最新公告:

  没有公告

您现在的位置: 心灵之窗-眼科医生网 >> 眼科知识 >> 眼科医生 >> 病例探讨 >> 正文
专题栏目
更多内容
相关文章
更多内容
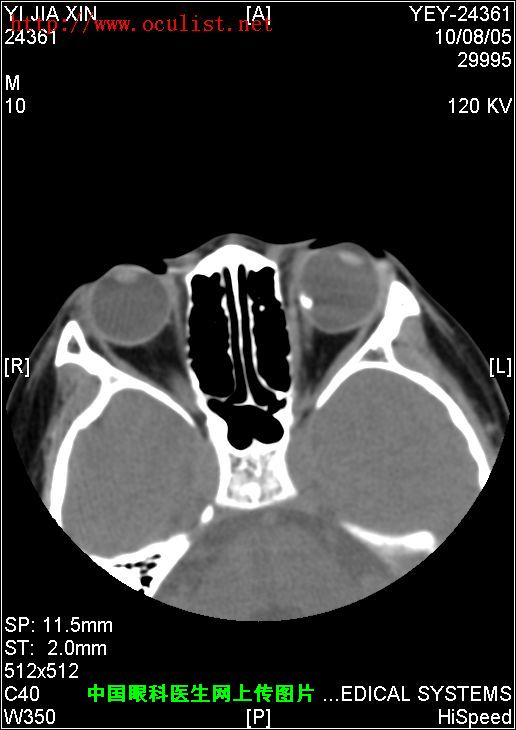
[组图]患者男,9岁,发现左眼外斜9年         ★★★
患者男,9岁,发现左眼外斜9年
作者:rich 文章来源:协和医学论坛联盟 点击数:5509 更新时间:2006/10/11 0:11:06

 

患者男,9岁,发现左眼外斜9年,检查:左眼视力0.01(矫正不应),左眼外斜400,角膜、晶状体未见异常,眼底如下图,CT如下图,RMI暂无,请分析一下该患儿的诊断?

 

眼底图和CT片:



图片点击可在新窗口打开查看 


图片点击可在新窗口打开查看



图片点击可在新窗口打开查看 

图片点击可在新窗口打开查看 

参加专业讨论

http://www.oculist.net/bbs/dispbbs.asp?boardid=3&replyid=99663&id=30944&page=1&skin=0&Star=1

眼科资讯录入:毛进    责任编辑:毛进 
  • 上一篇眼科资讯:

  • 下一篇眼科资讯:
  • 【字体: 】【发表评论】【加入收藏】【告诉好友】【打印此文】【关闭窗口
      网友评论:(只显示最新10条。评论内容只代表网友观点,与本站立场无关!)

    | 设为首页 | 加入收藏 | 联系站长 | 友情链接 | 版权申明 |
    眼科医生网 眼科医生网版权所有 @ 1998-2012
    部分文章和资源来源于网络,如果侵犯了您的版权,请指出! 站长:毛进
    信息产业部备案
    *京ICP备18030162号