最新公告:

  没有公告

您现在的位置: 心灵之窗-眼科医生网 >> 眼科知识 >> 眼科医生 >> 病例探讨 >> 正文
专题栏目
更多内容
相关文章
更多内容
[组图]红眼症之一         
红眼症之一
作者:肖利华 文章来源:本站原创 点击数:4418 更新时间:2003/6/14 19:56:10

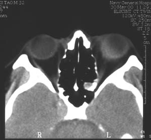
    1 患者男性,32岁。998月发现左眼球突出,当时按眶内炎症治疗无效9912月左眼开始充血,反复发作(后来仅间隔1-2天),头痛。曾按“结膜炎、眼眶炎症”等治疗无效。20004月经CT检查发现左眼球外侧肿物,诊断:眼内肿物、眶内炎性假瘤?随来我院。入院检查:视力(戴镜)右眼1.0,左眼0.3,不能矫正。左眼睑肿胀,结膜混合充血,结膜下血管怒张(图1)。角膜正常,屈光间质清楚。眼底为高度近视眼底表现(-10D),眼球壁内下方600-900自视盘下方开始隆起(约+6D)。眼球突出4mmB超及标准化A超显示左眼球内下方及下方巩膜肥厚,最厚处达7mm,可见明显筋膜囊水肿(图2)。CT显示左眼球内下方巩膜增厚,并向眼内隆起,筋膜囊水肿(图3)。

    Image1.jpg (9225 字节)

Image2.jpg (11668 字节)Image3.jpg (15504 字节)
2 B
超显示眼球壁明显增厚

图3 CT显示左眼球内下巩膜增厚并向眼内隆起,合并筋膜囊水肿边界欠清楚

 

诊疗经过

诊断:后巩膜炎。

给予激素,阿期匹林,消炎痛等治疗,病情逐渐稳定。

眼科资讯录入:毛进    责任编辑:毛进 
  • 上一篇眼科资讯:

  • 下一篇眼科资讯:
  • 【字体: 】【发表评论】【加入收藏】【告诉好友】【打印此文】【关闭窗口
      网友评论:(只显示最新10条。评论内容只代表网友观点,与本站立场无关!)

    | 设为首页 | 加入收藏 | 联系站长 | 友情链接 | 版权申明 |
    眼科医生网 眼科医生网版权所有 @ 1998-2012
    部分文章和资源来源于网络,如果侵犯了您的版权,请指出! 站长:毛进
    信息产业部备案
    *京ICP备18030162号