Chapter 59
Nutritional Blindness: Xerophthalmia and Keratomalacia
ALFRED SOMMER
Main Menu   Table Of Contents

Search

DEFINITIONS
ETIOLOGY, PATHOGENESIS, AND PATHOLOGY
NATURAL HISTORY AND EPIDEMIOLOGY
CLINICAL CLASSIFICATION
DIAGNOSIS
TREATMENT
PREVENTION
REFERENCES

DEFINITIONS
Xerophthalmia and keratomalacia are the most common, most devastating ocular diseases attributable to nutritional deficiency. In general, nutritional blindness refers specifically to these two interrelated conditions.1–3

Although xerophthalmia literally means “dry eye,” it denotes the entire spectrum of ocular abnormalities arising from vitamin A deficiency. These include night blindness, retinopathy, conjunctival and corneal xerosis, corneal ulceration and melting, and less obvious alterations in the epithelial structure of the eye and several other organs.

Keratomalacia, which is less well understood and defined, is commonly described as “liquefactive” or “colliquative” corneal necrosis. Often the last, most severe stage of xerophthalmia, it also occurs in other conditions, such as severe measles, in which general malnutrition usually is present but specific signs of vitamin A deficiency may be absent. These latter situations may represent acute decompensation of vitamin A status, secondary herpes or other infections, or the destructive potential of traditional medicines.2–4

The importance of vitamin A for normal host resistance and survival has become increasingly evident. Even children with mild, subclinical deficiency are at increased risk of respiratory disease and diarrhea, anemia, growth retardation, and death.3,5,6 Although the ocular complications of deficiency are best known and clinically evident, they represent only one facet of this multisystemic disorder.

Back to Top
ETIOLOGY, PATHOGENESIS, AND PATHOLOGY
Night blindness and its cure were recognized in pharaonic Egypt more than 3500 years ago. In the late 19th century, two Frenchmen, Hubbenet and Bitot, described the association between localized conjunctival xerosis and night blindness, and an Englishman, Snell,7 demonstrated that both conditions respond rapidly to administration of cod liver oil. In the early 20th century, Bloch, a Danish pediatrician, elucidated the relation between these milder aberrations, blinding corneal destruction, and a diet deficient in the then newly discovered fat-soluble vitamin A.8 There is now little question that vitamin A deficiency is responsible for all xerophthalmic manifestations, from night blindness through corneal xerosis, and for most forms of xerophthalmic corneal ulceration.1–3,9,10

Vitamin A is a fat-soluble product of animal metabolism found principally in the liver of fish, poultry, and livestock, and in eggs and dairy products. Carotene, especially beta carotene, present in certain orange and yellow fruits and in dark green leafy vegetables, is converted in the gut to vitamin A. Because of inefficiency in this conversion, 4 to 20 times as much ingested beta carotene as vitamin A is required for the same effect.1,11,12 After absorption, approximately 50% of the ingested vitamin is retained and stored in the liver. These liver stores form an important buffer against vagaries in vitamin A intake. When needed, vitamin A is released into the bloodstream in association with retinol binding protein (RBP), a specific carrier protein elaborated by the liver. The associated complex is known as holo-RBP. Although the actual mechanism by which retinol enters target cells remains obscure, these cells are known to contain specific retinol-RBP receptors.13 Retinol is required for the elaboration of rhodopsin or “visual purple” by the ods, for maintenance of normal differentiation of the epithelial lining of several structures throughout the body, and for a fully competent immune response.

Conditions that interfere with ingestion, absorption, storage, or transport of vitamin A may precipitate xerophthalmia. The most common is inadequate dietary intake. Most vitamin A deficiency in the developing world,1,14 and even an occasional case in developed countries, can be traced to inadequate diet. Recommended daily allowances for vitamin A range from 300 to 1200 μg of retinol or its equivalent.1 When intake falls much below this amount, liver stores are drained to maintain serum retinol at a normal level. Chronic deficiency results in depletion of liver stores, a fall in serum retinol levels, and the appearance of clinical disease. At the same time, RBP accumulates in the liver. An increase in vitamin A intake will result in a massive outpouring of holo-RBP from the liver and rapid rise in serum holo-RBP levels.15

Lack of dietary lipid, impaired secretion of digestive enzymes (as in cystic fibrosis16), gastroenteritis, celiac sprue,17 and heavy worm loads all interfere with the absorption of ingested vitamin A. This has the same effect as reduced vitamin A consumption.

Severe protein deficiency interferes with protein synthesis, thus reducing vitamin A absorptive, storage, and, most importantly, transport capacities. The serum level of holo-RBP declines, as does the concentration of RBP in the liver. If vitamin A intake remains high, liver stores of retinol may rise.18 Increased protein intake results in a substantial rise in circulating vitamin A.19 Whether isolated protein deficiency can interfere with vitamin A transport to a clinically significant degree is still uncertain but appears likely.10

These conditions are exacerbated by febrile illnesses, which increase metabolic demands for what little vitamin A is available. Persons already having borderline vitamin A status, but without frank disease, can lose vision in both eyes within a few days of the onset of measles, severe gastroenteritis, or bronchopneumonia.2–4

Serum vitamin A levels in well-fed western populations generally are between 30 and 40 μg/dl. Although impaired scotopic vision has been recorded at levels above 30 μg/dl,20 clinical disease is exceedingly uncommon at levels above 20 μg/dl.2,3 Approximately 10% of children with levels between 10 and 19 μg/dl will have night blindness, conjunctival xerosis, or both,10 and 50% will have epithelial metaplasia detectable by impression cytologic study. The proportion of persons with clinical disease, especially the more severe forms of corneal involvement, rises appreciably at lower levels, especially at those below 10 μg/dl.2,9

Night blindness is the best understood of all xerophthalmic changes. Vitamin A is an essential component of rhodopsin, the pigment responsible for rod function.21 Although most vitamin A liberated during bleaching is recycled, a small proportion is continually lost and must be replenished by fresh supplies. When these are unavailable, the retina fails to attain its normal, dark-adapted sensitivity. Severe, prolonged deficiency of vitamin A, in the rat at least, results in degeneration of retinal pigment epithelium and photoreceptors.22 Clinical data suggest similar changes may occur in humans.23

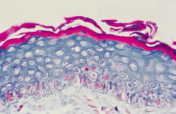
Epithelial changes consequent to vitamin A deficiency are equally well recognized but less well understood. Vitamin A is required for maintenance of normal epithelial architecture, particularly of mucous membranes. In its absence, keratinizing metaplasia occurs in a variety of organs.24 The conjunctiva, because of its accessibility, has been the best studied.23,25,26 Goblet cells are lost, and keratinized material, often containing numerous saprophytic organisms (especially the xerosis Bacillus, a gram-positive diphtheroid), covers the surface (Fig. 1). Below the keratinized surface is a thickened layer of flattened cells and, deep to this, a prominent granular cell layer. The architecture of deeper layers is moderately disorganized. A mild, chronic inflammatory infiltrate may be present in the substantia propria. Occasionally, in severe cases, rete pegs are present.27

Fig. 1. Histopathologic changes of conjunctival xerosis in a 25-year-old Indonesian woman. The epithelium is characterized by keratinization, a prominent granular cell layer, and distended squamous cells with large, open nuclei and prominent nucleoli. A mild mononuclear cell infiltrate, not apparent in this section, also was present. (H & E, × 700) (Sommer A, Sugana T, Djunaedi E, Green R: Vitamin A-responsive panocular xerophthalmia in a healthy adult. Arch Ophthalmol 96:1630, 1978)

Histopathologic material of mild corneal changes displays the same flattening and keratinization of epithelial cells.28

Conjunctival and corneal keratinization appear to be primary events, independent of the loss of mucus-producing goblet cells and alterations in tear film dynamics.23,26,29

Keratomalacia represents frank corneal necrosis (Fig. 2), with fragmentation and dissolution of stromal collagen and loss of keratocytes.27–29 Its pathogenesis, however, is unclear. Although most cases are accompanied by clinical xerophthalmia, African children develop a similar picture after measles, often in the absence of overt signs of vitamin A deficiency. Since measles does not produce corneal necrosis among well-nourished western or African children, vitamin A deficiency, protein deficiency, and as yet undetermined factors have been suspected.4,30 Studies from Nigeria and Tanzania suggest herpes virus infection may play a role in numerous cases, whereas diagnostic, laboratory, and clinical studies indicate vitamin A deficiency is responsible for half of all resultant blindness.4,31

Fig. 2. Characteristic changes of keratomalacia in autopsy specimen from a severely marasmic 1-year-old Indonesian boy with bilateral corneal ulceration, a serum vitamin A level of only 10 μg/dl, and a holo retinol binding protein of only 2 μg/ml. The sharply demarcated area of stromal necrosis is covered by keratinized epithelium. There is little inflammatory infiltrate and no bacteria in the area of collagen dissolution. (Sommer A, Green WR, Kenyon KR: Clinical-histopathologic correlation in xerophthalmic ulceration and necrosis. Arch Ophthalmol 100: 953, 1982)

Back to Top
NATURAL HISTORY AND EPIDEMIOLOGY
The epidemiology of xerophthalmia is the epidemiology of vitamin A and protein deficiency. Substitution of unfortified margarine for dairy products in turn-of-the-century Denmark32 or sweetened condensed milk for breast feeding in pre-World War II Singapore were accompanied by epidemics of xerophthalmia. Appreciation of the causes of xerophthalmia and changes in public policy have almost eliminated nutritional blindness from these and other developed countries. Nonetheless, xerophthalmia remains a worldwide problem of enormous magnitude, especially in underdeveloped regions of Asia, where the diet consists mainly of rice, and in Africa.3,4,33–37 Moderate numbers of cases also occur in the Caribbean38 and in Central39 and South America.40 On the basis of data from Indonesia,41 it is estimated that as many as 5 to 10 million Asian children develop clinical xerophthalmia every year, and of these, 5% to 10% have corneal involvement (one fourth to one half of whom go blind). Overall mortality rate in untreated cases of corneal xerophthalmia probably is 50% to 90%. Children with mild xerophthalmia (night blindness, Bitot's spots, or both) die at three to nine times the rate of their better-nourished peers.42

In xerophthalmia-endemic developing countries, the disease is largely confined to lower socioeconomic groups. For the most part, these groups cannot afford vitamin A-rich foods, and the most palatable sources of beta carotene, such as papaya and mango, are sold as cash crops. Green leafy vegetables are avoided by young children, whereas the tenacity with which their beta carotene is bound to cellular matrices may preclude their providing adequate vitamin A nutriture.12

Nutritional blindness can occur at any age, but particularly among young children and pregnant women.3,10,11 Xerophthalmia is most common among 1- to 6-year-old children, although severe, blinding forms are concentrated in those 6 months to 3 years of age.2

At least four factors account for this pediatric age distribution:

  1. Children often are born to vitamin A-deficient mothers. They enter the world with minimal liver stores and receive little additional vitamin A from the breast milk.
  2. Childhood is a period of rapid growth, placing heavy demands on vitamin A stores.
  3. The young child is in the dangerous weaning period. If the mother's milk fails, she often will resort to sweetened condensed milk, which is poor in vitamin A and protein (especially after being overdiluted, often with contaminated water). Introduction of weaning foods is delayed, and the child is not encouraged to consume green leafy vegetables. Older children and adults who forage for themselves usually consume reasonably balanced diets.
  4. Childhood also is the age of greatest morbidity (and mortality) from measles, chickenpox, pertussis, respiratory infections, and especially gastroenteritis. Cultural patterns, such as the withholding of food and water from seriously ill children, exacerbate the problem.

Xerophthalmia does not always lead to blindness. Most mild manifestations disappear spontaneously, presumably from increased consumption of foods rich in vitamin A and beta carotene.2,3 In some communities, vitamin A and beta carotene consumption is seasonal, imparting a cyclical pattern to the prevalence of the disease.43

Just as mild xerophthalmia need not culminate in blindness, an otherwise ophthalmologically normal child may suddenly develop destructive corneal disease if diarrhea, measles, or another severe insult causes an acute decompensation in borderline vitamin A and protein metabolism.

In nonendemic developed countries, vitamin A deficiency and xerophthalmia usually occur as isolated events of varying etiology: self-inflicted dietary deprivation27,44; inadequate digestive and absorptive capacity from regional enteritis, celiac disease,17 cystic fibrosis16; or alcoholic cirrhosis.25

Back to Top
CLINICAL CLASSIFICATION
Clinical manifestations of xerophthalmia were reclassified in 198045,46 (Table 1). Under conditions of steady, uncomplicated vitamin A depletion, ocular manifestations tend to occur in a regular sequence.

 

TABLE 1. Xerophthalmia Classification


XNNight blindness
X1AConjunctival xerosis
X1BBitot's spots
X2Corneal xerosis
X3ACorneal ulceration/keratomalacia involving less than one third of the corneal surface
X3BCorneal ulceration/keratomalacia involving one third or more of the corneal surface
XFXerophthalmic fundus
XSCorneal scars presumed secondary to xerophthalmia

 

NIGHT BLINDNESS

Interference with dark adaptation and scotopic vision usually is the earliest ocular manifestation of vitamin A deficiency and culminates in night blindness.2,20,22 Objective assessment of scotopic vision, especially in young children under field conditions, is difficult. Gross testing, found practical for research, can be carried out at dusk or in a darkened room2,10 although new, practical, objective field techniques are becoming available.47 In most clinical situations, objective assessment is unnecessary. Where xerophthalmia and vitamin A deficiency are endemic, night blindness usually is well recognized, often by a locally appropriate term (commonly meaning “chicken eyes”). A history of night blindness in young children, or in women during a past or present pregnancy (particularly the third trimester), then assumes the same use as more objective criteria.10

Children with night blindness cannot find their toys, food, or way about the house or village after dusk and tend to sit listlessly in a secure corner. In children with mild disease, the night blindness may wax and wane, depending on the degree and duration of bleaching during daylight hours. It may be absent after dark, overcast days but present after the child has flown a kite on a bright sunny day. Women, who most often develop night blindness during their third trimester of pregnancy, usually recover spontaneously within 1 to 3 months after delivery.

Night blindness responds extremely rapidly to systemic administration of vitamin A, usually within 24 to 48 hours.

CONJUNCTIVAL XEROSIS

The earliest clinical evidence of conjunctival xerosis is a patch of granular, dry, unwettable conjunctiva best appreciated on oblique illumination. It is always present temporally and also may be present nasally. The latter usually indicates active vitamin A deficiency.48 Although tears may be plentiful, as they drain off, the xerotic patch tends to stand out “like sand banks at receding tide.”1 Other characteristics such as pigmentation and wrinkling are nonreproducible, nonspecific, and best ignored; they have been the basis of frequent over-diagnosis.

Xerosis involving 180° or more of the (usually inferior) conjunctiva is a severe, advanced lesion, often with obvious thickening, prominent, circumferential folds, and a skinlike appearance (Fig. 3). It suggests incipient or established corneal disease.48

Fig. 3. Marked conjunctival and corneal xerosis in the 25-year-old woman whose histopathologic changes are shown in Figure 1. The entire bulbar conjunctiva is dry and thickened and almost skinlike. The dry, granular appearance of the cornea is best appreciated in the area of the light reflex. (Sommer A, Sugana T, Djunaedi E, Green R: Vitamin A-responsive panocular xerophthalmia in a healthy adult. Arch Ophthalmol 96:1630, 1978)

Bitot's spots are foamy, cheesy accretions of desquamated keratin and saprophytic bacilli overlying an area of conjunctival xerosis26,48 (Fig. 4). They are more easily recognized than milder xerosis and carry the same significance. Bitot's spots (and conjunctival xerosis) occasionally are unassociated with active vitamin A deficiency and remain unresponsive to vitamin A therapy.49,50 These lesions, which usually are limited to the temporal quadrant of older children, generally are sequelae of old xerophthalmia. For reasons not well understood, but in which exposure, chronicity, and age of the child probably play a role, the keratinizing metaplasia induced by vitamin A deficiency persists even after the original stimulus has been removed by improved vitamin A nutriture.

Fig. 4. Classic Bitot's spot in a 29-year-old Indonesian man that shrunk dramatically with vitamin A therapy. (Sommer A: Nutritional Blindness: Xerophthalmia and Keratomalacia. New York, Oxford University Press, 1982)

Responsive lesions usually heal rapidly, most often within 1 to 2 weeks of treatment.48 Some persist in milder form for months to years, waxing and waning in size even after complete replenishment of vitamin A stores. They do not recur after simple excision26 or arise de novo in previously normal, vitamin A-supplemented individuals.43

CORNEAL XEROSIS

The earliest corneal manifestation of vitamin A deficiency is fluorescein-positive superficial punctate keratopathy, which often is limited to the inferonasal quadrant.51 Although undetectable by hand light examination, it is already present in most persons with night blindness and Bitot's spots. With progression, the punctate lesions become more numerous and denser and cover a larger area. By the time corneal involvement is appreciated on hand light examination, the entire surface usually is involved. Stromal edema soon ensues.2,23 Frank, horny keratinization occasionally occurs, usually inferiorly or in the interpalpebral zone.

The earliest corneal abnormality seen on hand light examination is a mild superficial haziness, usually most severe and occasionally only apparent inferiorly, probably the result of the dense punctate keratopathy and accompanying edema.52 Fluorescein staining may be grossly apparent even without a slit lamp. Progression imparts a dry, pebbly appearance to the cornea (see Fig. 3). The patient may be photophobic, but the eye is white and quiet. Conjunctival xerosis and night blindness usually are present, and the condition usually is bilateral.

Uncomplicated corneal xerosis responds rapidly to systemic vitamin A therapy. Healing begins within 1 to 4 days and usually is complete by 1 week.

CORNEAL DESTRUCTION

The earliest, mildest, and most classic of xerophthalmic ulcers is a small, sharply punched-out partial or full-thickness defect, usually located in the periphery of the nasal quadrant2,52 (Fig. 5). Fullthickness defects usually are plugged by iris, with the anterior chamber remaining formed. They heal rapidly on vitamin A therapy.

Fig. 5. Corneal xerosis and sharply punched-out ulcer of three-fourths corneal depth characteristic of vitamin A deficiency in a 4-year-old Indonesian boy. (Sommer A, Sugana T: Corneal xerophthalmia and keratomalacia. Arch Ophthalmol 100:404, 1982)

Larger, more irregularly shaped ulcers, usually in the same location but occasionally extending to the pupillary axis, are more advanced variants of this same process, although occasionally secondary bacterial infection intervenes.

Localized stromal destruction may resemble full-thickness liquefactive necrosis (keratomalacia) (Fig. 6). The sharply demarcated lesion has a swollen, opaque, grayish yellow appearance. The stroma usually sloughs, leaving a descemetocele below. Treatment speeds healing, resulting in restoration of corneal integrity2,52 and usually near-normal acuity (Fig. 7). In the most severe involvement, stroma sloughs from limbus to limbus with loss of the anterior chamber (Fig. 8). Secondary infection probably plays an important role in many cases of extensive necrosis. Healing is by slow fibrovascular ingrowth from the periphery and adjacent iris. The extensive scarring usually is weak and forms a protuberant staphyloma.

Fig. 6. Conjunctival xerosis and localized corneal necrosis in a severely malnourished 2-year-old Indonesian boy. (Sommer A: Nutritional Blindness: Xerophthalmia and Keratomalacia. New York, Oxford University Press, 1982)

Fig. 7. Same eye shown in Figure 6, 2 months after vitamin A therapy. The necrotic area has been replaced by an adherent leukoma, and the rest of the cornea has returned to normal, leaving a clear pupillary zone. (Sommer A: Nutritional Blindness: Xerophthalmia and Keratomalacia. New York, Oxford University Press, 1982)

Fig. 8. Limbus-to-limbus keratomalacia in a severely malnourished 10-month-old Indonesian boy. The cornea of the other eye was clear on hand light examination but found to have extensive fluorescein-positive punctate epithelial erosions on slit-lamp examination. (Sommer A, Sugana T: Corneal xerophthalmia and keratomalacia. Arch Ophthalmol 100:404, 1982)

These various forms of stromal destruction may occur independently or together in one or both eyes. They usually are associated with other manifestations of xerophthalmia.

FUNDUS XEROPHTHALMICUS

In some cases of vitamin A deficiency, particularly among older persons (with more chronic disease), small, white, “blister-like” intraretinal dots fill the periphery. These may represent focal loss of pigment at the level of the pigment epithelium.23 A dense scotoma, congruent with the area of retinal involvement, sometimes is present.23 These changes respond to vitamin A therapy. Visual fields return to normal within 1 to 2 weeks, and the retinal lesions fade over 1 to 4 months. Mild pigmentary mottling (on fluorescein angiography) may persist longer.

Back to Top
DIAGNOSIS
Diagnosis requires a high degree of suspicion, especially in persons who are malnourished and who have severe systemic disease (e.g., cirrhosis, tuberculosis, gastroenteritis) or xerotic changes in the conjunctiva, or who have atypical corneal lesions refractory to antibiotic therapy. Treatment is simple, nontoxic, inexpensive, and highly effective. It also is the surest, most practical way to confirm the diagnosis.

Xerophthalmia is a clinical diagnosis. Laboratory tests may be helpful in unusual cases, but their value is limited. Most tests require specialized laboratories and have specific limitations. In addition, treatment is urgent, and in most third world settings, far less expensive and simpler than any laboratory test. Nonetheless, the clinician should be aware of the variety of tests available and their interpretation.

SERUM VITAMIN A LEVELS

Several techniques are available for determining serum vitamin A levels. High-pressure liquid chromatography is the most reliable.53 In general, serum vitamin A levels above 20 μg/dl are considered adequate; those below, inadequate10; and levels below 10 μg/dl are grossly deficient. In the presence of protein deficiency, serum vitamin A levels may be depressed, although vitamin A intake and stores are high. Specimens must be carefully stored and handled to ensure reliable results. Infections elicit an acute-phase reaction, which can lower serum retinol levels, perhaps without physiologic consequence.54

TOTAL RETINOL BINDING PROTEIN

Probably the simplest biochemical test is the Mancini-type immunoassay for circulating RBP.55 In general, this estimate is in good agreement with that of “vitamin A” and has the same limitations. One drawback is the continued circulation of immunologically detectable RBP at “borderline” levels, even in the total absence of vitamin A.

RELATIVE DOSE RESPONSE

The relative dose response (RDR) and its variant, the modified RDR, record the change in serum vitamin A-RBP complex in response to a small oral (or intravenous) vitamin A load.56–58 This provides an indirect method of assessing liver vitamin A stores in marginally deficient children and is therefore unnecessary in the presence of clinically evident disease. It also is a cumbersome test and probably provides little advantage over simple serum retinol for assessing population status. The relative dose response may be useful for special research.

CONJUNCTIVAL IMPRESSION CYTOLOGY

Conjunctival impression cytologic study is an alternative tool for assessing adequacy of vitamin A status from the histologic appearance of superficial epithelial layers.59,60 Abnormal differentiation (squamous metaplasia) is evident from the loss of goblet cells and the presence of enlarged, irregular, separated, and (ultimately) keratinized epithelial cells.61 Specimens are obtained noninvasively, can be stored indefinitely, and require only a simple microscope for evaluation. However, interpretation of vitamin A status of an individual is hindered by the lag between acute changes in vitamin A status and resultant alterations in cellular differentiation and by the previously noted failure of areas of chronic metaplasia to respond to improved vitamin A status. Like the prevalence of a history of night blindness, lack of specificity makes it more useful as an indicator of vitamin A status of the population rather than of a particular individual. Abnormal results from impression cytologic study appears to be 5 to 10 times more common than the prevalence of clinical disease.60

Back to Top
TREATMENT
The most immediate goal of therapy is rapid replenishment of vitamin A stores. Oral administration of 200,000 IU of vitamin A (usually retinyl palmitate) in oil, repeated the following day, usually is adequate.2,62 In severe corneal disease and potential malabsorption (e.g., vomiting, gastroenteritis, severe protein deficiency) an initial dose of 100,000 IU of water-miscible vitamin A intramuscularly1,3,63,64 sometimes is preferred, but there is no evidence that it is superior to oral therapy. Oil-miscible vitamin A should never be used parenterally: it is released slowly from the injection site and therefore is of little value. Children with severe protein deficiency should receive an additional oral dose every 2 weeks until their protein status improves.1,3,15

As already noted, corneal involvement is commonly accompanied by generalized malnutrition or severe systemic illnesses (e.g., gastroenteritis, tuberculosis, bronchopneumonia) that interfere with vitamin A metabolism and, perhaps, wound healing as well. These require prompt, effective treatment.

Local, ocular therapy is directed toward preventing or curing secondary bacterial infections, protecting the globe from undue pressure,63 and, when indicated, speeding vitamin A-dependent healing. Classic xerophthalmic ulcers are small, sharply defined, punched-out lesions in otherwise white and quiet eyes. They are not infected and do not benefit from intensive antimicrobial therapy. Periodic topical application of broad-spectrum antibiotics probably is of value, however, in preventing secondary infections. Larger, less typical lesions, especially in the presence of purulent discharge or a red, inflamed eye, deserve careful culture, smear, and intensive systemic subconjunctival and topical antibiotic therapy appropriate to any bacterial ulcer.

Often a lag of several days occurs between the start of systemic vitamin A therapy and onset of healing, with the cornea occasionally deteriorating in the interim. Retinoic acid, 0.1% in arachis oil, applied topically one to three times a day has proven safe and effective in speeding healing.65 Unfortunately, it occasionally leaves a denser, more vascularized scar than might otherwise have developed and probably should be reserved for treatment of nonaxial ulcers or one eye of a patient with deep axial ulcers bilaterally.66 It is of no value in limbus-to-limbus keratomalacia.

Surgery has a limited role in the treatment of xerophthalmia. Partial-thickness nonaxial ulcers heal with minimal scarring and do not interfere with vision. Small peripheral penetrating ulcers usually become plugged with iris, preserving the anterior chamber and healing as nonaxial adherent leukomas. Large, localized ulcers perforating under observation might benefit from immediate transplant or conjunctival flap, if necessary, to preserve the anterior chamber.67 Full-thickness limbus-to-limbus keratomalacia generally is inoperable: the patients usually are too debilitated for general anesthesia, the entire cornea is involved, and by the time the patient presents, the anterior chamber usually is irreversibly lost. Corneal transplantation may have a role in a few patients in whom heavy axial scarring has occurred in the presence of a formed anterior chamber, but only if the procedure is carried out quickly, before dense amblyopia sets in. Most cases come from a social stratum and environment unconducive to maintenance of a successful graft.

Back to Top
PREVENTION
As with treatment, prevention rests primarily on maintenance of adequate vitamin A stores by increasing vitamin A intake, decreasing metabolic demands, or both. Periodic administration of supplemental vitamin A is effective in high-risk children with normal absorptive capacities. High-dose capsules, containing 200,000 IU of vitamin A administered every 3 to 6 months to children with a history of xerophthalmia and any severely malnourished or debilitated child residing in an area in which xerophthalmia is known to occur, are undoubtedly of value.2

Persons with chronic malabsorption syndromes, such as celiac sprue or regional enteritis, might require periodic oral or parenteral therapy, with the dosage and schedule titrated against serum vitamin A levels or dark adaptation. Vitamin A deficiency from malabsorption in cystic fibrosis has been successfully treated with replacement of pancreatic enzymes.16

Broad-based regional or national xerophthalmia prevention programs begin by determining the magnitude and geographic distribution of the problem, the reasons affected persons do not eat foods rich in vitamin A and beta carotene, and the frequency and quantity of centrally processed, potentially fortifiable items they do consume.63 This information can be gathered through prevalence surveys. Prevalence rates considered indicative of a significant public health problem are shown in Table 2.46,63 Vitamin A nutriture can be improved in high-risk areas by providing supplemental vitamin A through periodic distribution of massive doses of vitamin A or fortification of centrally processed items eaten by the target population of vitamin A-deficient children and women of childbearing age. Promoting, through nutrition education, increased consumption of foods rich in beta carotene (in most impoverished communities, this means green leafy vegetables) rarely has proved effective unless there also is increased consumption of foods rich in preformed vitamin A.3 Improving vitamin A status in deficient populations reduces childhood mortality and the risk of blindness; in several studies, all-cause childhood mortality rate was reduced by 22% to 55%.3,68–71 Immediate treatment of children with severe measles with 200,000 IU of vitamin A on 2 successive days not only prevents blindness but cuts casefatality rates in half.72,73

 

TABLE 2. Prevalence Rates at Which Xerophthalmia Constitutes a Significant Public Health Problem


Criterion*Rate* (%)
XN1.0
X1B0.5
X2 + X3A + X3B0.01
XS0.05
Plasma vitamin A 10 μg/dl5.0

*Applies to properly sampled children aged birth through 5 y.

 

Preventing protein-energy malnutrition, diarrhea, respiratory infection, and measles would eliminate major contributory and precipitating events but is difficult to accomplish. Mass immunization against measles, a goal of many “programs for expanded immunization,” could, if successfully executed, reduce the rate of nutritional blindness by as much as 50%.

Back to Top
REFERENCES

1. World Health Organization: Vitamin A deficiency and xerophthalmia. WHO Tech Rep Ser 590:13, 1976

2. Sommer A: Nutritional Blindness: Xerophthalmia and Keratomalacia. New York, Oxford University Press, 1982

3. Sommer A, West KP Jr: Vitamin A Deficiency: Health, Survival, and Vision. New York, Oxford University Press, 1996

4. Foster A, Sommer A: Corneal ulceration, measles, and childhood blindness in Tanzania. Br J Ophthalmol 71:331, 1987

5. Sommer A: New imperatives for an old vitamin (A). VII. E.V. McCollum International Lectureship in Nutrition. J Nutr 119:96, 1989

6. Sommer A: Xerophthalmia: The deadly disease. Am J Ophthalmol 99:207, 1985

7. Snell S: On nyctalopia with peculiar appearances on the conjunctiva. Trans Ophthalmol Soc UK 1:207, 1880

8. Bloch CE: Clinical investigation of xerophthalmia and dystrophy in infants and young children (xerophthalmia et dystrophia alipogenetica). J Hygiene 19:283, 1921

9. Sommer A, Muhilal: Nutritional factors in corneal xerophthalmia and keratomalacia. Arch Ophthalmol 100:399, 1982

10. Sommer A, Hussaini G, Muhilal et al: History of night blindness: A simple tool for xerophthalmia screening. Am J Clin Nutr 33:887, 1980

11. Christian P, West KP Jr, Khatry SK et al: Night blindness of pregnancy in rural Nepal: Nutritional and health risks. Int J Epidemiol 27:231, 1998

12. de Pee S, West CE, Muhilal et al: Lack of improvement in vitamin A status with increased consumption of dark-green leafy vegetables. Lancet 346:75, 1995

13. Bok D, Heller J: Transport of retinol from the blood to the retina: An autoradiographic study of the pigment epithelial cells surface receptor for plasma retinol-binding protein. Exp Eye Res 22:395, 1976

14. Tarwotjo I, Sommer A, Soegiharto T et al: Dietary practices and xerophthalmia among Indonesian children. Am J Clin Nutr 35:574, 1982

15. Sommer A, Muhilal, Tarwotjo I: Protein deficiency and treatment of xerophthalmia. Arch Ophthalmol 100:785, 1982

16. Petersen RA, Petersen VS, Robb RM: Vitamin A deficiency with xerophthalmia and night blindness in cystic fibrosis. Am J Dis Child 116:662, 1968

17. Russell RM, Multack R, Rosenberg IH et al: Dark-adaptation testing for diagnosis of subclinical vitamin-A deficiency and evaluation of therapy. Lancet ii:1161, 1973

18. Arroyave G, Wilson D, Mendez J et al: Serum and liver vitamin A and lipids in children with severe protein malnutrition. Am J Clin Nutr 9:180, 1961

19. Smith FR, Suskind R, Thanangkul O et al: Plasma vitamin A, retinol-binding protein and prealbumin concentrations in protein-calorie malnutrition. III. Response to varying dietary treatments. Am J Clin Nutr 28:732, 1975

20. Sauberlich HE, Hodges RE, Wallace DL et al: Vitamin A metabolism and requirements in the human studied with the use of labeled retinol. Vitam Horm 32:251, 1974

21. Wald G: Molecular basis of visual excitation. Science 162: 230, 1968

22. Dowling JE, Wald G: The biological function of vitamin A acid. Proc Natl Acad Sci USA 46:587, 1960

23. Sommer A, Sugana T, Djunaedi E et al: Vitamin A-responsive panocular xerophthalmia in a healthy adult. Arch Ophthalmol 96:1630, 1978

24. Wolbach SB, Howe PR: Tissue changes following deprivation of fat-soluble A vitamin. J Exp Med 42:753, 1925

25. Sullivan WR, McCulley JP, Dohlman CH: Return of goblet cells after vitamin A therapy in xerosis of the conjunctiva. Am J Ophthalmol 75:720, 1973

26. Sommer A, Green WR, Kenyon KR: Bitot's spots responsive and nonresponsive to vitamin A: Clinicopathologic correlations. Arch Ophthalmol 99:2014, 1981

27. Smith RS, Farrell T, Bailey T: Keratomalacia. Surv Ophthalmol 20:213, 1975

28. Sommer A, Green WR, Kenyon KR: Clinicohistopathologic correlations in xerophthalmic ulceration and necrosis. Arch Ophthalmol 100:953, 1982

29. Sommer A, Green WR: Goblet cell response to vitamin A treatment for corneal xerophthalmia. Am J Ophthalmol 94:213, 1982

30. Kuming BS, Politzer WM: Xerophthalmia and protein malnutrition in Bantu children. Br J Ophthalmol 51:649, 1967

31. Sandford-Smith JH, Whittle HC: Corneal ulceration following measles in Nigerian children. Br J Ophthalmol 63:720, 1979

32. Blegvad O: Xerophthalmia, keratomalacia and xerosis conjunctivae. Am J Ophthalmol 7:89, 1924

33. Sauter JJM: Xerophthalmia and Measles in Kenya. Groningen, Drukkerij Van Denderen BV, 1976

34. Foster A, Sommer A: Childhood blindness from corneal ulceration in Africa: Causes, prevention, and treatment. Bull WHO 64:619, 1986

35. De Sole G, Belay Y, Zegeye B: Vitamin A deficiency in southern Ethiopia. Am J Clin Nutr 45:780, 1987

36. Sukwa T, Mwandu D, Kapui A et al: The prevalence and distribution of xerophthalmia in pre-school age children of the Luapula Valley, Zambia. J Trop Pediatr 34:12, 1988

37. Tielsch JM, West KP, Katz J et al: Prevalence and severity of xerophthalmia in southern Malawi. Am J Epidemiol 124:561, 1986

38. Sommer A, Toureau S, Cornet P et al: Xerophthalmia and anterior segment blindness. Am J Ophthalmol 82:439, 1976

39. Sommer A, Quesada J, Doty M et al: Xerophthalmia and anterior-segment blindness among preschool-age children in El Salvador. Am J Ophthalmol 80:1066, 1975

40. Santos LMP, Dricot JM, Asciutti LS et al: Xerophthalmia in the state of Paraiba, northeast of Brazil: Clinical findings. Am J Clin Nutr 38:139, 1983

41. Sommer A, Tarwotjo I, Hussaini G et al: Incidence, prevalence and scale of blinding malnutrition. Lancet i:1407, 1981

42. Sommer A, Hussaini G, Tarwotjo I et al: Increased mortality in children with mild vitamin A deficiency. Lancet ii:585, 1983

43. Sinha DP, Bang FB: The effect of massive doses of vitamin A on the signs of vitamin A deficiency in preschool children. Am J Clin Nutr 29:110, 1976

44. Fells P, Bors F: Ocular complications of self-induced vitamin A deficiency. Trans Ophthalmol Soc UK 9:221, 1969

45. Sommer A: Vitamin A Deficiency and Its Consequences: Field Guide to Their Detection and Control, 3rd ed. Geneva, World Health Organization, 1995

46. Report of a joint WHO/UNICEF/USAID/HKI/IVACG meeting: Control of vitamin A deficiency and xerophthalmia. WHO Tech Rep Series 672, 1982

47. Sanchez AM, Congdon NG, Sommer A et al: Pupillary threshold as an index of population vitamin A status among children in India. Am J Clin Nutr 65:61, 1997

48. Sommer A, Emran N, Tjakrasudjatma S: Clinical characteristics of vitamin A responsive and nonresponsive Bitot's spots. Am J Ophthalmol 90:160, 1980

49. Rodger FC, Saiduzzafar H, Grover AD et al: A reappraisal of the ocular lesion known as Bitot's spots. Br J Nutr 17: 475, 1963

50. Paton D, McLaren DS: Bitot's spots. Am J Ophthalmol 50: 568, 1960

51. Sommer A, Emran N, Tamba T: Vitamin A-responsive punctate keratopathy in xerophthalmia. Am J Ophthalmol 87: 330, 1979

52. Sommer A, Sugana T: Corneal xerophthalmia and keratomalacia. Arch Ophthalmol 100:404, 1982

53. Biesalski HK, Ehrenthal W, Gross M et al: Rapid determination of retinol (vitamin A) in serum by high pressure liquid chromatography (HPLC). Int J Vitam Nutr Res 53:130, 1983

54. Willumsen JF, Simmank K, Filteau SM et al: Toxic damage to the respiratory epithelium induces acute phase changes in vitamin A metabolism without depleting retinol stores of South African children. J Nutr 127:1339, 1997

55. Smith FR, Raz A, Goodman DS: Radioimmunoassay of human plasma retinol-binding protein. J Clin Invest 49:1754, 1970

56. Tanumihardjo SA, Muherdiyantiningsih, Permaesih D et al: Assessment of the vitamin A status in lactating and nonlactating, nonpregnant Indonesian women by use of the modified relative dose-response (MRDR) test. Am J Clin Nutr 60:142, 1994

57. Underwood BA: Effect of protein quantity and quality on plasma response to an oral dose of vitamin A as an indicator of hepatic vitamin A reserves in rats. J Nutr 110:1635, 1980

58. Campos FACS, Flores H, Underwood BA: Effect of an infection on vitamin A status of children as measured by the relative dose response (RDR). Am J Clin Nutr 46:91, 1987

59. Wittpenn JR, Tseng SCG, Sommer A: Detection of early xerophthalmia by impression cytology. Arch Ophthalmol 104:237, 1986

60. Natadisastra G, Wittpenn JR, Muhilal et al: Impression cytology: A practical index of vitamin A status. Am J Clin Nutr 48:695, 1988

61. Hatchell DL, Sommer A: Detection of ocular surface abnormalities in experimental vitamin A deficiency. Arch Ophthalmol 102:1389, 1984

62. Sommer A, Muhilal H, Tarwotjo I et al: Oral versus intramuscular vitamin A in the treatment of xerophthalmia. Lancet i:557, 1980

63. Sommer A: Field Guide to the Detection and Control of Xerophthalmia, 2nd ed. Geneva, World Health Organization, 1982

64. Sommer A, West KP Jr: Vitamin A deficiency and xerophthalmia: A summary lecture, 1996

65. Sommer A, Emran N: Topical retinoic acid in the treatment of corneal xerophthalmia. Am J Ophthalmol 86:615, 1978

66. Sommer A: Treatment of corneal xerophthalmia with topical retinoic acid. Am J Ophthalmol 95:349, 1983

67. Ben-Sira I, Ticho U, Yassur Y: Surgical treatment of active keratomalacia by “covering graft.” Isr J Med Sci 8:1209, 1972

68. Sommer A, Tarwotjo I, Djunaedi E et al: Impact of vitamin A supplementation on childhood mortality: A randomised controlled community trial. Lancet i:1169, 1986

69. West KP Jr, Pokhrel RP, Katz J et al: Efficacy of vitamin A in reducing preschool child mortality in Nepal. Lancet 338:67, 1991

70. Rahmathullah L, Underwood BA, Thulasiraj RD et al: Reduced mortality among children in Southern India receiving a small weekly dose of vitamin A. N Engl J Med 323:929, 1990

71. Ghana VAST Study Team: Vitamin A supplementation in northern Ghana: Effects on clinic attendances, hospital admissions, and child mortality. Lancet 342:7, 1993

72. Hussey GD, Klein M: A randomized, controlled trial of vitamin A in children with severe measles. N Engl J Med 323:160, 1990

73. Barclay AJG, Foster A, Sommer A: Vitamin A supplements and mortality related to measles: A randomised clinical trial. Br Med J 294:294, 1987

Back to Top