscle bundles to the anterior sclera and scleral spur, and the second anchors in the trabecular meshwork. Both consist of fibers described as elastic-like, showing extensive connections to the elastic fibers of the scleral spur and the juxtacanalicular elastic system (“cribriform plexus”56) as well as to the trabecular meshwork (Fig. 40). The fibers were called elastic-like because they do not resemble normal elastic fibers and are not completely digested by elastase. Ultrastructurally in the infant they contain a relatively small amount of elastin in unfused cords with large numbers of elastic system microfibrils, like an elaunin fiber (see Fig. 32D). However, the microfibrils become obscured by 50-nm granular banded “sheath” material by the second decade, and later an outer layer of 100-nm banded material. This coating is reported to contain collagen VI and chondroitin sulfate.57 The banded material increases markedly with age and in chronic open-angle glaucoma. The origin of the third type of tendons is less clear, but they are broad collagenous bands that cross the meshwork to insert in the peripheral corneal stroma.

Fig. 40. Elastic fibers and insertion of anterior ciliary muscle. Tangential section showing fine black elastic fibers (arrows) extending from the tapering ends of the longitudinal ciliary muscle (CM), blending into the circumferential elastica of the scleral spur (SS) and the corneoscleral meshwork (CSM). (Verhoeff's stain X 500)

During the posterior-inward movement of the scleral spur during ciliary muscle contraction, the tendons cause fanning of the trabecular tissues, opening the intertrabecular spaces and pores more widely.6,40 This mechanical action may facilitate filtration, by aiding wash-out of trabecular debris. It is thought to be the basis for pilocarpine's effect on outflow in glaucoma and is abolished in primates by disinserting the ciliary muscle from the scleral spur.58

Ultrastructurally, the anterior ends of the ciliary muscle fibers taper toward their attachment at the scleral spur and the trabecular meshwork, associated with a plethora of elastic microfibrils and small banded elastic fibers running parallel to them (Fig. 41). In areas of elastic fiber contact, there are dense focal bands on the muscle cell membrane to which intracellular actin filaments are attached. This kind of contact is similar to elastic tendons connecting the arrector pili smooth muscle fibers to hair follicles, where the tendons are composed of oxytalan and elaunin fibers.59 However, there has rarely been reference to the unique 50-nm banding on these nonocular elastic fibers. Accompanying collagen fibers running along the ciliary muscle in the same direction may be part of the tendon. With aging, the tendons are enveloped by extensive fibrogranular elastotic debris besides banded material (Fig. 42).

Fig. 41. Insertion of the anterior ciliary muscle (CM). Muscle fiber tips are densely fibrillar and surrounded by basement membrane, except between areas where elastic tendons attach (asterisks). The tendons are composed of long bundles of elastic microfibrils (arrows) and banded elastic fibers attaching near dense areas on the muscle cell wall. Cords of amorphous elastin (arrowheads) in the banded fibers are identified by gold-labeled elastin antibody. (X 37,200)

Fig. 42. Inset, top right. Tendinous attachments (arrows) of ciliary muscle fibers (CM) to the scleral spur (SS) and trabecular beams in a 70-year-old. (hematoxylin-eosin, X 500) Main figure and bottom right inset. Tapering ciliary muscle fibers (m) surrounded by granular elastotic debris and collagen in the scleral spur region of same eye. (X 26,300)

The association of the anterior elastic tendons with the circumferential elastic system in the scleral spur has acquired new importance with the finding that the scleral spur cells associated with this system are myofibroblasts.60 They express muscle-specific actin and vimentin but not desmin, and show many ultrastructural differences from true muscle fibers, such as the presence of gap junctions and incomplete basement membranes. Like other myofibroblasts, they are thought to be contractile61 and appear to be innervated at least in part by adrenergic fibers. If so, they could be responsive to epinephrine and have an effect on aqueous outflow complementary to that of the ciliary muscle.60

THE POSTERIOR ATTACHMENTS OF THE CILIARY MUSCLE

The posterior attachments of the ciliary muscle have been studied extensively in young and old primates (rhesus monkeys). Their elastic tendons have many associated elastic microfibrils as in the anterior tendons, but their elastin content is greater, with broader areas of more mature fibers (Fig. 43A).62 The tendons have connections to the elastica surrounding the pars plana vessels (Fig. 43B), and both have connections with the elastica of Bruch's membrane. These elastic structures are connected to each other as well as to the basement membranes of the ciliary epithelium and vascular walls by oxytalan fibers (elastic microfibrils), so that the whole complex can function as a unit.33,62,63 What percent of the tendons have direct attachments to Bruch's elastica is still somewhat uncertain, as it is difficult to follow the elastic fibers in their three-dimensional course, but the elastic network is extensive enough to support the concept of a coordinated action.

Fig. 43. Insertion of the posterior ciliary muscle (m) in the pars plana. A. Elastic tendons are seen associated with the three central thin muscle tips. The tendons are networks of elastic fibers (el), some aggregated oxytalan fibers (arrows), infrequent small elaunin fibers (arrowhead), interconnected by diffuse elastic microfibrils. Basement membranes are interrupted where tendons attach to the cells. Stained with gold-labeled elastin antibody. (X 30,700) B. Perivascular elastica (el) showing microfibrillar interconnections adjacent to a knobby Bruch's membrane (asterisk). (X 19,600) C. Bruch's membrane cut parallel to its surface, showing excrescences with attaching elastic microfibrils (asterisks) and closely associated collagen fibrils (arrows). A-C, at age 17.

The posterior tendons resemble large elastic tendons elsewhere,59 showing invagination of the terminal ends of the muscle fibers, and dense plaques on the plasmalemma with interruption of the basement membrane where the cells attach closely to elastic tissue. Aging changes in these posterior tendons, however, are quite different from those in the anterior tendons. By the second decade there are knobby excresences of elastin and dense granular material on Bruch's elastica (see Fig. 43B), some at branching sites. Other protrusions suggest attachment sites for oxytalan and elastic fibers or collagen (Fig. 43C), connecting Bruch's elastica to the pigment epithelial basement membrane and to the stromal elastica. The whole insertion region in the inner pars plana stroma increasingly becomes filled with large collagen fibers and electron-dense amorphous and granular material of a hyaline degenerate type, rather than of the banded and elastotic type seen anteriorly. This fibrotic hyalinized tissue is hypothesized to be a major cause of accommodative loss with age, as it would tend to “fix” the muscle in place, preventing forward movement, and also to reduce the amount of elastic tension available for a return to the nonaccommodated state.62

SUPRACILIARIS

No unusual histologic characteristics of the junction between the ciliary body and sclera (lamina fusca, supraciliaris) have been described and specifically no intercellular tight junctions that would impede the passage of fluid between these two tissues. The accumulation of fluid in the supraciliaris when the ciliary body is detached demonstrates the lamellar arrangement of connective tissue in this area. An important uveoscleral route for aqueous outflow passes posteriorly through the loose stroma of the anterior ciliary face and between the fibers of the longitudinal ciliary muscle, back along the supraciliaris, to enter the ciliary and vortex vein systems.63,64 Passage along the scleral canals into the episcleral veins also occurs. The percent of daily aqueous flow exiting via this extrascleral route varied from 30% in young eyes when measured by fluorophotometry,64 to 11% in 60-year-old eyes as measured directly.65

Back to Top
BLOOD SUPPLY OF THE CILIARY BODY
Studies on the ciliary body circulation, using scanning electron microscopy of methacrylate vascular casts, have greatly clarified this complex subject in recent years. The primate vasculature66–68 has been more extensively investigated than the human69,70but is sufficiently closely related to form a basis for understanding the human variations (Fig. 44). The blood supply to the ciliary body derives from two long posterior ciliary arteries and seven anterior ciliary arteries, two from each rectus muscle except for the lateral rectus, which provides only one. After leaving the rectus muscles, the anterior ciliary arteries send branches to form an anterior episcleral plexus around the corneal limbus.66,69 The remaining vessels divide into 10 to 20 branches before or after penetrating the sclera to enter the ciliary muscle, at the posterior border of the pars plicata. The lateral rectus vessel contributes only 0 to 2 branches. Within the ciliary muscle, an incomplete intramuscular circle or plexus is formed, primarily from branches of the anterior ciliary arteries with variable anastomoses to branches of the long posterior ciliary arteries.66–69 The intramuscular circle supplies particularly the outer and posterior part of the capacious capillary circulation of the ciliary muscle (see Figs. 44A, Figs. 45A) and sends recurrent branches back to join the peripheral choriocapillaris. Branches of the anterior ciliary arteries also supply the iris directly or from branches of the intramuscular circle and contribute to the major arterial circle of the iris.

Fig. 44. Diagram of ciliary body vasculature. A. Branches of anterior ciliary perforating artery (ACA) and long posterior ciliary artery (LPCA). ACA branches: 1. Branches forming the intramuscular circle. 2. Branch to MACI, especially contributing to the superior and inferior circle. 3. Branch to outer and posterior ciliary muscle. 4. Recurrent artery to peripheral choroid. 5. Branch to iris. LPCA branches: 6. Primary branches supplying the MACI. 7. Branch to the intramuscular circle. B. Major arterial circle of the iris (MACI) and its branches to ciliary process. 1. Arteriole to base and anterior edge of the ciliary process. 2. Arteriole directly to marginal venous sytem. 3. Arteriole supplying middle of ciliary process through venous capillaries to marginal venule. 4. Arteriole to posterior ciliary process and minor processes. 5. Marginal venule. 6. Arteriole to iris. 7. Iris vein. 8. Arteriole to anterior and inner ciliary muscle. 9. Pars plana veins. (Compiled from multiple sources: Funk R, Rohen JW: Exp Eye Res 47:653, 1988 and 51:651, 1990; Morrison JC, Van Buskirk EM: Ophthalmology 90:707, 1983; Am J Ophthalmol 97:372,1984; and Morrison, unpublished).

Fig. 45. Scanning electron micrographs of human ciliary body vasculature after injection with methylmethacrylate. A. Anterior ciliary perforating artery (ACA) to intramuscular plexus (IMC), supplying the profuse capillary bed (CAP) of the anterior ciliary muscle. (X 54) B. Vasculature of a single ciliary process, supplied by anterior (AA) and posterior (PA) arterioles from the major arterial circle of the iris (MACI). The dilated marginal venules (MV) are clearly visible along the crest of the process and, along with a posterior venule, drain into three pars plana veins (PPVs). Many constricted segments seen in terminal arterioles to anterior and mid portion of the process. (X 96) C. Higher power view of constricted arterioles (arrows) to anterior edge of process. (X 300) (Courtesy of Dr. John Morrison)

The two long posterior ciliary arteries run forward within the suprachoroidal space in the medial and lateral horizontal plane, dividing close to the posterior edge of the ciliary body into two or more divisions (see Fig. 5). These pass forward in the ciliary muscle with some branches to the intramuscular circle but primarily become the main components of the major arterial circle of the iris (MACI) in the human (see Fig. 44A).69,70 Branches of the anterior ciliary arteries also contribute to the MACI, particularly in the superior and inferior regions, which the long posterior ciliary arteries do not completely perfuse. Although usually depicted as a continuous circle, the MACI may also be incomplete, with only overlapping but separate branches joining different sectors and different arterial sources rather than a continuous arcade. However, anastomoses between the two main arterial systems are frequent elsewhere, and the MACI can be filled experimentally by injecting vessels of either type.69 Iris arteries derive from the MACI as well as the intramuscular circle. Angiographic filling delays in the iris after vertical rectus muscle surgery are well documented,71 apparently resulting from greater dependency of the vertical regions on the anterior ciliary arteries,66 due to insufficient collateralization from the long posterior ciliary vessels.

The MACI is primarily concerned with supplying the extensive vascular plexus of the ciliary processes (see Fig. 44B). In the human, several arterioles from the MACI enter each process (Fig. 45B), forming what Funk and Rohen have described as three “vascular territories,” which occur also in other species and may have functional significance.69 The most anterior one is a small arteriolar-capillary network supplying the anterior edge and base of a major process with veins draining separately into the posterior pars plana. The second territory includes some arterioles continuing more or less directly into dilated venous capillaries traversing the crests of the processes where they enter into one or two large marginal venules. These marginal venules continue into the pars plana as large parallel pars plana veins, and in the choroid empty directly into the vortex veins. Other arterioles in the second territory supply the central portion of the ciliary processes as a network of venous capillaries, eventually opening into the marginal venules. The third vascular territory involves arterioles from the MACI perfusing the posterior third of the major processes and emptying also into the marginal venules. The minor ciliary processes are supplied similarly by these posterior vessels.

The arterioles supplying the anterior processes in the first and second territories often show long, constricted segments (100 to 120 μm in length)67–69 as they enter the processes (Fig. 45C). These sites are markedly enhanced by epinephrine, which can completely prevent perfusion of the vessels in both primates and humans.68,69 The posterior circulation does not have arteriolar constrictions responsive to epinephrine but has many anastomoses with the capacious capillaries of the ciliary muscle. The more highly specialized vasculature of the anterior ciliary body is undoubtedly related to aqueous secretion. Its epinephrine-sensitive regions may be the sites shown by immunostaining to contain adrenergic nerves harboring VIP (vasoactive intestinal peptide)-like terminals.72 These terminals have been noted particularly around large arterioles in the anterior ciliary body and anterobasal region of the processes and are thought to be important for regulation of aqueous secretion.

The strikingly dilated marginal venules, some opening directly from arterioles, must also be relevant to aqueous secretion. Similar marginal venules in rabbit processes have a very high blood-flow velocity, constituting what has been called a thoroughfare channel, bypassing the capillary circulation.73 This marginal region has a low arteriovenous pO2, representing a relative overperfusion that may be advantageous for aqueous secretion and provision of O2 to the pars plana, which has no direct arterial supply.74 Arterioles from the MACI directly supply the inner anterior third of the ciliary muscle. Extensive drainage into the choroidal veins occurs from both the MACI and the intramuscular vascular circles and also into the episcleral veins. Previous observations by angiography that the anterior ciliary arteries fill from inside the eye75 have not been supported by intravascular pressure studies.76 Morrison and Van Buskirk,66 however, suggest that the large caliber of the intramuscular circle could allow bidirectional flow under certain physiologic and hydrostatic conditions.

Back to Top
NERVE SUPPLY OF THE CILIARY BODY
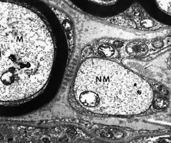
The ciliary body is well supplied with nerves, both myelinated and unmyelinated (Fig. 46), of parasympathic, sympathetic, and sensory types. The parasympathetic nerve fibers originate in the Edinger-Westphal nucleus and travel in the oculomotor nerve.51,77 They synapse in the ciliary ganglion and in small numbers of local ganglia within the ciliary nerves, before forming extensive plexuses around the ciliary muscle fibers. Accommodative function is subserved by this parasympathetic system. Some have questioned whether synapse is actually made in the ciliary ganglion.78 Most studies, however, support such synapses as the major function of the ciliary ganglion.51,79

Fig. 46. Myelinated (M) and unmyelinated (NM) nerves surrounded by Schwann cell cytoplasm. Ciliary muscle fiber below. Long-spacing collagen fiber (asterisk) is a degenerative change in this 20-year-old patient. Small elastic fiber (elaunin) in bend of Schwann cell (arrow). (X 33,300)

An extensive sympathetic fiber plexus is present in the ciliary process subepithelial region, deriving from sympathetic nerves accompanying the ciliary arteries.80 Whether any fibers from this plexus innervate the ciliary epithelium in the human is uncertain.81 Some sympathetic nerves also reach the ciliary muscle by means of the sympathetic root of the ciliary ganglion and the long ciliary nerves. It has been estimated that 1% to 2% of ciliary muscle terminals in monkeys are of sympathetic origin,80 although their function is uncertain. A surprising degree of simultaneous degeneration and regeneration of autonomic nerve fibers has been shown in the anterior ciliary muscle of normal rhesus monkeys during aging, interpreted as evidence of a continual renewal process.53 The sensory innervation of the ciliary body has not been well studied in the human, but sensory end bulb-like structures have been described by silver staining in the stroma between the muscle fibers.1a Similar structures recently described in the scleral spur are postulated to be mechanoreceptors.82


This work was funded in part by Research Grant EYO1602 from the National Eye Institute, National Institutes of Health. The author acknowledges Patricia A. Licari, BA; Robert N. Wallace, BS; and Yue Qi, MD, for expert technical assistance.
Back to Top
REFERENCES

1. Duke-Elder S, Wybar KC: The Ciliary body. In System of Ophthalmology, Vol II, p 146; a, 155–156. London, Henry Kimpton, 1961

2. Fine BS, Zimmerman LE: Light and electron microscopic observations on the ciliary epithelium in man and rhesus monkey. Invest Ophthalmol Vis Sci 2:105, 1963

3. Lutjen-Drecoll E: Histochemical and immunohistochemical localization of hyaluronan and hyaluronan synthase in the anterior eye segment. In Lutgen-Drecoll E (ed): Basic Aspects of Glaucoma Research III, p 53. Stuttgart, Schattauer, 1993

4. Salzmann M: The Anatomy and Histology of the Human Eyeball, p 107. Chicago, University of Chicago Press, 1912

5. Straatsma BR, Landers MB, Kreiger AE: The ora serrata in the adult human eye. Arch Ophthalmol 80:3, 1968

6. Lutjen-Drecoll E, Tamm E, Kaufman PL: Age-related loss of morphologic responses to pilocarpine in rhesus monkey ciliary muscle. Arch Ophthalmol 106:1591, 1988

7. Stevenson TC: Intrascleral nerve loop. Am J Ophthalmol 55:935, 1963

8. Orgul SI, Daicker B, Buchi ER: The diameter of the ciliary sulcus: A morphometric study. Graefes Arch Clin Exp Ophthalmol 23:487,1993

9. Davis RM, Campbell DM, Jacoby BG: Ciliary sulcus anatomical dimensions. Cornea 10:244, 1991

10. Smith SG, Snowden F, Lambrecht EG: Topographical anatomy of the ciliary sulcus. J Cataract Refract Surg 13:543, 1987

11. Apple DJ, Price EW, Gwin T et al: Sutured retropupillary posterior chamber intraocular lenses for exchange or secondary implantation. The 12th Annual Binkhorst Lecture. Ophthalmology 96:1241, 1989

12. Champion R, McDonnell PJ, Green WR: Intraocular lenses. Histopathologic characteristics in a large series of autopsy eyes. Surv Ophthalmol 30:1, 1985

13. Spencer LM, Foos RY, Straatsma BR: Meridional folds and meridional complexes of the peripheral retina. Trans Am Acad Ophthalmol Otolaryngol 73:204, 1969

14. Eisner G: Clinical examination of the vitreous. Trans Ophthalmol Soc UK 95:360, 1975

15. Streeten BW: Anatomy of the zonular apparatus. In Tasman W, Jaeger EA (eds): Duane's Foundations of Clinical Ophthalmology. Philadelphia, JB Lippincott, 1992

16. Bairati AJ, Orzalesi N: The ultrastructure of the epithelium of the ciliary body. Z Zellforsch Mikrosk Anat 69:635, 1966

17. Rentsch FJ, van der Zypen E: Altersbedingte Veranderungen der sog. Membrana limitans interna der Ziliarkorpers im menschlichen Auge. Altern und Entwicklung 1:70, 1971

18. van der Zypen E, Rentsch FJ: Altersbedingte Veranderungen am Ziliarepithel des menschlichen Auges. Altern und Entwicklung 1:37, 1971

19. Raviola G: The fine structure of the ciliary zonule and ciliary epithelium with special regard to the organization and insertion of the zonular fibrils. Invest Ophthalmol Vis Sci 10:851, 1971

20. Smith RS, Rudt LA: Ultrastructural studies of the blood-aqueous barrier. 2. The barrier to horseradish peroxidase in primates. Am J Ophthalmol 76:937, 1973

21. Raviola G: Effects of paracentesis on the blood-aqueous barrier: An electron microscopy study on Macaca mulatta using horseradish peroxidase as a tracer. Invest Ophthalmol Vis Sci 13:828, 1974

22. Hara K, Lutjen-Drecoll E, Prestele H, Rohen JW: Structural differences between regions of the ciliary body in primates. Invest Ophthalmol Vis Sci 16:912, 1977

23. Raviola G, Raviola E: Intercellular junctions in the ciliary epithelium. Invest Ophthalmol Vis Sci 17:958, 1978

24. Ohnishi Y, Kuwabara T: Breakdown site of blood-aqueous barrier in the ciliary epithelium. Invest Ophthalmol Vis Sci (suppl)18:241, 1979

25. Ober M, Rohen JW: Regional differences in the fine structure of the ciliary epithelium related to accommodation. Invest Ophthalmol Vis Sci 18:655, 1979

26. Eichorn M, Flugel C, Lutjen-Drecoll: Regional differences in the distribution of cytoskeletal filaments in the human and bovine ciliary epithelium. Graefes Arch Clin Exp Ophthalmol 230:385, 1992

27. Lutjen-Drecoll E, Lunnerholm G, Eichhorn M: Carbonic anhydrase distribution in the human and monkey eye by light and electron microscopy. Graefes Arch Klin Exp Ophthalmol 220:285, 1983

28. Flugel C, Lutjen-Drecoll E: Presence and distribution of Na+ /K+ -ATPase in the ciliary epithelium of the rabbit. Histochemie 88:613, 1988

29. Freddo TF: Mitochondria attached to desmosomes in the ciliary epithelia of human, monkey, and rabbit eye. Cell Tissue Res 251:671, 1988

30. Lutjen-Drecoll E: Functional morphology of the ciliary epithelium. In Lutjen-Drescoll E (ed): Basic Aspects of Glaucoma Research, p 69. Stuttgart, Schattauer, 1982

31. Streeten BW, Licari PA, Marucci RM, Dougherty RM: Immunohistochemical comparison of the zonular fibrils and elastic tissue microfibrils. Invest Ophthalmol Vis Sci 21:130, 1981

32. Streeten BW: Elastic fibers and microfibrils in the eye. In Lutjen-Drecoll (ed): Basic Aspects of Glaucoma Research III, p 67. Stuttgart, Schattauer, 1993

33. Streeten BW, Licari PA: The zonules and the elastic microfibrillar system in the ciliary body. Invest Ophthalmol Vis Sci 24:667, 1983

34. Cotta-Pereira G, Rodrigo FG, Bittencourt-Sampaio S: Oxytalan, elaunin, and elastic fibers in the human skin. J Invest Dermatol 66:143, 1976

35. Rittag M, Lutjen-Drecoll E, Rautenberg J et al: Type VI collagen in human iris and ciliary body. Cell Tissue Res 259:305, 1990

36. Marshall GE, Konstas GP, Abraham S, Lee WR: Extracellular matrix in aged human ciliary body: An immunoelectron microscope study. Invest Ophthalmol Vis Sci 33:2546, 1992

37. Rohen JW: Der Ziliarkorper als funktionelles System. Morph Jahrbuch 92:415, 1952

38. Araki M: Changes of the ciliary region and the ciliary zonule in accommodation. Jpn J Ophthalmol 9:150, 1965

39. Rohen JW, Unger H-H: Studies on the morphology and pathology of the trabecular meshwork in the human eye. Am J Ophthalmol 46:803, 1978

40. Grierson I, Lee WR, Abraham S: Effects of pilocarpine on the morphology of the human outflow apparatus. Br J Ophthalmol 62:3022, 1978

41. Neider MW, Crawford K, Kaufman PL, Bitu LZ: In vivo videography of the rhesus monkey accommodative apparatus. Age-related loss of ciliary muscle response to central stimulation. Arch Ophthalmol 108:69, 1990

42. Calasans OM: The ultrastructure of the ciliary muscle of Zinn. An Fac Med Univ Sao Paulo 27:3, 1953

43. Hogan MJ, Alvarado JA, Weddell JE: Histology of the Human Eye, p 307. Philadelphia, WB Saunders, 1971

44. Tamm S, Tamm E, Rohen JW: Age-related changes of the human ciliary muscle. A quantitative morphometric study. Mech Ageing Dev 62:209, 1992

45. Nishida S, Mizutani S: Quantitative and morphometric studies of age-related changes in human ciliary muscle. Jpn J Ophthalmol 36:380, 1992

46. Ishikawa T: Fine structure of the human ciliary muscle. Invest Ophthalmol Vis Sci 1:587, 1962

47. van der Zypen E: Licht und elektronen mikroskopische Untersuchungen uber den Bau und die Innervation des Ziliarmuskels bei Mensch und Affe (Cercopithecus aethiops). Graefes Arch Clin Exp Ophthalmol 174:143, 1967

48. Uga S: Electron microscopy of the ciliary muscle. Acta Soc Ophthalmol Jpn 72:1019, 1968

49. Bozler E: Conduction, automaticity, and tonus of visceral muscle. Experientia 4:213, 1948

50. Flugel C, Barany EH, Lutjen-Drecoll E: Histochemical differences within the ciliary muscle and its function in accommodation. Exp Eye Res 50:219, 1990

51. Ruskell GL: Innervation of the anterior segment of the eye. In Lutjen-Drecoll E (ed): Basic Aspects of Glaucoma Research, p 49. Stuttgart, Schattauer, 1982

52. Townes-Anderson E, Raviola G: Giant nerve fibers in the ciliary muscle and iris sphincter of Macaca mulatta. Cell Tissue Res 169:33, 1976

53. Townes-Anderson E, Raviola G: Degeneration and regeneration of autonomic nerve endings in the anterior part of rhesus monkey ciliary muscle. J Neurocytol 7:583, 1978

54. van der Zypen E: Licht und elektronen mikroskopische Untersuchungen uber die alters Veranderungen im M. ciliaris im menschlichen Auge. Graefes Arch Clin Exp Ophthalmol 179:332, 1970

55. Tamm E, Lutjen-Drecoll E, Rohen JW: Age-related changes of the ciliary muscle in comparison with changes induced by treatment with prostaglandin F22. Mech Ageing Dev 51:101, 1990

56. Rohen JW, Futa R, Lutjen-Drecoll E: The fine structure of the cribriform meshwork in normal and glaucomatous eyes as seen in tangential sections. Invest Ophthalmol Vis Sci 21:574, 1981

57. Lutjen-Drecoll E, Rittag M, Rauterberg J et al: Immunoelectron microscopical study of Type VI collagen in the trabecular meshwork of normal and glaucomatous eyes. Exp Eye Res 48:139, 1989

58. Kaufman PL, Barany EH: Loss of acute pilocarpine effect on outflow facility following surgical disinsertion and retrodisplacement of the ciliary muscle from the scleral spur in cynomolgus monkey. Invest Ophthalmol Vis Sci 15:793, 1976

59. Rodrigo FG, Cotta-Pereira G, David-Ferreira JF: The fine structure of the elastic tendons in the human arrector pili muscle. Br J Dermatol 93:631, 1975

60. Tamm E, Flugel C, Stefani FH, Rohen JW: Contractile cells in human scleral spur. Exp Eye Res 54:531, 1992

61. Skalli O, Gabbiani G: The biology of the myofibroblast: Relation to wound contraction and fibrocontractive diseases. In Clark RAF, Henson PM (eds): The Molecular and Cellular Biology of Wound Repair, p 373. New York, Plenum Press, 1988

62. Tamm E, Lutjen-Drecoll, Jungkunz HW, Rohen JW: Posterior attachment of ciliary muscle in young, accommodating and old, presbyopic monkeys. Invest Ophthalmol Vis Sci 32:1678, 1991

63. Korte GE, D'Aversa G: The elastic tissue of Bruch's membrane. Connections to the choroidal elastic tissue and the ciliary epithelium of the rabbit and human eye. Arch Ophthalmol 107:1654, 1989

64. Townsend DJ, Brubaker RF: Immediate effect of epinephrine on aqueous formation in the normal eye as measured by fluorophotometry. Invest Ophthalmol Vis Sci 19:256, 1980

65. Bill A, Phillips CI: Uveoscleral drainage of aqueous humor in human eyes. Exp Eye Res 12:275, 1971

66. Morrison JC, Van Buskirk EM: Anterior collateral circulation in the primate eye. Ophthalmology 90:707, 1983

67. Morrison JC, Van Buskirk EM: Ciliary process microvasculature of the primate eye. Am J Ophthalmol 97:372, 1984

68. Funk R, Rohen JW: SEM studies of the functional morphology of the ciliary process vasculature in the cynomolgus monkey: Reactions after application of epinephrine. Exp Eye Res 47:653, 1988

69. Funk R, Rohen JW: Scanning electron microscopic study on the vasculature of the human anterior eye segment, especially with respect to the ciliary processes. Exp Eye Res 51:651, 1990

70. Woodlief NF: Initial observations on the ocular microcirculation in man. I. The anterior segment and extraocular muscles. Arch Ophthalmol 98:1268, 1980

71. Hayreh SS, Scott WE: Florescein iris angiography II. Disturbances of iris circulation following strabismus operation on the various recti. Arch Ophthalmol 96:1390, 1978

72. Stone RA, Tervo T, Tervo K, Tarkkanen A: Vasoactive intestinal polypeptide-like immunoreactive nerves to the human eye. Acta Ophthalmol 64:12, 1986

73. Funk RHW, Wagner W, Wild W: Microendoscopic observations of the hemodynamics in the rabbit ciliary processes. Curr Exp Res 11:543, 1992

74. Frank K, Funk R, Kessler M, Rohen JW: Spectrometric measurements in the anterior eye vasculature of the albino rabbit--a study with the EMPH0 1. Exp Eye Res 52:301, 1991

75. Taluson ED, Schwartz B: Fluorescein angiography: Demonstration of flow pattern of anterior ciliary arteries. Arch Ophthalmol 99:1074, 1981

76. Maepea O: Pressures in the anterior ciliary arteries, choroidal veins, and choriocapillaris. Exp Eye Res 54:731, 1992

77. Warwick R: The ocular parasympathetic nerve supply and its mesencephalic sources. J Anat 88:71, 1954

78. Westheimer G, Blair SM: The parasympathetic pathways to internal eye muscles. Invest Ophthalmol Vis Sci 12:193, 1973

79. Ruskell GL, Griffiths T: Peripheral nerve pathway to the ciliary muscle. Exp Eye Res 28:227, 1979

80. Ruskell GL: Sympathetic Innervation of the ciliary muscle in monkeys. Exp Eye Res 16:183, 1973

81. Yamada E: Intraepithelial nerve fibers in the rabbit ocular ciliary epithelium. Arch Histol Cytol 51:43, 1988

82. Tamm ER, Flugel C, Stefani FH, Lutjen-Drecoll: Nerve endings with structural characteristics of mechanoreceptors in the human scleral spur. Invest Ophthalmol Vis Sci 25:1157, 1994

Back to Top