Chapter 16
Corneal Dysgeneses, Dystrophies, and Degenerations
KENNETH R. KENYON, PETER S. HERSH, TOMY STARCK and JERRY A. FOGLE
Main Menu   Table Of Contents

Search

CORNEAL DYSGENESES
CORNEAL DYSTROPHIES
CORNEAL DEGENERATIONS
REFERENCES

The dygeneses, dystrophies, and degenerations of the cornea account for a broad spectrum of ocular abnormalities, ranging from clinical curiosities to sight-threatening anomalies. Knowledge of these entities has accrued through both clinical study and examination of histopathologic specimens.

Dysgeneses of the cornea are developmental disorders, sometimes inherited, resulting in congenital malformations. Corneal dysgeneses may be unilateral or bilateral and are nonprogressive. The central, peripheral, or entire cornea as well as other ocular structures may be affected and, occasionally, associated systemic abnormalities are present.

A corneal dystrophy generally exhibits a familial pattern, is bilateral if not symmetric, and does not appear to be secondary to any environmental or systemic factor. Dystrophies tend to be manifest relatively early in life and are variably progressive. Abnormalities generally affect the central cornea and are noninflammatory in origin. Senescence may encourage deterioration of the dystrophic cornea but is not a primary cause of the disorder. Each unique dystrophy exhibits characteristic histopathologic features.

Corneal degenerations, in contrast to dysgeneses and dystrophies, seem to have no developmental or hereditary pattern and may be unilateral or bilateral. A degeneration is often a manifestation of aging, inflammation, or environmental insult and, therefore, usually occurs later in life than a dystrophy. Degenerations most often begin in the peripheral cornea, although central vision may eventually be affected. Inflammation is sometimes involved early in the degenerative process and may be accompanied by corneal vascularization. In some instances, such inflammatory processes may be associated with systemic disease (e.g., collagen-vascular disease).

Back to Top
CORNEAL DYSGENESES

ABNORMALITIES OF SIZE AND CURVATURE

Absence of Cornea

Complete absence of the cornea is rare. In such cases, there is variable absence of other anterior ocular structures derived from surface ectoderm, and the eye consists of a scleralike enclosure lined with neural ectoderm.1 Ultrasonography should aid in differentiating this entity from cryptophthalmos.

Microcornea

The term microcornea implies a corneal diameter of less than 10 mm. Microcornea may occur either unilaterally or bilaterally and is thought to occur secondary to an arrest in corneal growth after the fifth month of fetal development. The eye may be otherwise normal, but often other ocular abnormalities such as colobomas may be present. Just as megalocornea is occasionally associated with anterior megalophthalmos, microcornea often accompanies anterior microphthalmos, with crowding of the anterior segment structures frequently resulting in angle-closure glaucoma.2 Microcornea can also be seen in nanophthalmos and as part of other anterior segment dysgeneses.

The microcornea is generally clear with normal histologic architecture and, in the absence of other ocular abnormalities, vision may be good. Certain somatic abnormalities have been described in conjunction with microcornea and anterior microphthalmos, including dwarfism and Ehlers-Danlos syndrome.3

Simple Megalocornea

Simple megalocornea (Fig. 1) is a nonprogressive, usually symmetric, inherited condition in which the cornea and limbus are enlarged without evidence of previous or concurrent ocular hypertension. The diameter of the cornea is greater than 12mm, but the corneal thickness and histologic anatomy are normal. Although X-linked recessive inheritance is most common, all modes of inheritance have been reported. Female carriers may have slightly enlarged corneas.4

Fig. 1. Megalocornea. Left. Light microscopy of a 62-year-old man with corneal diameters of 13 mm shows in pupil-optic nerve section an enlarged anterior segment with no abnormalities (except beveled scar of cataract incision and surgical aphakia) (hematoxylin-eosin, × 3). Right. Central section of the cornea demonstrates all layers to be normal except for some thinning of the epithelium (hematoxylin-eosin, × 165). (Greene WR: Md State Med J, July 1974)

Simple megalocornea can be differentiated from congenital glaucoma by the clarity of the cornea and by a normal intraocular pressure and optic nerve in the former. Moreover, the megalocornea demonstrates normal endothelial cell population densities on specular microscopy whereas, in congenital glaucoma, these are diminished, ostensibly due to corneal distention.5Although some authors suspect that megalocornea may represent arrested congenital glaucoma, a single case reporting the histopathology of megalocornea did not disclose any of the characteristic angle abnormalities of congenital glaucoma. However, both conditions have been reported in the same family and in the same individual.6,7 Simple megalocornea must also be differentiated from keratoglobus (see discussion later in chapter on ectatic corneal dystrophies).

Anterior Megalophthalmos

In comparison to simple megalocornea, eyes with anterior megalophthalmos have enlargement of the lens-iris diaphragm and ciliary ring in addition to the cornea.8 A large myopic astigmatic refractive error often results from the abnormal optical architecture. The iris may exhibit transillumination defects as a result of attenuation of the dilator muscle.

Because of the abnormal spatial relationships of structures in the anterior segment and stretching of the zonules, iridodonesis, phakodonesis, and lens subluxation or dislocation may occur; the latter may result in secondary lens-induced glaucoma. The lens, furthermore, may become prematurely cataractous.

Marfan's syndrome,9 Apert's syndrome,10 and mucolipidosis type II11 have been found in association with this disorder.

Cornea Plana

In cornea plana, the corneal curvature is flatter than normal, often reaching levels as low as 20 to 30 D, with a radius of curvature similar to the sclera.12,13 Peripheral scleralization of the cornea is almost always present, and the condition is indistinguishable clinically from peripheral sclerocornea. The limbal landmarks are also obscured, simulating microcornea.

In cornea plana, the anterior chamber is shallow by virtue of the low corneal dome. Refractive abnormalities vary from hyperopia of 7 D to myopia of 9 D, depending on the globe dimensions and corneal curvature.14 This condition also features concurrent anterior segment abnormalities,15 including iris colobomas, congenital cataract, and occasional posterior segment colobomas. The distortion of the cornea along with concomitant sclerocornea leads to a decrease in corneal transparency. Both dominant and recessive inheritance have been reported for this rare developmental condition.

MESENCHYMAL DYSGENESES

The spectrum of congenital eye findings that the term mesenchymal dysgenesis subsumes has historically been known by a variety of names including mesodermal dysgenesis and anterior segment cleavage syndrome. A number of pathogenetic theories have been advanced to describe this group of congenital abnormalities, all based on concepts of anterior segment embryogenesis. The term anterior segment cleavage syndrome, for instance, implies abnormal separation of developing tissues16 (for instance, the lens vesicle), a concept that has been placed in question with increased knowledge of ocular embryology. Rather, the more contemporary notion of mesenchymal dysgenesis has been devised to reflect a developmental arrest and incomplete central migration of neural crest cells and corneogenic mesoderm.17

Neural crest cells migrate into the developing anterior segment in three waves, contributing to the corneal endothelium18 and trabecular meshwork, stromal keratocytes, and iris, respectively. Arrest at any of these stages may bring about the recognized clinical dysgenesis syndromes. In addition to this developmental arrest, secondary anterior displacement of the lens-iris diaphragm may account for some of the congential abnormalities encountered.19,20

Whatever the exact pathogenesis, since corneal and iris tissues are likely derived at least in part from the neural crest21 rather than from mesoderm, and tissues of other origin (e.g., the ectoderm-derived lens) may also be involved, this heterogeneous group of congenital anomalies may be best described by the broader term mesenchymal dysgeneses.22

The mesenchymal dysgeneses may affect the periphery of the anterior segment, manifest only central pathologic changes, or affect the entire anterior segment. For simplicity, the spectrum of mesenchymal dysgeneses may be categorized in a stepladder classification scheme as suggested by Waring (Fig. 2).23 Rarely, however, does a case specifically conform to only one of these entities.

Fig. 2. Composite illustration of the anatomic findings in mesenchymal dysgenesis of the anterior ocular segment. The stepladder table demonstrates the spectrum of anatomic combinations of terms by which they are commonly known. The central abnormalities occur because of focal absence or attenuation of the endothelium. (Adapted from Reese AB, Ellsworth RM: The anterior chamber cleavage syndrome. Arch Ophthalmol 75:307–318, 1966. Copyright 1966, American Medical Association.)

Posterior Embryotoxon

The simplest dysgenesis of the anterior segment periphery is anterior displacement and enlargement of Schwalbe's line, called posterior embryotoxon. Schwalbe's line appears as an irregular, circumferential ridge on the posterior surface of the cornea just inside the limbus. Gonioscopy shows it to jut into the anterior chamber, and the adjacent uveal trabecular meshwork may be a dense appearance.23

Axenfeld's Anomaly

Axenfeld's anomaly results when posterior embryotoxon is accompanied by abnormal iris strands crossing the anterior chamber angle to attach to a prominent Schwalbe's line.24 If glaucoma is also present (secondary to angle abnormality), the condition is called Axenfeld's syndrome.25

Rieger's Anomaly and Syndrome

Rieger's anomaly is present if hypoplasia of the anterior iris stroma is found with the changes typical of Axenfeld's anomaly (Color Plate 1A).26,27 Rieger's anomaly is associated with glaucoma in approximately 60% of cases, which may result from incomplete development of the aqueous outflow system. Rieger's syndrome28 is present when the eye anomaly is accompanied by skeletal abnormalities such as maxillary hypoplasia, microdontia, and other limb and spine malformations. Marfan's syndrome has also been found in conjunction with Rieger's syndrome.

Color Plate 1 A. Rieger's anomaly. The central cornea is unaffected and visual acuity remains normal. However, there is anterior displacement of Schwalbe's line and broad iridocorneal synechiae with distortion and displacement of the pupil. B. Peters' anomaly. The corneal leukoma is central, corresponding to the defect in Descemet's membrane and endothelium with overlying stromal disorganization. The peripheral cornea remains clear. Not evident are characteristic adhesions between the iris margin and the periphery of the stromal opacity. C. Congenital anterior staphyloma. Extreme stromal ectasia, scarring, and disorganization plus neovascularization are accompanied by congenital glaucoma with anterior buphthalmos. The posterior segment remains relatively unaffected. D. Epithelial basement membrane dystrophy, This variant of map-dot-fingerprint dystrophy displays predominantly small, opaque debris-filled intraepithelial pseudo-cysts, with predisposition to recurrent erosive symptoms. E. Band keratopathy. In this patient with long-standing chronic inflammation subsequent to multiple surgical procedures, extensive calcific deposition at the level of Bowman's layer results in epithelial distortion and erosion. F. Granular corneal dystrophy. This autosomal dominant dystrophy displays discrete stromal opacities with the appearance of snow-flakes or bread crumbs, and since the intervening stroma is clear, visual acuity is maintained. G. Lattice corneal dystrophy. This autosomal dominantly inherited disorder of amyloid metabolism is evident as pathognomonic branching opacities within the corneal stroma, as well as more diffuse subepithelial deposits, best appreciated by retroillumination. H. Macular corneal dystrophy. This autosomal recessive dystrophy displays diffuse full-thickness stromal haze with superimposed focal stromal opacities, affecting both stroma and Descemet's membrane. Since vision is compromised, penetrating keratoplasty is required. I. Central crystalline dystrophy (Schnyder). Fine, needlelike intrastromal crystals, predominantly of cholesterol, are slowly progressive and may be accompanied by arcus. The dystrophy is dominantly inherited and may have concomitant systemic abnormalities of lipid metabolism. J. Congenital hereditary endothelial dystrophy. Diffuse edema of the corneal stroma is accompanied by relatively limited and usually nonprogressive epithelial edema. Thus, visual acuity may be relatively well preserved. K. Fuchs' endothelial dystrophy. The earliest manifestations are evident as myriad focal guttate excrescences of Descemet's membrane in the absence of epithelial or stromal edema. These are best appreciated by retroillumination, and specular microscopy is confirmatory (see also Fig. 17). L. Fuchs' endothelial dystrophy. With a more advanced stage of corneal endothelial dysfunction, stromal and epithelial edema progress with loss of vision and possibly painful bullous epithelial erosion. M. Posterior polymorphous dystrophy. In this moderately advanced case, grouped vesicular opacities at the level of Descemet's membrane probably correspond to fibrous proliferations in the geographic areas of endotheliallike transformation. There is some extent of stromal edema, but visual acuity is usually preserved. N. Keratoconus. The corneal thinning and ectasia result in extensive visual distortion due to irregular astigmatism. O. Terrien's marginal degeneration. In this young man with progressive myopic astigmatism, noninflammatory corneal thinning is evident in the superior periphery. Noteworthy slit lamp findings include neovascularization of the thinned stroma with lipid extravasation at the leading edge without epithelial defect. P. Mooren's ulcer. This inflammatory condition of peripheral ulcerative keratitis is hall-marked by pain in the setting of intense conjunctival inflammation. The overlying peripheral corneal epithelium is ulcerated, as is the corresponding stroma. A dense infiltrate of acute inflammatory cells precedes the active front of progressive ulceration. This case was remarkably improved by simple resection of the adjacent peripheral limbal conjunctiva.

Posterior Keratoconus

Posterior keratoconus29–32 has no relationship to anterior keratoconus. It consists of a discrete indentation of the posterior cornea with a variable degree of overlying stromal haze and may represent the mildest variant of Peters' anomaly. Posterior keratoconus tends to be sporadic, unilateral, and relatively central, In some cases, pigment surrounds the edges of the posterior depression, suggesting previous contact to the iris. On histologic examination, Descemet's membrane may be thinned with a concomitant endothelial abnormality in the focally abnormal area.32

Although the irregularity of the posterior cornea may affect vision to some extent, the anterior surface is normal unless there is sufficient posterior thinning to cause ectasia, Rarely, the entire posterior cornea has increased curvature.33 Since vision is usually acceptable, keratoplasty is rarely indicated.

Congenital Central Corneal Opacity (Peters' Anomaly)

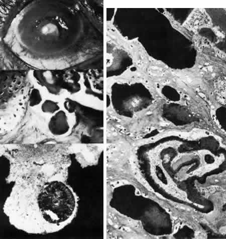
Peters' anomaly is a congenital, central corneal opacity with corresponding defects in the posterior stroma, Descemet's membrane, and endothelium (Fig. 3).16,23,34,35 Most cases of Peters' anomaly are sporadic, although both recessive and irregular dominant inheritances have been described. Eighty percent of reported cases are bilateral.

Fig. 3. Peters' anomaly. Schematic drawing of ocular features. Top left. Clinical photo of typical bilateral Peters' anomaly with large, dense central leukomata, which was successfully treated by penetrating keratoplasty with optical iridectomy of the fellow eye. Top center. Intraoperative photo demonstrates adhesion of the lens to the posterior cornea as a corneal button (grasped with forceps) is trephined. Top right. Successful penetrating keratoplasty of a patient with bilateral Peters' anomaly. Bottom, upper left. Survey light photomicrograph of a corneal button from the case illustrated clinically (top center) shows termination of Bowman's membrane (at arrowhead) corresponding to the area of adhesion between the posterior cornea and lens (L). Descemet's membrane, present peripherally, terminates centrally in a layer of retrocorneal fibrous tissue (*) interposed between the lens and stroma. Direct contact between the retrocorneal fibrous tissue and continuous lens capsule is evident (paraphenylenediamine, phase contrast, × 60). Bottom, lower left. Phase-contrast micrograph of posterior cornea adjacent to a central stromal defect shows termination (at arrowhead) of undulating Descemet's membrane between the stroma and retrocorneal fibrous tissue (paraphenylenediamine, × 400). Bottom right. Transmission electron micrograph of posterior cornea shows attenuated keratocytes (K) with phagocytic contents, disorganized posterior stromal lamellae, and markedly thin and multilaminar Descemet's membrane (DM) with attenuated but continuous endothelium (E). AC, anterior chamber. (x 7000) (Schematic. Grayson M: Diseases of the Cornea, p 29. St. Louis, CV Mosby, 1979)

Although Peters' anomaly is, in general, characterized by a central corneal leukoma, two clinical variants have been recognized (Color Plate 1B).36

Peters' anomaly type I shows the typical nebular opacity in the pupillary axis, bordered by iris strands that cross the anterior chamber from the iris collarette. The lens usually remains clear and is normally positioned. Associated anomalies such as microcornea, sclerocornea, and infantile glaucoma may be present, but, for the most part, no other ocular or systemic abnormalities are present.

In Peters' anomaly type II, in contrast, the lens is abnormal either in position or transparency in addition to the central corneal opacity and iridocorneal synechiae. Centrally, the posterior cornea and lens may be adherent, and there may be an anterior polar cataract. This type is more frequently bilateral and almost every involved case shows severe ocular and systemic malformations.37 In general, 50% to 70% of cases of Peters' anomaly have concomitant glaucoma. Other associated abnormalities of the anterior segment include microcornea, microphthalmos, cornea plana, sclerocornea, colobomas, aniridia, and dysgenesis of the angle and iris.

Histopathologic changes are present in all layers of the cornea in Peters' anomaly.19,20,38–41 Often the anterior changes, which include disorganization of epithelium, fibrovascular pannus, and loss of Bowman's layer due to long-standing edema, are secondary to the posterior abnormalities. Fluid lakes are also present in the affected stroma.

In the peripheral and unaffected areas, the corneal endothelium forms a continuous monolayer, and Descemet's membrane is of normal, uniform thickness (approximately 5μm). In the area of defect, however, endothelium and Descemet's membrane can terminate abruptly or be severely attenuated. The affected Descemet's membrane is composed of multiple laminations of basement membrane-like material, with interspersed collagen fibrils and fine filaments. Since such abnormal material is elaborated by the corneal endothelium, a fibroblastic metaplasia of the endotheliogenic mesenchyme is likely, as is thought to occur in a number of corneal conditions in which the endothelium is similarly disturbed to secrete a posterior collagen layer.42,43

The lens abnormalities in Peters' anomaly are characterized histologically by a stalklike connection between the lens and the posterior corneal defect, suggesting primary incomplete separation of the lens vesicle. Alternatively, there may be contact of a morphologically intact lens to the posterior cornea, suggesting subsequent anterior displacement of a normally developed lens.

There are several reasonable explanations for a central corneal leukoma of the Peters' variety. One is incomplete central migration of corneogenic mesenchyme (i.e., neural crest cells), accounting for posterior endothelial and stromal defects.23 This is corroborated by the finding of abnormally large stromal collagen fibrils of 36 to 60 nm in some patients with Peters' anomaly. A similar abnormality of mesenchymal development is found also in sclerocornea and congenital hereditary endothelial dystrophy.22 Another explanation of posterior corneal leukoma of a Peters' type is an in utero subluxation of the lens, either prior to or after its full development, in either case interrupting the normal migration or function of the developing endothelium.

Historically, the internal ulcer of von Hippel has also been grouped with Peters' anomaly, but the former is probably an intrauterine inflammatory condition rather than a true developmental defect.22

The management of these cases is complex and difficult, and the outcome of keratoplasty is usually related to the control of concomitant glaucoma.

Sclerocornea

In sclerocornea (Fig. 4), the limbus is ill-defined since opaque scleral tissue with fine vascular conjunctival arcades extends into the peripheral cornea. A broad range of corneal involvement is possible, with the most extreme being complete sclerification of the cornea. Ninety percent of cases are bilateral, although generally asymmetric. Most cases are sporadic; there is no known heredity. Sclerocornea is nonprogressive and must be differentiated from interstitial inflammatory conditions and arcus juvenilis (congenital peripheral lipid deposition, also known as anterior embryotoxon). Sclerocornea is associated with cornea plana in approximately 80% of cases.44 Other associated ocular abnormalities include microphthalmos, iridocorneal synechiae, persistent pupillary membrane, dysgenesis of angle and iris, congenital glaucoma, colobomas, and posterior embryotoxon of the fellow eye.45 Somatic abnormalities sometimes occur along with associated chromosomal abnormalities; they include mental retardation, deafness, and craniofacial, digital and skin abnormalities.44

Fig. 4. Sclerocornea. Schematic drawing of ocular features Top left. In a minimally affected patient with additional findings of ptosis, strabismus, and hearing loss, only the peripheral cornea is opacified. Top center. In this advanced case with chromosomal translocation and multiple congenital abnormalities, the entire cornea is sclerified and the fine vascular arcades extend centrally from the conjunctiva and sclera. Top right. Light micrograph of anterior cornea shows edematous disorganization of epithelium, fragmentation of Bowman's membrane (B), and interstitial vascularization (V) (hematoxylin-eosin, × 200). Middle left. Transmission electron micrograph of normal human corneal stroma is shown for comparative purposes. Note uniform 240- to 260-nm collagen fibril diameter (× 50,000). Middle right. Transmission electron micrograph of sclerocornea at same magnification shows disorganized array of collagen fibrils that measure as much as three times normal diameter (× 50,000). Bottom. Transmission electron micrograph of posterior cornea shows abnormal Descemet's membrane of less than 1μm thickness (DM, bracketed) and attenuated endothelial cells (× 10,500). (Schematic. Grayson M: Diseases of the Cornea, p 32. St. Louis, CV Mosby, 1979; Top center and right. Rodrigues MM, Calhoun J, Weinreb S: Sclerocornea with an unbalanced translocation [17p, 10q]. Am J Ophthalmol 78:49, 1974)

Ultrastructural studies22,46,47 have shown the involved stroma to assume the morphologic features of scleral tissue, with irregularly arranged collagen fibrils of variable and immensely enlarged diameter for corneal tissue (up to 150 nm, comparable to normal scleral collagen). The precise lamellar organization of normal corneal stroma is not present; thus optical clarity is not achieved. Various abnormalities of endothelium and Descemet's membrane exist, from attenuation to focal absence. Descemet's membrane is generally thin, with multilaminar deposition of basement membrane-like collagen.

Pathophysiologically, sclerocornea may result from developmental arrest of limbal differentiation during neural crest migration, as occurs with the other mesenchymal dysgeneses.22

Anterior Staphyloma

Anterior staphyloma is a congenital opacity of one or both corneas which become protuberant, often lined with iris tissue, and associated with an extremely disorganized anterior segment (Color Plate 1C). As in Peters' anomaly, the lens may be adherent to the posterior cornea. Anterior staphyloma may result from intrauterine inflammation or maldevelopment.48 In the latter situation, there is no histologic evidence of inflammation, and there is failure of migration of mesenchymal tissues that ordinarily would form the posterior corneal structures, iris, and angle. This maldevelopment, probably coupled with increased intraocular pressure caused by the angle abnormality, leads to corneal opacity and thinning, plus prominent buphthalmic enlargement of the entire anterior segment. Hereditary cases have been reported.

Back to Top
CORNEAL DYSTROPHIES

ANTERIOR DYSTROPHIES

The anterior corneal dystrophies (Fig. 5) are confined to the epithelium, basement membrane, and, in some cases, Bowman's layer.

Fig. 5. Characteristic corneal changes in various types of corneal dystrophy. (Courtesy of A. Bron, MD. Goldberg M: Genetic and Metabolic Eye Disease, pp 283–285. Boston, Little, Brown & Co, 1974)

Epithelial Basement Membrane Dystrophy (Map-Dot-Fingerprint)

Disorders involving the epithelium and its basement membrane may have a variable clinical appearance, but likely involve a common pathophysiology and clinical course. Since the predominant abnormality involves the basement membrane complexes that mediate the tight attachment between epithelium and Bowman's layer, the clinical manifestations of these conditions predictably involve recurrent erosions and persistent defects of the corneal epithelium.

The appellation of map-dot-fingerprint dystrophy is appropriately descriptive of the biomicroscopically visible features of intraepithelial microcysts (dots), subepithelial ridges (fingerprints), and geographic opacities (maps) (Fig. 6; Color Plate 1D).49–66 Family studies have revealed a probable dominant inheritance for map-dot-finger-print dystrophy, with variable penetrance.67 Other clinical studies are more consistent with degeneration that is rather highly prevalent in the general population.56

Fig. 6. Map-dot-fingerprint dystrophy. Top left. Clinical photograph of a 37-year-old man with non-traumatic erosions shows characteristics of map dystrophy with superficial geographic haze interrupted by clear areas. Top right. In the dot form of Cogan's mycrocystic dystrophy, superficial, opaque cysts are evident within the epithelium. Upper middle. Three variants of fingerprint dystrophy show subepithelial ridges, particularly enhanced by retroillumination. Lower middle left. Phase-con-trast microscopy of map dystrophy shows fibrous tissue (*) interposed between epithelium and Bowman's layer (B) (paraphenylenediamine, × 1000). Lower middle center. Phase-contrast microscopy of dot dystrophy shows an intraepithelial pseudocyst evolving from disintegration of desquamating cells (paraphenylenediamine, × 1200). Lower middle right. Phase-contrast micrograph of fingerprint dystrophy illustrates fingerlike intraepithelial extensions of aberrant fibrocellular material anterior to the normal-appearing Bowman's layer (B) (paraphenylenediamine, × 800). Bottom. Transmission electron micrograph in these disorders consistently finds multiple laminations of basement membrane material (*) with reduced hemidesmosomes (small circle) and increased anchoring fibrils (large circle) beneath epithelium (E) (× 40,000). (Upper middle, slit lamp photographs courtesy of Lawrence Hirst, MD)

The symptoms of recurrent erosion can become prominent in early adulthood through middle age and range from mild irritation to painful, early-morning erosive episodes. Irregular corneal astigmatism with complaints of distortion or “ghost images” may also occasionally develop secondary to plaquelike accumulations of subepithelial cellular debris, basement membrane, and collagen.

The degree of clinical symptoms, however, often do not parallel the extent of abnormal slit lamp findings. Because of the presumed primary abnormality in the epithelial basement membrane, even minor trauma may cause a major epithelial breakdown, with impaired subsequent healing. In a patient who has had a trivially traumatic or seemingly spontaneous erosive episode, meticulous examination of the symptomatic eye, as well as the fellow eye, should be performed in an attempt to disclose an underlying dystrophy. Careful inspection of the fluorescein-stained tear film for localized irregularity or instability, and retroillumination at high magnification through a dilated pupil are helpful in uncovering these often subtle abnormalities in a patient who complains of spontaneous irritation.

Many ultrastructural studies of map-dot-finger-print dystrophy have disclosed a discontinuous multilaminar, thickened basement membrane under the abnormal epithelium.49,64,65 Sometimes this abnormal basement membrane contains an admixture of collagenous and cellular debris suggestive of prior breakdown episodes. More widespread coalescence of this subepithelial material gives the clinical maplike picture. Other configurations of aberrant basement membrane and fibrillar collagens can be found extending in ridges into the epithelial layers, thereby explaining the fingerprint pattern. Epithelial microcysts are actually pseudo-cystic collections of cellular and amorphous debris within the epithelial layer. Their shape changes with time since they are formed from entrapped cellular material deeper within the epithelium. As they travel to the surface, they may coalesce with other cysts and finally break through the surface, giving rise to an irritative episode.

The primary defect in map-dot-fingerprint dystrophy is presumably the synthesis of abnormal basement membrane and adhesion complexes by the dystrophic epithelium. Unable to form proper hemidesmosomes or anchoring fibrils, the epithelium undergoes recurrent subclinical or overt episodes of dysadhesion. This periodic “lift-off” allows debris to accumulate subepithelially, providing an even less adequate substrate on which the already abnormal basement membrane must form. Moreover, intraepithelial extensions of abnormal basement membrane and collagenous material may block the normal surface migration of maturing epithelial cells, allowing the formation of encysted collections of debris. Thus, the cycle is to a degree self-perpetuating, with primary faulty epithelial adhesion secondarily causing abnormal epithelial maturation which, in turn, exacerbates the accumulation of abnormal basement membrane and collagenous debris and leads to further worsening of epithelial adhesion. Gentle débridement of severely aberrant epithelium and, in some instances, superficial keratectomy to remove subepithelial debris is an aid to conservative therapy with lubricants, hypertonic saline ointment, patching, or bandage soft contact lens.

Similar fingerprint, map, and intraepithelial microcyst changes may develop after traumatic, infectious, or ulcerative conditions, and particularly in cases of chronic epithelial edema where repeated lift-off of the epithelial sheet allows the interposition of material that can again thwart the development of proper basement membrane adhesion complexes.

Hereditary Epithelial Dystrophy (Meesmann; Stocker-Holt)

The corneal dystrophy of Meesmann68–75 and of Stocker-Holt76 is a dominantly inherited abnormality of the corneal epithelium, first described clinically by Pameijer in 1935.77 A possibly recessive form has also been reported.

The condition is evident in the first few months of life as an asymptomatic, bilateral epithelial disorder. It is usually first discovered in an older relative, who complains of foreign body sensation and mildly decreased visual acuity.

Clinically, intraepithelial cysts (Figs. 5 AND 7) are seen with biomicroscopy as a myriad of small, clear to gray-white punctate opacities in the interpalpebral zone of the cornea. The cysts are uniform in size and shape, and few may stain with fluorescein.50 Occasionally, the opacities are also noted at the level of Bowman's layer, although histopathologically Bowman's layer is not abnormal. It has been demonstrated that the cysts are actually accumulations of degenerated cellular material and basement membrane-like debris surrounded by adjacent cells. Although cells in Meesmann's dystrophy contain periodic acid-Schiff (PAS)-positive material, they do not contain excessive glycogen as was previously believed; rather they contain a dense intracellular substance of unknown composition.73

Fig. 7. Hereditary epithelial dystrophy (Meesmann; Stocker-Holt). Left. Slit lamp photograph with retroillumination discloses myriads of small, clear intraepithelial cysts. Right. Transmission electron micrograph of corneal epithelium shows intraepithelial pseudocyst containing desquamated cellular debris (× 18,000). (Left, courtesy of WJ Stark, MD)

In 1955, Stocker and Holt76 similarly described a dominantly inherited condition in patients 7 months to 70 years of age, characterized by gray, punctate, scattered corneal opacities that on focal illumination appeared as minute droplets. Histopathologically, a PAS-positive thickening of a basement membrane was present overlying a normal-appearing Bowman's layer. This nodular thickening of the basement membrane gave, in some cases, an irregular epithelial surface.

Hereditary Anterior Membrane Dystrophy

Grayson and Wilbrandt78 described a hereditary anterior corneal dystrophy presenting clinical symptoms suggestive of recurrent erosion in which the basal epithelial and basement membrane areas were affected. Slit lamp examination revealed discrete gray-white macular opacities in Bowman's layer extending into the epithelial layer with no abnormality of intervening clear cornea. Ultrastructural examination of the cornea from an elderly patient with histopathologic changes consistent with this disorder showed a thickened basement membrane and fibrocellular accumulations overlying an intact Bowman's layer.79 Hence, this condition is probably most appropriately classified within the spectrum of epithelial basement membrane dystrophy.

Reis-Bucklers Dystrophy

In 1917 Reis80 described a superficial corneal dystrophy that affected Bowman's layer, and in 1949 Bucklers81 noted an autosomal dominant mode of transmission in an additional family. The dystrophy is usually bilaterally symmetric and becomes evident in the first or second decade of life as painful recurrent erosive episodes. Patients develop decreased visual acuity due to anterior scarring and surface irregularity.

Slit lamp examination of the cornea shows an irregular epithelium with diffuse, irregular, patchy geographic opacities at the level of Bowman's layer (Figs. 5 AND 8). As time passes, central opacities develop as a reticulated pattern spreading into the midperiphery with a diffuse superficial stromal haze. Superficial keratectomy is helpful in managing the visual aspects of this disorder and should always be attempted before penetrating keratoplasty.82 Recurrence after keratoplasty has been described.83,84

Fig. 8. Reis-Bucklers dystrophy. Top left. Slit lamp photograph of eye of 26-year-old woman with recurrent erosions exhibits typical superficial reticular opacities. Top right. Phase-contrast microscopy demonstrates degeneration of dark-staining basal cells and fragmentation of Bowman's layer (*) by nodular fibrous pannus (paraphenylenediamine, × 800). Bottom. Transmission electron micrograph confirms thin remnants of disarrayed Bowman's layer (B) and apparent continuity (at arrowhead) between basal cell cytoplasm (E) and degenerate cellular debris (D) within Bowman's layer. Basement membrane complexes are discontinuous and lack anchoring fibrils (× 30,000).

The pathogenesis of Reis-Bucklers dystrophy is unknown. The primary lesion may be due to fragmentation of the collagen fibrils of Bowman's layer, and the epithelial lesion may occur secondarily.85 Alternatively, immunofluorescent localization of laminin and bullous pemphigoid antigen suggests a primarily epithelial disease.86 Destruction of Bowman's layer and its replacement by fibrillar material are the defining changes in this disease and unequivocally distinguish it from other anterior dystrophies. Concomitant abnormalities in the epithelial basement membrane account for recurrent erosive episodes.49,87–91

Vortex Dystrophy (Fleischer)

The terms vortex corneal dystrophy and corneal verticillata of Fleischer have been applied to patients who show pigmented, whorl-shaped lines in the corneal epithelium.92,93 Since this same corneal abnormality is evident in Fabry's disease, it is now thought that these patients may have been asymptomatic female carriers of X-linked Fabry's disease.

In general, similar whorllike corneal lesions are evident in patients taking chloroquine, amiodarone,94 phenothiazines, or indomethacin. Striate melanokeratosis and fingerprint dystrophic changes can also mimic the vortex pattern. In the absence of these etiologic factors, however, a thorough survey of family members should be made if such findings are noted.

Anterior Mosaic Crocodile Shagreen (Vogt)

Anterior mosaic crocodile shagreen appears as bilateral, polygonal, grayish white opacities in the deep layers of the epithelium and in Bowman's layer.95,96 These opacities are usually axial and separated by clear cornea. Since visual acuity is usually not affected, treatment is not indicated. Limited histologic study has revealed interruptions of Bowman's layer and interposition of connective tissue between it and the epithelium. It is unclear whether mosaic crocodile shagreen is an actual corneal dystrophy or rather an age related process.

A juvenile form of anterior mosaic crocodile shagreen may occur in association with megalocornea, peripheral band keratopathy, and iris malformation. Similar changes may also arise in post-traumatic conditions.

The so-called anterior mosaic pattern is a different entity in which a delicate polygonal pattern is seen after topical instillation of fluorescein. The anatomic explanation for this pattern is not clear.

Idiopathic Band Keratopathy

Band-shaped keratopathy is a deposition of calcium in the interpalpebral basal epithelium and Bowman's layer.97 Most often, calcium deposition is secondary to a chronic ocular disease such as uveitis or to a systemic disease such as hypercalcemia or chronic renal disease (Color Plate 1E). However, an inherited type of band keratopathy with both childhood and senile forms has been described without obvious associated cause. In clinical appearance, the inherited form is identical to that which occurs secondarily (see section on corneal degenerations).

STROMAL DYSTROPHIES

Granular Dystrophy (Groenouw Type I)

Granular dystrophy is manifested in the first decade of life and is transmitted as an autosomal dominant trait. The lesions are sharply demarcated, milky, opaque figures resembling snowflakes or bread crumbs and are confined to the axial portion of the cornea, usually beginning in the most superficial portion of the stroma (Figs. 5 AND 9; Color Plate 1F). During their evolution, they may extend more posteriorly. Between the dense opacities the intervening cornea is characteristically clear. Variants with confluent central opacities and epithelial involvement have been described.98

Fig. 9. Granular corneal dystrophy. Top left. Discrete, large opacities predominantly affect the central stroma. Top right. Retroillumination emphasizes the optical clarity of intervening stroma between granular opacities. Middle left. Light microscopy of hyaline deposits is accentuated with Masson trichrome stain (× 250). Right. Transmission electron micrograph shows relatively normal epithelium (E) and basement membrane (arrowheads) anterior to large electron-dense deposits (*) within Bowman's layer and stroma (× 4,500). Bottom left. Higher magnification transmission electron micrograph of granular deposits shows characteristic rod-shaped paracrystalline structure ( × 50,000). (Top right, Slit lamp photograph courtesy of Lawrence Hirst, MD)

Jones and Zimmerman99 noted the opacities to consist of areas of hyaline degeneration in which stromal fibers appeared “granular.” Histologically, the deposits stain red with Masson trichrome stain and are less PAS-positive and less birefringent than the normal stroma. Numerous argyrophilic fibers are seen on Wilder's reticulin stain. Using histochemical techniques, Garner100 concluded that the deposits consisted mainly of noncollagenous protein containing tryptophan, arginine, tyramine, and sulfur-containing amino acids, and he postulated that the abnormal proteins originated from the epithelium, keratocytes, and extracorneal sources. Rodrigues and co-workers101 found immunofluorescent evidence of microfibrillar protein, a poorly characterized glycoprotein, as well as a Luxol fast blue-staining phospholipid. Johnson and co-workers suggest an epithelial origin of the deposits based on light and electron microscopic studies of corneas with recurrent granular dystrophy.102 On transmission electron microscopy, the deposits appear as extracellular, rod-shaped, electron-dense paracrystalline structures with faintly visible periodicity. Keratocytes, endothelium, and Descemet's membrane appear unaffected.103

Two atypical variants of granular dystrophy have been distinguished from the “classic” form. The first group, or “superficial” variants, includes a Reis-Bucklers-like type, and the formerly termed Waardenburg-Jonkers dystrophy.

Both superficial variants have an earlier onset and higher frequency of erosive episodes than typical granular dystrophy. On clinical examination, large rings and discs at the superficial stroma with a stellate figure extending to the deeper stroma characterize the former, while snowflakelike opacities forming a diffuse superficial stromal haze characterize the latter. Although the pathologic basis in these variants differ from that in Reis-Bucklers dystrophy, the histologic staining characteristics can be confused, and hence the definite diagnosis rests on the transmission electron microscopic studies.

A second variant of granular dystrophy has been described in a group of patients tracing their ancestry to Avellino, Italy.106 These patients exhibit an appearance similar to typical granular dystrophy along with axial anterior stromal haze and the presence at midstroma of discrete linear opacities. On histologic and ultrastructural analysis, two groups of deposits are found. The first are found at Bowman's layer and superficial stroma, with classic granular dystrophy staining with regard to morphology and nature; the second exhibits latticelike amyloid deposits.

Granular dystrophy does not require keratoplasty as often as the other familial dystrophies, since visual acuity may be good if clear spaces in the cornea coincide with the visual axis. Recurrent erosions may occur when deposits involve the basement membrane zone, but this happens less frequently than in lattice dystrophy. When the opacity is dense enough to occlude the visual axis, the treatment is penetrating keratoplasty although in patients with predominantly anterior involvement, superficial keratectomy alone may be beneficial. As in the other familial dystrophies, recurrence in the graft (usually anterior and peripheral) may take place several years later, suggesting that the granular deposits are either the result of some acquired metabolic disturbance in the transplanted corneal tissue or the product of abnormal epithelium.107–110

Lattice Dystrophy

Lattice dystrophy is an autosomal dominant condition characterized by pathognomonic, branching “pipestem” lattice figures within the stroma (Figs. 5 AND 10; Color Plate 1G). Symptoms usually begin in the first decade of life and include decreased vision as well as recurrent erosions because of subepithelial and stromal accumulations of amyloid material. In time, the condition progresses to involve marked opacification of the axial stroma, as well as in the superficial layers, leaving the limbus relatively free. At this stage, since the cornea also shows a superficial haze, it becomes difficult to visualize typical lattice lesions, and hence examination of younger affected family members is useful. Amyloid accumulation under the epithelium gives rise to poor epithelial-stromal adhesion with consequent recurrent erosion syndrome.49 The dystrophy advances inexorably, and by age 40 or earlier these problems become markedly aggravated, causing considerable discomfort and visual incapacity.

Fig. 10. Lattice corneal dystrophy. Top. Slit lamp photograph demonstrates pathognomonic branching lattice figures throughout the stroma. Middle left. Phase-contrast photomicrograph shows subepithelial accumulations of fibrillar amyloid deposits (*) causing distortion of epithelial contour. B, Bowman's layer (paraphenylenediamine, × 800). Middle right. Transmission electron micrograph of basement membrane complexes reveals basement membrane irregularity and discontinuity resulting from underlying amyloid fibrils (× 21,000). Bottom left. Transmission electron micrograph of stroma shows normal collagen fibrils and keratocytes with electron-dense material abnormally dispersed extracellularly (× 16,000). Bottom right. High-magnification transmission electron micrograph resolves lattice material as masses of fine, 8- to 10-nm diameter amyloid fibrils (circled below) in comparison with larger-size stromal collagen fibrils (above) (× 75,000). (Slit lamp photographs courtesy of WJ Stark, MD)

Many published reports have documented the nature of the corneal deposits in lattice dystrophy. In 1961, Jones and Zimmerman99 and others suggested that the disorder was due to amyloid degeneration of the stromal collagen fibers. In 1967, Klintworth111 confirmed that the disorder was a familial form of amyloidosis limited to the cornea and showed that the fibrillar material stained with Congo red and exhibited the birefringence and dichroism typical of amyloid. On transmission electron microscopy, the fine, electron-dense fibrils of 8 to 10 nm diameter are similar to those of known amyloid fibrils. Using fluorescence microscopy, staining with thioflavin-T is helpful in further characterizing the amyloid material, as are immunofluorescent studies using antihuman amyloid anti-sera.112 Evaluation of corneas with typical lattice dystrophy has demonstrated the presence of the amyloid P (AP) component, but staining for amyloid A (AA) protein has remained controversial.113–117 The corneal endothelium and Descemet's membrane are not involved. Moreover, amyloid deposits have not been found in other excised tissues from patients with typical lattice dystrophy.111

The specific etiology of the amyloid deposits is, as yet, unclear. They may be secondary to collagen degeneration, perhaps from lysosomal enzymes elaborated by abnormal keratocytes. An alternative theory holds that abnormal keratocytes actually produce the abnormal amyloid substance, although this process is not ultrastructurally evident.

Treatment of this disorder is symptomatic, depending on visual acuity and patient discomfort. Penetrating keratoplasty in this condition carries an excellent prognosis, although recurrence of the dystrophy in the graft may take place.118–121

Systemic amyloidosis may be associated with lattice dystrophy (lattice dystrophy type II, Meretoja's syndrome, or type IV amyloidotic poly-neuropathy).122,123 The onset of clinical corneal changes is usually later, with erosive episodes less common. Systemic manifestations include progressive cranial and peripheral neuropathy, and skin changes such as lichen amyloidosis and cutis laxa. Other variable features include polycythemia vera and ventricular hypertrophy. Biomicroscopically, the lattice lines are fewer, more radially oriented, and involve mainly the periphery of the cornea with relative central sparing. Amorphic deposits are fewer and more confined in distribution than in classic lattice dystrophy (type I). Open-angle glaucoma and pseudoexfoliation with or without glaucoma are frequently found.124

Histologic examination of the cornea reveals characteristic amyloid deposits forming a layer beneath a normal-appearing Bowman's layer, and at the stroma. Deposits also may be found in arteries, basement membranes, skin, peripheral nerves, and sclera. However, the amyloid in this systemic disorder may differ from classic lattice dystrophy, showing loss of Congo red staining following treatment with permanganate.114 Although Meretoja's syndrome has not yet been chemically characterized, recent evidence suggests that the amyloid deposits do contain prealbumin (transthyretin).125

Atypical variants of lattice dystrophy (type III) as well as rare cases of unilateral lattice dystrophy have also been reported.126–128 The former, characterized by a probable autosomal recessive inheritance pattern, has its onset later in life without systemic involvement or episodic recurrent corneal erosions. Histologically, there is absence of subepithelial deposits with a normal epithelium and Bowman's layer. The stromal deposits are larger than in lattice dystrophy types I and II, which correlates with the thicker lattice lines clinically evident in this variant. Immunohistochemical analysis has revealed positive staining for AP protein but only weak staining for AA protein.126

The cornea may also develop secondary amyloid deposits after various chronic ocular diseases, but such deposits are generally insignificant clinically (see section on corneal degenerations).

Macular Dystrophy (Groenouw Type II)

Among the classic corneal dystrophies, macular dystrophy, unlike granular and lattice dystrophies, is an autosomal recessive disorder and is far less common. It usually begins in the first decade of life and leads to progressive visual deterioration as the stroma becomes generally cloudy, with superimposed dense, gray-white spots (Figs. 5 AND 11; Color Plate 1H). Unlike granular dystrophy, these macular spots have indefinite edges and the intervening stroma is not clear. Young patients exhibit axial lesions in the superficial layers of the cornea, but with time, lesions approach the periphery and extend throughout the entire stromal thickness. Corneal thinning confirmed by central pachymetry has been documented.129 Also unique is primary involvement of the endothelium as evidenced clinically by the presence of guttate changes of Descemet's membrane.

Fig. 11. Macular corneal dystrophy. Top left. Clinical appearance of cornea features diffuse haze extending to the limbus with superimposed, dense gray-white spots. Bottom left. Light photomicrograph of posterior cornea shows endothelial cells staining intensely positive for acid mucopolysaccharide. Guttate excrescences (*) of Descemet's membrane (DM) are frequent. The stroma also shows positive staining for acid mucopolysaccharide both diffusely extracellularly and intensely within keratocytes (circled) (colloidal iron × 500). Right. Transmission electron micrograph discloses typical fibrillary granular deposits within keratocytes (K), throughout the posterior layer of Descemet's membrane, and within the endothelial cells (En). The anterior banded region of Descemet's membrane (bracketed) is not affected (× 3500).

The lesions in macular corneal dystrophy stain intensely with alcian blue and colloidal iron, minimally with PAS, and not at all with Masson's trichrome. Birefringence is decreased. The lesions have been histochemically identified as an abnormal keratan sulfate-like glycosaminoglycan that accumulates extracellularly within the stroma and Descemet's membrane and intracellularly within keratocytes and endothelium.130

As would be typical of an autosomal recessively inherited condition, macular dystrophy presumably results from deficiency of a hydrolytic enzymes (sulfotransferase) and may thus be considered a localized mucopolysaccharidosis.131 The effect of altered glycosaminoglycan metabolism is evident at the cellular level; on transmission electron microscopy, keratocytes and endothelial cells exhibit distention of rough-surfaced endoplasmic reticulum cisternae. With the acridine orange technique, compensatory generalized hyperactivity of the lysosomal enzyme system has been demonstrated.132 Eventually the accumulated undigested storage products engorge the cells, and the cells ultimately degenerate or rupture. The derivation of these intracytoplasmic storage vacuoles from endoplasmic reticulum suggests that the biochemical lesion in macular dystrophy occurs at a different metabolic location than in the systemic mucopolysaccharidoses, since in the latter, storage products accumulate within lysosomelike intracytoplasmic vacuoles associated with the Golgi complex.133 Snip and associates134 were able to determine that the storage phenomenon affecting endothelium and Descemet's membrane is likely also primary, since the intracellular and extracellular lesions appear ultrastructurally comparable to those evident in the keratocytes and stroma.

Two subtypes of macular dystrophy have been immunohistochemically identified. Type I is most prevalent and is characterized by the absence of antigenic keratan sulfate in the cornea as well as in the serum; it, in fact, may represent a more widespread systemic disorder of keratan sulfate metabolism.135 In type 2, antigenic keratan sulfate is present in both cornea and serum.

The treatment for macular dystrophy is corneal transplantation. Recurrence in the graft has been reported.119,136

Polymorphic Stromal Dystrophy

Polymorphic stromal dystrophy is another manifestation of amyloid deposition in the cornea, Thomsitt and Bron137 described patients with a variety of posterior stromal opacities consistent with the type of dystrophic change reported in 1939 by Pillat.138 They described axial polymorphic star-and snowflake-shaped and branching filamentous stromal opacities some of which indented the anterior surface of Descemet's membrane, thus causing an apparent irregularity of the posterior corneal surface. Punctate opacities were polymorphic, gray-white, and somewhat refractile when examined directly but were transparent in retroillumination. As intervening stroma appeared clear, visual acuity was not markedly affected. Histochemical staining and electron microscopy have shown the deposits to be composed of amyloid.139,140 The late appearance of the linear opacities, the lack of progression, and the apparent nonfamilial pattern help to distinguish this condition from lattice dystrophy.

Gelatinous Droplike Dystrophy

Gelatinous droplike dystrophy is yet another clinical manifestation of primary, localized corneal amyloidosis that has been reported more frequently in the Japanese literature.141,142 The disorder is bilateral, noninflammatory, and may exhibit an autosomal recessive inheritance pattern, It presents early in life as a milky-white, gelatinous, mulberrylike elevated lesion of the epithelium and anterior stroma. Histopathologic specimens have demonstrated mounds of amyloid interposed between the epithelium and Bowman's layer, as well as fusiform deposits similar to lattice dystrophy in the deeper stroma.143 The type of corneal amyloid, containing protein AP but not AA, may be different from that found in lattice dystrophy, which contains both.144 Treatment may include either superficial keratectomy or keratoplasty.

Central Crystalline Dystrophy (Schnyder)

This dominantly inherited dystrophy occurs in early life and is occasionally congenital (Figs. 5 AND 12).145–147 The main feature of the disease is a bilateral, axial, ring-shaped corneal opacity consisting of polychromatic crystals (Color Plate 1 I) .

Fig. 12. Central crystalline dystrophy (Schnyder). Top left. Clinical appearance of eye of 20-year-old woman includes ovoid crystalline deposit with clear surrounding stroma and without arcus lipidis. Visual acuity is 20/40. Bottom left. Light microscopy of cornea demonstrates epithelial irregularity and numerous crystalline profiles (circled) in Bowman's layer and stroma (toluidine blue, × 350). Right. Transmission electron micrograph demonstrates basal epithelium (E) with thickened basement membrane complexes (arrowhead), disorganized Bowman's layer (B), and polygonal crystalline profiles (*) typical of cholesterol. The keratocyte (K) is unremarkable (× 10,400). (Gipson I: Schnyder's crystalline dystrophy. Trans Am Ophthalmol Soc 76: 184, 1978)

The yellow-white opacity is noted in Bowman's layer and the anterior stroma. The epithelium is normal, and the uninvolved stroma also appears normal, although in time a diffuse stromal haze can develop. In some cases, small white opacities scattered throughout the stroma have been noted.148 Histologic examination using lipid stains on frozen sections reveals neutral fats and cholesterol.149 The clinically apparent crystals correspond to cholesterol accumulations, both within keratocytes and extracellularly. Neutral fat is distributed within the stroma among the collagen fibrils. Both the limbal girdle of Vogt and corneal arcus are associated with this dystrophy. The disease may be considered a localized defect of lipid metabolism, although some patients may also exhibit hypercholesterolemia, xanthelasma, and genu valgum. Because the disorder stabilizes with time, only occasional patients with severe opacity require corneal grafting.

It is important to perform cholesterol and lipid studies on these patients since, although the severity of a systemic lipid abnormality does not necessarily correlate with the severity of the corneal disease, elevated serum lipid levels and concomitant cardiovascular disease are associated features in some patients.150

Marginal Crystalline Dystrophy (Bietti)

Bietti151 described crystalline deposits in the paralimbal anterior corneal stroma, associated with a retinal pigmentary abnormality but without visual impairment. Welch has also reported a similar case demonstrating stromal lipid in corneal biopsy specimens.

Central Cloudy Dystrophy (Francois)

Francois described a group of mainly axial, predominantly posterior, cloudy stromal opacities with clear intervening stroma.153,154 The disorder is dominantly inherited in some series. Vision is minimally affected and the patient is otherwise asymptomatic; hence, no therapy is required.

Posterior Amorphous Stromal Dystrophy

This autosomal dominant disorder was first described in 1977 in a family spanning three generations as symmetric gray-white, sheetlike posterior stromal opacities centrally and extending peripherally to the limbus.155 Corneal thinning was also present in more advanced cases. Findings in a second reported pedigree included (1) both centro-peripheral and peripheral forms, (2) hyperopia with corneal flattening, (3) iris abnormalities including glassy sheets on the iris surface, corectopia, and pseudopolycoria, and (4) iris processes extending to Schwalbe's line.156

The sheetlike opacities may be irregular and broken with clear intervening stroma. Descemet's membrane and endothelium may be indented by the opacities and focal endothelial abnormalities have been observed. Visual acuity is only mildly affected.

Johnson and co-workers157 described the keratoplasty specimen from a 5-year-old child, which demonstrated fracturing of the posterior stromal collagen lamellae, a thin Descemet's membrane, and focal attenuation of endothelial cells.

Ultrastructural studies showed disorganization of the posterior stromal collagen. Since the iris is affected and the changes have been found in a child as young as 6 months of age, this disorder may be more appropriately classified as a mesenchymal dysgenesis rather than a dystrophy (see previous discussion of mesenchymal dysgeneses).

Congenital Hereditary Stromal Dystrophy

Congenital hereditary stromal dystrophy is characterized by flaky or feathery clouding of the stroma.158 It is bilateral and dominantly inherited. Both the peripheral and central cornea is affected, the latter more severely.

Electron microscopy has revealed abnormally small stromal collagen fibrils with disordered lamellae, suggesting a disorder in collagen fibrogenesis. The corneal changes are congenital but seem to be nonprogressive.

Posterior Mosaic Crocodile Shagreen

Posterior crocodile shagreen is a bilateral condition marked by a series of small gray polygonal patches of various sizes, separated by dark regions, at the level of Descemet's membrane.159 Vision is not compromised, and no treatment is required. Transmission electron microscopic studies have demonstrated the grayish opacities of posterior mosaic crocodile shagreen to correspond with sawtoothlike configurations of the corneal collagen lamellae (see previous discussion of anterior mosaic crocodile shagreen).160

Fleck Dystrophy (Francois-Neetens)

This rare, autosomal dominant dystrophy is detectable very early in life and in some cases is congenital (Fig. 13).161–166 Subtle grayish specks are present in all layers of both corneas, and some appear as rings with relatively less opacified centers. They cause no visual disability. Histopathologic examination has revealed abnormal keratocytes that on transmission electron microscopy show a fibrillogranular substance within intracytoplasmic vacuoles.165 Histochemical staining shows glycosaminoglycans and lipids within these vacuoles.

Fig. 13. Fleck dystrophy (Francois-Neetens). Top left. Artistic representation of discrete, flattened white stromal flecks shows comma, wreath, or dot configuration. Top right. Retroillumination slit lamp photograph demonstrates similar configuration of small, white, granular opacities throughout the stroma. Bottom. Lower right inset is phase-contrast micrograph of a severely affected keratocyte showing foamy cytoplasm with large clear vacuoles (*) and small refractile inclusions (arrowheads) (paraphenylenediamine × 1400). Upper left inset illustrates positive staining for acid mucopolysaccharide limited to a swollen keratocyte (circled) (colloidal iron, × 500). Main figure is transmission electron micrograph of a markedly vacuolated keratocyte filled with fibrillogranular (F) or lipid (L) substances. There are no extracellular abnormalities except an accumulation of the fine granular material (,) and occasional foci of long-spacing collagen (square) (× 12,000). (Nicholson DH, Green WR, Cross HE et al: A clinical and histopathological study of Francois Neetens speckled corneal dystrophy. Am J Ophthalmol 83:554, 1977)

PRE-DESCEMET'S DYSTROPHIES

This category of dystrophy has several very rare subgroups. They are generally compatible with good vision and comfort, and a clear pattern of heredity is not always obvious.

Cornea Farinata

Cornea farinata167,168 is often a routine finding in older persons, and therefore may represent a degenerative process rather than a dystrophic one. Visual acuity is usually not decreased. Small gray punctate opacities can be seen in the pre-Descemet's area of the stroma on retroillumination. Sometimes larger and more polymorphous types of comma, circular, linear, filiform, and dotlike opacities are located in the pre-Descemet's area. The opacities may be distributed axially or annularly. Similar pre-Descemet's opacities may be found in association with ichthyosis.169

Grayson-Wilbrandt Dystrophy

Grayson and Wilbrandt described asymptomatic opacities that were slightly larger and more diffusely scattered than those in cornea farinata and were distributed axially and paraxially (Fig. 14).170,171 Familial associations were documented. Curran and associates171 described the ultrastructure of abnormal keratocytes anterior to Descemet's membrane in this disorder. These keratocytes contained membrane-bound intracytoplasmic vacuoles containing fibrillogranular material and electron-dense lamellar lipid bodies.

Fig. 14. Grayson-Wilbrandt dystrophy. Top left. Artistic representation of large polymorphous deposits in the pre-Descemet's membrane area, having comma-shaped, circular, linear, filiform, and dotlike configurations. Top right. Slit lamp photograph shows discrete pleomorphic opacities (circled) with clarity of the intervening stroma. Bottom. Upper left inset demonstrates by phase-contrast microscopy the refractile vacuolar inclusions (arrows) within a deep keratocyte. Descemet's membrane (bracketed) is uniformly normal and endothelial cells (E) are artifactiously vacuolated (toluidine blue, × 1000). Main figure is a transmission electron micrograph of a keratocyte filled with vacuoles having clear to fibrillogranular material, pleomorphic substances (arrowheads). and dark, electron-dense bodies (*). The surrounding stroma (S) is normal (× 12,000). Lower right inset by higher magnification transmission electron micrograph shows homogeneous electron density and limiting membrane of the intracytoplasmic inclusion indicated by the large asterisk in the main figure (× 40,000). (Curran RE, Kenyon KR, Green WR: Pre-Descemet's membrane corneal dystrophy. Am J Ophthalmol 77:711, 1974)

Deep Filiform Dystrophy

The deep filiform dystrophy of Maeder and Danis consists of multiple filiform, gray opacities in the pre-Descemet's area that affect the entire width of the cornea except for the perilimbal area.172 The original description occurred in a middle-aged woman with keratoconus. The histopathology has not yet been documented. This disorder may represent a degeneration rather than a dystrophy.

ENDOTHELIAL DYSTROPHIES

Congenital Hereditary Endothelial Dystrophy

Initially described by Maumenee173 in 1960, this congenital disorder of the endothelium is characterized clinically by diffuse, bilaterally symmetric corneal edema (Figs. 5 AND 15; Color Plate 1J). The autosomal recessive variety is present at birth and is relatively stationary. Symptoms of discomfort are not prominent despite profound epithelial and stromal edema. Nystagmus is common.174 A dominantly inherited form is less severe, developing in the first or second year of life, and, in contrast to the recessive variety, progressive photo(text continues on p. 27) phobia and tearing are the initial symptoms. Nystagmus is generally absent.174 As in all instances of congenital corneal clouding, it is important to rule out congenital glaucoma.

Fig. 15. Congenital hereditary endothelial dystrophy. Top left. Clinical photograph of eye of a 14-year-old male with severe form of the dystrophy shows diffuse ground-glass stromal opacification. Top middle. In a mildly affected 20-year-old female, the cornea has moderate diffuse haze and visual acuity is 20/200. Top right. On slit lamp biomicroscopy, diffuse edematous thickening of the corneal stroma is evident in same patient as top middle photograph. Middle right. Light microscopy of a case with uniformly thickened (approximately 35μm) Descemet's membrane (DM) covered posteriorly by extremely attenuated endothelial cells (arrowheads). S, posterior stroma; AC, anterior chamber (hematoxylin-eosin, × 600). Bottom left. Transmission electron micrograph of same case as middle right micrograph reveals anterior portion of Descemet's membrane (DM) to have normal thickness and banded structure. The markedly thickened (approximately 20 μm) posterior layer exhibits both 55 nm and 110 nm banding (circled) interspersed with homogeneous material. En, endothelial cell; AC, anterior chamber; S, posterior stroma (× 9200). Bottom right. At higher magnification, the abnormal posterior zone is seen to consist of multiple laminations of basement membrane-like material (*) and fine filaments. En, endothelial (× 42,000).

The degree of edematous corneal clouding varies from a mild haze to a milky, ground-glass opacification. Epithelial microbullae may be obvious, and stromal thickness may be increased threefold or more. Uniform thickening of Descemet's membrane is sometimes evident on clinical examination, but no guttata are apparent. Interstitial inflammation and secondary vascularization are absent. There are no definitely associated ocular or systemic abnormalities.

Histologic study175–181 reveals nonspecific anterior and stromal changes consistent with long-standing secondary edema: basal epithelial cell swelling, basement membrane thickening and disruptions, and irregularities of Bowman's layer with pannus formation. However, it may be significant that, in some cases, ultrastructural examination discloses greatly enlarged stromal collagen fibrils sometimes measuring as much as 60 nm in diameter. Descemet's membrane is uniform in a given specimen; it may display diffuse thinning of 3μm to massive thickening of 40 μm (normal thickness is 3 to 5 μm in neonates and 8 to 10 μm in adults). The anterior banded layer of Descemets membrane is always present and of relatively usual thickness; however, the posterior layer consists of multilaminar basement membrane-like material with fine filaments and of collagen fibrils with a 55- and 110-nm banded configuration. With the exception of the lack of guttata, these findings are similar to those in Fuchs' dystrophy and thus represent another example of posterior collagen layer formation by either primarily or secondarily abnormal endothelium.18,41,43,181, It is postulated that in cases with thin Descemet's membrane, complete endothelial loss occurred in utero such that only the fetal anterior portion of Descemet's membrane was secreted.180 In contrast, cases exhibiting thickened Descemet's membranes may be the product of dystrophic but persistent endothelium having secreted a hypertrophic posterior collagen layer.

The frequent finding of enlarged stromal collagen fibrils suggests some primary developmental abnormality of both keratocytes and endothelium, thus perhaps qualifying this disorder as another example of mesenchymal dysgenesis.22

Cornea Guttata

Slit lamp examination of a patient with cornea guttata reveals a typical “beaten metal” appearance of Descemet's membrane. These wartlike, anvil-or mushroom-shaped excrescences are abnormal elaborations of basement membrane and fibrillar collagen by distressed or dystrophic endothelial cells (Figs. 5 AND 16). The endothelial cells over these excrescences become attenuated and eventually die prematurely.

Fig. 16. Corneal guttata. Top left. By light microscopy, excrescences (arrowheads) of Descemet's membrane are evident with loss of endothelial cells (hematoxylin-eosin, × 250). Bottom left. Phase-contrast microscopy resolves thickened Descemet's membrane with individual guttata (.) having been covered posteriorly by additional collagenous material (paraphenylenediamine, × 1000). Right. Scanning electron micrograph of posterior corneal surface with endothelium removed shows numerous mushroom-shaped excrescences projecting from the surface of Descemet's membrane (× 1000). (Right, courtesy of Diane Van Horn, PhD)

Cornea guttata is usually seen as a primary condition in middle to older age groups. The lesions are often located in the axial areas of the cornea and may be sparsely distributed. Brownish pigmentation may be seen in a number of corneas at the level of the guttata, often associated with scattered pigment phagocytosis by the endothelium.

Guttata located in the periphery of the cornea may be seen even in young persons; they are called Hassall-Henle bodies and are of no clinical concern. If, however, the guttata become more numerous and central, this may portend functional compromise of the endothelial cells to the extent that their barrier and pump functions become insufficient. In this event, stromal edema occurs, followed by epithelial edema and bullous keratopathy, and the condition may then be justly termed Fuchs' dystrophy. However, mild to moderate corneal guttata can remain stationary for years without obligate dystrophic progression.

Secondary guttata are usually associated with degenerative corneal disease, trauma, or inflammation. The corneal endothelial cells may be adversely affected by iritis, deep stromal inflammation or infection, and anterior segment surgery. In severe inflammation, the endothelial mosaic may be affected by edema of the endothelial cells,182 this condition resembling corneal guttata. On removal of the causative agent, the pseudoguttata subside, whereas true corneal guttata are permanent.

The normal endothelial pattern can be well demonstrated with nitroblue tetrazolium stain. The cells form a uniform mosaic. If trypan blue stain is used, the decreasing endothelial viability is noted by staining of the nuclei, An abnormal entothelial cell population is suggested by abnormally sized and shaped cells, (pleomorphism and polymegethism), numerous guttata, and areas of Descemets membrane that are not covered by cells. Specular microscopy can also be used to study in vivo the size, shape, and number of endothelial cells.183,184

Pachymetry of the corneal stroma is often helpful in monitoring the functional status of the endothelium. Corneal guttata per se do not require treatment. However, should endothelial decompensation and stromal edema progress to visually incapacitating and/or painful epithelial edema, then medical or surgical measures may be indicated.

Fuchs' Dystrophy (Late Hereditary Endothelial Dystrophy)

Fuchs' dystrophy (Figs. 5 AND 17)185–189 is usually seen in the fifth or sixth decade of life, somewhat more commonly in women. It is bilateral and frequently of dominant inheritance.185,186,190 The fundamental defect is progressive deterioration of the endothelium. The endothelial cells in the adult human lack significant miotic capability, and as they undergo attrition, the surviving cell population must enlarge and spread to maintain an intact monolayer in order to remain functionally competent as a barrier and pump in maintaining corneal deturgescence. Thus, as in patients with cornea guttata, serial pachymetry and specular microscopy are helpful in following the disease process. Both discrete (guttate) and diffuse thickening of Descemet's membrane usually develop with progressive endothelial degeneration and dysfunction (Color Plate 1,K).187

Fig. 17. Late hereditary endothelial dystrophy (Fuchs). Top left. Clinical photograph illustrates epithelial bullae, scarring, and neovascularization, resulting from long-standing stromal edema. Top middle. Light microscopy demonstrates intraepithelial edema, thickening of the basement membrane, subepithelial bullae (*) and fibrocellular pannus with adjacent break in Bowman's layer (hematoxylin-eosin, × 350). Top right. Transmission electron micrograph of basal epithelial cells and Bowman's layer shows multilaminar basement membrane complexes (BM, the sequel of chronic epithelial edema (× 5000). Middle left. Transmission electron micrograph of posterior cornea shows unremarkable stroma and anterior Descemet's membrane, but remarkable thickening of posterior Descemet's membrane to 12 mm with additional superimposition of large guttata (G). The remaining endothelial cells (En) are severely degenerated and attenuated (× 5000). Middle right. By scanning electron microscopy, the comparable picture of disjointed, attenuated endothelium (En) and numerous exposed guttata (*) is apparent. Note the fibrous feltwork quality of the abnormal posterior Descemet's membrane (× 300). Bottom. High-magnification trans mission electron micrograph of guttata resolves its composition of fine filaments (circled), multiple segments of basement membrane material (*), and collagen in long-spacing configuration (arrowheads) (× 50,000). (Top left. Grayson M: Diseases of the Cornea, p 242. St. Louis, CV Mosby, 1979)

Clinically evident edema starts axially and spreads peripherally. As stromal edema progresses to involve the epithelium, microbullous elevations of the epithelium bring decreased visual acuity, and in time, bullous keratopathy erupts (Color Plate 1L). When these epithelial blisters rupture, the patient experiences a foreign body sensation or pain that may be relieved by lubricants, occlusion, or bandage soft contact lens. Ultimately, penetrating keratoplasty is required for both comfort and visual rehabilitation. In rare instances when keratoplasty is not indicated, cautery of Bowman's layer may give symptomatic relief. The course of Fuchs' dystrophy may be accelerated after cataract extraction or other intraocular surgery, and precautions should be exercised to minimize intraoperative trauma.

On histologic examination, the sequelae of chronic epithelial and stromal edema are prominent. Anteriorly, abnormalities of the basement membrane adhesion complexes develop because of repeated lift-off of the edematous epithelium.188 There are occasional breaks in Bowman's layer, and subepithelial debris and fibrovascular pannus collect in the zone of bullous edema. The most striking abnormality is diffuse thickening of Descemet's membrane (often to 20μm or more) with posteriorly projecting excrescences, corresponding to clinically apparent guttata. Histologic evidence of abnormal endothelial cell function is apparent many years before the clinical signs of corneal guttata and thickened Descemet's membrane appear.191

Ultrastructural examination shows the newly deposited abnormal portion of Descemet's membrane to consist of bundles and sheets of widely spaced banded collagen and multiple laminations of basement membrane material. The remaining endothelial cells appear in various stages of degeneration. These cells are enormously flattened, and attenuated in an effort to enlarge their surface area. They exhibit intracellular spaces and faulty intercellular junctions. The abnormal posterior collagenous layer of Fuchs' dystrophy can be considered analogous to the deposition of excess collagen and basement membrane material found in other circumstances of the “endothelial distress syndrome.”18

Posterior Polymorphous Dystrophy

This bilateral, dominantly transmitted corneal dystrophy may be stationary or only slowly progressive, such that affected patients generally retain normal visual acuity, and demonstrate no stromal edema or vascularization (Figs. 5 AND 18).192–203 The condition is characterized by polymorphous opacities, some of them vesicular or annular with surrounding halos, at the level of Descemet's membrane (Color Plate 1M). Although careful biomicroscopy is usually adequate to establish the diagnosis,204 specular microscopy may be helpful in differentiating posterior polymorphous dystrophy from other corneal endothelial disorders.205,206 When endothelial decompensation with stromal edema occurs, some cases are severe enough to decrease visual acuity and to require keratoplasty. As with other corneal dystrophies, posterior polymorphous dystrophy may recur in the graft.207

Fig. 18. Posterior polymorphous dystrophy. Middle left. Slit lamp drawing emphasizes typical vesicular lesions at the level of Descemet's membrane. Top left. Phase-contrast microscopy of posterior stroma and Descemet's membrane (DM) demonstrates the focal deposition of posterior collagenous material (*), presumably corresponding to vesicular lesions (paraphenylenediamine. × 600). Top right. Scanning electron micrograph demonstrates the extreme polymorphous configuration of endothelial cells (En) with intervening areas of exposed Descemet's membrane (*) consistent with the corneal edema of this keratoplasty specimen (× 200). Bottom. Transmission electron micrograph shows endothelial cells to have transformed into epithelial-appearing tissue, as multiple cell layers have numerous interconnecting desmosomes (circled) and individual cells show increased keratofibrils and microvillous surface projections (arrowheads) (× 19,000).

Posterior polymorphous corneal dystrophy has been associated with band keratopathy, peripheral anterior synechiae, and other anomalies of the anterior segment,193,200 glaucoma,195,208 and guttata.179

Numerous histologic studies have demonstrated endothelial cells that morphologically and immunopathologically resemble epithelium.197 These cells contain epithelial keratin and are connected by well developed desmosomes. Scanning electron microscopy of the posterior cell membrane reveals myriad microvilli, again suggestive of an epithelial-type cell. Ultrastructural studies have also revealed some endothelial cells that resemble fibroblasts.200 An aberrant developmental differentiation of the endotheliogenic mesenchyme (neural crest) has been suggested,21 possibly similar to the pathogenesis of the irido-corneal-endothelial syndromes.

Chandler's Syndrome (Irido-Corneal-Endothelial Syndrome)

Chandler's syndrome, essential iris atrophy, and iris nevus or Cogan-Reese syndrome have recently been regarded as variations of a single disease process and pathogenetic mechanism, the irido-corneal-endothelial or ICE syndrome.209–213 These conditions are nonfamilial, unilateral, and generally arise in early adulthood, usually in women.

Typical of Chandler's syndrome is corneal edema secondary to endothelial abnormality, usually with an accompanying ipsilateral, unilateral glaucoma (Fig. 19). The degree of corneal edema is severe relative to the level of intraocular pressure. The various iris changes (stromal thinning, full-thickness holes, “nevi,” and broad, tenting peripheral anterior synechiae) vary, depending on the subcategory of ICE syndrome. Campbell has proposed that the primary abnormality resides in the corneal endothelium, which, besides malfunctioning and allowing corneal edema in Chandler's syndrome, tends to grow across angle structures and the iris surface, elaborating a Descemet's membrane-like tissue.209 Contraction of the membrane then leads not only to anterior synechiae but also to pupillary distortion and the iris abnormalities seen to a greater or lesser extent in all of the ICE syndromes.

Fig. 19. Chandler's syndrome. Top. Clinical appearance of cornea in a 37-year-old woman with unilateral stromal edema, peripheral anterior synechiae, iris atrophy, and glaucoma. Upper middle left. Phase-contrast microscopy shows abnormal thick acellular posterior collagen layer (*) between Descemet's membrane (DM, bracketed) and the discontinuous endothelium (arrowheads) (paraphenylenediamine, × 1400). Center middle left. Scanning electron micrograph of posterior corneal surface shows remaining endothelial cells to have attenuated dendritiform configuration. Large areas of Descemet's membrane and posterior collagen layer (*) are exposed (× 250). Bottom right. Transmission electron micrograph corresponding to phase-contrast photograph (upper middle left) reveals relatively normal stroma (S) and Descemet's membrane (DM) with posterior layer (*) composed of loosely arrayed fibrillar collagen and basement membrane material. A single attenuated endothelial cell (En) is evident at the far left (× 6000). Lower middle left. Transmission electron micrograph detail of posterior collagen layer resolves bundles of fine filaments (circled) plus fibrillar collagen with segment long-spacing (SLS)-banding (× 50,000). (Top, courtesy of R Meyer, MD)

Chandler's syndrome must be differentiated from Fuchs' dystrophy and posterior polymorphous dystrophy. The latter may also be considered within the spectrum of irido-corneal-endothelial syndromes, because a similar pathogenic defect in the corneal endothelium may be implicated, possibly reflecting abnormal proliferation or induction of embryonic neural crest cells.21 In contrast to the ICE syndromes, however, posterior polymorphous dystrophy is familial and bilateral, and without similar iris findings except peripheral anterior synechiae in some cases.200 In addition to posterior polymorphous dystrophy, the abnormal “beaten metal” appearance of Descemet's membrane in Chandler's syndrome resembles that of Fuchs' dystrophy. Specular microscopy may prove useful in better describing the in vivo characteristics of these conditions.205,214

Histopathologic study of Chandler's syndrome has revealed abnormalities in the mesenchymally derived cells lining the cornea, trabecular meshwork, and anterior iris surface.215 The corneas typically exhibit a posterior collagenous layer. The abnormal endothelium extends from the cornea over the trabecular meshwork and, in some specimens, onto the iris. Elaboration of excessive multilaminar basement membrane by flat and discontinuous corneal endothelial cells is further evidence of an “endothelial distress syndrome.”216

NONINFLAMMATORY CORNEAL ECTASIAS

Keratoconus

The bilateral, noninflammatory condition is an axial ectasia of the cornea (Fig. 20; Color Plate 1N). Subtle irregular astigmatism is often the first clinical finding in keratoconus, and this is evidenced by a distortion of the corneal image as noted with the placido disc, retinoscope, keratometer, and keratoscope. Keratoconus becomes manifest at puberty and can progress either slowly, stabilizing over the course of about 10 years, or relatively rapidly, requiring keratoplasty. While familial in nature, no exclusive pattern of inheritance exists.

Fig. 20. Keratoconus. Top left. Clinical photograph in lateral projection demonstrates extreme anterior protrusion of the markedly ectatic cornea. Top middle. Acute hydrops, due to a break in Descemets membrane is accompanied by extreme stromal and epithelial edema. Top right. Following resolution of acute hydrops, slit lamp biomicroscopy delineates the extent of Descemet's membrane rupture (between arrowheads). Bottom left. Phase-contrast microscopy of a cornea with healed hydrops shows the retracted and detached ledge of Descemet's membrane (DM) which, along with the posterior stromal surface, has been completely resurfaced by endothelial cells (*). S, posterior stroma (paraphenylenediamine × 250). Bottom right. Transmission electron micrograph of area circled in previous figure shows portion of a recovering endothelial cell (En) lining the stroma anterior to Descemet's membrane ledge. The layer of basement membrane material (*) represents the initial attempt at reformation of Descemet's membrane. AC, anterior chamber (× 27,000). (Top left. Grayson M: Diseases of the Cornea, p 256. St. Louis, CV Mosby, 1979)

Thinning of the cornea with protrusion of the apex occurs, such that in downgaze the lower lid is distorted by the cone (Munson's sign). Two types of cones have been described: a well-demarcated nipple-shaped cone and a larger, oval or sagging cone.217 The apex of the nipple cone is usually slightly inferonasal, whereas the oval-shaped cone is often slightly displaced to the inferotemporal quadrant and extends closer to the periphery. The cone often exhibits subepithelial scarring. Vertical stress lines (Vogt's striae) are seen deep in the affected stroma. Increased visibility of the corneal nerves and Fleischer's iron ring are additional diagnostic signs. The latter is caused by a deposition of hemosiderin pigment deep in the epithelium and Bowman's layer at the base of the cone.

An early histopathologic change is focal disruption of Bowman's layer,218 which is replaced in affected areas with keratocytes and collagenous material. The epithelium itself is irregular in thickness and has an abnormal basement membrane in areas where Bowman's layer is destroyed.219–221 Stromal changes, even in areas of extreme thinning, are nonspecific.

Acute hydrops may occur when Descemet's membrane is stretched beyond its elastic breaking point. Such a rupture leads to sudden, profound corneal edema. Endothelium bridges the gap in 6 to 8 weeks, with resultant stromal deturgescence and residual stromal scarring of varying severity. Ultrastructural examination in areas of healed hydrops has shown the torn edges of Descemet's membrane to have retracted as scrolls, and the disrupted endothelium to have migrated across the exposed surface of posterior stroma, depositing new Descemet's membrane material and renewing continuity of the endothelial monolayer.222

Keratoconus can occur in association with a variety of ocular and systemic diseases, including atopic dermatitis,223 vernal catarrh,224 Down's syndrome, retinitis pigmentosa,225 infantile tapetoretinal degeneration, Marfan's syndrome, aniridia, and blue sclera. The association with atopy and vernal keratoconjunctivitis has led to speculation that frequent, vigorous eye rubbing may aggravate, accelerate, or even cause keratoconus.226 Some investigators, moreover, have also inferred contact lens wear as causative.227

Initial treatment requires astigmatic spectacle correction or a rigid contact lens that compensates for the irregular corneal astigmatism. When lens fit or comfort becomes a problem, superficial keratectomy may be performed in selected cases to smooth the corneal surface. In cases without apical scarring involving the visual axis, epikeratoplasty may be useful.228 Thermokeratoplasty is generally only a temporary measure, because resteepening, scarring, or persistent epithelial defects usually ensue,229 although in some cases the result is acceptable.230 Penetrating keratoplasty remains highly successful for long-term visual rehabilitation of advanced cases.

Pellucid Marginal Degeneration

This disorder is evident as a bilateral, inferior corneal thinning that leads to marked irregular against-the-rule astigmatism. The normal cornea protrudes above an area of abrupt thinning inferiorly. There is some consensus that keratoconus, keratotorus, keratoglobus, and pellucid degeneration are related because these different conditions have been found to coexist in families. Histopathologic reports demonstrate abnormalities in the affected tissue similar to findings in keratoconus.

Because of extremely abnormal corneal topography, the treatment of pellucid degeneration is difficult. Contact lens wear should be attempted initially. If the patient is contact lens intolerant, a large penetrating keratoplasty may be performed.231 Alternatively, tectonic lamellar grafting of the thinned periphery followed by a central penetrating keratoplasty may be attempted. Krachmer232 suggests that thermokeratoplasty may be a reasonable alternative.

Keratoglobus

Keratoglobus (Fig. 21) is a rare bilateral condition resembling megalocornea, with the exception that the cornea is uniformly thinned, particularly peripherally. A familial association between keratoconus and keratoglobus has been made. Rupture of Descemet's membrane may occur, as in keratoconus, but this is not usually the case.233,234 Especially in cases associated with Ehlers-Danlos syndrome type VI, patients must be cautious to avoid even minor ocular trauma because rupture of the globe can occur easily, and repair is difficult.

Fig. 21. Keratoglobus. Top. Clinical photograph of acquired keratoglobus in a 65-year-old man shows bulging globoid contour of corneas that were clear except for small stromal opacities in the temporal midperiphery. Middle. Horizontal pupil-optic nerve section of this eye shows bulging cornea and deep anterior chamber. The entire cornea is approximately one-third normal thickness, except in extreme periphery nasally and temporally (hematoxylin-eosin, × 4). Bottom. Light photomicrograph of central cornea shows old rupture of Descemet's membrane (between arrowheads) with subsequent deposition of new thinner Descemet's membrane by regenerated endothelium (hematoxylin-eosin, × 400). (Green WR: Keratoglobus. Am J Ophthalmol 77:393, 1974)

Back to Top
CORNEAL DEGENERATIONS

PERIPHERAL DEGENERATIONS

Corneal Arcus (Juvenilis and Senilis)

Corneal arcus appears as a whitish ring of the peripheral cornea with a clear zone between it and the limbus. Arcus juvenilis is sometimes called anterior embryotoxon. Both the juvenile and adult forms represent paralimbal stromal accumulations of cholesterol esters, triglycerides, and phospholipids.235–237 In histologic section, the deposits appear wedge-shaped, being most prominent near Bowman's and Descemet's membranes. Abnormalities in blood lipids may be correlated in younger patients displaying corneal arcus and/or Schnyder's crystalline corneal dystrophy.

White Limbal Girdle of Vogt

The white limbal girdle of Vogt, type II, is a common finding in patients over 45 years of age. It is a white opacity in the medial and temporal limbal regions, and may be mistaken for corneal arcus. Fine white lines extend irregularly from the limbus. A clear interval may or may not be present between the girdle and the limbus. The limbal girdle is not associated with inflammation, is not vascularized, and does not progress. Sugar and Kobernick238 described the pathologic change in Vogt white limbal girdle type II as a subepithelial hyperelastosis with degeneration similar to that in pingueculae and pterygia.

The type I limbal girdle is likely to be more closely related to early calcific band keratopathy since it appears, as Vogt described it, as a white band with clear holes at several points and separated from the sclera by a clear interval.

Idiopathic Furrow Degeneration

A thinning of the cornea in older people in the area of an arcus senilis sometimes occurs. There is no tendency for this thinned area to perforate, and no vascularization develops. Visual acuity is generally not affected.

Furrow Degeneration Associated with Systemic Disease

Focal or extensive ring-type epithelial defects and sterile ulceration near the limbus can accompany certain systemic diseases, such as rheumatoid arthritis, Wegener's granulomatosis, polyarteritis nodosa, relapsing polychondritis, systemic lupus erythematosus, and other collagen vascular diseases (Fig. 22). The treatment of such immunogenic diseases is discussed elsewhere.

Fig. 22. Furrow degeneration associated with systemic disease. Light microscopy of a 47-year-old woman with Sjögren's syndrome who developed a perforated marginal corneal ulcer shows the healed appearance of iris incorporated into a fibrous scar whose central margin is steeper than its gently sloping peripheral margin (periodic acid-Schiff, × 32). (Green WR: Histopathology of furrow degeneration. Arch Ophthalmol 90:470, 1973. Copyright 1973, American Medical Association)

Postirradiation Thinning

Large areas of noninflammatory corneal excavation at the limbus may occur after high doses of beta irradiation.239

Terrien's Marginal Degeneration

Terrien's marginal degeneration is an uncommon but distinct variety of marginal thinning of the cornea (Fig. 23).240 It is usually bilateral, though often asymmetric, and seen mostly in younger males. The condition is slowly progressive over the course of years and generally starts superiorly as a marginal opacification. Stromal thinning and ectasia develop with an intact epithelium, and there is a lucid zone between the advancing edge and the limbus. A yellow border of lipid is characteristically present at the advancing edge (Color Plate 1 O). Vessels traverse the furrow and pass beyond it. Difficulties arise from the induced corneal astigmatism, and minor trauma may result in rupture if thinning is sufficient. Most cases of Terrien's marginal degeneration are noninflammatory, although patients with recurrent inflammation have been described.241 Electron microscopic study demonstrates that collagen precursors, stromal ground substance, and possibly lipid are phagocytized by histiocytic cells with high lysosomal activity.240 The therapy of Terrien's degeneration is limited to tectonic grafting to prevent or to repair perforation of thinned areas.

Fig. 23. Terrien's marginal degeneration. Top left. Clinical photograph of a patient with extensive peripheral thinning of superior stroma shows vascularization of involved stroma with lipid deposition at advancing edge. Top right. Light microscopy reveals numerous foamy histiocytic cells and blood vessels within the anterior stroma (hematoxylin-eosin, × 300). Bottom. Transmission electron micrograph shows several histiocytic cells laden with neutral lipid inclusions (circled). Several reactive fibroblasts and chronic inflammatory cells are also seen (× 5000).

Mooren's Ulcer

Mooren's ulcer (Fig. 24) is probably best considered a localized inflammatory ulceration rather than a degeneration of the corneal periphery. However, it must be differentiated from entities such as Terrien's marginal degeneration. Serious systemic connective tissue diseases with generalized vasculitis and collagen destruction must be excluded before the diagnosis of Mooren's ulcer can be made. It is, thus, a diagnosis of exclusion. Mooren's ulcer, in contrast to typical degenerations,is characterized by a fulminating, centrally progressive, and painful inflammation occurring more often in males (Color Plate 1P).242–246 The leading edge of the ulcerative process often undermines the more central corneal stroma. Two types of Mooren's ulcer have been described. A benign type is seen in older patients and is usually unilateral and responsive to treatment more often than the more severe type that occurs in younger persons.245 The latter variety is relentlessly progressive and often bilateral. Young Nigerians have exhibited a severe form of Mooren's ulcer, with a rapid progression to perforation and marked involvement of the limbal sclera and episclera in a necrotizing process.243

Fig. 24. Mooren's ulcer. Top. Clinical photograph in an advanced bilateral case shows extensive loss of peripheral stroma that has vascularized with only central island of full-thickness stroma remaining. Middle right. Phase-contrast micrograph of stroma at margin of ulcerating area includes abrupt termination of Bowman's layer (at arrowhead) with numerous acute inflammatory cells shown at right (paraphenylenediamine, × 800). Bottom. Transmission electron micrograph of area in previous illustration resolves multiple intrastromal inflammatory cells as polymorphonuclear leukocytes actively engaged in degranulation and phagocytosis (*). The stroma is extensively degraded in areas where enzyme-containing leukocyte granules (circled) are present (× 7500).

Histologic studies reveal necrosis of collagen tissue, with vessels and chronic inflammatory cells in the overhanging limbal edges. Autoantibodies to human epithelium have been demonstrated.244 Histologic and ultrastructural studies reveal the presence of polymorphonuclear leukocytes within the zone of active ulceration, suggesting that acute inflammatory cells play a role in the collagenolytic process.246

The results of treatment have not been encouraging. Conjunctival resection adjacent to the ulcer may, in some cases, ameliorate the ulcerative process.247 In more aggressive cases, perforation may occur from collagenolytic processes or secondary infection, especially in the potentiating presence of topical corticosteroids. Tissue adhesive and lamellar grafting may be necessary in the event of perforation.248 Systemic immunosuppression may be of value in patients with progressive disease.249–251

CENTRAL OR DIFFUSE DEGENERATIONS

Iron Lines

Iron deposition in the cornea occurs secondarily in a number of clinical settings252,253: Hudson-Stähli line, Ferry's line,254 Stocker's line, Fleischer's ring, normal aging cornea, adjacent to a filtering bleb, adjacent to the head of a pterygium, and at the base of a keratoconus cone. Histologic examination reveals hemosiderin deposition in the basal corneal epithelial cells.254 The pathogenesis of corneal iron lines is unclear, although they may be related to chronic abnormalities of tear flow. Iron lines do not affect vision and are themselves asymptomatic.

Coat White Ring

This small corneal opacity is usually located in an area that previously harbored a foreign body.255,256 The opacity, which contains iron, appears as a small, granular, oval ring when viewed with the slit lamp. It was originally thought to be lipid in nature, but likely contains iron from the foreign body.256 The condition causes no symptoms and requires no therapy.

Lipid Degeneration

This degeneration (Fig. 25) is characterized clinically by the accumulation of a yellow or cream-colored diffuse or crystalline material in the corneal stroma, which may be abnormally thick or thin. There is generally a history of prior corneal inflammatory episodes with resultant stromal vascularization. The lipid accumulations are therefore of a secondary nature, with extravasation of cholesterol and fatty acids from the vessels. Lipid keratopathy has been reported following hydrops257 and as a finding with no clear antecedent corneal damage or vascularization.258,259

Fig. 25. Lipid degeneration. Top. Clinical photograph shows opaque lipid deposit with central vessel. Middle left. Phase-contrast microscopy includes numerous fine extracellular deposits (circled) within Bowman's layer and anterior stroma (paraphenylenediamine, × 800). Bottom. Transmission electron micrograph of anterior stroma illustrates globular lipids among collagen fibrils without disruption or other abnormality of keratocytes (K) (× 12,000). Middle right. At higher magnification, lipid deposits of approximately 1μm diameter have characteristics of saturated neutral fats (*) (× 40,000). (Top. Grayson M: Diseases of the Cornea, p 194. St. Louis, CV Mosby, 1979)

Amyloid Degeneration

Acquired corneal amyloidosis can be associated with intraocular disease or may be secondary to corneal trauma.260–263 Such amyloid deposition may also occur as a result of long-standing diseases, such as retrolental fibroplasia, trachoma, glaucoma, uveitis, bullous keratopathy, keratoconus, and leprosy.264 These corneal amyloid lesions consist of salmon-pink to yellow-white, raised, fleshy masses that create a nodular surface (Fig. 26) and that may be amenable to treatment by superficial keratectomy. The cornea may be vascularized depending on other factors. The deposits seen in lattice and gelatinous dystrophies are also amyloid in nature, but those conditions are primary disorders.

Fig. 26. Amyloid degeneration. Left. In a patient with long-standing stromal and epithelial edema due to Fuchs' dystrophy, superficial irregular opacities consist of amyloid material. Top right. Phase-contrast microscopy shows masses of amyloid material (*) intervening between the epithelium and Bowman's layer (B) (paraphenylenediamine, × 750). Bottom right. Transmission electron micrograph of amyloid deposit shows typical ultrastructural characteristics of 8- to 10-nm diameter, banded (circled) fibrils in random aggregates (× 60,000).

The amyloid material in the cornea is identical to that present in other organs. It stains with Congo red, displays birefringence and two-color dichroism with the polarizing microscope, and is fluorescent with thioflavin-T stain and ultraviolet light. Amyloid contains protein, carbohydrate, and polysaccharide components, as well as alpha-chain immunoglobulins. Ultrastructural study reveals short 9- to 10-nm-diameter fibrils in a random pattern of aggregation within a granular background.

Spheroid Degeneration (Climatic Droplet Keratopathy, Keratinoid Degeneration)

Keratinoid degeneration,265 climatic droplet keratopathy,266–279 proteinaceous degeneration,270 Labrador keratopathy,271–273 and chronic actinic keratopathy274 are likely all similar nonhereditary degenerations related to geographic or climatic conditions.277–279

Spheroid degeneration is characterized by yellow, oily-appearing subepithelial droplets within the interpalpebral fissure (Fig. 27). These droplets may replace Bowman's layer or may lie deeper. They generally begin at the periphery. Types of spheroid degeneration resulting from a local disease or chronic irritant may be unilateral and involve the central cornea as well as periphery. Spheroid degeneration has been described in association with lattice dystrophy.

Fig. 27, Spheroid (keratinoid) degeneration. Top left. Clinically, numerous spheroidal deposits appear as opacities over the anterior stroma. Middle left. Histologic section reveals numerous densely staining spherules beneath the distorted epithelium and within the superficial stroma (hematoxylin-eosin. × 250). Right. Survey transmission electron micrograph shows spheroidal deposits as extracellular accumulations of electron-dense material with variably crystalline structure. Lipid substances and blood vessels are also evident (× 5000). Bottom left. High-magnification transmission electron micrograph of a spheroidal deposit shows variable electron density with a crystalline fragment similar to calcium (× 40,000).

Electron microscopy reveals that the lesions appear to develop from extracellular material deposited on collagen fibrils. Some suggest that this material is secreted by abnormal fibrocytes, forming collagenous spheroids.275 However, a report by Johnson and Overall280 suggests that an interaction between ultraviolet light and plasma proteins within the stroma results in the abnormal deposits. The deposits are PAS-negative but stain positively with rhodamine B, thus the designation keratinoid, even though keratin is not present. The condition is probably related to elastotic degeneration of collagen, as in conjunctival pingueculae.279

The conjunctiva may become involved with spheroid degeneration, often in association with pingueculae. Patients with spheroid degeneration are usually asymptomatic, but if aggravating local factors exist, the disorder may progress and lead to symptoms of irritation. In some cases, superficial keratectomy may be useful both for visual rehabilitation and comfort.

Band Keratopathy

Band keratopathy (Fig. 28) may arise from localized ocular inflammation or systemic disease. Hydroxyapatite deposits of calcium carbonate accumulate in the epithelial basement membrane, Bowman's layer, and the superficial stroma.281,282 Calcific degenerations, phthisis bulbi, necrotic intraocular neoplasms, and conditions in which bone is formed in other parts of the eye are frequent associations.283

Fig. 28. Band keratopathy. Top left. In a 59-year-old woman with congenital luetic interstitial keratitis, band keratopathy has resulted in epithelial erosion with persistent central defect. Top right. Phase-contrast microscopy discloses irregular corneal epithelium with a myriad of small, densely staining spherules (circled) within Bowman's layer (paraphenylenediamine, × 1000). Bottom. Transmission electron micrograph resolves fine crystalline characteristic and extreme electron density of calcium or hydroxyapatite particles (× 70,000).

Band keratopathy is confined to the interpalpebral fissure area (see Color Plate 1E). A lucid interval separates the calcific band from the limbus. Small defects in the band are scattered throughout and probably represent areas where nerves penetrate Bowman's layer.

Histopathologically, the earliest changes consist of basophilic staining of the basement membrane of the epithelium; this is followed by involvement of Bowman's layer with calcium deposition and eventual fragmentation.

The factors that stimulate precipitation of calcium salts in the interpalpebral region of the anterior corneal layers are thought to involve gaseous exchanges at the corneal surface leading to decreased carbon dioxide and elevated pH.282 Anatomic peculiarities in the basement membrane and Bowman's layer invite calcium deposition, as do decreased content of acid mucopolysaccharides in an edematous cornea.284 The calcific deposits due to local disease are usually extracellular. In systemic hypercalcemia the deposits are intracellular.

Band keratopathy may also result from deposition of urates in the cornea.285 These are customarily brown instead of the gray-white usually seen in calcific band keratopathy.

The instillation of mercury-containing eye drops, as in glaucoma and dry-eye states, has some circumstantial relationship to the development of band keratopathy in some patients.286–288 The dry-eye state itself, through concentration of tear calcium, may also encourage its deposition near the corneal surface.

Some of the conditions that may result in band keratopathy are listed in Table 1.289–294

 

TABLE 1. Conditions That May Result in Band Keratopathy

  Hypercalcemia289–294

  Sarcoidosis (rare)
  Fanconi's disease
  Still's disease (nongranulomatous uveitis)
  Hypercalcemia (uremia, parathyroid adenoma)
  Hypophosphatasia
  Multiple myeloma
  Discoid lupus erythematosus
  Hyperphosphatemia
  Vitamin D toxicity
  Metastatic disease (lung and bone disease with increased calcium)
  Ichthyosis


  Ocular disease

  Chronic nongranulomatous uveitis (juvenile rheumatoid arthritis)
  Prolonged glaucoma
  Long-standing corneal edema
  Degenerated globe (phthisis bulbi)
  Spheroid degeneration
  Norrie's disease


  Toxic and mercury vapors
  Irritants and exposure

  Spheroid degeneration
  Bietti's nodular keratopathy


  Noncalcific band keratopathy (urate deposits)285
  Idiopathic

 

Band keratopathy may be treated by application of the calcium binding agent, ethylenediaminetetraacetic acid (EDTA). After instillation of topical anesthesia, EDTA 0.4% is applied to the deepithelialized cornea. Superficial keratectomy is then performed by carefully stripping the calcific scale with forceps and blunt dissection with dry cellulose sponges.295

Salzmann's Nodular Degeneration

This degeneration is noninflammatory and creates multiple, bluish-white, superficial corneal nodules, usually in the midperiphery (Fig. 29). The nodules may be related to previous inflammation, especially phlyctenular disease, vernal keratoconjunctivitis, trachoma, or lues and interstitial keratitis. It has also been reported in patients with epithelial basement membrane dystrophy, contact lens wear, keratoconus, and after corneal surgery.296 Although often asymptomatic, patients may develop recurrent epithelial erosion or decreased vision.

Fig. 29. Salzmann's nodular degeneration. Top left. Clinical photograph emphasizes numerous discrete elevated opacities in the anterior midperipheral stroma. Top right. Transmission electron micrograph of corneal epithelium over opacity reveals marked irregular thickening of basement membrane material (arrows) overlying collagenous pannus (× 7500). Bottom. Scanning electron micrograph of epithelial surface covering a nodular deposit shows extreme disorganization and breakdown of epithelial mosaic with extensive desquamation and separation of adjacent cells (× 1200). (Bottom, courtesy of Diane Van Horn, PhD)

The nodules represent focal areas of subepithelial fibrocellular, avascular pannus, replacing Bowman's layer and superimposed on a normal stroma. Transmission electron microscopy has shown reduplication of the epithelial basement membrane in some cases.296

Treatment may include simple stripping of the focal nodules by superficial keratectomy. Lamellar or penetrating keratoplasty may rarely be required for visual rehabilitation.

Corneal Keloids

Corneal keloids may be found either in the central or peripheral cornea and resemble the nodules in Salzmann's degeneration. They occur as hypertrophic scars following corneal injury, inflammation, or surgical trauma. Keloidlike lesions have also been reported in early life without antecedent trauma. Immunohistochemical and electron microscopic studies have demonstrated the presence of myofibroblasts in these lesions, differentiating them from Salzmann's nodules.297

CONJUNCTIVAL DEGENERATIONS

Pterygium

Pterygia are triangular, fibrovascular connective tissue overgrowths of bulbar conjuctiva onto the cornea (Fig. 30). They are horizontally located in the interpalpebral fissure on either the nasal or temporal side of the cornea. A pigmented iron line (Stocker's line) may be seen in advance of a pterygium on the cornea. The location of the pterygium is determined by exposure to ultraviolet energy, the amount of which varies with the geographic latitude. True pterygia are found only in the interpalpebral fissure. The wearing of glasses can decrease their incidence since the ultraviolet transmission is thereby decreased.

Fig. 30. Pterygium. Left. Clinical appearance of a typical interpalpebral pterygium shows extension of fibrovascular conjunctival tissue onto clear cornea. Right. Histologic section shows elastotic degeneration of collagen fibers (circled) (phosphotungstic acid-hematoxylin, × 375).

A pterygium may progress slowly toward axial cornea or may become quiescent. Indications of activity are corneal epithelial irregularity, opacification of Bowman's layer, and prominence of active blood vessels and inflammation.

Histopathologic examination reveals the subepithelial tissue to exhibit elastotic degeneration of collagen, resulting from breakdown of the collagen and destruction of Bowmans membrane.298 The subepithelial material stains for elastin but is not sensitive to elastase.

Generally, pterygium excision is indicated if the visual axis is threatened or if the pterygium causes extreme irritation. If a pterygium recurs following excision, it will do so within several weeks, starting from the cut conjunctival border. The rate of recurrence is significant—as high as 40%—when a bare scleral excision is performed. This rate is usually reduced if surgery is followed by beta irradiation with strontium 90. Treatment with autologous conjunctival transplantation299 has recently been shown to decrease the incidence of recurrence to about 5%, as has adjunctive treatment with mitomycin drops.300,301

Pseudopterygia occur following chemical injury, corneal ulceration, or other inflammatory problems in which the conjunctiva becomes scarred and drawn upon the cornea. A probe can be passed between this conjunctival bridge and the sclera, a feature which distinguishes pseudopterygia from true pterygia.

Pinguecula

Like pterygia, pingueculae likely represent an age-related degeneration associated with ultraviolet light and general environmental exposure. Pingueculae appear as raised, cream-colored, white, or chalky perturbations of the conjunctiva adjacent to the limbus and within the palpebral fissure. Occasionally, they may become inflamed but generally do not require treatment. As in the case of pterygia, pingueculae may represent elastotic degeneration of the substantia propria of the conjunctiva.298

Back to Top
REFERENCES

1. Manschot WA: Primary congenital aphakia. Arch Ophthalmol 69:571, 1963

2. Lowe RF: Aetiology of the anatomical basis of primary angle-closure glaucoma: Biomedical comparisons between normal eyes and eyes with primary angle-closure glaucoma. Br J Ophthalmol 54:161, 1970

3. Durham DG: Cutis hyperelastica (Ehlers-Danlos syndrome) with blue scleras, microcornea, and glaucoma. Arch Ophthalmol 49:220, 1953

4. McKusick VA: Megalocornea. In McKusick VA (ed): Mendelian Inheritance in Man, p 639. Baltimore, Johns Hopkins University Press, 1975

5. Skuta GL, Sugar J, Ericson ES: Corneal endothelial cell measurements in megalocornea. Arch Ophthalmol 101:51, 1983

6. Francois J: La gonioscopie. III. Colobome de l'iris. Adv Ophthalmol 4:44, 1955

7. Malbran E, Dodds R: Megalocornea and its relation to congenital glaucoma. Am J Ophthalmol 49:908, 1960

8. Vail DT Jr: Adult hereditary anterior megalophthalmos sine glaucoma: A definite disease entity, with special reference to extraction of the cataract. Arch Ophthalmol 6:39, 1931

9. Duke-EIder S: System of Ophthalmology, Vol III, Normal and Abnormal Development, Part 2, Congenital Deformities, p 501. London, Kimpton, 1963

10. Calamandrei D: Megalocornea in due pazienti con syndrome craniosinostocia. Q Ital Ofthalmol 3:278, 1950

11. Libert J, Vanhoof F, Farreaux JP et al: Ocular findings in I cell disease (mucolipidosis type II). Am J Ophthalmol 83:617, 1977

12. Desvignes P, Pouliquen Y, Legras M et al: Aspect iconographique d'une cornea plana dans une maladie de Lobstein. Arch Ophtalmol (Paris) 72:585, 1967

13. Rubel E: Kongenitale familiare flachheit der kornea (cornea plana). Klin Monatsbl Augenheilkd 50:427, 1912

14. Duke-EIder S: System of Ophthalmology, Vol III, Normal and Abnormal Development, Part 2, Abnormalities in the Curvature of the Cornea. Cornea Plana, p 505. London, Kimpton, 1963

15. Kolkott W: Cornea plana und Mikrocornea periplana. Klin Monatsbl Augenheilkd 98:372, 1937

16. Reese AB, Ellsworth RM: The anterior chamber cleavage syndrome. Arch Ophthalmol 75:307, 1966

17. Kenyon, KR: Mesenchymal dysgeneses of the cornea. Metab Ophthalmol 2: 173, 1978

18. Waring GO, Bourne WM, Edelhauser HF et al: The corneal endothelium: Normal and pathologic structure and function. Ophthalmology 89:531, 1982

19. Townsend WM, Font RL, Zimmerman LE: Congenital corneal leukomas. II. Histopathologic findings in 19 eyes with central defect in Descemet's membrane. Am J Ophthalmol 77:192, 1974

20. Townsend WM, Font RL, Zimmerman LE: Congenital corneal leukomas. III Histopathologic findings in 13 eyes with noncentral defect in Descemet's membrane. Am J Ophthalmol 77:400, 1974

21. Bahn CF, Falls HF, Varley GA: Classification of corneal endothelial disorders based on neural crest origin. Ophthalmology 91:558, 1984

22. Kenyon KR: Mesenchymal dysgenesis in Peters' anomaly, sclerocornea and congenital endothelial dystrophy. Exp Eye Res 21:125, 1975

23. Waring GO III, Rodrigues MM, Laibson PR: Anterior chamber cleavage syndrome: A stepladder classification. Surv Ophthalmol 20:3, 1975

24. Axenfeld T: Embryotoxon corneae posterius. Dtsch Ophthalmol Gesamte 42:301, 1920

25. Sugar HS: Juvenile glaucoma with Axenfeld's syndrome: A histologic report. Am J Ophthalmol 59:1012, 1965

26. Dark AJ, Kirkham TH: Congenital corneal opacities in a patient with Rieger's anomaly and Down's syndrome. Br J Ophthalmol 52:631, 1968

27. Henkind P, Siegel IM, Carr RE: Mesodermal dysgenesis of the anterior segment: Rieger's anomaly. Arch Ophthalmol 73:810, 1965

28. Tabbara KF, Khouri FP, Kaloustian VM der: Rieger's syndrome with chromosomal anomaly (report of a case). Can J Ophthalmol 8:488, 1973

29. Collier M: Le keratocone posterieur. Arch Ophtalmol (Paris) 22:376, 1962

30. Jacobs HB: Posterior conical cornea. Br J Ophthalmol 41:31, 1957

31. Krachmer JH, Rodrigues MM: Posterior keratoconus. Arch Ophthalmol 96: 1867, 1978

32. Wolter JR, Haney WP: Histopathology of keratoconus posticus circumscriptus. Arch Ophthalmol 69:357, 1963

33. Ingram HU: Keratoconus posticus. Trans Ophthalmol Soc UK 56:563, 1963

34. Alkemade PPH: Dysgenesis Mesodermalis of the Iris and the Cornea. Springfield, IL, Charles C Thomas, 1969

35. Peters' A: Uber angeborene Defektbildung der Descemetschen Membran. Klin Monatsbl Augenheilkd 44:27, 1906

36. Townsend WM: Congenital anomalies of the cornea. In Kaufman HE, Barron BA, McDonald MB et al (eds): Cornea, p 333. New York, Churchill Livingstone, 1989

37. Ide CH, Matta C, Holt JE et al: Dysgenesis mesordermalis of the cornea (Peters' anomaly) associated with cleft lip and palate. Ann Ophthalmol 7:841, 1975

38. Nakanishi I, Brown SI, The histopathology and ultrastructure of congenital central corneal opacity (Peters' anomaly). Am J Ophthalmol 72:801, 1971

39. Stone DL, Kenyon KR, Green WR et al: Congenital central corneal leukoma (Peters' anomaly). Am J Ophthalmol 81:173, 1976

40. Fogle JA, Green WR, Kenyon KR et al: Peripheral Peters' anomaly: A histopathologic case report. J Pediatr Ophthalmol 15:71, 1978

41. Townsend WM: Congenital corneal leukomas. I. Central defect in Descemet's membrane. Am J Ophthalmol 77:80, 1974

42. Waring GO, Laibson PR, Rodrigues M: Clinical and pathological alterations of Descemet's membrane: With emphasis on endothelial metaplasia. Surv Ophthalmol 18:325, 1974

43. Waring GO: Ultrastructural classification of abnormal collagen tissue on the posterior cornea (posterior collagen layer) (abstr). Invest Ophthalmol Vis Sci (suppl) 18:124, 1979

44. Howard RO, Abrahams IW: Sclerocornea. Am J Ophthalmol 71:1254, 1971

45. Goldstein JE, Cogan DG, Kaufman HE: Sclerocornea and associated congenital anomalies. Arch Ophthalmol 67:761, 1962

46. Kanai A, Wood TC, Polack FM et al: The fine structure of sclerocornea. Invest Ophthalmol 10:687, 1971

47. Rodrigues MM, Calhoun J, Weinreb S: Sclerocornea with unbalanced translocation (17p, 10q). Am J Ophthalmol 78:49, 1974

48. Weinzenblatt S: Congenital malformations of cornea associated with embryonic arrest of ectodermal and mesodermal structures. Arch Ophthalmol 52:415, 1954

49. Fogle JA, Kenyon KR, Stark WJ et al: Defective epithelial adhesion in anterior corneal dystrophies. Am J Ophthalmol 79:925, 1975

50. Bron AJ, Tripathi RC: Cystic disorders of the corneal epithelium. I. Clinical aspects. Br J Ophthalmol 57:361, 1973

51. Guerry D III: Fingerprint-like lines in the cornea. Am J Ophthalmol 33:724, 1950

52. Guerry D III: Observations on Cogan's microcystic dystrophy of the corneal epithelium. Trans Am Ophthalmol Soc 63:320, 1965

53. DeVoe AG: Certain abnormalities of Bowman's membrane with particular reference to fingerprint lines in the cornea. Trans Am Ophthalmol Soc 60: 195, 1962

54. Cogan DG, Donaldson DD, Kuwabara T et al: Microcystic dystrophy of the corneal epithelium. Trans Am Ophthalmol Soc 62:213, 1964

55. Cogan DG, Kuwabara T, Donaldson DD et al: Microcystic dystrophy of the cornea: A partial explanation for its pathogenesis. Arch Ophthalmol 92:470, 1974

56. Laibson PR: Microcystic corneal dystrophy. Trans Am Ophthalmol Soc 74:488, 1977

57. Franceschetti A: Hereditare rezidivierende Erosion der Hornhaut. Z Augenheilkd 66:309, 1928

58. Chandler PA: Recurrent erosion of the cornea. Am J Ophthalmol 28:355, 1945

59. Bron AJ, Brown NA: Some superficial corneal disorders. Trans Ophthalmol Soc UK 91:13, 1971

60. Tripathi RC, Bron AJ: Ultrastructural study of non-traumatic recurrent corneal erosion. Br J Ophthalmol 56:73, 1972

61. Trobe JD, Laibson PR: Dystrophic changes in the anterior cornea. Arch Ophthalmol 87:378, 1972

62. Tripathi RC, Bron AJ: Cystic disorders of the corneal epithelium. It. Pathogenesis. Br J Ophthalmol 57:376, 1973

63. Brown N, Bron A: Recurrent erosion of the cornea. Br J Ophthalmol 60:84, 1976

64. Brodrick JD, Dark AJ, Peace GW: Fingerprint dystrophy of the cornea: A histologic study. Arch Ophthalmol 92:483, 1974

65. Rodrigues MM, Fine BS, Laibson PR et al: Disorders of the corneal epithelium: A clinocopathologic study of dot, geographic, and fingerprint patterns. Arch Ophthalmol 92:475, 1974

66. Brown NA, Bron A J: Superficial lines and associated disorders of the cornea. Am J Ophthalmol 81:34, 1976

67. Laibson PR, Krachmer JH: Familial occurrence of dot (microcystic), map, fingerprint dystrophy of the cornea. Invest Ophthalmol 14:397, 1975

68. Meesmann A: Uber eine bisher nicht beschriebene dominant vererbte Dystrophia epithelialis corneae. Ber Dtsch Opthalmol Ges 52: 154, 1938

69. Meesmann A, Wilke F: Klinische und anatomische Untersuchungen uber eine bisher unbekannte, dominant vererbte Epitheldystrophie der Hornhaut. Klin Monatsbl Augenheilkd 103:361, 1939

70. Kuwabara T, Ciccarelli EC: Meesmann's corneal dystrophy: A pathological study. Arch Ophthalmol 71:676, 1964

71. Behnke H, Thiel HJ: Uber die Hereditare Epitheldystrophie der Hornhaut (typ Meesmann-Wilke) in Schleswig-Holstein. Klin Monatsbl Augenheilkd 147:662, 1965

72. Thiel HJ, Behnke H: Uber die Variationsbreite der hereditaren Hornhautepitheldystrophie (Typ Meesmann-Wilke). Ophthalmologica 155:81, 1968

73. Burns RP: Meesmann corneal dystrophy. Trans Am Ophthalmol Soc 66:530, 1968

74. Nakanishi I, Brown SI: Ultrastructure of the epithelial dystrophy of Meesmann. Arch Ophthalmol 93:259, 1975

75. Fine BS, Yannof M, Pitts E et al: Meesmann's epithelial dystrophy of the cornea. Am J Ophthalmol 83:633, 1977

76. Stocker FW, Holt LB: Rare form of hereditary epithelial dystrophy: Genetic, clinical and pathologic study, Arch Ophthalmol 53:536, 1955

77. Pameijer JK: Ueber eine fremdartige familiare oberflachliche Hornhautveranderung. Klin Monatsbl Augenheilkd 95:516, 1935

78. Grayson M, Wilbrandt H: Dystrophy of the anterior limiting membrane of the cornea (Reis-Bucklers type). Am J Ophthalmol 61:345, 1966

79. Fogle JA, Green WR, Kenyon KR: Anterior corneal dystrophy. Am J Ophthalmol 77:529, 1974

80. Reis W: Familiare, fleckige Hornhautentartung. Dtsch Med Wochenschr 43:575, 1917

81. Bucklers M: Uber eine weitere familiare Hornhautdystrophie (Reis). Klin Monatsbl Augenheilkd 114:386, 1949

82. Wood TO, Fleming JC, Dotson RS et al: Treatment of Reis-Bucklers corneal dystrophy by removal of subepithelial fibrous tissue. Am J Ophthalmol 85:360, 1978

83. Caldwell DR: Postoperative recurrence of Reis-Bucklers dystrophy. Am J Ophthalmol 35:567, 1978

84. Olson RJ, Kaufman H: Recurrence of Reis-Bucklers corneal dystrophy in a graft. Am J Ophthalmol 85:349, 1978

85. Yamaguchi T, Polack FM, Valenti J: Electron microscopic study of recurrent Reis-Bucklers corneal dystrophy. Am J Ophthalmol 90:95, 1980

86. Lohse E, Stock EL, Jones L et al: Reis-Bucklers dystrophy: Immunofluorescent and electron microscopic studies. Cornea 8:200, 1989

87. Griffith DG, Fine BS: Light and electron microscopic observations in a superficial corneal dystrophy: Probable early Reis-Bucklers type. Am J Ophthalmol 63:1659, 1967

88. Rice NSC, Ashton N, Jay B et al: Reis-Bucklers dystrophy: A clinicopathologic study. Br J Ophthalmol 52:577, 1968

89. Jones ST, Stauffer LK: Reis-Bucklers corneal dystrophy: A clinicopathological study. Trans Am Acad Ophthalmol Otolaryngol 74:417, 1970

90. Akiya S, Brown SI: The ultrastructure of Reis-Bucklers dystrophy. Am J Ophthalmol 72:549, 1971

91. Hogan MJ, Wood I: Reis-Bucklers corneal dystrophy. Trans Ophthalmol Soc UK 91:41, 1971

92. Franceschetti AT: La cornea verticillata (Gruber) et ses relations avec la maladie de Fabry. Ophthalmologica 156:232, 1968

93. Francois J: Glycolipid lipoidosis. In Symposium on Surgical and Medical Management of Congenital Anomalies of the Eye. Transactions of the New Orleans Academy of Ophthalmology. St. Louis, CV Mosby, 1968

94. D'Amico DJ, Kenyon KR, Ruskin JN: Amiodarone keratopathy: A drug-induced lipid storage disorder. Arch Ophthalmol 99:257, 1981

95. Tripathi RC, Bron AJ: Secondary anterior crocodile shagreen of Vogt. Br J Ophthalmol 59:5, 1975

96. Pouliquen Y, Dhermy P, Presles D et al: Degenerescence en Chagrin de crocodile de Vogt ou degenerescence en mosaique de Valerio, Arch Ophthalmol (Paris) 36:395, 1976

97. Charney SM: Idiopathic band keratopathy. Arch Ophthalmol 75:505, 1966

98. Rodrigues MM, Gaster RN, Pratt MV: Unusual superficial confluent form of granular corneal dystrophy. Ophthalmology 90:1507, 1983

99. Jones ST, Zimmerman LE: Histopathologic differentiation of granular, macular and lattice dystrophies of the cornea. Am J Ophthalmol 51:394, 1961

100. Garner A: Histochemistry of corneal granular dystrophy. Br J Ophthalmol 53:799, 1969

101. Rodrigues MM, Streeten BW, Krachmer JH et al: Micro-fibrillar protein and phospholipid in granular corneal dystrophy. Arch Ophthalmol 101:802, 1983

102. Johnson BL, Brown SI, Zaidman GW: A light and electron microscopic study of recurrent granular dystrophy of the cornea. Am J Ophthalmol 92:49, 1981

103. Akiya S, Brown SI: Granular dystrophy of the cornea: Characteristic electron microscopic lesion. Arch Ophthalmol 84: 179, 1970

104. Waardenburg PJ, Jonkers GH: A specific type of dominant progressive dystrophy of the cornea developing after birth. Acta Ophthalmol (Copenh) 39:919, 1961

105. Haddad R, Font RL, Fine BS: Unusual superficial variant of granular dystrophy of the cornea. Am J Ophthalmol 83:213, 1977

106. Folberg R, Alfonso E, Croxatto O et al: Clinically atypical granular corneal dystrophy with pathologic features of lattice-like amyloid deposits. Ophthalmology 95:47, 1988

107. Tripathi RC, Garner A: Corneal granular dystrophy: A light and electron microscopical study of its recurrence in a graft. Br J Ophthalmol 54:361, 1970

108. Brownstein S, Fine BS, Sherman ME et al: Granular dystrophy of the cornea: Light and electron microscopic confirmation of recurrence in a graft. Am J Ophthalmol 77:701, 1974

109. Rodrigues MM, McGavic JS: Recurrent corneal granular dystrophy: A clinicopathologic study. Trans Am Ophthalmol Soc 73:306, 1975

110. Stuart JC, Mund ML, Iwamoto T et at: Recurrent granular corneal dystrophy. Am J Ophthalmol 79: 18, 1975

111. Klintworth Gk: Lattice corneal dystrophy: An inherited variety of amyloidosis restricted to the cornea. Am J Pathol 50:371, 1967

112. Bowen RA, Hassard DTR, Wong VG et al: Lattice dystrophy of the cornea as a variety of amyloidosis. Am J Ophthalmol 70:822, 1970

113. Mondino BJ, Raj CVS, Skinner M et al: Protein AA and lattice corneal dystrophy. Am J Ophthalmol 89:337, 1980

114. Wheeler GE, Eiferman RA: Immunohistochemical identifications of the AA protein in lattice dystrophy. Exp Eye Research 36: 181, 1983

115. McMullan FD, DeLellis RA, Albert D et al: Corneal amyloidosis: An immunohistochemical analysis. ARVO abstract. Invest Ophthalmol Vis Sci (suppl)25:6, 1984

116. Gorevic PD, Rodrigues MM, Krachmer JH et al: Lack of evidence for AA reactivity in amyloid deposits of lattice corneal dystrophy and corneal amyloid degeneration. Am J Ophthalmol 98:216, 1984

117. Goldberg M: Genetic and Metabolic Eye Disease, pp 283–285. Boston, Little Brown & Co. 1974

118. Frayer WC, Blodi FC: The lattice type of familial corneal degeneration. Arch Ophthalmol 61:712, 1959

119. Lorenzetti DWC, Kaufman HE: Macular and lattice dystrophies and their recurrences after keratoplasty. Trans Am Acad Ophthalmol Otolaryngol 71:112, 1967

120. Lanier JD, Fine M, Togni B: Lattice corneal dystrophy. Arch Ophthalmol 94:921, 1976

121. Meisler DM, Fine M: Recurrence of the clinical signs of lattice corneal dystrophy (type I) in corneal transplants. Am J Ophthalmol 97:210, 1984

122. Meretoja J: Genetic aspects of familial amyloidosis with corneal lattice dystrophy and cranial neuropathy, Clin Genet 4:173, 1973

123. Purcell JJ, Rodrigues M, Chisthi MI et al: Lattice corneal dystrophy associated with familial systemic amyloidosis (Meretoja's syndrome). Ophthalmology 90:1512, 1983

124. Meretoja J: Comparative histopathological and clinical findings in eyes with lattice corneal dystropy of the two different types. Ophthalmological 165: 15, 1972

125. Maury CPJ, Teppo AM, Kariniemi AL et at: Amyloid fibril protein in familial amyloidosis with cranial neuropathy and corneal lattice dystrophy (FAP type IV) is related to transthyretin. Am J Pathol 89:359, 1988

126. Hida T, Proia AD, Kigasawa K et al: Histopathologic and immunochemical features of lattice corneal dystrophy type III. Am J Ophthalmol 104:249, 1987

127. Hida T, Tsubota K, Kigasawa K et al: Clinical features of a newly recognized type of lattice corneal dystrophy. Am J Ophthalmol 104:241, 1987

128. Rabb MF, Blodi F, Boniuk M: Unilateral lattice dystrophy of the cornea. Trans Am Acad Ophthalmol Otolaryngol 78:OP440, 1974

129. Donnenfeld ED, Cohen EJ, Ingraham HJ et al: Corneal thinning in macular corneal dystrophy. Am J Ophthalmol 101:112, 1986

130. Garner A: Histochemistry of macular dystrophy. Invest Ophthalmol 8:475, 1969

131. Klintworth GK, Smith CF: Macular corneal dystrophy: Studies of sulfated glycosaminoglycans in corneal explant and confluent stromal cell cultures. Am J Pathol 89:167, 1977

132. Francois J, Victoria-Troncoso V, Maudgal PC et al: Study of the lysosomes by vital strains in normal keratocytes and in keratocytes from macular dystrophy of the cornea. Invest Ophthalmol 15:559, 1976

133. Klintworth GK, Vogel FS: Macular corneal dystrophy: An inherited acid mucopolysaccharide storage disease of the corneal fibroblast. Am J Pathol 45:565, 1964

134. Snip RC, Kenyon KR, Green WR: Macular corneal dystrophy: Ultrastructural pathology of corneal endothelium and Descemet's membrane. Invest Ophthalmol 12:88, 1973

135. Deepak E, Thonar EJ-MA, Srinivasan M et al: Macular corneal dystrophy of the cornea: A systemic disorder of keratan sulfate metabolism. Ophthalmology 97:1194, 1990

136. Robin AL, Green WR, Lapsa TP et al: Recurrence of macular corneal dystrophy after lamellar keratoplasty. Am J Ophthalmol 84:457, 1977

137. Thomsitt J, Bron AJ: Polymorphic stromal dystrophy. Br J Ophthalmol 59: 125, 1975

138. Pillar A: Zur Frage der familiaren Hornhautentartung: Uber eine eigenartige tiefe schollige und periphere gitterformige familare Horhautdystrophie. Klin Monatsbl Augenheilkd 104:571, 1940

139. Krachmer JH, Dubord PJ, Rodrigues MM et al: Corneal posterior crocodile shagreen and polymorphic amyloid degeneration. Arch Ophthalmol 101:54, 1983

140. Mannis MJ, Krachmer JH, Rodrigues MM et al: Polymorphic amyloid degeneration of the cornea: A clinical and histopathologic study. Arch Ophthalmol 99:1217, 1981

141. Kirk JG, Rabb M, Hattenhauer J et al: Primary familial amyloidosis of the cornea. Trans Am Acad Ophthalmol Otolaryngol 77:411, 1973

142. Stock EL, Kielar RA: Primary familial amyloidosis of the cornea. Am J Ophthalmol 82:266, 1976

143. Weber FL, Babel J: Gelatinous drop-like dystrophy: A form of primary corneal amyloidosis. Arch Ophthalmol 98:144, 1980

144. Mondino BJ, Rabb MJ, Sugar J et al: Primary familial amyloidosis of the cornea. Am J Ophthalmol 92:732, 1981

145. Schnyder WF: Ein bisher nicht bekannter Typus von familiarer, praseniler, subkapsularer Schalenkatarakt und gleichzeitiges familiares Vorkommen von Glaskorper-veranderungen. Schwewiz Med Wochenschr 57:403, 1927

146. Schnyder WF: Scheibenformige Kristalleinlagerungen in der Hornhautmitte als Erbleiden. Klin Monatsbl Augenheilkd 103:494, 1939

147. Paufique L, Ravault MP, Bonnet M et al: Dystrophie crystalline de Schnyder. Bull Soc Ophtalmol Fr 64: 104, 1964

148. Luxemburg M: Hereditary crystalline dystrophy of the cornea. Am J Ophthalmol 63:507, 1967

149. Garner A, Tripathi RC: Hereditary crystalline stromal dystrophy of Schnyder. II. Histopathology and ultrastructure. Br J Ophthalmol 56:400, 1972

150. Bron A, Williams HP, Carruthers ME: Hereditary crystalline stromal dystrophy of Schnyder. I. Clinical features of a family with hyperlipoproteinaemia. Br J Ophthalmol 56:383, 1972

151. Bietti G: Ueber familares Vorkommen von “Retinitis punctata albescens” (verbunden mit “Dystrophia marginalis cristallinea cornea”), Glitzern des Glaskorpers und anderen degenerativen Augenveranderungen. Klin Monatsbl Augenheilkd 99:737, 1937

152. Welch RB: Bietti's tapetoretinal degeneration with marginal corneal dystrophy: Crystalline retinopathy. Trans Am Ophthalmol Soc 75:176, 1977

153. Strachan IM: Cloudy central corneal dystrophy of Francois: Five cases in the same family. Br J Ophthalmol 53:192, 1969

154. Bramsen T, Ehlers N, Baggesen LH: Central cloudy corneal dystrophy of Francois. Acta Ophthalmol (Copenh) 54:221, 1976

155. Carpel EF, Sigelman RJ, Doughman DJ: Posterior amorphous corneal dystrophy. Am J Ophthalmol 83:629, 1977

156. Dunn SP, Krachmer JH, Ching SST: New findings in posterior amorphous corneal dystrophy. Arch Ophthalmol 102:236, 1984

157. Johnson AT, Folberg R, Vrabec MP et al: The pathology of posterior amorphous corneal dystrophy. Ophthalmology 97:104, 1990

158. Witschel H, Fine BS, Grutzner P et al: Congenital hereditary stromal dystrophy of the cornea. Arch Ophthalmol 96:1043, 1978

159. Goodside V: Posterior crocodile shagreen: A corneal dystrophy. Am J Ophthalmol 46:748, 1958

160. Krachmer JH, Dubord PJ, Rodrigues MM et al: Corneal posterior crocodile shagreen and polymorphic amyloid degeneration: A histopathologic study. Arch Ophthalmol 101:54, 1983

161. Francois J, Neetens A: L'heredo-dystrophie mouchetee du parenchyme corneen. Acta Genet Med Gemellol (Roma) 6:387, 1957

162. Streeten BW, Falls HF: Hereditary fleck dystrophy of the cornea. Am J Ophthalmol 51:275, 1961

163. Aracena T: Hereditary fleck dystrophy of the cornea: Report of a family. J Pediatr Ophthalmol 12:223, 1975

164. Patten JT, Hyndiuk RA, Donaldson DD et al: Fleck (mouchettee) dystrophy of the cornea, Ann Ophthalmol 8:25, 1976

165. Nicholson DH, Green WR, Cross HE et al: A clinical and histopathological study of Francois-Neetens speckled corneal dystrophy. Am J Ophthalmol 83:554, 1977

166. Purcell JJ Jr, Krachmer JH, Weingeist TA: Fleck corneal dystrophy. Arch Ophthalmol 95:440, 1977

167. Pippow G: Zur Erbbedingheit der Cornea farinata. (Mehlstaubartige Hornhautdegeneration). Albrecht von Graefes Arch Ophtalmol 144:276, 1941

168. Paufique L, Etienne R: La “cornea farinata.” Bull Soc Ophtalmol Fr 50:522, 1950

169. Franceschetti A, Maeder G: Dystrophie profonde de la cornee dans un cas d'itchtyose congenitale. Bull Soc Ophtalmol Fr 67: 146, 1954

170. Grayson M, Wilbrandt H: Pre-Descemet dystrophy. Am J Ophthalmol 64:276, 1967

171. Curran RE, Kenyon KR, Green WR: Pre-Descemet's membrane corneal dystrophy. Am J Ophthalmol 77:711, 1974

172. Maeder G, Danis P: Sur une nouvelle forme de dystrophic corneenne (dystrophia filiformis profunda corneae) associee a un keratocone. Ophthalmologica 114:246, 1947

173. Maumenee AE: Congenital hereditary corneal dystrophy. Am J Ophthalmol 50:1114, 1960

174. Judisch GF, Maumenee IH: Clinical differentiation of recessive congenital hereditary endothelial dystrophy and dominant hereditary endothelial dystrophy. Am J Ophthalmol 85:606, 1978

175. Kenyon KR, Maumenee AE: The histological and ultrastructural pathology of congenital hereditary corneal dystrophy: A case report. Invest Ophthalmol 7:475, 1968

176. Pearce WG, Tripathi RC, Morgan G: Congenital endothelial lial corneal dystrophy: Clinical, pathological and genetic study. Br J Ophthalmol 53:577, 1969

177. Kanai A, Kaufman HE: Further electron microscopic study of the hereditary corneal edema. Invest Ophthalmol 10:545, 1971

178. Kanai A, Waltman S, Polack FM et al: Electron microscopic study of hereditary corneal edema. Invest Ophthalmol 10:89, 1971

179. Antine B: Histology of congenital hereditary corneal dystrophy. Am J Ophthalmol 69:964, 1970

180. Kenyon KR, Maumenee AE: Further studies of congenital hereditary endothelial dystrophy of the cornea. Am J Ophthalmol 76:419, 1973

181. Rodrigues MM, Waring GO, Laibson PR et al: Endothelial alterations in congenital corneal dystrophies. Am J Ophthalmol 80:678, 1975

182. Wolter JR: Secondary cornea guttata in interstitial keratopathy. Ophthalmologica 148:289, 1964

183. Laing RA, Sandstrom MM, Leibowitz HM: In vivo photomicrography of the corneal endothelium. Arch Ophthalmol 93: 143, 1975

184. Bourne WM, Kaufman HE: Specular microscopy of human corneal endothelium in vivo. Am J Ophthalmol 81:319, 1976

185. Cross HE, Maumenee AE, Cantolino SJ: Inheritance of Fuchs' endothelial dystrophy. Arch Ophthalmol 85:268, 1971

186. Krachmer JH, Purcell JJ Jr, Young CW et al: Corneal endothelial dystrophy: A study of 64 families. Arch Ophthalmol 96:2036, 1978

187. Polack FM: The posterior corneal surface in Fuchs' dystrophy: Scanning electron microscope study. Invest Ophthalmol 13:913, 1974

188. Kenyon KR: The synthesis of basement membrane by the corneal epithelium in bullous keratopathy. Invest Ophthalmol 8:156, 1969

189. Hogan MJ, Wood I, Fine M: Fuchs' endothelial dystrophy of the cornea. Am J Ophthalmol 78:363, 1974

190. Rosenblum P, Stark WJ, Maumenee IH et al: Hereditary Fuchs' dystrophy. Am J Ophthalmol 90:455, 1980

191. Bourne WM, Johnson DH, Campbell RJ: The ultrastructure of Descemet's membrane. III. Fuchs' dystrophy. Arch Ophthalmol 100: 1952, 1982

192. Cibis GW, Krachmer JA, Phelps CD et al: The clinical spectrum of posterior polymorphous dystrophy. Arch Ophthalmol 95: 1529, 1977

193. Snell AC Jr, Irwin ES: Hereditary deep dystrophy of the cornea. Am J Ophthalmol 45:636, 1958

194. Morgan G, Patterson A: Pathology of posterior polymorphous degeneration of the cornea. Br J Ophthalmol 51:433, 1967

195. Rubenstein RA, Sliverman J J: Hereditary deep dystrophy of the cornea associated with glaucoma and ruptures in Descemet's membrane. Arch Ophthalmol 79:123, 1968

196. Hogan MJ, Bietti G: Hereditary deep dystrophy of the cornea (polymorphous). Am J Ophthalmol 68:777, 1969

197. Boruchoff SA, Kuwabara T: Electron microscopy of posterior polymorphous degeneration. Am J Ophthalmol 72:879, 1971

198. Hanselmayer H: Zur Histopathologie der hinteren polymorphen Hornhautdystrophie nach Schlichting. 1. Licht mikroskopische Befunde in Beziehung zum Klinischen Bild, Graefes Arch Klin Ophthalmol 184:345, 1972

199. Hanselmayer H: Zur Histopathologie der hinteren polymorphen Hornhautdystrophie nach Schlichting: II. Ultrastrukturelle Befunde pathogenetische und pathophysiologische Bemerkungen. Graefes Arch Klin Ophthalmol 185:53, 1972

200. Grayson M: The nature of hereditary deep polymorphous dystrophy of the cornea: Its association with iris and anterior chamber dysgenesis. Trans Am Ophthalmol Soc 72:516, 1974

201. Tripathi RC, Casey TA, Wise G: Hereditary posterior polymorphous dystrophy: An ultrastructural and clinical report. Trans Ophthalmol Soc UK 94:211, 1974

202. Cibis GW, Krachmer JH, Phelps CD, Weingeist TA: Iridocorneal adhesions in posterior polymorphous dystrophy. Trans Am Acad Ophthalmol Otolaryngol 81:OP770, 1976

203. Johnson BL, Brown SI: Posterior polymorphous dystrophy: A light and electron microscopic study. Br J Ophthalmol 62:89, 1978

204. Cibis GW, Tripathi RC: The differential diagnosis of Descemet's tear (Haab's striae) and posterior polymorphous dystrophy bands: A clinicopathologic study. Ophthalmology 89:614, 1982

205. Brooks AMV, Grant G, Gillies WE: Differentiation of posterior polymorphous dystrophy from other posterior corneal opacities by specular microscopy. Ophthalmology 96:1639, 1989

206. Hirst L, Waring GO: Clinical specular microscopy of posterior polymorphous endothelial dystrophy. Am J Ophthalmol 95:143, 1983

207. Boruchoff SA, Weiner MJ, Albert DM: Recurrence of posterior polymorphous corneal dystrophy after penetrating keratoplasty. Am J 0phthalmol 109:323, 1990

208. Rodrigues MM, Phelps CD, Krachmer JH et al: Glaucoma due to endothelialization of the anterior chamber angle: A comparison of posterior polymorphous dystrophy of the cornea and Chandler's syndrome. Arch Ophthalmol 98:688, 1980

209. Campbell DG, Shields MB, Smith TR: The corneal endothelium and the spectrum of essential iris atrophy. Am J Ophthalmol 86:317, 1978

210. Rodrigues MM, Streeten BW, Spaeth GL: Chandler's syndrome as a variant of essential iris atrophy. Arch Ophthalmol 96:643, 1978

211. Shields MB, Campbell DG, Simmons RJ: The essential iris atrophies. Am J Ophthalmol 85:749, 1978

212. Shields MB: Progressive essential iris atrophy, Chandler's syndrome, and the iris nevus (Cogan-Reese) syndrome: A spectrum of disease. Surv Ophthalmol 24:3, 1979

213. Yanoff M: Iridocorneal endothelial syndrome: Unification of a disease spectrum. Surv Ophthalmol 24: 1, 1979

214. Shields MB, Hirst LW, Quigley HA et al: Endothelial specular microscopy of iridocorneal endothelial syndrome (abstr). Invest Ophthalmol Visual Sci (suppl) 18:40, 1979

215. Patel A, Kenyon KR, Hirst LW et al: Clinicopathologic features Of Chandler's syndrome. Surv Ophthalmol 27:327, 1983

216. Kenyon KR, Van Horn DL, Edelhauser HF: Endothelial degeneration and posterior collagenous proliferation in aphakic bullous keratopathy. Am J Ophthalmol 85:329, 1978

217. Perry HD, Buxton JN, Fine BS: Round and oval cones in keratoconus. Ophthalmology 87:905, 1980

218. Chi HH, Katzin HM, Teng CC: Histopathology of keratoconus. Am J Ophthalmol 42:847, 1956

219. Teng CC: Electron microscope study of the pathology of keratoconus. Am J Ophthalmol 55: 18, 1963

220. Pataa C, Joyon L, Roucher F: Ultrastructure du keratocone. Arch Ophthalmol (Paris) 30:403, 1970

221. Pouliquen Y, Graf B, De Kozak Y et al: Etude morphologique du keratocone. Arch Ophthalmol (Paris) 30:497, 1970

222. Stone DL, Kenyon KR, Stark W J: Ultrastructure of keratoconus with healed hydrops. Am J Ophthalmol 82:450, 1976

223. Spencer WH, Fisher JJ: The association of keratoconus with atopic dermatitis. Am J Ophthalmol 47:332, 1959

224. Copeman PW: Eczema and keratoconus. Br Med J 5468:977, 1965

225. Streiff EB: Keratocone et retinite pigmentaire, Bull Mem Soc Fr Ophtalmol 65:323, 1952

226. Cameron JA, Al-Rajhi AA, Badr IA: Corneal ectasias in vernal keratoconjunctivitis. Ophthalmology 96: 1915, 1989

227. Macsai MS, Varley GA, Krachmer JH: Development of keratoconus after contact lens wear. Arch Ophthalmol 108:534, 1990

228. McDonald MB, Kaufman HE, Durrie DS et al: Epikeratophakia for keratoconus: The nationwide study. Arch Ophthalmol 104: 1294, 1986

229. Fogle JA, Kenyon KR, Stark WJ: Damage to epithelial basement membrane by thermokeratoplasty. Am J Ophthalmol 83:392, 1977

230. Gasset AR, Kaufman HE: Thermokeratoplasty in the treatment of keratoconus. Am J Ophthalmol 79:226, 1975

231. Varley GA, Macsai MS, Krachmer JH: The results of penetrating keratoplasty for pellucid marginal degeneration. Am J Ophthalmol 110:149, 1990

232. Krachmer JH: Pellucid marginal corneal degeneration. Arch Ophthalmol 96: 1217, 1978

233. Cavara V: Keratoglobus and keratoconus. Br J Ophthalmol 34:621, 1950

234. Grayson M: Acute keratoglobus. Am J Ophthalmol 56:300, 1963

235. Cogan DG, Kuwabara T: Arcus senilis: Its pathology and histochemistry. Arch Ophthalmol 61:553, 1959

236. Andrews JS: The lipids of arcus senilis. Arch Ophthalmol 68:264, 1962

237. Walton KW: Studies on the pathogenesis of corneal arcus formation. I. The human corneal arcus and its relation to atherosclerosis as studied by immunofluorescence. J Pathol 111:263, 1973

238. Sugar HS, Kobernick S: The white limbus girdle of Vogt. Am J Ophthalmol 50:101, 1960

239. Macfaul PA, Bedford MA: Ocular complications after therapeutic irradiation. Br J Ophthalmol 54:237, 1970

240. Suveges I, Levai G, Alberth B: Pathology of Terrien's disease: Histochemical and electron microscopic study. Am J Ophthalmol 74:1191, 1972

241. Austin P, Brown SI: Inflammatory Terrien's marginal corneal disease. Am J Ophthalmol 92: 189, 1981

242. Edwards WC, Reed RE: Mooren's ulcer: A pathologic case report. Arch Ophthalmol 89:361, 1968

243. Kietzman B: Mooren's ulcer in Nigeria. Am J Ophthalmol 65:679, 1968

244. Schaap OL, Feltkamp TEW, Breebaart AC: Circulating antibodies to corneal tissue in a patient suffering from Mooren's ulcer (ulcus rodens corneae). Clin Exp Immunol 5:365, 1969

245. Wood TO, Kaufman HE: Mooren's ulcer. Am J Ophthalmol 71:417, 1971

246. Foster CS, Kenyon KR, Greiner J et al: The immunopathology of Mooren's ulcer. Am J Ophthalmol 88:149, 1979

247. Feder RS, Krachmer JH: Conjunctival resection for the treatment of the rheumatoid corneal ulceration. Ophthalmology 91:11, 1984

248. Kenyon KR: Decision-making in the therapy of external eye disease. Ophthalmology 89:44, 1982

249. Foster CS: Systemic immunosuppressive therapy for progressive bilateral Mooren's ulcer. Ophthalmology 92:1436, 1985

250. Foster CS: Immunosuppressive therapy for external ocular inflammatory disease. Ophthalmology 87: 140, 1980

251. Tauber J, Sainz de la Maza M, Hoang-Xuan T et al: An analysis of therapeutic decision making regarding immunosuppressive chemotherapy for peripheral ulcerative keratitis. Cornea 9:66, 1990

252. Gass JD: the iron lines of the superficial cornea. Arch Ophthalmol 71:348, 1964

253. Barraquer-Somers E, Chart CC, Green WR: Corneal epithelial iron deposition. Ophthalmology 90:729, 1983

254. Ferry AP: A “new” line of the superficial cornea: Occurrence in patients with filtering blebs. Arch Ophthalmol 79:142, 1968

255. Coats G: Small superficial opaque white rings in the cornea. Trans Ophthalmol Soc UK 32:53, 1912

256. Nevins RC Jr, Davis WH Jr, Elliot JH: Coat's white ring of the cornea: Unsettled metal fettle (correspondence). Arch Ophthalmol 80: 145, 1968

257. Shapiro LA, Frakas TG: Lipid keratopathy following corneal hydrops. Arch Ophthalmol 95:456, 1977

258. Fine BS, Townsend WM, Zimmerman LE et al: Primary lipoidal degeneration of the cornea. Am J Ophthalmol 78:12, 1974

259. Friedlaender MH, Cavanagh HD, Sullivan WR et al: Bilateral central lipid infiltrates of the cornea. Am J Ophthalmol 84:781, 1977

260. Stafford WR, Fine BS: Amyloidosis of the cornea: Report of a case without conjunctival involvement. Arch Ophthalmol 75:53, 1966

261. McPherson SD Jr, Kiffney GT Jr, Freed CC: Corneal amyloidosis. Am J Ophthalmol 62: 1025, 1966

262. Garner A: Amyloidosis of the cornea. Br J Ophthalmol 53:73, 1969

263. Ramsey MS, Fine BS, Cohen SW: Localized corneal amyloidosis: Case report with electron microscopic observations. Am J Ophthalmol 73:560. 1972

264. Rodrigues MM, Zimmerman LE: Secondary amyloidosis in ocular leprosy. Arch Ophthalmol 85:277, 1971

265. Garner A: Keratinoid corneal degeneration. Br J Ophthalmol 54:769, 1970

266. reedman A: Climatic droplet keratopathy. I. Clinical aspects. Arch Ophthalmol 89: 193, 1973

267. Garner A, Morgan G, Tripathi RC: Climatic droplet keratopathy. II. Pathologic findings. Arch Ophthalmol 89: 198, 1973

268. Anderson J, Fuglsang H: Droplet degeneration of the cornea in North Cameroon: Prevalence and clinical appearances. Br J Ophthalmol 60:256, 1976

269. Ahmad A, Hogan M, Wood I et al: Climatic droplet keratopathy in a 16-year-old boy. Arch Ophthalmol 95:149, 1977

270. Christensen GR: Proteinaceous corneal degeneration: A histochemical study. Arch Ophthalmol 89:30, 1973

271. Freedman A: Labrador keratopathy. Arch Ophthalmol 74:198, 1965

272. D'Alena P, Wood IS: Labrador keratopathy: A microscopic study. Am J Ophthalmol 74:430, 1972

273. Johnson CJ, Ghosh M: Labrador keratopathy: Clinical and pathological findings. Can J Ophthalmol 10:119, 1975

274. Klintworth GK: Chronic actinic keratopathy: A condition associated with conjunctival elastosis (pingueculae) and typified by characteristic extracellular concretions. Am J Pathol 67:327, 1972

275. Hanna C, Fraunfelder FT: Spheroidal degeneration of the cornea and conjunctiva. 1I. Pathology, Am J Ophthalmol 74:829, 1972

276. Fraunfelder FT, Hanna C: Spheroidal degeneration of cornea and conjunctiva. III. Incidences, classification and etiology. Am J Ophthalmol 76:41, 1973

277. Young YDH, Finlay RD: Primary spheroidal degeneration of the cornea in Labrador and Northern Newfoundland. Am J Ophthalmol 79:129, 1975

278. Fraunfelder FT, Hanna C, Parker JM: Spheroid degeneration of the cornea and conjunctiva. 1. Clinical course and characteristics. Am J Ophthalmol 74:821, 1972

279. Rodrigues MM, Laibson PR, Weinreb S: Corneal elastosis: Appearance of band-like keratopathy and spheroidal degeneration. Arch Ophthalmol 93:11 I, 1975

280. Johnson GJ, Overall M: Histology of spheroidal degeneration of the cornea in Labrador. Br J Ophthalmol 62:53, 1978

281. Pouliquen Y, Haye C, Bisson J et al: Ultrastructure de la keratopathie en bandelette. Arch Ophtalmol (Paris) 27:149, 1967

282. O'Conner GR: Calcific band keratopathy. Trans Am Ophthalmol Soc 70:58, 1972

283. Zeiter H J: Calcification and ossification in ocular tissue. Am J Ophthalmol 53:265, 1962

284. Barber CW: Physiological chemistry of the eye. Arch Ophthalmol 87:72, 1972

285. Fishman RS, Sunderman FW: Band keratopathy in gout. Arch Ophthalmol 75:367, 1966

286. Kennedy RE, Roca PD, Landers PH: Atypical band keratopathy in glaucomatous patients. Am J Ophthalmol 72:917, 1971

287. Kennedy RE, Roca PD, Platt DS: Further observations on atypical band keratopathy in glaucoma patients, Trans Am Ophthalmol Soc 72:107, 1975

288. Letup MA, Ralph RA: Rapid development of band keratopathy in dry eyes. Am J Ophthalmol 83:657, 1977

289. Walsh FB, Howard JE: Conjunctival and corneal lesions in hypercalcemia. J Clin Endocrinol 7:644, 1947

290. Walsh FB, Murray RG: Ocular manifestations of disturbances in calcium metabolism. Am J Ophthalmol 36: 1657, 1953

291. Lessel S, Norton EWD: Band keratopathy and conjunctival calcification in hypophosphatasia. Arch Ophthalmol 71:497, 1964

292. Berkow JW, Fine BS, Zimmerman LE: Unusual ocular calcification in hyperparathyroidism. Am J Ophthalmol 66:812, 1968

293. Schumacher H, Scheler F: Metastatische Kalzifizierungen an Kornea und Konjunktiva bei chronischer Niereninsuffizienz. KIln Monatsbl Augenheilkd 154:815, 1969

294. Porter R, Crombie AL: Corneal calcification as a presenting and diagnostic sign in hyperparathyroidism. Br J Ophthalmol 57:665, 1973

295. Wood TO, Walker GG: Treatment of band keratopathy. Am J Ophthalmol 80:553, 1975

296. Wood TO: Salzmann's nodular degeneration. Cornea 9:17, 1990

297. Holbach LM, Font RL, Shivitz IA et al: Bilateral keloidlike myofibroblastic proliferations of the cornea in children. Ophthalmology 97:1198, 1990

298. Austin P, Jakobiec FA, Iwamoto T: Elastodysplasia and elastodystrophy as pathologic bases of ocular pterygium and pinguecula. Ophthalmology 90:96, 1983

299. Kenyon KR, Wagoner MD, Hettinger ME: Conjunctival autograft transplantation for advanced and recurrent pterygium. Ophthalmology 92: 1461, 1985

300. Singh G, Wilson MR, Foster CS: Mitomycin eye drops as treatment for pterygium. Ophthalmology 95:813, 1988

301. Singh G, Wilson MR, Foster CS: Long-term follow-up study of mitomycin eye drops as adjunctive treatment for pterygia and its comparison with conjunctival autograft transplantation. Cornea 9:331, 1990

Back to Top