Chapter 32
Classification, Symptoms, and Signs of Uveitis
DEBRA A. GOLDSTEIN and HOWARD H. TESSLER
Main Menu   Table Of Contents

Search

CLASSIFICATION
SYMPTOMS
SIGNS
REFERENCES

Uveitis is a general term used to describe inflammation of the middle vascular tunic of the eye, the uvea. The uvea comprises the iris, ciliary body, and the choroid. The name is derived from the Latin word uva, meaning grape, because early anatomists compared the vascular coat of the eye to the inside of a purple grape skin.1 In practice, the term uveitis is often applied to any intraocular inflammation, even if the inflammation is not predominantly in the uvea. For example, infectious retinitis such as that caused by cytomegalovirus is usually considered under the rubric of uveitis.
Back to Top
CLASSIFICATION
There have been many classifications proposed for uveitis. The International Uveitis Study Group (IUSG) has recommended that each episode of uveitis be evaluated and characterized regarding onset, duration, activity, and pattern. Onset is described as insidious or sudden. Episodes are considered to be short if they last for less than 3 months and long or chronic if they last longer.2 Activity is classified as mild, moderate, or severe. The IUSG classification addresses visual damage also. It is defined as severe if the visual loss is 50% or more of prediseased vision or if there is 50% or more loss of the electroretinogram amplitudes from normal and mild if the visual acuity is less than 50% decreased from baseline or the electroretinogram amplitudes are decreased by less than 50%.

Uveitis can also be divided anatomically into anterior, intermediate, posterior, and panuveitis. Anterior uveitis includes iritis and iridocyclitis; intermediate uveitis includes cyclitis, vitritis, and pars planitis; and posterior uveitis includes retinitis and choroiditis. The term panuveitis should be reserved for patients who have inflammation of all parts of the uvea—the choroid, ciliary body, and iris. Patients who have iridocyclitis with reactive macular edema are therefore not categorized as having panuveitis. Similarly, patients who have cytomegalovirus retinitis with a mild anterior chamber reaction are categorized as having infectious retinitis, not panuveitis.

When attempting to categorize uveitis, it is also important to note whether the inflammation is unilateral or bilateral. Certain conditions, such as HLA-B27-associated iridocyclitis, tend to involve one eye at a time, although both eyes may ultimately be involved. Other conditions, such as toxocariasis and Fuchs' iridocyclitis, tend to remain unilateral. Still other entities, such as Vogt-Koyanagi-Harada (VKH) syndrome, tend to present with simultaneous or nearly simultaneous involvement.

Causation, if known, is used to modify the previously described IUSG classification. For example, patients with sarcoidosis, Behçet's disease, or HLA-B27-associated disease have this modifier added to their diagnosis. Clinical syndromes, such as Fuchs' iridocyclitis, may also be added. For example, using this schema, we may describe a patient as having bilateral iridocyclitis of insidious onset and long duration associated with sarcoidosis or unilateral iridocyclitis of sudden onset and short duration associated with HLA-B27-positive ankylosing spondylitis.

Another classification divides uveitis into granulomatous or nongranulomatous categories. This is a descriptive classification based on clinical examination, not histology, but it may help to narrow the differential diagnosis. Uveitis is considered granulomatous if there are Busacca nodules in the iris stroma, large greasy “mutton-fat” keratic precipitates, large vitreous snowballs, or choroidal granulomas. The presence of small Koeppe nodules at the pupillary margin does not imply that the disease process is granulomatous. Common causes of granulomatous inflammation include sarcoidosis, VKH, sympathetic ophthalmia, tuberculosis, and syphilis, although all of these entities may also present with nongranulomatous inflammation.

Back to Top
SYMPTOMS

PAIN

The pain of iritis is primarily related to ciliary spasm. The ciliary body is innervated by the trigeminal nerve, and pain caused by its inflammation may therefore radiate to the periorbital region and to the eye. Because branches of the trigeminal nerve supply the cornea and iris, inflammation of these areas can cause a retrograde reflex with vascular dilation and swelling in the ciliary body, the so-called axon reflex. Cycloplegia is therefore useful in cases of iritis and in some cases of keratitis because paralysis of the ciliary muscle alleviates the pain of ciliary spasm.3

PHOTOPHOBIA

Photophobia (pain caused by light exposure) is often accompanied by tearing and blepharospasm. It must be distinguished from the photodysphoria or photoaversion in patients with achromatopsia, cone dystrophy, or retinitis pigmentosa and from glare caused by lenticular opacities. Photophobia is a prominent symptom in patients with inflammation of the iris or ciliary body and in patients with keratitis and scleritis because of the axon reflex. Again, cycloplegia may lessen photophobia and pain.

BLURRED VISION

Blurred vision may be caused by cloudy media, although vision is often surprisingly good in the presence of dense inflammatory reaction in the anterior chamber and vitreous. Floaters are a more frequent manifestation of cells and debris in the vitreous cavity. Macular edema, which frequently occurs with both anterior and posterior uveitis, can produce blurred vision, micropsia, and metamorphopsia.

Back to Top
SIGNS

CILIARY INJECTION

Ciliary injection, or “ciliary flush,” is manifest by a ring of dilated episcleral vessels radiating from the limbus. It should be distinguished from the deeper and more peripheral injection of scleritis and from the sectoral or diffuse injection of episcleritis. Overlying conjunctival injection may mask ciliary flush but topically applied neosynephrine blanches the overlying conjunctiva, allowing visualization of deeper episcleral vessels.

PUPILLARY MIOSIS OR IRREGULARITY

The pupil is typically small in patients with iritis because iris inflammation results in a release of prostaglandins, which constrict the pupil.4 One exception is patients with herpetic uveitis, who may present with a dilated pupil.5 The pupil in patients with anterior uveitis often becomes irregular and fixed because of the development of posterior synechiae.

BAND KERATOPATHY

Long-standing chronic iridocyclitis, especially in children, may result in calcific band keratopathy, the deposition of calcium hydroxyapatite in the cornea at the level of Bowman's membrane. Band keratopathy usually begins as grayish-white opacities at the periphery of the interpalpebral region. The opacification may spread centrally and in time may form a complete band within the interpalpebral zone. A lucid interval is noted between the band and the limbus because Bowman's layer does not extend to the absolute limbus.6 Small clear areas are noted in the opacity, representing the location where corneal nerves penetrate Bowman's layer. These holes impart a “Swiss cheese” appearance to band keratopathy (Fig. 1). Band keratopathy should be distinguished from Vogt's limbal girdle and spheroidal degeneration. Occasionally, band keratopathy is atypical and starts centrally. Rarely, it forms a reticular pattern resembling lattice dystrophy called superficial reticular degeneration of Koby.7

Fig. 1. Band keratopathy in the interpalpebral area in a patient with juvenile rheumatoid arthritis. Note the small holes in the opacity, which represent the location where corneal nerves penetrate Bowmans layer. Also note lucid interval between the band and the limbus.

KERATIC PRECIPITATES

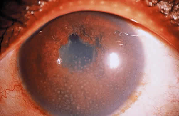
Clusters of inflammatory cells deposited on the endothelial surface of the cornea are known as keratic precipitates. The cells, which have been deposited from the aqueous humor, are often found inferiorly on the cornea in a linear vertical formation (Turk's line) or in the form of a base-down triangle (Arlt's triangle; Fig. 2). The inferior corneal distribution results from convection currents in the anterior chamber that rise along the warm iris and fall along the cool cornea. Exceptions to the rule of inferior distribution of keratic precipitates include inflammation secondary to herpes simplex and zoster, cytomegalovirus, and Fuchs' heterochromic iridocyclitis, which result in fine stellate keratic precipitates, often throughout the whole cornea. Sarcoidosis and VKH may also result in keratic precipitates distributed above the midline but these keratic precipitates tend to be larger and greasier in appearance than those associated with Fuchs' or herpetic iridocyclitis.

Fig. 2. Chronic iridocyclitis. Note large greasy keratic precipitates in Arlt's triangle. Also note extensive posterior synechiae and bussacca nodules.

The cells that precipitate on the corneal endothelium reflect the composition of those in the aqueous humor. In acute inflammation, polymorphonuclear leukocytes predominate, whereas in chronic inflammation lymphocytes, plasma cells and pigment are more common.8 Fine fibrin dusting may also be present, alone or among the keratic precipitates. Fibrin is a prominent feature of the keratic precipitates of Fuchs' iridocyclitis, forming the bridges and stellate arms of the keratic precipitates.

In addition to size, shape, and distribution of keratic precipitates, color may be an important characteristic. Fresh keratic precipitates tend to be white and round, whereas older keratic precipitates may be pigmented, faded, or have an irregular crenelated appearance. Descemet's membrane may cover old keratic precipitates, imparting a glassy or ghost-like appearance (Fig. 3). Large greasy-white keratic precipitates approaching 1 mm in diameter are often termed mutton-fat keratic precipitates and represent clusters of macrophages and epithelioid cells (Fig. 4). These are pathognomonic of granulomatous inflammation.

Fig. 3. Chronic iridocyclitis. Patient is aphakic. Note inferior corneal endothelial scarring, and old glassy “ghost” keratic precipitates inferiorly.

Fig. 4. Mutton-fat keratic precipitates in a patient with toxoplasmosis.

Although many keratic precipitates fade without sequelae, transient decompensation of the cornea may ensue. The endothelium may have the appearance of having guttae (cornea pseudoguttata) secondary to endothelial cell swelling.9 Permanent opacification of the inferior corneal endothelium has also been described in chronic iridocyclitis, resulting from fibrous metaplasia of the endothelium due to the presence of keratic precipitates10 (see Fig. 3). It is important to document size, color, distribution, and number of keratic precipitates at each visit. For example, one should describe 30 small white keratic precipitates and 5 medium pigmented keratic precipitates all located on the inferior cornea, rather than simply noting that the patient has keratic precipitates.

ANTERIOR CHAMBER FLARE

Normal aqueous humor is optically empty. If the slit-lamp beam is seen in the anterior chamber, it is termed “flare” and represents breakdown of the blood-aqueous barrier with exudation of protein. Flare is still graded according to the scheme proposed by Hogan in 195911 (Table 1). The light intensity of the slit lamp is turned to maximum, a short 1- to 2-mm slit is used, and the ray of light is directed at an oblique angle to the plane of the iris. Flare may also be measured using a laser flare meter or flare-cell meter, which quantifies anterior chamber protein by measuring light scattering of a helium-neon laser beam in the anterior chamber.12,13

 

TABLE 1. Grading of Anterior Chamber Flare


FlareDescription
0Complete absence
1+Faint flare (barely detectable)
2+Moderate flare (iris and lens details clear)
3+Marked flare (iris and lens details hazy)
4+50 or more
(Hogan MH, Kimura SJ, Thygeson P: Signs and symptoms of uveitis: I. Anterior uveitis. Am J Ophthalmol 47:155, 1959)

 

ANTERIOR CHAMBER CELLS

Cells in the aqueous humor usually result from active inflammation of the iris and ciliary body. Larger cells probably represent swollen macrophages or clumps of lymphocytes, whereas smaller cells may be individual lymphocytes. Studies of anterior chamber cells have shown that lymphocytes and monocytes predominate.14 T lymphocytes are the most common cell type overall,15 and polymorphonuclear leukocytes are common in hypopyon uveitis.14 Inflammatory anterior chamber cells are usually white and should be distinguished from pigmented cells, which may not indicate active inflammation. Pigmented cells may be uveal cells, melanin-containing macrophages, erythrocytes, or macrophages filled with pigment. Free pigment may also be found in the anterior chamber and should be distinguished from cells.

Cells in the anterior chamber are counted using the wide beam with a 1- to 2-mm long slit and graded according the method of Hogan and coworkers (Table 2).11 If the cells seem to be suspended rather than moving, there is probably extensive fibrin in the aqueous. Leukocytes may precipitate out of the anterior chamber to form a hypopyon (Fig. 5), and erythrocytes may layer out in a hyphema. It is important to examine the area of the inferior limbus, so that the presence of layered cells is not overlooked.

 

TABLE 2. Grading of Cells


GradeCells per Field
0No cells
Rare1–2
Occasional3–7
1+7–10
2+10–20
3+20–50
4+50 or more
(Modified from Hogan MH, Kimura SJ, Thygeson P: Signs and symptoms of uveitis: I. Anterior uveitis. Am J Ophthalmol 47:155, 1959)

 

Fig. 5. Severe acute fibrinous iridocyclitis (HLA-B27+ ). Note ciliary flush, fibrinous pupillary membrane, almost 360° of posterior synechiae, and small hypopyon. Note also dilated iris vessels.

CELLS IN THE ANTERIOR VITREOUS

The density of cells in the anterior vitreous (retrolental space) should be estimated after pupillary dilation and compared with the density of the cells in the anterior chamber. A diagram indicating the density of the cells in these two locations is a useful method of documentation (Fig. 6).

Fig. 6. Diagram illustrating comparison of density of cells in the anterior chamber and vitreous. Sketching a simple diagram such as this may help to determine the source of the cells. In iritis, most of the cells come from the iris and are present in front of the lens and iris diaphragm. In iridocyclitis, the densities of cells in front of and behind the lens are equal. In cyclitis, most cells are behind the lens in the anterior vitreous.

IRIS ABNORMALITIES

Some iris nodules are analogous to keratic precipitates in representing cells that have precipitated out of the aqueous humor. Other nodules may represent inflammatory foci on or within the iris.

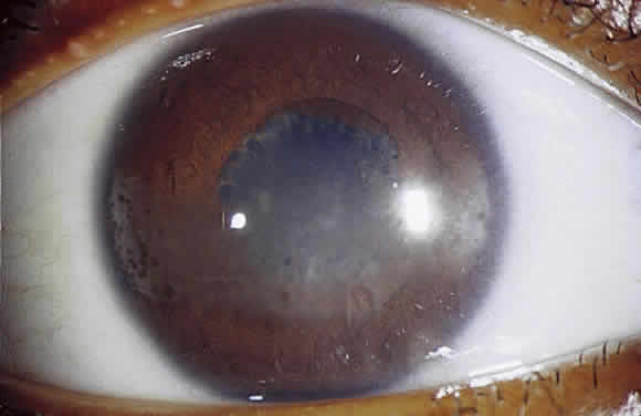
Iris nodules may be gray or white and translucent and are often covered with pigment. Masses at the pupillary border are called Koeppe nodules, whereas those on the anterior surface of the iris are called Busacca nodules (Fig. 7; see Fig 2). Busacca nodules are evidence of granulomatous inflammation, and Koeppe nodules are often located in areas that subsequently develop posterior synechiae. The presence and location of nodules should be carefully diagrammed, and every effort must be made to keep the pupil moving, thereby preventing the development of permanent iridolenticular adhesions.

Fig. 7. Chronic iridocyclitis, with Koeppe nodules at pupillary border. Small gelatinous Bussacca nodules are seen in the iris stroma, to the left of the pupil.

Posterior synechiae may also develop without nodule formation because fibrin in the aqueous can induce adhesions to the lens. Later, fibrous organization may make adhesions pharmacologically unbreakable, and the formation of synechiae during treatment indicates inadequate therapy. If posterior synechia formation proceeds unchecked, pupillary block glaucoma may develop (Fig. 8). Peripheral anterior synechiae (PAS) in the anterior chamber angle may result from chronic shallowing of the anterior chamber because of posterior synechiae and pupillary block. They may also result from fibrous organization of inflammatory exudates and precipitates in the angle. Rubeosis may also occur in severe long-standing uveitis and lead to PAS. Progression of PAS may lead to angleclosure glaucoma.

Fig. 8. Iris bombe in a patient with 360° posterior synechiae and a pupillary membrane.

In cases of chronic iritis, tiny refractile crystals may be seen on the surface of the iris, probably representing Russell bodies16,17 (Fig. 9). The iris of patients with chronic iritis may demonstrate prominent iris vessels that follow the normal anatomy. These congested normal vessels must be distinguished from neovascular rubeotic vessels, which tend to arborize at random. Clinically, it may sometimes be difficult differentiate the two, and both types of vessels leak on fluorescein angiography.18

Fig. 9. Refractile iris crystals in a patient with Fuchs' heterochromic iridocyclitis.

The iris often becomes atrophic in patients with chronic iridocyclitis. Atrophy of the posterior pigmented epithelium of the iris is more common in herpetic uveitis and may result in iris transillumination defects (Fig. 10). Anterior stromal atrophy is more characteristic of Fuchs' iridocyclitis and often results in heterochromia. The irides should therefore be examined by external inspection with the room lights on to document any heterochromia and at the slit lamp to document transillumination defects.

Fig. 10. Extensive iris transillumination defects in a patient with herpes simplex iridocyclitis.

INTRAOCULAR PRESSURE

Intraocular pressure (IOP) must be monitored initially and at each subsequent examination of every uveitis patient. Patients with acute anterior uveitis usually present with low IOP, secondary to infiltration of the ciliary body by inflammatory cells and subsequent reduction of aqueous production. The release of prostaglandins may also play a role in decreasing IOP.19 In contrast, patients with severe inflammation may have elevated IOP because of inflammation in the area of the trabecular meshwork or blockage of the angle by cells and debris.20 Exceptions to the rule that most patients with acute iridocyclitis have low IOP are seen with herpes simplex uveitis, herpes zoster uveitis, PosnerSchlossman syndrome, and toxoplasmosis. These patients often have elevated IOP early in the course of their disease.21–25

Patients with chronic iridocyclitis frequently develop elevated IOP. This elevation of IOP may result from PAS, trabecular scarring, pupillary block resulting from posterior synechiae, rubeosis irides, or corticosteroid therapy. Patients may develop elevated IOP after any form of corticosteroids, including topical drops; subtenon or subconjunctival injection; and intravenous, oral, and inhaled formulations. Any patient receiving local or systemic corticosteroids must have IOP monitored at each visit. Some patients do not initially respond to steroids with an elevation in IOP but become steroidresponders after months or even years of therapy.26 Some of the delayed steroid response may be due to progressive trabecular compromise resulting from inflammation and from increased aqueous production because of ciliary body recovery.

LENS OPACITIES

Chronic or recurrent acute iridocyclitis may lead to posterior subcapsular cataract formation. Lysophosphatidyl choline, which is elevated in the anterior chamber during inflammation, may contribute to cataract formation.27–29 Steroids also contribute to the development of cataract in uveitis patients. They are well-known cataractogenic agents, although there does not appear to be a strong relation between the dose of corticosteroids and the onset of cataract30; that is, some people develop cataracts after a relatively short course of steroids, whereas others seem fairly resistant. Thus, it is almost impossible to tell whether the treatment or the disease is the major contributing factor for cataract formation in a given uveitis patient.

Fibrinous membranes may develop over the surface of the lens in some cases of iridocyclitis. The underlying lens may be clear but the epilenticular membrane prevents a clear view of the lens and decreases vision. This is particularly common in patients with juvenile rheumatoid arthritis-related iridocyclitis, and the membrane may occasionally be peeled off the lens without the need for cataract surgery.

VITREOUS OPACITIES AND HAZE

Inflammatory posterior vitreous opacities have historically been graded by direct ophthalmoscopy.31 The method most commonly used is that described by Nussenblatt and associates,32 which uses the indirect ophthalmoscope (Table 3).

 

TABLE 3. Classification of Vitreous Haze


GradeDescription
0No haze
TraceSlight blurring of optic disc margin
1+Slightly blurred optic nerve and vessels
2+Moderately blurred optic nerve and vessels
3+Optic nerve head border blurry but visible
4+Optic nerve head obscured
(From Nussenblatt RB, Palestine AG, Chan CC, Roberge F. Standardization of vitreal inflammatory activity in intermediate andposterior uveitis. Am J Ophthalmol 92(4)467—1)

 

Posterior vitreous opacities are best studied with contact or noncontact (78 diopter, 90 diopter, or superfield lens) slit-lamp biomicroscopy. Exudates or clumps of inflammatory cells may be seen anywhere in the vitreous. They may line the posterior surface of a posterior vitreous detachment, forming so-called vitreous precipitates, which are analogous to keratic precipitates and are common in toxoplasmosis. They may also be seen within the vitreous or on the retinal surface. Large clumps of vitreous cells are often termed “snowballs” (Fig. 11). Traction bands may form in the vitreous and result in the development of vitreous hemorrhage or retinal detachment.

Fig. 11. Clumps of inflammatory cells (snowballs) in the vitreous of a patient with pars planitis.

CILIARY BODY ABNORMALITIES

The pars plana of the ciliary body may be seen by indirect ophthalmoscopy with scleral depression. This is particularly important in cases of suspected pars planitis, where one may see “snowbanking” of inflammatory cells and neovascular membranes. The pars plicata of the ciliary body is more difficult to see, and the ultrasound biomicroscope may be used to provide information about its position and morphology.33–35 It may also be used to provide information about angle structures, ciliary body, and peripheral retina, particularly in patients without clear media.

Cyclitic membranes that form between the ciliary processes may lead to ciliary body detachment, hypotony, and phthisis bulbi. This process most frequently occurs in long-standing cases of iridocyclitis. Extension of the cyclitic membranes posteriorly may lead to tractional retinal detachment. These membranes may be difficult to detect. Sometimes they are seen in the retrolental space at the slit lamp but in other cases they are not seen clinically. Their presence may often be inferred because of profound hypotony that is unresponsive to anti-inflammatory therapy, and ultrasound biomicroscopy may be confirmatory.

FUNDUS ABNORMALITIES

Every patient with uveitis requires a complete fundus examination. Posterior foci inflammation or infection may be missed if one examines the anterior chamber only. For example, patients with cytomegalovirus retinitis or toxoplasmic retinochoroiditis may present with anterior chamber inflammation. If a complete dilated fundus examination is not performed, the patient may be misdiagnosed as having noninfectious iritis or iridocyclitis. Indirect ophthalmoscopy is necessary to see the peripheral retina. The macula should also be examined with slit-lamp biomicroscopy in all patients with uveitis because cystoid macular edema is a frequent cause of decreased vision in patients with anterior, intermediate, and posterior inflammation. It should be suspected in cases where visual acuity is decreased, even when the macula does not appear grossly edematous. Fluorescein angiography is a helpful adjunct to clinical examination, especially in cases with a compromised view of the fovea. Other causes of decreased visual acuity in patients with uveitis include epiretinal membranes and subretinal neovascularization. It is important not to overlook these findings because laser or surgical therapy may improve prognosis.

Examination of the posterior segment of the eye must also include an examination of the optic nerve head. Disc edema or hyperemia is frequent in uveitis patients, often preceding the development of macular edema. Neovascularization of the disc is another abnormality that may develop in patients with severe uveitis.36 The optic nerve head may also be a site of granuloma formation (Fig. 12).

Fig. 12. Large optic nerve head granuloma in a patient with sarcoidosis. Note the areas of periphlebitis.

The retinal vessels should be examined for evidence of vasculitis, noting whether the vasculitis affects primarily the veins (phlebitis) or the arteries (arteritis). Patients with sarcoid uveitis commonly have extensive periphlebitis, whereas patients with Behçet's disease may have more of an arteritic picture. Patients with herpetic retinitis may have extensive arteritis and phlebitis, which produce the appearance of “frosted branch angiitis”37 (Fig. 13).

Fig. 13. Fundus photograph of the right eye of a patient with cytomegalovirus retinitis and extensive “frosted branch angiitis.” The active cytomegalovirus retinitis is temporal to the fovea and along the superotemporal arcade.

Examination of the fundus also includes an evaluation of the choroid because choroidal lesions are seen in many infectious and noninfectious uveitides. They may range in size from small Dalen-Fuchs—like nodules to large patches of choroidal infiltration, as seen in large-cell lymphoma. Choroidal granulomas may resolve, leaving “punched-out” atrophic lesions, such as the peripheral spots seen in the ocular histoplasmosis syndrome.

A good history and clinical examination are invaluable in patients with uveitis. They are necessary for the development of a differential diagnosis and cannot be replaced by a barrage of nondirected laboratory tests. Once a good history has been elicited—including ocular and extraocular symptoms—and a detailed clinical examination performed, a rational differential diagnosis can be formulated and a directed work-up obtained.

Back to Top
REFERENCES

1. Duke-Elder S: System of Ophthalmology. Volume II: The Anatomy of the Visual System, p 131. St. Louis, CV Mosby, 1961

2. Bloch-Michel E, Nussenblatt RB: International Uveitis Study Group recommendations for the evaluation of intraocular inflammatory disease. Am J Ophthalmol 103:234, 1987

3. Lebensohn JE: The nature of photophobia. Arch Ophthalmol 12:380, 1934

4. Waitzman MB, King CD: Prostaglandin influences on intraocular pressure and pupil size. Am J Physiol 212:329, 1967

5. Goldstein DA, Mis AA, Deschenes JG, Burniner MN Jr: Iris atrophy in herpes simplex uveitis. Invest Ophthal Vis Sci 36(4):S150, 1995

6. Spencer WH: Ophthalmic Pathology, 4th ed, p 157. Philadelphia, WB Saunders, 1996

7. Perry HD, Leonard ER, Yourish NB: Superficial reticular degeneration of Koby. Ophthalmology 92:1570, 1985

8. Yanoff M, Fine BS: Ocular Pathology, 4th ed, p 55. Chicago, Mosby-Wolfe, 1996

9. Krachmer JH, Schnitzer JI, Fratkin J: Cornea pseudoguttata: A clinical and histopathological description of endothelial cell edema. Arch Ophthalmol 99:1377, 1981

10. Lucchese N, Tessler H: Keratitis associated with chronic iridocyclitis. Am J Ophthalmol 92:717, 1981

11. Hogan MJ, Kimura SJ, Thygeson P: Signs and symptoms of uveitis: I. Anterior uveitis. Am J Ophthalmol 47:155, 1959

12. Shah SM, Spalton DJ, Taylor JC: Correlations between laser flare measurements and anterior chamber protein concentrations. Invest Ophthalmol Vis Sci 33(10):2878, 1992

13. Guex-Crosier Y, Pittet N, Herbort CP: Evaluation of laser flare-cell photometry in the appraisal and management of intraocular inflammation in uveitis. Ophthalmology 101(4):728, 1994

14. Hogan MJ, Wood IS, Godfrey WA: Aqueous humor cytology in uveitis. Arch Ophthalmol 89:217, 1973

15. Deschenes J, Freeman WR, Char DH, Garovoy MR: Lymphocyte subpopulations in uveitis. Arch Ophthalmol 104: 233, 1986

16. Iwamoto T, Witmer R: Light and electron microscopy on plasma cells and Russell bodies in the iris of a chronic uveitis patient. Invest Ophthalmol 8:563, 1969

17. Goldstein DA, Edward DP, Tessler HH: Iris crystals in Fuchs' heterochromic iridocyclitis. Arch Ophthalmol 116: 1692, 1998

18. Laatikainen L: Vascular changes in the iris in chronic anterior uveitis. Br J Ophthalmol 63:145, 1979

19. Camras CB, Bito LZ, Eakins KE: Reduction of intraocular pressure by prostaglandins applied topically to the eyes of conscious rabbits. Invest Ophthalmol Vis Sci 16:1125, 1977

20. Roth M, Simmons RJ: Glaucoma associated with precipitates on the trabecular meshwork. Ophthalmology 86:1613, 1979

21. Falcon MG, Williams HP: Herpes simplex kerato-uveitis and glaucoma. Trans Ophthalmol Soc UK 98:101, 1978

22. Womack LW, Liesegang TJ: Complications of herpes zoster ophthalmicus. Arch Ophthalmol 101:42, 1983

23. Rothova A: Ocular involvement in toxoplasmosis. Br J Ophthalmol 77:371, 1993

24. Posner A, Schlossman A: Syndrome of unilateral recurrent attacks of glaucoma with cyclitic symptoms. Arch Ophthalmol 39:517, 1948

25. Nussenblatt RB, Belfort R Jr: Ocular toxoplasmosis: An old disease revisited. JAMA 271:304, 1994

26. Kitazawa Y: Increased intraocular pressure induced by corticosteroids. Am J Ophthalmol 82:492, 1976

27. Cotlier E, Baskin M, Kim JO, Lueck K: Lysophosphatidyl choline and cataracts in uveitis. Arch Ophthalmol 94(7): 1159, 1976

28. Secchi AG, Fregona I, D'Ermo F: Lysophosphatidyl choline in the aqueous humor during ocular inflammation. Br J Ophthalmol 63(11):768, 1979

29. Mochizuki M, Zigler JS Jr, Russell P, Gery I: Serum proteins neutralize the toxic effect of lysophosphatidyl choline. Curr Eye Res 2(9):621, 1983

30. Skalka H, Prchal JT: Effect of corticosteroids on cataract formation. Arch Ophthalmol 98:1773, 1980

31. Kimura SJ, Thygeson P, Hogan MJ: Signs and symptoms of uveitis II: Classification of the posterior manifestations of uveitis. Am J Ophthalmol 47:171, 1959

32. Nussenblatt RB, Palestine AG, Chan CC et al: Standardization of vitreal inflammatory activity in intermediate and posterior uveitis. Ophthalmolgy 92:467, 1985

33. Gentile RC, Liebmann JM, Tello C et al: Ciliary body enlargement and cyst formation in uveitis. Br J Ophthalmol 80(10):895, 1996

34. Gentile RC, Berinstein DM, Liebmann J et al: High resolution ultrasound biomicroscopy of the pars plana and peripheral retinal. Ophthalmology 105(3):478, 1998

35. Augsburger JJ, Affel LL, Benarosh DA: Ultrasound biomicroscopy of cystic lesions of the iris and ciliary body. Trans Am Ophthalmol Soc 94:259, 1996

36. Shorb SR, Irvine AR, Kimura SJ et al: Optic disk neovascularization associated chronic uveitis. Am J Ophthalmol 82: 175, 1976

37. Rabb MF, Jampol LM, Fish RH, et al: Retinal periphlebitis in patients with acquired immunodeficiency syndrome with cytomegalovirus mimics acute frosted retinal periphlebitis. Arch Ophthalmol 110:1257, 1992

Back to Top